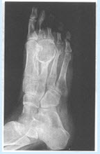
患者,女,21岁。1年前右足外伤,近日感觉右足疼痛。X线片见下图:

第1题,共3个问题
(多选题)需要考虑哪些疾病()
A:软骨黏液样纤维瘤
B:骨巨细胞瘤
C:血管扩张型骨肉瘤
D:内生软骨瘤
E:动脉瘤样骨囊肿
第2题,共3个问题
(单选题)该病最可能的诊断是()
A:动脉瘤样骨囊肿
B:骨巨细胞瘤
C:内生软骨瘤
D:软骨黏液纤维瘤
E:血管扩张型骨肉瘤
第3题,共3个问题
(多选题)关于动脉瘤样骨囊肿的表现描述正确的是()
A:各年龄段均可发病,好发于长骨干骺端
B:在X线平片上病灶为显著膨胀的囊状透亮区,可位于骨干的中央,不能偏心生长
C:CT及MRI上可见液-液平面
D:病灶主要由大小不等海绵状血池组成,分为原发性和继发性两种
E:是肿瘤样病变,而非真正意义上的肿瘤