自考题库
首页
所有科目
自考历年真题
考试分类
关于本站
游客
账号设置
退出登录
注册
登录
出自:肿瘤学高级职称
肿瘤分期的主要原则是什么?
下列哪项检查对鼻咽癌的诊断最有价值( )
A:鼻咽镜检查
B:CT扫描
C:颈部肿块针吸活检
D:鼻咽部活检
E:EB病毒血清学诊断
局部晚期乳癌的合理治疗方法为
A:单独手术
B:单独放射治疗
C:单独化学治疗
D:手术和放射治疗
E:化学治疗、放射治疗和手术
头颈部鳞癌再增殖的时间在治疗后开始,以后就出现加速再增殖()。
A:1周左右
B:2周左右
C:4周左右
D:8周左右
E:不会出现
TD5/5
Her-2过表达乳腺癌的临床特点是()。
A:恶性程度高,侵袭性强
B:易出现复发转移
C:对CMF方案耐药
D:对他莫昔芬耐药
E:以上均是
恶性骨肿瘤最主要的确诊依据是( )
A:家族史
B:临床表现有明显的体征
C:病理组织学检查
D:化验检查
E:影像学检查
女,64岁,发现双甲状腺肿大1月余,CT如图所示,最可能诊断为( )
A:结节性甲状腺肿
B:甲状腺腺瘤
C:甲状腺癌并淋巴结转移
D:甲状腺转移瘤
E:甲状腺结核
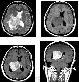
女,45岁,右眼视力下降8个月,右颜面麻木半个月,时有头昏,味觉减退,请根据所提供图像,选择最可能的诊断
A:(右侧脑室)脑膜瘤(合体细胞型)
B:(右侧脑室)室管膜瘤
C:(右侧脑室)脉络膜乳头状瘤
D:(右侧脑室)胶质瘤
E:(右侧脑室)转移瘤
下列药物中
不属于
麻醉药品的是()。
A:度冷丁
B:芬太尼
C:强痛定
D:吗啡
E:氢可酮
下列属于癌症二级预防的是( )
A:减少暴露于致癌物
B:消除暴露于致癌物
C:早期发现癌症
D:治疗癌症
E:防止并发症
对放射敏感性的理解,正确的是()。
A:放射敏感性是指某一肿瘤能否被彻底治愈
B:放射敏感性越高的肿瘤,治疗效果越好
C:放射敏感性的主要影响因素包括:细胞的固有敏感性、乏氧细胞的比例以及放射损伤的修复
D:放射敏感性低的肿瘤放射治疗无效
E:以上说法都不对
乳腺纤维瘤超声表现。
患者女,49岁,右乳改良根治术后病理:浸润性导管癌Ⅲ级,2.5cm×2.1cm,腋淋巴结转移0/17。免疫组织化学:ER(++),PR(++),HER-2(+++)。正确的辅助治疗选择有()。
A:辅助化学治疗
B:辅助放射治疗
C:内分泌治疗
D:曲妥珠单抗(赫赛汀)靶向治疗
E:不考虑辅助治疗
VP-16作用于( )
VM-26作用于( )
拓扑替康作用于( )
羟基喋呤作用于( )
甲氨蝶呤作用于( )
A:拓扑异构酶Ⅰ
B:拓扑异构酶Ⅱ
C:二氢叶酸还原酶
D:二氢叶酸脱氢酶
E:胸苷酸合成酶
可引起白血病的因素是( )
A:3,4-苯并芘
B:黄曲霉毒素
C:石棉纤维
D:X线
E:乙萘胺
下列关于乳腺癌术后上肢水肿的康复训练说法错误的是()。
A:临床练习阶段练习伸指、握拳、曲腕运动
B:术后3~5天练习坐位屈肘运动
C:术后5~8天练习用手摸对侧肩及同侧耳
D:术后9~13天,练习患侧上肢伸直,抬高和内收、屈曲,肩关节抬至90°,达到肩水平,必须独立完成
E:出院后继续练习扶墙抬高
50岁经产妇,已绝经。性交后阴道血性白带3个月。查宫颈肥大,假性糜烂,宫颈刮片细胞学检查见可疑癌细胞,宫颈活检为原位癌。能排除宫颈浸润癌的检查项目是()。
A:染色体检查
B:宫颈碘试验
C:阴道镜检查,可疑处活检
D:宫颈多点活检
E:宫颈锥形切除
肾癌最常见的症候群是肉眼可见的血尿或显微镜下的血尿。
下列皮肤肿瘤中日光照射无关的是( )
A:基底细胞癌
B:皮肤黑色素瘤
C:皮肤隆突性纤维肉瘤
D:角化性棘皮瘤
E:皮肤鳞状细胞癌
女,25岁,左膝外上方逐渐隆起包块伴酸痛半年,X线平片示左股骨下端外侧有一病灶,边缘膨胀,中央有肥皂泡样改变,无明显的骨膜反应。其诊断考虑为()。
A:骨纤维异样增殖症
B:骨髓瘤
C:骨肉瘤
D:骨囊
E:骨巨细胞瘤
关于大肠癌预后的描述,正确的是( )
A:结肠癌生存率优于直肠癌
B:大肠癌为常见消化道癌预后最好者
C:青年人大肠癌预后差
D:梗阻性大肠癌预后差
E:大肠癌肝转移预后差
Ⅰ期睾丸精原细胞瘤术后放射治疗剂量()。
A:10~20Gy
B:20~30Gy
C:30~40Gy
D:40~50Gy
E:50~60Gy
男性,50岁体检发现胃癌,已经做了胃大部切除。病理检查为TNM,肿瘤侵犯粘膜肌层。根据现有文献以下处理最好的是( )
A:及时化疗
B:生物治疗如香菇多糖或OK-432
C:术后放疗
D:再次做手术
E:观察+扶正中药
可出现幻觉,常以简单的形象闪光或颜色为主,提示肿瘤位于()。
A:颞叶
B:岛叶
C:额叶
D:枕叶
E:顶叶
肾母细胞瘤恶性程度高,易发生远处转移,特别是骨转移。
起源于脉管组织的恶性肿瘤(相对恶性)为( )
A:血管瘤
B:血管球瘤
C:血管内皮瘤
D:淋巴管瘤
E:骨血管瘤病
下列哪些描述符合肿瘤性增生?()
A:持续性生长
B:细胞分化不成熟
C:去除致瘤因子后其增生减缓并逐渐停止
D:对机体有害无益
E:对机体有时是有利的
根据肿瘤对人体的影响,下列正确的是( )
A:可分为良性与恶性
B:恶性者可转移到其他部位
C:治疗困难
D:常危及生命
E:良性可转为恶性
大肠癌的治疗以为________首选,辅之以___________、________及中医药治疗等。
首页
<上一页
179
180
181
182
183
下一页>
尾页