自考题库
首页
所有科目
自考历年真题
考试分类
关于本站
游客
账号设置
退出登录
注册
登录
出自:病理学高级职称
血吸虫所致的假结核结节中见不到( )
A:上皮样细胞
B:异物巨细胞
C:坏死物质
D:钙化的虫卵
E:血吸虫虫体
患者,男,60岁。有多年的高血压病史,12小时前被自行车撞倒,即感左侧肢体无力,不能上抬,送医院后病情加重,出现左侧肢体瘫痪,昏迷,抢救无效死亡。尸体解剖所见病变中其中哪种病变与死亡有关()。
A:原发性颗粒性固缩肾
B:右侧大脑内囊区出血
C:冠状动脉粥样硬化
D:左心室肥大、扩张
E:脑基底动脉粥样硬化
患者女,38岁,因“月经量增多、经期延长6个月”来诊。末前次月经8月1日,末次月经9月1日,9月8日阴道出血量仍多,有血块。诊断性刮宫刮出少量血凝块及内膜组织,部分呈息肉状。镜下见破碎子宫内膜,有的呈增生期反应,有的呈不规则增生,有的伴分泌反应,可见厚壁血管丛。
第1题,共3个问题
(单选题)诊断首先考虑为()
A:子宫内膜不规则增生
B:子宫内膜复杂性增生
C:子宫内膜不规则脱卸
D:子宫内膜息肉
E:子宫Müllerian混合瘤
第2题,共3个问题
(单选题)镜下局部腺体如图所示,诊断考虑为()
A:子宫内膜不规则增生
B:局部复杂性增生
C:嗜酸性乳头状化生
D:嗜酸性不典型乳头状化生
E:子宫内膜上皮内瘤变
第3题,共3个问题
(单选题)鉴别的主要依据是()
A:月经经期延长
B:腺体结构复杂
C:嗜酸性芽胞状细胞乳头,无非典型性
D:嗜酸性芽胞状细胞乳头,有非典型性
E:与周围组织形成明显反差,伴有细胞非典型性
对肝源性低血糖描述,正确的是()。
A:服糖后2h血糖可降至正常
B:服糖后2h血糖不能降至正常
C:尿糖不会出现阳性
D:空腹血糖低于正常
E:服糖后血糖峰值提前出现并超过正常
哪些器官常发生细胞水肿?其发生机制和病理特点有哪些?
区别乳腺转移性肿瘤和原发性肿瘤最可靠的依据是()。
A:乳腺转移性肿瘤常呈暴发性经过
B:癌组织内同时伴有原位癌病变
C:转移瘤细胞多分布于乳腺导管和小叶周围
D:乳腺淋巴管和血管内充满瘤细胞团
E:乳腺导管上皮无异型增生现象
肝硬化晚期腹水形成的原因是()。
A:肝细胞合成白蛋白功能下降
B:门脉压升高
C:小叶下静脉受压
D:血中抗利尿激素水平升高
E:血中醛固酮水平升高
关于外阴梅毒,叙述错误的是()
A:一期梅毒又称硬下疳(chancrE.,单个或多发糜烂性无痛斑疹或丘疹
B:二期梅毒又称梅毒疹,皮损多样
C:三期梅毒又称树胶肿,皮损为肉芽肿性病变
D:三期梅毒可排出大量螺旋体而具有高度传染性
E:各期梅毒血清学反应多为阳性
决定膀胱癌预后的主要因素是( )
A:性别
B:年龄
C:肿瘤发生部位
D:组织学类型
E:肿瘤的分级
肾上腺髓质可发生( )
A:神经母细胞瘤
B:神经节细胞瘤
C:胶质瘤
D:嗜铬细胞瘤
E:神经鞘瘤
患者男,14岁,因“胸痛”来诊。CT:左肺胸膜一直径3cm圆形肿物。穿刺活检,镜下:增生的梭形细胞呈束状排列,被胶原纤维和炎细胞分割,浆细胞浸润明显。
第1题,共2个问题
(单选题)最可能的诊断是()
A:浆细胞瘤
B:错构瘤
C:血管外皮细胞瘤
D:硬化性血管瘤
E:炎性肌成纤维细胞瘤
第2题,共2个问题
(单选题)免疫组织化学染色结果可能阴性的是()
A:CD34
B:vimentin
C:desmin
D:SMA
E:CD117
慢性炎的基本病理变化及结局。
送检患肾,大小18cm×10cm×5cm,切面见肾皮髓质消失,大量淡黄色匀质的坏死物取代。
第1题,共2个问题
(单选题)镜检如图所示,箭头所指为何种病变( )
A:液化性坏死
B:干酪样坏死
C:纤维素样坏死
D:淀粉样变
E:玻璃样变
第2题,共2个问题
(单选题)有关该病变的叙述
不正确
的是( )
A:是一种彻底的凝固性坏死
B:常见于结核病病灶
C:肉眼观,坏死物白色或淡黄色,细腻,形似奶酪
D:坏死物中可见残留的组织轮廓
E:病变中常可检见结核杆菌
包裹(encapisulation)
关于鳃裂囊肿,叙述错误的是()。
A:可深入腮腺组织内
B:囊壁可见内衬上皮
C:囊壁可内衬复层纤毛柱状上皮
D:有淋巴组织,但无淋巴滤泡
E:可以恶变为鳞状细胞癌
免疫复合物引起肾小球肾炎的发病机制包括___和___两个方面。
下列组织除哪项外,均可发生鳞状上皮化生()。
A:支气管黏膜上皮
B:胆囊黏膜上皮
C:子宫颈黏膜上皮
D:肾球囊脏层上皮
E:肾盂黏膜上皮
关于慢性肺源性心脏病,下列哪一项是错误的()。
A:凡是能够导致肺循环阻力增加的疾病都可引慢性起肺心病
B:慢性支气管炎是最常见的原发疾病
C:间质性肺炎引起肺间质纤维化可并发慢性肺心病
D:慢性肺心病发生的关键环节是肺动脉高压
E:右心肥大、扩张是其病变特点
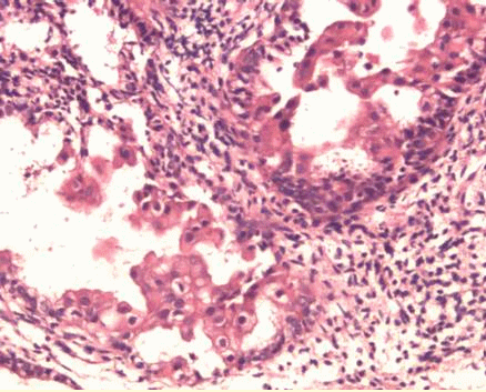
图片所示子宫内膜病变,最可能的病理诊断是()
A:慢性子宫内膜炎
B:结核性子宫内膜炎
C:异物性子宫内膜炎
D:淋病性子宫内膜炎
E:子宫内膜软斑病
最符合心力衰竭的概念是()
A:静脉回心血量超过心输出量
B:心脏每搏输出量降低
C:心输出量减少,不能满足机体代谢需要
D:心功能障碍引起大小循环充血
E:心泵功能下降伴肺水肿或肝脾肿大
诊断糖尿病的标准是()。
A:随机血糖≥11.1mmol/L
B:餐后2h血糖≥6.22mmol/L
C:餐后2h血糖≥7.2mmol/L
D:2次空腹血糖均≥7.0mmol/L
E:OGTr试验2h血浆葡萄糖≥11.1mmol/L
关于化脓性炎的结局下列哪项是错的( )
A:吸收消散
B:机化包裹
C:脓汁引流排出、组织再生而痊愈
D:转为慢性
E:化脓菌入血引起菌血症
对慢性浅表性胃炎具有诊断意义的是()。
A:黏膜腺体减少
B:黏膜腺体增生
C:炎症局限于黏膜浅层
D:固有层中性粒细胞浸润
E:肠上皮化生
良性高血压晚期可引起()。
A:瘢痕性固缩肾
B:颗粒性固缩肾
C:肾盂积水
D:肾动脉狭窄
E:肾贫血性梗死
关于结节性峡部输卵管炎,叙述错误的是()。
A:为输卵管峡部圆形、坚硬之肿块
B:是炎症引起的输卵管腔内憩室形成以及平滑肌增生所致
C:多双侧发病,偶尔可见多发病灶
D:输卵管壁明显增厚,肌层肥大,内见分散的管腔
E:中央部位原管腔清晰可见
患者男,52岁,因“右侧后下牙疼痛6个月,加重1周”来诊。患者右侧后下牙反复疼痛6个月,口服消炎药可缓解,但反复发作,近1周疼痛加重,同侧耳颞区放射痛,自觉牙伸长不能咀嚼,右侧下唇发麻,并出现高热、畏寒、食欲减退。查体:T39.2℃,P108次/min,R24次/min,急性病容,右面部轻微肿胀,右下颌第一磨牙残冠,探诊死髓,右下颌磨牙松动、叩痛,冠周溢脓。白细胞总数为10.3×10
9
/L,中性粒细胞0.89。 该患者最可能的诊断是()。
A:根尖周炎伴骨膜下脓肿
B:右下颌骨急性中央性骨髓炎
C:左下颌牙槽脓肿
D:下颌骨肿瘤伴感染
E:左下颌牙根尖周炎伴咬肌间隙感染
尸体解剖(autopsy)
血小板黏附功能降低的有()。
A:服用解热镇痛药
B:口服避孕药
C:血小板无力症
D:肾小球肾炎
E:巨大血小板综合征
ARF多尿期可能发生()。
A:高钾血症
B:低钾血症
C:氮质血症
D:低钠血症
E:水中毒
女性,35岁,B超发现左侧卵巢囊性肿瘤,手术切除。卵巢巨检为单房性囊肿,7cm×7cm×5cm大小,囊内充盈清亮液体,囊内壁附着散在乳头;镜下,见囊壁及乳头皆衬覆2~3层输卵管型上皮,核呈中度异型,有砂粒体沉着。应诊断下列哪种肿瘤()
A:卵巢浆液性乳头状囊腺瘤
B:卵巢浆液性乳头状囊腺癌
C:卵巢交界性浆液性乳头状囊腺瘤
D:卵巢浆液性表面乳头状腺瘤
E:卵巢浆液性囊性腺纤维瘤
首页
<上一页
267
268
269
270
271
下一页>
尾页