自考题库
首页
所有科目
自考历年真题
考试分类
关于本站
游客
账号设置
退出登录
注册
登录
出自:耳鼻咽喉科住院医师
鼻腔的pH值是()。
A:<5.5
B:>8.0
C:7.1~8.0
D:5.5~7.0
E:7.0~8.0
成年女性气管切开应选择()。
A:内径为6.0mm的2号气管套管
B:内径为7.0mm的3号气管套管
C:内径为8.0mm的4号气管套管
D:内径为9.0mm的5号气管套管
E:内径为10.0mm的6号气管套管
喉黏液囊肿最常见的部位是()。
A:室带
B:喉室
C:会厌喉面
D:会厌舌面
E:声门下
十二指肠憩室的病理类型包括(),()。
男性,56岁,反复胸闷4年,2周来晕厥3次,普通心电图正常,就诊后首选的检查是()。
A:超声心动图
B:心内电生理检查
C:Holter心电图
D:阿托品试验
E:冠状动脉造影
颞骨骨折类型
不包括
()。
A:纵行骨折
B:横行骨折
C:混合型骨折
D:开放型骨折
E:岩尖骨折
喉部触诊时所及喉的摩擦感是()。
A:舌骨与颈椎接触摩擦所产生
B:甲状软骨上角与颈椎接触摩擦所产生
C:甲状软骨下角与颈椎接触摩擦所产生
D:甲状软骨下角与环状软骨板接触摩擦所产生
E:环状软骨板与颈椎接触摩擦所产生
关于鼻窦骨瘤,下列哪项正确()。
A:男性多于女性
B:最多见于额窦
C:生长缓慢,骨瘤小者无须手术
D:病理上可分为象牙型、海绵型和混合型
E:最多见于上颌窦
颈部5大淋巴结群包括()。
A:颌下淋巴结
B:颏下淋巴结
C:咽后壁淋巴滤泡
D:颈浅淋巴结
E:颈前淋巴结
外耳道耵聍腺肿瘤起源于外耳道()段的()上皮。
急性筛窦炎典型的压痛部位为()。
A:鼻尖部
B:眉弓部
C:眶上部
D:前额部
E:内眦部
有关喉癌描述,
不正确
的是()。
A:声门上型喉癌,最早的症状为咽部不适
B:声门型喉癌多伴淋巴结转移
C:声门下型喉癌,一般无症状
D:声门型喉癌,症状为声嘶
E:喉镜是声门型喉癌的主要检查方法
囊性水瘤是起源于()。
A:血管系统的先天性疾病
B:上皮组织的先天性疾病
C:淋巴组织的先天性疾病
D:结缔组织的先天性疾病
E:以上都不是
扩张型心肌病可能的主要病因是()。
A:遗传因素
B:持续病毒感染
C:反复细菌感染
D:中毒
E:代谢异常
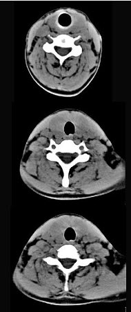
40岁,女性患者,双侧甲状腺肿大,CT扫描如图所示,请选择最佳答案()。
A:弥漫性甲状腺肿
B:甲状腺癌
C:甲状腺炎(桥本)
D:亚急性甲状腺炎
E:甲状腺瘤
反映小气道病变最敏感的指标是()。
A:最大自主通气量
B:每分通气量
C:通气储备百分比
D:流速-容积曲线
E:功能残气量
颈内动脉在颈部的分支有()。
A:颞浅动脉
B:上颌动脉
C:甲状腺下动脉
D:无分支
E:面动脉
有关鼻腔湿润的主要来源,下列哪项是错的()。
A:毛细血管经上皮细胞渗出液
B:嗅膜下嗅腺分泌液
C:保留呼出气体中的湿润
D:粘膜上皮内杯状细胞的分泌液
E:粘膜上皮内肥大细胞的分泌液
梅尼埃病有两个特殊类型,分别是()。
A:vanderHoeve综合征
B:Cogan综合征
C:Tumarkin危象
D:Lexmoyez综合征
E:Hunt综合征
后鼻孔息肉
下列哪些
不属于
静脉血对二氧化碳的运输过程()。
A:运输量的多少与体温关系不大
B:运输量的多少与二氧化碳分压有关
C:二氧化碳溶解于白蛋白和红细胞内
D:氢氧根离子扩散进入红细胞
E:氨基甲酸血红蛋白的形成
鼻真菌病多发生在鼻窦,一般为单侧发病,其中以()窦发病率最高,其次为()窦。
导致咽旁隙感染的主要原因有()、()、()等。
甲状腺结节手术治疗方法,哪项正确()。
A:单个囊肿需甲状腺大部切除
B:实质性结节可行患侧腺体大部切除
C:实质性结节只需要做结节完整切除
D:术中冷冻切片报告为良性腺瘤,肯定不是腺癌
E:小儿单发结节不必早日手术
后上型扁桃体周脓肿常发生于()。
A:扁桃体上极与腭舌弓之间
B:扁桃体下极与腭舌弓之间
C:扁桃体中部与腭舌弓之间
D:扁桃体与腭咽弓之间
E:以上均不正确
分析血气时()。
A:FiO
2
应≥60%
B:FiO
2
应≥70%
C:FiO
2
应≥80%
D:FiO
2
应≥90%
E:应给出FiO
2
值
外耳道疖肿常发生在外耳道的()部。
鼻咽癌中最常见的类型是()。
A:腺鳞癌
B:鳞癌
C:低分化癌
D:未分化癌
E:腺癌
通过内耳道的血管、神经是()。
A:迷路动脉
B:中间神经
C:迷路静脉
D:面神经
E:听神经
硬食管镜检查适应证
不包括
()。
A:食管异物
B:食管瘢痕狭窄
C:食管烫伤急性期
D:不明原因吞咽困难
E:食管静脉曲张
首页
<上一页
23
24
25
26
27
下一页>
尾页