自考题库
首页
所有科目
自考历年真题
考试分类
关于本站
游客
账号设置
退出登录
注册
登录
出自:医学影像技术高级职称
关于膈肌的叙述,哪项是
不正确
的( )
A:肺气肿时,膈肌下降
B:急性无气肺,膈成为高位
C:通常是左膈比右膈高
D:肺、纵隔肿瘤时,可出现膈肌麻痹
E:大量胸水时,膈影像定位困难
根周病有哪些X线表现?
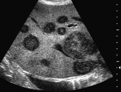
女性,59岁,右上腹痛。腹胀1周。病人于1991年因直肠癌行手术治疗。如果拟诊为继发性肝癌,超声表现错误的是( )
A:肝内单个强回声结节
B:多发的强回声结节
C:病灶呈多样性
D:病灶彩色血流不明显
E:病灶边界清楚,周围有声晕,呈牛眼征
男,21岁,临床诊断胃癌,诉全身多处骨关节疼痛,行全身骨显像如图,对此影像下列描述正确的是( )
A:胸12椎体放射性“冷区”
B:若同时X线检查为阴性则提示骨转移可能性大
C:“冷区”的出现一定表明骨转移
D:患者胸骨浓聚提示骨转移
E:胸12椎体可能存在肿瘤的骨髓浸润
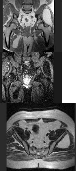
女,28岁,臀部痛,结合图像,最可能的诊断是( )
A:肌内脂肪瘤
B:肌内脓肿
C:出血
D:骨样骨瘤
E:血管瘤
下列哪项不是早期声带癌的CT表现( )
A:CT未见异常
B:声带仅见轻度增厚
C:声带形态不规则
D:声带可见高密度影
E:无特征性表现
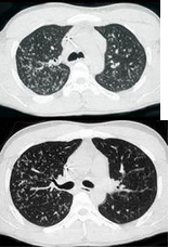
男,26岁,发热,夜间盗汗,咳嗽半月余,结合CT检查,最可能的诊断是( )
A:粟粒型肺结核
B:间质性肺炎
C:弥漫型肺癌
D:肺转移瘤
E:矽肺
下述“食管静脉曲张”影像特点,哪项
不正确
( )
A:蚯蚓状充盈缺损
B:不侵犯食管上段
C:食管张力降低,管腔扩张
D:食管壁柔软度尚可
E:Valsalva呼吸可提高检出率
下述引起腹主动脉瘤的病因中,易形成假性动脉瘤的是( )
A:感染性动脉瘤
B:梅毒性动脉瘤
C:先天性动脉瘤
D:动脉硬化性动脉瘤
E:夹层动脉瘤
成人视神经孔的孔径大约为( )
A:0.2cm
B:0.5cm
C:1.2cm
D:0.8cm
E:1.0cm
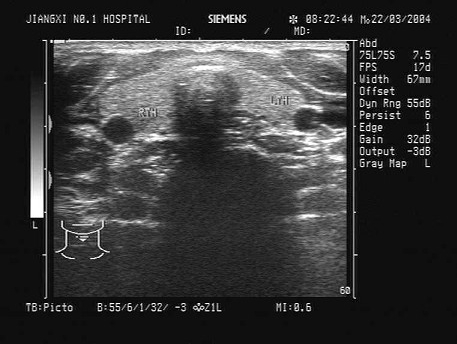
如图,正常甲状腺中部横切面的超声声像图,中央气管环状软骨前方组织为( )
A:甲状腺峡部
B:皮下组织
C:甲状旁腺
D:淋巴结
E:以上均不对
下列哪一项不是卵巢非赘生性囊肿( )
A:滤泡囊肿
B:皮样囊肿
C:黄体囊肿
D:黄素囊肿
E:多囊卵巢
下列情况,哪些必须加做脊柱、脊髓的冠状面扫描( )
A:鉴别髓内髓外病变时
B:增强扫描时
C:脊髓空洞症时
D:“S”形脊柱侧弯时
E:A+B+D
螺旋CT扫描,在动脉增强早期,下述组织结构中,哪一项最早出现不均匀斑片状强化( )
A:胰腺
B:脾脏
C:肌肉
D:肝脏
E:腹主动脉
子宫输卵管造影的适应证包括( )
A:寻找子宫出血原因
B:不孕症
C:欲再通输卵管,了解情况
D:应在月经后5~7天进行
E:鉴别结核与炎症
常见的心包疾病主要有( )
A:心包钙化
B:心包肥厚
C:心包腔积液
D:缩窄性心包炎
E:心包肿瘤
骨骼的CT值( )
A:0~20HU
B:30~60HU
C:-60~-90HU
D:1000HU
E:-1000HU
胆囊腺肌增生症的主要诊断依据是( )
A:胆囊缩小、变形
B:胆囊壁增厚
C:胆囊壁内大小不等的憩室样征象
D:少数憩室内并发小结石
E:病变累及胆囊全部或呈节段性
患者无痛性血尿数周,肾盂造影示肾盂内不规则充盈缺损,首先考虑以下哪种疾病( )
A:乳头状瘤
B:移行细胞癌
C:鳞状细胞癌
D:肾腺癌
E:肾腺瘤
有关膝关节十字韧带的MRI,错误的是( )
A:正常前后十字韧带在TWI上信号强度相同
B:矢状位易于显示
C:撕裂后TWI信号增高
D:检查时膝关节轻度外旋有助于十字韧带的显示
E:撕裂时韧带形态可呈波浪形
腹部X线摄影时,右膈下见到气体影的有( )
A:内脏转位症
B:肝硬化
C:胃癌
D:肾癌
E:消化道溃疡穿孔
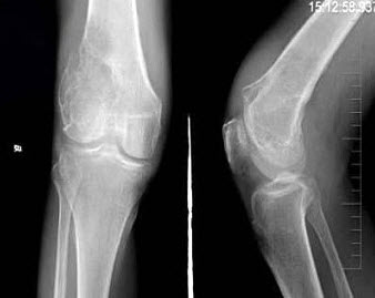
男,30岁,右膝关节酸胀,疼痛不适5个月,X线检查如图所示,最可能的诊断是( )
A:骨巨细胞瘤
B:骨囊肿
C:骨血管瘤
D:动脉瘤样骨囊肿
E:以上均不正确
厚壁空洞的洞壁厚度往往超过( )
A:2mm
B:3mm
C:10mm
D:6mm
E:8mm
腰大肌阴影起始于( )
A:第11胸椎下缘
B:第12胸椎下缘
C:第1腰椎上缘
D:第1腰椎下缘
E:第12胸椎上缘
星形细胞瘤的MRI表现有哪些?
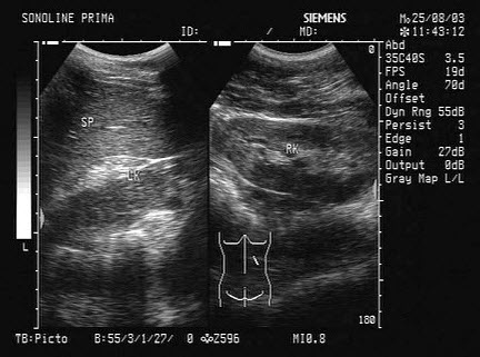
如图所示,双肾结构清晰,左肾体积小,该病例最可能诊断是( )
A:肾发育不良
B:肾萎缩
C:慢性肾炎
D:肾结核
E:慢性肾衰
四肢长管状骨摄片时至少应包括( )
A:长骨的两端
B:邻近两个关节
C:长骨的上端或下端
D:长骨的软组织
E:邻近一个关节
CT对甲状腺肿瘤的诊断评价,下列说法哪项
不正确
( )
A:定位较准确
B:有无钙化是鉴别良恶性的依据
C:判断有无淋巴结转移
D:判断有无邻近组织受累
E:鉴别良恶性有一定限度
自主功能性甲状腺瘤时,甲状腺显像多表现_____。
视网膜母细胞瘤的CT表现为( )
A:好发于眼球内侧
B:玻璃体内实性肿块伴钙化
C:不侵犯视神经
D:钙化少见
E:视神经管无扩大
首页
<上一页
213
214
215
216
217
下一页>
尾页