自考题库
首页
所有科目
自考历年真题
考试分类
关于本站
游客
账号设置
退出登录
注册
登录
出自:消化内科学高级职称
男,60岁,进行性上腹痛6个月,加重伴腰背痛、巩膜黄染1个月。查体:发育正常,营养不良,腹平坦,脐周明显压痛,无反跳痛,未扪及包块,肝脾未触及,腹水征阴性。 最理想的治疗方法是( )
A:放射治疗
B:中医治疗
C:化学药物治疗
D:手术切除
E:支持治疗
患者男,48岁。近1个月来自觉周身乏力,右上腹不适,到医院体检,发现AFP升高,但<500μg/L,肝功能正常,HBsAg(+),HBeAg(+),HBcAb(+)该患者最可能是下列何种疾病()。
A:急性活动性肝炎
B:慢性迁延性肝炎
C:慢性活动性肝炎
D:肝硬化代偿期
E:原发性肝癌
F:肝炎携带者
一肝硬化腹水患者治疗中出现双手扑翼样震颤,神志不清,最可能诊断为( )
A:肝性脑病
B:脑血管意外
C:低血糖
D:中毒性脑病
E:尿毒症
男性患者,51岁。乙肝病史19年,大量饮酒史30年,1年来出现乏力、腹胀、尿量减少,偶有牙出血和鼻出血。1天前,劳累后突然出现恶心,呕新鲜血,含有血块,共约1000ml。查体:BP85/40mmHg,P130次/分,神志淡漠。该患者不会出现的并发症是()。
A:穿孔
B:出血
C:癌变
D:胃多发息肉
E:幽门梗阻
女,42岁,胸骨后疼痛伴反胃2年,服胃舒平能缓解症状,多次心电图检查正常。
第1题,共3个问题
(单选题)关于反流性食管炎的治疗,
不正确
的是()。
A:减少胃食管反流
B:避免反流物刺激
C:改善LES功能状态
D:用抗胆碱药物解除疼痛
E:重症病人经内科治疗无效者,可考虑手术治疗
第2题,共3个问题
(单选题)反流性食管炎的病人不宜选用的药物是()。
A:胃复安
B:氧化镁
C:甲氰咪胍
D:吗丁啉
E:阿托品
第3题,共3个问题
(单选题)最可能的诊断是()。
A:心绞痛
B:反流性食管炎
C:浅表性胃炎
D:胃溃疡
E:食管癌
肝炎后肝硬化所致( )
血吸虫肝硬化所致( )
A:门静脉高压症的主要阻塞部位在窦前
B:门静脉高压症的主要阻塞部位在窦后
C:门静脉高压症的主要阻塞部位在窦旁
D:门静脉高压症的主要阻塞部位在肝前
E:门静脉高压症的主要阻塞部位在肝后
男,70岁,1年前有脑卒中史,体检发现患者双侧额纹对称,右侧鼻唇沟变浅,伸舌舌尖偏向右侧,右上肢肢体在床面上能水平移动,但不能抬离床面,右下肢肢体能抬离床面,但不能抗阻力。右侧鼻唇沟变浅提示()。
A:右侧面神经周围性损害
B:左侧面神经周围性损害
C:右侧面神经中枢性损害
D:左侧面神经中枢性损害
E:左侧三叉神经损害
女性,48岁。3年前确诊肝硬化,常有上腹隐痛,纳差。1天前突然呕吐棕褐色胃内容物一次,量约200ml。最可能的出血原因是()。
A:食管胃底静脉曲张破裂
B:胃癌
C:消化性溃疡
D:反流性食管炎
E:食管憩室
一小儿玩耍时,突然出现烦躁不安,唇发绀,呈吸气性呼吸困难,并有“三凹征”,考虑可能的原因是()。
A:气管异物
B:呼吸衰竭
C:大量胸腔积液
D:自发性气胸
E:急性支气管炎
下列反映肝脏储备功能的是()。
A:血清白蛋白测定
B:转氨酶测定
C:血清球蛋白测定
D:凝血酶原时间测定
E:吲哚菁绿清除试验
关于球后溃疡的临床表现,下列哪项不符合()。
A:夜间痛常见
B:疼痛常向背部放散
C:症状较一般十二指肠溃疡严重而持续
D:不易出血
E:内科疗效差
男性,30岁。节律性中上腹痛3年,近2天柏油样便来门诊,体检:血压18/10kPa,上腹部轻度压痛,未扪及包块。首要的处理是()。
A:立即胃镜检查明确诊断
B:三腔管压迫止血
C:静脉滴注西咪替丁
D:冰水洗胃
E:静脉滴注止血药
男性,65岁。20年前诊断为右心衰竭,15年前诊断为肝硬化。下列哪项不可能出现()。
A:肝脏增大
B:肝脏缩小
C:AFP增高
D:下腔静脉增宽
E:肝静脉增宽
诊断食管炎最准确的方法是()。
A:24小时食管pH监测
B:食管测压
C:内镜检查+活检
D:食管吞钡X线
E:食管滴酸试验
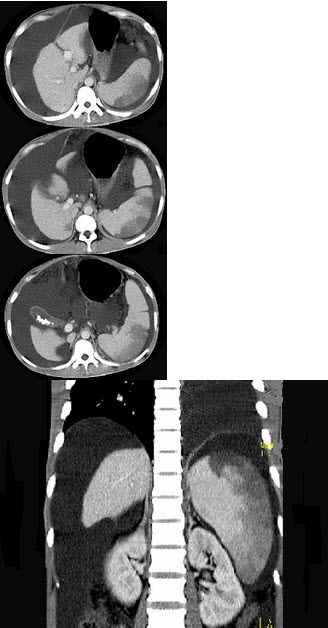
患者男,29岁,乙肝病史10余年,腹胀,有移动性浊音,影像检查如图,最全面的诊断是( )
A:肝硬化
B:肝硬化腹水
C:肝硬化腹水、脾梗、胆囊结石
D:大网膜膈下间位及脾梗
E:胆结石及脾梗
男性青年患者,顽固性上腹饥饿性疼痛2~3年,钡餐显示十二指肠球部溃疡,经抗酸剂和雷尼替丁治疗无效,进一步应采取以下哪一措施最妥( )
A:手术治疗
B:法莫替丁治疗
C:硫糖铝治疗
D:吗丁啉治疗
E:洛赛克治疗
病例摘要:男性,24岁,突然意识不清,跌倒,全身强直数秒钟后抽搐,咬破舌。2分钟后抽搐停止,醒后活动正常。
第1题,共3个问题
(单选题)应进一步做的检查是()。
A:头颅X线片
B:脑电图
C:脑脊液检查
D:脑血管造影
E:E.经颅超声多普勒(TC
第2题,共3个问题
(单选题)治疗的首选药物是()。
A:降颅压药
B:溶栓治疗
C:止血药
D:扩血管药
E:抗癫痫药
第3题,共3个问题
(单选题)首先应考虑的疾病是()。
A:脑出血
B:脑血栓
C:蛛网膜下腔出血
D:癫痫
E:脑栓塞
下列哪项不是胆囊炎发病的原因( )
A:细菌感染
B:胆囊结石引起梗阻
C:胆囊管扭转、狭窄
D:胆盐浓度过高
E:胆固醇含量增加
腹腔-颈静脉引流治疗肝硬化腹水,常见的并发症
不包括
()。
A:腹水漏
B:肺水肿
C:弥漫性血管内凝血
D:肝性脑病
E:感染
急性胰腺炎应与下列哪些疾病相鉴别()。
A:消化性溃疡胃穿孔
B:急性心肌梗死
C:胆石症和急性胆囊炎
D:肠系膜血管栓塞
E:急性肠梗阻
病例摘要:女性,48岁。发作性剑突下及右上腹绞痛3日,伴有寒战,半年前有过类似发作史。查体:体温39℃,脉搏110次/分,血压140/85mmHg。血常规检查:WBC12×10
9
/L,N0.80,神志清楚,皮肤、巩膜轻度黄染,右肋缘下扪及肿大的胆囊,触痛。 首选的检查方法是()。
A:腹部B超
B:MRCP
C:ERCP
D:PTC
E:腹部CT
下面哪项不是肝性脑病的常见诱因()。
A:上消化道出血
B:放腹水
C:高纤维饮食
D:大量排钾利尿
E:催眠镇静药
男性,38岁,5小时前突发中上腹剧烈疼痛,“刀割样”,查体发现全腹胀,全腹有压痛,反跳痛,以剑突下偏右以及右下腹最明显,全腹肌紧张。移动性浊音(土)。如上述检查结果均为正常时,以下哪项处理是不恰当的( )
A:抗生素应用
B:胃肠减压
C:补液支持
D:解质止痛药物
E:留院观察
慢性胃炎的治疗药物有()。
A:抑酸药
B:抗酸药
C:促胃肠动力药
D:胃黏膜保护药
E:中药
经AFP普查检出的早期病例可无任何症状和体征,称为亚临床肝癌
患者男,45岁,因肝硬化失代偿期行肝移植术,术后第7天出现发热,右上腹胀痛,分泌胆汁颜色变淡。
第1题,共5个问题
(多选题)为初步诊断应紧急检查的项目包括()。(提示:查体:体温38.8℃,脉搏95次/min,呼吸20次/min,血压105/60mmHg。巩膜黄染,右上腹压痛,无反跳痛及肌紧张,肝肋下2cm,有触痛,肝区叩痛。)
A:血常规
B:腹部B型超声检查
C:碱性磷酸酶
D:血清丙氨酸氨基转移酶
E:立位腹部X线平片
F:血清胆红素
第2题,共5个问题
(单选题)为明确诊断,应进行的金标准检查项目为()。(提示:患者经处理后,丙氨酸氨基转移酶及总胆红素均有下降。)
A:腹部B型超声
B:肝穿刺活检
C:肝功能检查
D:逆行性胰胆管造影
E:经皮肝穿刺胆管造影
F:T管造影
第3题,共5个问题
(单选题)此时首选的治疗为()。(提示:若患者T管造影显示为吻合口狭窄。)
A:胆肠吻合术
B:再次肝移植
C:内镜介入治疗
D:药物保肝治疗
E:胆管冲洗
F:血浆置换
第4题,共5个问题
(单选题)该患者可能的诊断为()。(提示:辅助检查:白细胞15×10/L,嗜酸粒细胞0.12,血清总胆红素88μmol/L,丙氨酸氨基转移酶410U/L。)
A:超急性排斥反应
B:门静脉血栓形成
C:急性排斥反应
D:胆道吻合口漏
第5题,共5个问题
(单选题)首选考虑的处理措施为()。
A:激素冲击治疗,增加环孢素A或FK506用量
B:切除移植肝,再次肝移植
C:剖腹探查,摘除门静脉血栓
D:剖腹探查,修补胆肠吻合口瘘
E:行血管造影检查
F:抗病毒治疗
结核性腹膜炎腹水检查中,
不正确
的是( )
A:偶见乳糜样腹水
B:比重一般超过1.018,蛋白含量在30g/L以上
C:合并肝硬化时其腹水性质接近漏出液。
D:白细胞计数超过500×10
6
/L,以淋巴细胞为主
E:腹水浓缩后作结核分枝杆菌培养阳性率较高
急性肾衰竭的主要临床表现是()。
A:水、电解质和酸碱平衡紊乱
B:严重贫血
C:血肌酐和尿素氮升高
D:肾性骨营养不良症
E:全身各系统并发症
胆汁淤积性黄疸的临床表现。
关于一过性LES松弛的描述正确的是()。
A:指非吞咽时LES的自发松弛
B:松弛时间长于吞咽时的LES松弛时间
C:指正常吞咽时,LES松弛,食物得以进入胃内
D:是正常人生理性胃食管反流的主要原因
E:是LES压正常的胃食管反流的主要发病机制
首页
<上一页
179
180
181
182
183
下一页>
尾页