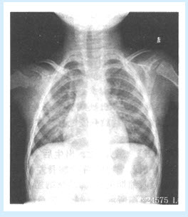
患儿,男,3岁,发热、咳嗽、咳痰1天。查体:双肺可闻及湿啰音。X线平片如图所示。

第1题,共3个问题
(单选题)最可能的诊断是()
A:大叶性肺炎
B:血行播散型肺结核
C:过敏性肺炎
D:支气管肺炎
E:原发综合征
F:以上都不是
第2题,共3个问题
(单选题)下列哪项不是该种病的诊断要点()
A:好发于两中下肺的内、中带
B:小片状实变影周围会合并阻塞性肺气肿或小叶肺不张
C:细菌、病毒及真菌均可引起支气管肺炎
D:病灶沿支气管分布
E:多见于婴幼儿及年老体弱者
F:以上均不是
第3题,共3个问题
(单选题)以下哪种病不是好发于儿童()
A:支气管肺炎
B:支原体肺炎
C:原发性综合征
D:视网膜母细胞瘤
E:过敏性肺炎
F:间质性肺炎