自考题库
首页
所有科目
自考历年真题
考试分类
关于本站
游客
账号设置
退出登录
注册
登录
出自:消化内科学高级职称
下列
不属于
十二指肠球部溃疡并发症的是()。
A:急性穿孔
B:癌变
C:幽门梗阻
D:出血
E:慢性穿孔
男性,18岁,间断性左下腹痛、里急后重伴脓血便2年,大便多次培养未发现致病菌,阿米巴滋养体检查阴性,经使用多种抗生素无效。
第1题,共3个问题
(单选题)关于该疾病描述下列哪项是错误的()。
A:溃疡较深易引起穿孔
B:病变部位以乙状结肠及直肠最为多见
C:本病常发生于20~40岁之间
D:随病程延长结肠癌发病率增加
E:可伴有慢性活动性肝炎、关节炎、结节性红斑等症
第2题,共3个问题
(单选题)确诊的首选方法是()。
A:X线胃肠钡剂检查
B:结肠镜检查
C:血CEA检查
D:手术探查
E:肛门指检
第3题,共3个问题
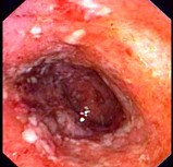
(单选题)肠镜检查如图,病理示固有膜内弥漫性淋巴细胞、浆细胞、单核细胞浸润,最可能的诊断为()。
A:Crohn病
B:肠结核
C:肠伤寒
D:梅克尔憩室
E:溃疡性结肠炎
女,24岁,口服吲哚美辛数片后觉胃部疼痛,6小时前排黑色成形便约100g。既往无胃病史。Bp90/60mmHg,P86次/分,Hb100g/L,粪便隐血(+++)。 应首选的治疗是( )
A:质子泵抑制剂
B:止血芳酸
C:6-氨基己酸
D:紧急输血
E:血管升压素
女性,26岁。确诊溃疡性结肠炎1年,加重1周就诊。每日排黏液脓血便10次以上,伴有里急后重,便前左下腹隐痛,便后缓解。查体:T38.2℃,P102次/分,血红蛋白75g/L,血沉40mm/h,白蛋白25g/L,该病情程度分型应为()。
A:轻型
B:中型
C:重型
D:慢性复发型
E:急性暴发型
病例摘要:男性,22岁,因呕吐咖啡色液体及排黑便来诊。既往无胃病及肝病史。查体:面色稍苍白,血压100/60mmHg,心率92次/分,腹软,肝脾未触及,肠鸣音活跃。
第1题,共3个问题
(单选题)慢性胃溃疡肉眼形态通常是()。
A:直径2cm以上火山口状或不规则溃疡
B:直径2cm以内圆形溃疡,贲门侧边缘呈阶梯状
C:直径2cm以内圆形溃疡,幽门侧边缘呈阶梯状
D:直径2cm以内圆形溃疡,幽门侧边缘呈潜掘状
E:直径2cm以内圆形溃疡,周围黏膜皱襞排列紊乱
第2题,共3个问题
(单选题)问那么最可能的诊断是()。
A:食管静脉曲张破裂出血
B:十二指肠溃疡并发出血
C:胃癌出血
D:卓-艾综合征并发出血
E:食管贲门撕裂综合征
第3题,共3个问题
(单选题)药物治疗首选()。
A:质子泵阻滞剂
B:硫糖铝
C:生长抑素制剂
D:胶体次枸橼酸钠
E:米索前列醇
女性,28岁。发热、盗汗半年就诊。近日腹胀明显,体检:心肺无异常,腹壁柔韧感,肝脾未扪及,腹水征(+)。腹水检查:草黄色,比重1.02,蛋白定量30g/L,白细胞600×10
6
/L,以单核细胞为主,病理细胞未找到,最可能的诊断是()。
A:肝硬化伴自发性腹膜炎
B:腹膜转移癌
C:Budd-Chiari综合征
D:腹膜间皮瘤
E:结核性腹膜炎
急性胰腺炎的局部并发症是()。
A:胰腺癌
B:慢性胰腺炎
C:败血症
D:假性囊肿
E:消化道出血
对原发性胆汁淤积性肝硬化最有诊断价值的是( )
慢性胃体胃炎(A型胃炎)合并恶性贫血时可能检出( )
A:抗线粒体抗体
B:抗内因子抗体
C:G细胞抗体
D:抗核抗体
E:抗平滑肌抗体
原发肝癌的高危人群指的是( )
A:肝炎病史5年以上,甲型肝炎病毒标记阳性,35岁以上
B:肝炎病史10年以上,戊型肝炎病毒标记阳性,35岁以上
C:肝炎病史5年以上,乙型或丙型病毒标记阳性,35岁以上
D:肝炎病史10年以上,乙型或丙型病毒标记阳性,35岁以上
E:肝炎病史5年以上,乙型或丁型病毒标记阳性,35岁以上
酒精性肝病包括____________,___________,_____________。其乙醇摄入量达每日___________,____________年会发展成酒精性肝硬化。
试述急性腹膜炎的临床表现。
消化性溃疡发生的基本原理是()。
A:前下丘脑-迷走神经核-迷走神经异常兴奋
B:损害因素增强,保护因素削弱
C:后下丘脑-垂体-肾上腺轴异常分泌
D:壁细胞总体增大,反应性增高
E:以上都不是
肠结核好发部位( )
Crohn病好发部位( )
溃疡性结肠炎好发部位( )
A:直肠、乙状结肠
B:降结肠、横结肠
C:升结肠
D:末端回肠和邻近结肠
E:回盲部
患者女,30岁,间断性吞咽困难3年,伴呕吐,呕吐物为潴留食物,食管钡餐造影见食管下段呈鸟嘴样狭窄,上段食管明显扩张。诊断考虑()。
A:食管憩室
B:食管裂孔疝
C:贲门失弛缓症
D:食管平滑肌瘤
E:食管癌
下列哪项不是胆囊结石的临床表现( )
A:恶心、厌油
B:畏寒、发热
C:右上腹绞痛
D:轻度黄疸
E:大便陶土色
下列不是胃恶性溃疡的征象的是()。
A:粪便隐血持续阳性
B:龛影常>2.5cm,边不整,位于胃腔轮廓之内
C:胃液分析见胃酸正常或偏低,但无真性缺酸
D:龛影周围胃壁僵直,呈结节状,向溃疡聚集的皱襞有融合中断现象
E:形状不规则,底凹凸不平,边缘结节隆起,污秽苔
女性,39岁。反复血便20年,加重2个月,体重较前减轻4kg,食欲尚可。体检:全腹软,未触及腹部包块,肝脾无肿大。诊断最可能是()。
A:Crohn病
B:溃疡性结肠炎癌变
C:溃疡性结肠炎并营养不良
D:肠结核
E:肠易激综合征
患者女,18岁,排粪次数减少6年,每周排粪1次,无便意,粪质坚硬,无腹痛,间断使用“通便药”效果不佳。查体:发育正常,腹软,无压痛,未触及包块,肝、脾未及,肛门直肠指检触及坚硬粪便。
第1题,共2个问题
(单选题)患者进行胃肠传输试验和肛门直肠测压的结果可能是()。
A:传输时间延长;测压正常
B:传输时间正常;测压正常
C:传输时间正常;测压提示:肛门外括约肌矛盾性收缩
D:传输时间延长;测压提示:肛门外括约肌矛盾性收缩
E:标志物全部在直肠;测压提示:肛门外括约肌矛盾性收缩
第2题,共2个问题
(单选题)最可能的诊断是()。
A:出口梗阻型便秘
B:慢传输型便秘
C:传输时间正常型便秘
D:IBS便秘型
E:滥用泻药
引起下消化道出血的最常见原因是大肠癌和大肠息肉
不符合急性出血性坏死性肠炎的描述是( )
A:病变呈节段性分布
B:主要累及大肠
C:小儿多见
D:引起肠穿孔
E:肠壁出血坏死
高位肠梗阻的特点是( )
A:腹胀明显
B:可见肠型
C:可以完全不排便,排气
D:呕吐频繁,为胃或十二指肠内容物
E:肠鸣音亢进,可闻及气过水声
男性,60岁。上腹剧烈疼痛1天,向腰背部放射,伴恶心呕吐,腹胀。发热T:38.9℃。查:上腹部压痛(+),反跳痛(+),肌紧张(+),墨菲氏征(+),肝区叩痛(+)。肠鸣音明显减弱。1天后,右下腹有压痛,反跳痛及肌紧张。血尿淀粉酶均明显升高,B超:胆石症,胰腺水肿,周围有渗出,腹腔少量积液。(1)该病人可能的诊断?依据?经胃肠减压、禁食、补液,应用生长抑素治疗半月后病情消失出院。1月时病人再次出现左上腹疼,腹胀,不发热。查:左上腹可及包块。血、尿淀粉酶再次升高,B超:胰尾部有包裹性积液。(2)现在的诊断是什么?依据是什么?下一步应如何处置?
以下病毒中不是DNA病毒的是()。
A:EBV
B:HPV
C:HBV
D:HTLV-1
E:腺病毒
不具有抗结核作用的药物是( )
可引起周围神经炎的药物是( )
A:雷米封
B:甲磺吡脲
C:利福喷丁
D:结核放线菌素
E:氟嗪酸
晚期肝硬化最严重的并发症和最常见的死亡原因是( )
A:肝性脑病
B:感染
C:上消化道出血
D:原发性肝癌
E:肝肾综合征
轻中型溃疡性结肠炎应用柳氮磺胺吡啶治疗,一般应维持( )
A:1个月
B:2个月
C:3个月
D:6个月
E:1~2年
肝硬化腹水患者,应用大量速尿后出现乏力、纳差、少尿、意识蒙眬。血非蛋白氮82mg/dl,血清肌酐4mg/dl,血钾3mmol/升,血钠126mmol/升。脑电图正常。可能的诊断是( )
A:尿毒症
B:肝性脑病
C:原发性醛固酮增多症
D:肝肾综合征
E:门静脉血栓形成
消化性溃疡的主要表现为( )
A:反酸、烧心
B:上腹痛
C:纳差、厌油
D:早饱、嗳气
E:上腹胀
病例摘要:男性,44岁,消瘦、乏力、怕热、手颤2个月,夜间突然出现双下肢软瘫。急诊查:神志清,血压140/80mmHg,心率108次/分,律齐,甲状腺轻度增大、无血管杂音。
第1题,共2个问题
(单选题)为明确诊断,应首先进行的检查项目是()。
A:头颅CT、血糖测定
B:肌电图及血电解质测定
C:胸部CT及血抗乙酰胆碱受体抗体测定
D:血气分析及血电解质测定
E:血电解质测定及甲状腺功能测定
第2题,共2个问题
(单选题)此患者的急诊处理应()。
A:螺内酯(安体舒通)治疗
B:纠正电解质紊乱
C:静脉滴注氯化钾及胰岛素
D:吡啶斯的明和皮质激素治疗
E:脱水降颅压治疗
克罗恩病的治疗目的是____________。
首页
<上一页
178
179
180
181
182
下一页>
尾页