出自:内分泌学高级职称

Graves眼病不可能发生在甲亢之前。
甲状腺功能减退症替代治疗的注意事项有哪些?
腺垂体功能减退症如何检查?
下列关于甲状旁腺功能减退症的说法正确的有( )
A:常有手足搐搦反复发作史
B:Chvostek征与Trousseau征阳性
C:实验室检查有血钙降低、血磷升高
D:血清PTH明显降低或不能测得
E:滴注外源性PTH后尿磷与尿cAMP显著增加
原发性甲状旁腺功能亢进症的特征性表现不包括()。
A:指骨骨膜下吸收
B:纤维囊性骨炎
C:棕色瘤
D:颅骨穿凿样改变
E:牙槽板吸收
患者,女,42岁。糖尿病6年,胰岛素治疗已2年,平均32~40U/d。2天前食用冰箱内食物后出现水样泻,每日4~6次,嗜睡1天,间断抽搐2小时,急诊入院。体检:脱水貌,浅昏迷,BP120/75mmHg、,HR120次/分,下列哪项检查对诊断昏迷最有帮助( )
A:床边ECG
B:大便常规+隐血
C:血糖、血酮体测定
D:脑部CT或MRI
E:血、尿Cr、BUN测定

患者,男,16岁,近半年来多尿,多饮,查空腹血糖16mmol/L,酮体(+)。查体:身高1.70m,体重50kg,心、肺、腹检查无明显异常。



第1题,共3个问题
(单选题)根据该患者情况,最佳治疗方案是( )
A:葡萄糖酐酶抑制剂+双胍类口服降糖药
B:磺脲类口服降糖药+双胍类口服降糖药
C:短效胰岛素+磺脲类口服降糖药
D:磺脲类口服降糖药+葡萄糖酐酶抑制剂
E:短效胰岛素3次+中长效胰岛素

第2题,共3个问题
(单选题)全天热卡摄入应为( )
A:1500~1800cal
B:1800~2000cal
C:2100~2500cal
D:2500~2700cal
E:以上都不是

第3题,共3个问题
(单选题)其他有关饮食的安排正确的是( )
A:饮食方案与确诊前一样
B:脂肪占总热量的15%
C:碳水化合物为总热量的40%~55%
D:蛋白质摄入量为每千克体重1.5~2.0g
E:开始使用药物治疗后血糖降至正常即可增加食量
下述各项柯兴氏综合征肾上腺皮质的病理改变中,最常见者为()。
A:腺瘤
B:腺癌
C:双侧增生
D:单侧增生
E:增生伴腺瘤
性激素属于氨基酸类激素
糖尿病周围神经病变晚期表现( )
A:肌力减弱
B:肢体麻木
C:痛觉过敏
D:肢体烧灼样感
E:腱反射亢进
应用胰岛素最常见的不良反应是()。
A:视力改变
B:局部脂肪萎缩
C:过敏反应
D:注射部位感染
E:低血糖
患者女,68岁,因“眼睑和双下肢水肿15d,夜间随地排尿、粪”来诊。患者有糖尿病病史10年,高血压病史1年。近1年降血糖药物方案:白天服用二甲双胍和格列奇特,睡前皮下注射人鱼精蛋白锌胰岛素N。同时服用降血压药物。血糖控制在FPG4.4~6.4mmol/L,GHbA1c5.0%~6.5%。近15d出现眼睑和双下肢水肿,夜间随地排尿、粪。查体:T36.5℃,P70次/min,BP130/60mmHg;意识清楚,贫血貌,呼吸正常,四肢肌力正常,眼睑和双下肢水肿。该患者目前诊断考虑(提示:血常规:WBC4.3×109/L,N0.60,RBC3.2×1012/L,Hb92g/L,PLT204×109/L;尿常规:蛋白质(+++);FPG9.1mmol/L;心肌酶:CK36U/L,AST25U/L,LDH158U/L,CK-MB82U/L;血浆总蛋白56g/L,清蛋白2356g/L;血Scr156μmol/L,BUN12mmol/L。ECG://窦性心律,ST-T改变。)()。
A:2型糖尿病
B:脑卒中
C:糖尿病肾病
D:急性左心功能不全
E:药物性低血糖
F:高血压
患者男,56岁,因“空腹血糖增高”来诊。患者患高血压多年,诊断为2型糖尿病3年,一直坚持饮食和运动治疗,同时口服二甲双胍0.5g,3次/d,格列奇特80mg,2次/d。最近一次空腹血糖为8.0mmol/L。若患者丙氨酸氨基转移酶120U/L,尿蛋白(+++),最适合的替换方案是()。
A:格列奇特+基础胰岛素
B:格列喹酮+基础胰岛素
C:噻唑烷二酮类+早晚餐前预混胰岛素
D:二甲双胍+早晚餐前预混胰岛素
E:噻唑烷二酮类+α-糖苷酶抑制剂+基础胰岛素
关于生长激素缺乏性侏儒症不正确的是( )
A:生长速度极为缓慢
B:成年后多保持童年体形和外貌
C:智力发育一般正常
D:成年身高一般不超过130cm
E:青春期性器官发育正常或不出现发育延迟
关于17α-羟化酶缺陷症,以下哪项是错误的( )
A:男性假两性畸形或女性第二性征不发育,原发性闭经同时伴低钾血症,代谢性碱中毒和高血压,低肾素活性、高血浆醛固酮 
B:男性假两性畸形或女性第二性征不发育,原发性闭经同时伴低钾血症,代谢性碱中毒和高血压,低肾素活性、低血浆醛固酮 
C:男性假两性畸形或女性第二性征不发育,原发性闭经同时伴低钾血症,高血压,低肾素活性、低血浆醛固酮,高11-去氧皮质酮 
D:男性假两性畸形或女性第二性征不发育,原发性闭经同时伴低钾血症,高血压,高11-去氧皮质酮,高18-羟皮质酮/醛固酮的比值 
E:男性假两性畸形或女性第二性征不发育,原发性闭经同时伴低钾血症,高血压,高11-去氧皮质酮,高黄体酮、皮质酮 
女性,28岁。乏力半年。因发作性手足搐搦伴软瘫3次就诊。体检:神志清楚,对答切题。四肢不能自主运动,肌力2级,无明显肌萎缩。血压180/110mmHg,心率92次/分,律齐。患者此时血钾报告为2.5mmol/L,24小时尿钾30mmol/L,为了进一步明确诊断,应选择的检查是()。
A:血管紧张素Ⅱ加血钠测定
B:ACTH兴奋试验
C:地塞米松抑制试验
D:胰岛素低血糖兴奋试验
E:肾素一血管紧张素一醛固酮测定
Graves病患者的甲状腺(131)I摄取率降低。
患者,男,55岁。身高172cm,体重80kg。因胃纳亢进易饥,伴心慌、多汗2个月余就诊。体检:明显肥胖,情绪较急躁、皮肤略潮湿,甲状腺不大。心率124次/分,血压140/70mmHg。双手细微震颤(-)。此时患者HbAlc8.7%,推测患者血糖水平持续增高至少多长时间()。
A:2~3周
B:2~3个月
C:4~6周
D:2~3天
E:6个月
女性患者,45岁,近半年来体重明显增加,近2月来自感疲劳、怕冷,记忆力减退,厌食、腹胀、便秘,月经紊乱,双下肢凹陷性水肿。

第1题,共2个问题
(单选题)对确定原发性甲减的病因下列检查最有价值的是()。
A:甲状腺穿刺活检
B:血清T3、T4
C:血清TSH
D:血清FT4
E:血清TgAB、TPOAB

第2题,共2个问题
(单选题)该患者最可能的诊断是()。
A:肥胖症
B:更年期综合征
C:甲状腺功能减退
D:抑郁症
E:急性肾炎
患者,男性,60岁,多饮多尿2周,嗜睡2天,有脱水表现,血尿素氮429mmol/L,血钠150mmol/L,尿酮体阴性,如诊断高渗性非酮症糖尿病昏迷。

第1题,共4个问题
(单选题)下列哪项检查为主要依据()。
A:血二氧化碳检查为主要依据
B:血钾4.0mmol/L
C:尿糖(+++)
D:尿蛋白(++)
E:血糖36.1mmol/L

第2题,共4个问题
(单选题)对此病人宜采取哪种措施()。
A:大剂量胰岛素+等渗盐水
B:小剂量胰岛素+等渗盐水
C:大剂量胰岛素+低渗盐水
D:小剂量胰岛素+低渗盐水
E:小剂量胰岛素+低渗盐水+碳酸氢钠

第3题,共4个问题
(单选题)提示:治疗后复查血钠:162mmol/L提问:此时应怎样治疗()。
A:大量低渗盐水,快速静脉滴注
B:大量等渗盐水静脉滴注
C:等渗盐水+小剂量胰岛素静脉滴注
D:低渗盐水+大剂量胰岛素静脉滴注
E:低渗盐水+小剂量胰岛素静脉滴注

第4题,共4个问题
(单选题)提示:病人经治疗后意识恢复,血糖迅速降至正常范围,1小时后又进入昏迷状态,最可能发生的是()。
A:低血糖昏迷
B:酸中毒昏迷
C:反应性高血糖症
D:脑水肿
E:稀释性低钠血症
甲状腺功能亢进症的主要临床表现是()。
A:突眼、心率增快,基础代谢率增高
B:心慌、多食、消瘦、怕热、腿软、乏力
C:代谢亢进、神经兴奋性增高、突眼、甲状腺肿大
D:甲状腺肿大、基础代谢率增高
E:兴奋、急躁、心率增快、怕热多汗
患者,29岁。糖尿病史5年。近1周发热、乏力,嗜睡2天,昏迷5小时入院。血糖23.1mmol/L,血酮(++),pH7.2。下列哪项治疗方案是正确的( )
A:皮下注射胰岛素加碳酸氢钠静脉注射
B:补液加小剂量静脉滴注胰岛素
C:静脉推注胰岛素
D:小剂量静滴胰岛素治疗加碳酸氢钠静脉滴注
E:小剂量静脉注射胰岛素治疗加纠正电解质紊乱
抗甲状腺药物的不良反应可有( )
A:甲减
B:白细胞减少
C:出血
D:药疹
E:肝细胞损害
抢救体重约50kg糖尿病酮症酸中毒的患者时,胰岛素用量为()。
A:4-6U/h
B:7-10U/h
C:11-20U/h
D:21-30U/h
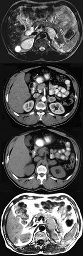
女,34岁,无意中发现血压升高4个月就诊,行CT检查,如图所示,下列说法正确的是( )
A:CT示左侧肾上腺区可见一等密度块影,边界清楚
B:增强扫描,该病灶周边明显强化,中心处强化不明显
C:考虑为左肾上腺腺瘤
D:考虑为左肾上腺嗜铬细胞瘤
E:考虑为左肾上腺转移瘤
下列哪些疾病可引起高胰岛素血症?( )
A:肥胖
B:高血压
C:冠心病
D:脑动脉硬化
E:胰岛素瘤
男性,26岁。糖尿病病程10年,胰岛素治疗。血糖未监测,时有低血糖症。近3个月眼睑及下肢浮肿,血糖300mg/L,尿蛋白排泄率1801μg/min,WBC0~3/HP,颗粒管型少许,血尿素氮、肌酐正常。

第1题,共5个问题
(单选题)在该病的发生发展中,该患者属于病期()。
A:高滤过期
B:间歇性蛋白尿期
C:微量清蛋白尿期(早期肾病)
D:临床肾病期
E:尿毒症期

第2题,共5个问题
(单选题)诊断考虑()。
A:胰岛素性水肿
B:肾动脉硬化
C:肾盂肾炎
D:急性肾炎
E:糖尿病肾病

第3题,共5个问题
(单选题)该病例中,减轻蛋白尿应该选用()。
A:利尿剂
B:钙拮抗剂
C:β受体阻滞剂
D:血管紧张素转换酶抑制剂
E:血管紧张素Ⅱ受体阻滞剂

第4题,共5个问题
(单选题)饮食中蛋白质含量应限制在()。
A:1.5~2.0g/kg·d
B:1.2~1.5g/kg·d
C:0.8~1.2g/kg·d
D:0.8g/kg·d
E:0.6g/kg·d

第5题,共5个问题
(单选题)饮食治疗应特别注意()。
A:减少脂肪含量
B:减少动物蛋白质含量
C:减少蛋白质含量
D:减少碳水化合物含量
E:减少植物蛋白质含量

患者,女,56岁。近2d出现口周麻木、手足抽搐如助产士手,曾有一过性的神志丧失。



第1题,共4个问题
(单选题)下列哪项检查暂不需要( )
A:血游离钙、磷,尿游离钙、磷
B:血PTH
C:血肾功能
D:血气分析
E:血清蛋白测定

第2题,共4个问题
(单选题)下列哪类电解质紊乱与症状加重关系不大( )
A:血钙
B:血磷
C:血钾
D:血铁
E:血镁

第3题,共4个问题
(单选题)若血PTH减低,最可能的诊断是( )
A:甲旁减
B:原发性甲旁亢
C:氟骨症
D:肾性骨病
E:骨软化症

第4题,共4个问题
(单选题)该患者的实验室检查不会出现下列何种情况( )
A:Chevostek征与Trousseau征阳性
B:肾功能正常
C:血钙低、血磷高、尿钙排出增加、尿磷排出减少
D:头颅CT示转移性钙化
E:心电图可见QT间期延长,T波低平,传导阻滞
患者,男,16岁,近半年来多尿,多饮,查空腹血糖16mmol/L,酮体(+)。查体:身高1.70m,体重50kg,心、肺、腹检查无明显异常。其他有关饮食的安排正确的是()。
A:饮食方案与确诊前一样
B:脂肪占总热量的15%
C:碳水化合物为总热量的40%~55%
D:蛋白质摄入量为每千克体重1.5~2.0g
E:开始使用药物治疗后血糖降至正常即可增加食量
简述糖尿病足的Wagner分级。