出自:消化内科学高级职称

溃疡型肠结核的最典型的临床表现是( )
A:多有结核毒血症表现
B:易并发肠急性穿孔
C:常有腹泻,多为脓血便
D:常引起大量肠出血
E:多不伴有肠外结核
男,35岁,间歇性左下腹痛、解脓血便5年,多次大便培养阴性,反复抗生素治疗无效,外院钡灌肠检查示“慢性结肠炎”。查体:腹平软,左下腹轻压痛,未扪及包块。肛检见肛瘘和肛裂。 根据上述资料,最可能的诊断是( )
A:结肠癌
B:克罗恩病
C:慢性阿米巴痢疾
D:慢性细菌性痢疾
E:溃疡性结肠炎
男性,60岁,刺激性咳嗽3周,呈高调金属音,抗生素治疗后无好转,并出现右腋下疼痛,呈火灼样,向右上肢内侧放射,患者吸烟20年,每天10支。应考虑下列哪一种情况()。
A:肺癌转移到肋骨
B:肺癌压迫肋间神经
C:Pancoast癌
D:类癌综合征
E:肺癌引起的神经肌肉综合征
哪些表现符合恶性溃疡的诊断( )
A:溃疡直径>2、5cm
B:胃肠钡餐检查示龛影突出于胃腔轮廓外
C:溃疡周围皱襞增粗变形和中断现像
D:胃壁僵硬,蠕动减弱
E:胃镜下显示溃疡不规则,覆有污秽苔,周围隆起充血
男性,38岁,上腹痛12小时,腹胀,阑尾切除术后5年,查体:上腹压痛,胁腹皮肤呈灰紫色斑,血清淀粉酶<5U(Somogyi法)。最可能的诊断是()。
A:急性肠梗阻
B:急性轻度胰腺炎
C:消化性溃疡急性穿孔
D:急性心肌梗死
E:急性重症胰腺炎
粪便隐血试验呈现阳性,每日出血量要达到()。
A:50ml
B:20~30ml
C:10ml
D:5ml以上
E:20m
男,56岁,因偏瘫和失语入院,诊断为多发脑梗死。既往身体健康。病后第二天突然呕吐咖啡样物2次,量约300ml。首选治疗为( )
A:口服凝血酶
B:口服去甲肾上腺素冰盐水
C:静脉注射立止血
D:静脉滴注奥曲肽
E:静脉滴注洛赛克
胃溃疡疼痛的节律性表现为( )
A:空腹痛
B:夜间痛
C:进餐时疼痛
D:餐后0.5—1小时疼痛
E:餐后3—4小时疼痛
下列哪项实验室检查不符合肝硬化失代偿期表现( )
A:胆固醇常低于正常
B:肝严重坏死时,SGOT活力常增高
C:血清MAO增高
D:血清白蛋白减少,γ-球蛋白显著增高
E:凝血酶原时间延长,注射维生素K可以纠正
原发性肝癌按细胞分型可分为____________,____________,______________。
男,40岁,缓起慢性腹泻3年,每日大便3~4次,粪呈糊状混有粘液、脓血,腹痛时有便意,便后腹痛可缓解。查体:左下腹轻压痛。X线钡灌肠可见肠壁边缘毛刺状或锯齿状改变。不适合的处理是( )
A:5-氨基水杨酸+糖皮质激素灌肠
B:大剂量肾上腺皮质激素静脉滴注
C:用柳氮磺胺吡啶口服治疗
D:柳氮磺胺吡啶与灭滴灵合用
E:用5-氨基水杨酸灌肠,每天1次
休克可见于急性水肿型胰腺炎
下列情况可出现红细胞尿,但除外()。
A:SLE
B:白血病
C:急性溶血
D:肾结核
E:感染性心内膜炎
肝昏迷患者给予肠道抗生素最主要的目的是()。
A:减少真菌的繁殖
B:清除致病菌的毒素
C:抑制肠道细菌,减少氨的形成
D:预防自发性腹膜炎
E:防止继发性肠道感染
发生炎性息肉最多见于( )
非干酪性肉芽肿见于( )
A:肠克罗恩病
B:肠阿米巴病
C:肠结核
D:溃疡性结肠炎
E:结肠癌
乳头切开术前最需要胆管测压检查的是()。
A:Ⅰ型SOD
B:Ⅱ型SOD
C:Ⅲ型SOD
D:Ⅳ型SOD
E:Ⅴ型SOD
急性上消化道大量出血是指()。
A:24小时内失血量超过200ml或循环血量的5%
B:24小时内失血量超过500ml或循环血量的10%
C:24小时内失血量超过1000ml或循环血量的10%
D:24小时内失血量超过1000ml或循环血量的20%
E:24小时内失血量超过2000ml或循环血量的20%
痘疮样胃炎
下列哪项是慢性胃炎的最主要病因( )
A:胃酸和胃蛋白酶
B:非甾体抗炎药
C:幽门螺杆菌
D:自身免疫
E:十二指肠液反流
关于肠扭转的病因是( )
A:肠系膜过长
B:肠系膜根部附着过窄
C:肠段内重量突然增加
D:肠管动力异常
E:肠系膜过短
男性,农民,35岁。乏力、纳差半年余,常有中上腹隐痛及稀便。近日大便发黑,隐血(++)粪便虫卵浓集检查蛔虫卵(+)、钩虫卵(+)、鞭虫卵(+),血红蛋白70g/L。引起出血的最可能原因是()。
A:消化性溃疡
B:慢性胃炎
C:胃癌
D:钩虫病
E:蛔虫病
再生障碍性贫血与阵发性睡眠性血红蛋白尿最主要的鉴别点是()。
A:前者有全血细胞减少,后者无
B:前者有血小板减少,后者无
C:前者骨髓增生低下,后者无
D:后者Ham实验阳性
E:前者有血红蛋白减少,后者无
反流性食管炎可用下列哪些药物治()。
A:甲氧氯普胺(胃复安)
B:多潘立酮(吗丁啉)
C:阿托品
D:质子泵抑制药
E:咖啡因
女性,67岁。"胆石症"10余年。2小时前餐后出现剧烈上腹痛并向腰背放射,伴恶心、呕吐、发热。体查:BP120/70mmHg,P92次/分,巩膜轻度黄染,上腹明显压痛,伴反跳痛及肌紧张,移动性浊音阴性。血清淀粉酶1200U/L,血钙:2.0mmol/L,血糖:8.0mmol/L。

第1题,共3个问题
(单选题)为了明确病因,需要进一步检查()。
A:肝胆脾胰超声
B:胃镜
C:立位腹平片
D:上消化道照影
E:血脂肪酶

第2题,共3个问题
(单选题)关于治疗,错误的是()。
A:禁食水
B:胃肠减压
C:抗生素
D:抑酸
E:生长抑素

第3题,共3个问题
(单选题)诊断应首先考虑()。
A:急性心肌梗死
B:急性重症胰腺炎
C:急性阑尾炎
D:消化性溃疡慢性穿透
E:胆源性急性胰腺炎
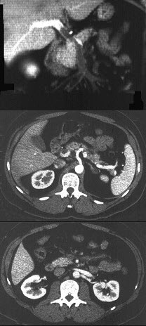
男性,40岁,半年前因双下肢麻木、发凉、疼痛于外院诊断血栓闭塞性脉管炎,近1周腹痛、腹胀,以中下腹为著,呈阵发性加剧就诊,行CT增强扫描,如图所示( )
A:胰头部略膨隆,内部密度不均。
B:门静脉及肠系膜肠系膜上静脉增宽。
C:门静脉及肠系膜静脉内见条形充盈缺损。
D:考虑为胰头癌。
E:考虑为门静脉及肠系膜内血栓形成。
急性糜烂性胃炎发病原因中,以下哪一种是最重要的( )
A:去甲肾上腺素,糖皮质激素分泌增多
B:胃粘膜缺血和胃酸分泌
C:粘液分泌减少
D:前列腺素合成减少
E:血栓素,白三烯合成增多
诊断嗜酸细胞胃肠炎最有效的检查是()。
A:粪检
B:骨髓穿刺
C:腹部CT
D:消化内镜下多点黏膜活检
E:全消化道造影
可引起肿瘤的原癌基因突变()。
A:基因扩增
B:低甲基化
C:点突变
D:强启动子或增强子插入基因调控区
E:易位到活跃转录基因的下游
中上部持续剧痛,并阵发性加剧多为( )
A:急性弥漫性腹膜炎
B:胆道蛔虫症
C:消化性溃疡
D:急性胰腺炎
E:肠结核

男,43岁,有胃溃疡病史10年,近3个月疼痛加剧并失去节律性,伴嗳气,无呕吐,换用多种制酸药无效。查体:颈浅淋巴结无肿大,腹平软,上腹轻压痛,可扪及肿块,质硬。



第1题,共4个问题
(单选题)处理方法首选是()。
A:继续内科保守治疗
B:手术治疗
C:定期复查追踪
D:化疗+支持疗法
E:放疗+对症处理

第2题,共4个问题
(单选题)处理方法首选是()。
A:继续内科保守治疗
B:手术治疗
C:定期复查追踪
D:化疗+支持疗法
E:放疗+对症处理

第3题,共4个问题
(单选题)就已有资料考虑,最可能的诊断是()。
A:伴穿透性溃疡
B:伴幽门梗阻
C:伴上消化道出血
D:复合性溃疡
E:胃溃疡癌变

第4题,共4个问题
(单选题)首选以下哪项检查()。
A:B型超声
B:胃镜检查
C:大便隐血试验
D:胃液分析
E:钡餐