自考题库
首页
所有科目
自考历年真题
考试分类
关于本站
游客
账号设置
退出登录
注册
登录
出自:消化内科学高级职称
可引起上腹部疼痛的疾病是()。
A:急性胰腺炎
B:急性心肌梗死
C:急性肺炎
D:急性胆囊炎
E:带状疱疹
患者男,70岁。近2年出现消瘦,进行性吞咽困难,胸骨后疼痛症状,遂来院就诊。 据患者病史,该患者可通过以下什么检查方法明确诊断()。
A:X线钡餐透视
B:超声内镜
C:胃镜
D:肠镜
E:食管CT
F:胸片
男性28岁,上腹部疼痛以夜间疼痛突出已1月,用甲氰咪胍滴注,疼痛不减轻,胃肠钡餐检查未发现异常,首先应考虑( )
A:复合溃疡
B:“对吻”溃疡
C:球后溃疡
D:穿透性溃疡
E:幽门管溃疡
应用抑酸药,致使pH
第1题,共3个问题
(单选题)根除幽门螺杆菌时()。
A:>3
B:>4
C:>5
D:>6
E:>7
第2题,共3个问题
(单选题)治疗胃黏膜破损出血()。
A:>3
B:>4
C:>5
D:>6
E:>7
第3题,共3个问题
(单选题)胃食管反流病时()。
A:>3
B:>4
C:>5
D:>6
E:>7
诊断原发性肝癌的最重要依据是()。
A:放射性核素肝扫描示占位性病变
B:右膈肌升高及运动受限
C:A型超声波检查肝区有束状波
D:碱性磷酸酶γ-谷氨酰转肽酶增高
E:甲胎蛋白持续阳性
慢性浅表性胃炎的胃镜下表现为
A:黏膜呈颗粒状
B:红斑
C:黏膜血管显露
D:出血点
E:色泽灰暗
女性患者,29岁。克罗恩病病史5年。近日突然出现剧烈腹痛,伴恶心,呕吐胃内容物,发热,3天未排大便。其原因可能是()。
A:克罗恩病复发
B:并发肠梗阻
C:并发癌变
D:瘘管形成
E:发生急性阑尾炎
肝外胆管结石多发生于_________;肝内胆管结石以__________和___________多见。
患儿,男,1岁,生后8个月时因患肺炎于外院诊断为先天性心脏病。查体:生长发育差,心尖搏动弥散,胸骨左缘第3、4肋间可闻及4/6级粗糙的全收缩期杂音,传导广泛,震颤,P
2
亢进。应诊断为()。
A:房间隔缺损
B:室间隔缺损
C:动脉导管未闭
D:主动脉瓣关闭不全
E:肺动脉瓣狭窄
患者男,64岁。以间歇性上腹痛和腹泻2年来院就诊。既往史:大量饮酒史。查体:腹软,上腹压痛,无反跳痛及肌紧张。粗略鉴别诊断考虑检查下列哪项()。
A:CA199
B:立位腹平片
C:尿常规
D:胃镜
E:血常规
F:肝功能
急性化脓性梗阻性胆管炎的病理改变为( )
A:胆管扩张
B:胆管内脓液
C:胆管壁广泛炎症
D:肝细胞损害
E:大量细菌及内毒素进入肝窦
十二指肠球部溃疡时,酸负荷情况是()。
A:明显增加
B:减少
C:缺如
D:正常
E:轻度增加
在溃疡病发病机理中,胃酸分泌增多,与哪项无关()。
A:迷走神经释放乙酰胆碱
B:G细胞分泌胃泌素
C:壁细胞反应性增高
D:主细胞分泌增加
E:PCM增大
在引起急性胰腺炎的病因中,下列哪项是错误的()。
A:胆石症
B:高脂血症
C:暴饮暴食
D:饮酒
E:食后运动
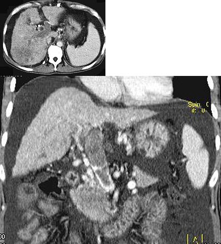
女性,50岁,曾患乙型肝炎,肝硬化多年,右上腹胀痛1月余,CT检查如图所示,最全面的诊断是( )
A:肝硬化、腹水伴胆管细胞癌
B:肝硬化、腹水伴原发性肝癌
C:肝硬化、腹水、肝癌并门脉癌栓
D:肝硬化、腹水并肝脓肿
E:肝硬化、腹水并肝血管瘤
急性胰腺炎时,胰腺组织的损伤过程中产生一系列炎性介质,包括()。
A:氧自由基
B:血小板活化因子
C:前列腺素
D:白细胞三烯
E:血栓素
属于Crohn病肠外表现的是( )
属于Crohn病并发症的是( )
A:腹腔内脓肿
B:腹泻
C:瘘管形成
D:杵状指(趾)
E:腹痛
患者女,34岁,体检发现氨基转移酶升高,进一步检查提示:肝功能ALT315U/L,AST210U/L,ALP108U/L,GGT56U/L,ALB38.3g/L,GLO49g/L,CHE7.26kU/L,TBil14.38μmol/L。肝炎病毒标志物阴性。免疫球蛋G4680mg/dl。ANA1∶160(胞浆),AMA-M2(-)。铁蛋白、血清铁、总铁结合力正常。铜蓝蛋白正常。
第1题,共3个问题
(单选题)此时除了利尿剂及肝性脑病的相关治疗外,还需进行的治疗是()。(提示:12年后,患者因大量腹腔积液、肝性脑病入院,诊断为肝硬化失代偿期。)
A:单用泼尼松
B:泼尼松与硫唑嘌呤联合
C:环孢素A
D:肝移植评估
E:他克莫司
F:布地奈德
第2题,共3个问题
(单选题)目前诊断首先考虑的疾病是()。
A:自身免疫性肝炎
B:原发性胆汁性肝硬化
C:原发性硬化性胆管炎
D:系统性红斑狼疮
E:肝豆状核变性
第3题,共3个问题
(单选题)首选的治疗方案是()。(提示:患者尚未生育,近期准备妊娠。)
A:单用泼尼松
B:泼尼松与硫唑嘌呤联合
C:熊去氧胆酸
D:环孢素A
E:他克莫司
F:硫唑嘌呤
根据临床表现难以区分肠结核与克罗恩病时,最可靠的鉴别方法是( )
A:剖腹探查
B:X线全程钡餐检查
C:多次粪便结核杆菌培养
D:诊断性抗结核治疗
E:全结肠镜检查
能取代脑组织中的假性神经传递体( )
醛固酮拮抗剂( )
H2受体拮抗剂( )
A:左旋多巴
B:法莫替丁
C:甲基多巴
D:安体舒通
E:多巴胺
病例摘要:患者,女性,30岁。早饱、腹胀不适1年,伴恶心,无呕吐、发热、消瘦、黑便等。血尿粪常规、肝肾功能、血糖均正常,体检无阳性体征。胃电图提示餐前胃电节律正常,餐后胃电节律偏缓,5小时胃排空10%。最可能的诊断是()。
A:肠易激综合征
B:功能性消化不良
C:功能性腹胀
D:消化性溃疡
E:早期糖尿病
乙肝痊愈的重要指标是( )
A:人抗HBe转阳
B:DNA抗体阳性
C:DNA多聚酶阳性
D:e抗体转阳
E:抗HBs转阳
女性50岁间歇性发作咽下困难5个月,可因情绪波动诱发,食管吞钡X线检查未见异常。若食管黏膜活检示:黏膜病变,环周有糜烂但无狭窄,该病属于()。
A:正常
B:A级
C:B级
D:C级
E:D级
肝硬化患者,近2d发热38℃,伴腹痛,腹泻,腹胀,查体,肝肋下未及,脾界大,肋下触3cm,腹腔积液征(+),ALT700U/L,胆红素80μmol/L,应进行的检查是()。
A:血常规,粪常规
B:肝功化验
C:抗HAV-IgM或抗HEV
D:凝血酶原时间
E:粪培养
腹部检查触及胆囊位于右锁骨中线肋缘下3cm,且有明显压痛,首先应该考虑的诊断是()。
A:慢性胆囊炎
B:胆囊癌
C:胰头癌
D:急性胆囊炎
E:胆囊结石
亚临床肝性脑病最有用的检查方法( )
慢性肝性脑病最常用的检查方法( )
A:肝功能实验
B:血氨检查
C:诱发电位
D:脑电图检查
E:心理智能测验
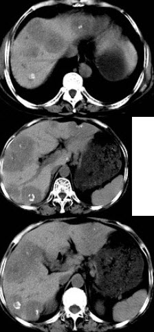
女,55岁,腹胀,肛门闭气,消瘦乏力,肝区疼痛,CT检查如图,最可能的诊断为( )
A:多发性肝脓肿
B:肝癌肝内转移
C:肝淋巴管瘤
D:肝脏囊腺瘤
E:结肠癌肝转移
某肝硬化患者行门体静脉分流术后3个月,全身情况良好,因进食大量蛋白饮食后昏迷,血氨96μg/dl,血电解质正常,血pH7.46,该患者首选哪一种药物治疗为宜( )
A:谷氨酸钠
B:谷氨酸钾
C:支链氨基酸
D:精氨酸
E:荷包牡丹碱
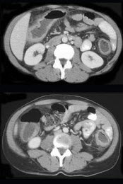
女,40岁,腹痛、腹泻、脓血便、里急后重,结合图像,选择最可能诊断( )
A:假膜性肠炎
B:结肠克罗恩病
C:结肠结核
D:慢性溃疡性肠炎
E:结肠淋巴瘤
男性,40岁,反复上腹痛10年,多为饥饿痛和夜间痛。近1周疼痛加重,突发呕血,暗红色血块及柏油样便。为止血首选下列哪种治疗( )
A:Cimetidin静滴
B:奥曲肽静滴
C:正肾冰盐水口服
D:垂体后叶素静滴
E:质子泵抑制剂奥美拉唑静滴
首页
<上一页
18
19
20
21
22
下一页>
尾页