自考题库
首页
所有科目
自考历年真题
考试分类
关于本站
游客
账号设置
退出登录
注册
登录
出自:超声医学与技术高级职称
不作为彩超颅内动脉各分支段常规测量的是()。
A:收缩其峰值速度
B:舒张期最低速度
C:搏动指数
D:阻力指数
E:血管检测深度
使超声波出现衰减的原因是()。
A:波束发散
B:折射
C:反射
D:以上各项均是
女性,26岁,停经29周,产前B超检查如图,超声诊断为()。
A:胎盘早期剥离
B:正常中期妊娠
C:胎儿脐带绕颈
D:胎儿畸形,腹壁裂
E:畸胎瘤
频率增高时,声束宽将()。
A:减少
B:增大
C:不变
目前已应用于临床的超声引导下肝癌介入性治疗方法是()。①肝动脉栓塞疗法②超声引导经皮穿刺瘤内注射治疗③微波凝固治疗④冷冻治疗⑤射频消融疗法⑥激光凝固治疗⑦毫微粒栓塞化疗
A:①②③④
B:①②③④⑤
C:①②③④⑤⑥
D:①②③④⑤⑥⑦
原发性腹膜后肿瘤大多是()。
A:恶性
B:良性
C:很大
D:以上均不是
下列关于甲状腺的描述错误的是()。
A:甲状腺峡横过第1~2软骨环的前方
B:略呈“H”形
C:吞咽时,甲状腺可上下移动
D:合成和释放甲状腺素
E:下端可达第5或6气管软骨高度
某患者左肾超声声像图如下,最可能的诊断为()。
A:多发性肾囊肿
B:肾结核
C:多囊肾
D:重度肾积水
E:中度肾积水
人体中不会产生多普勒效应的是()。
A:胎心
B:瓣膜
C:正常的心肌组织
D:静止不动的肝组织
E:血流
卵巢囊性畸胎瘤的声像图特征是()。
A:也称为皮样囊肿,最常见于青年女性
B:可产生声影
C:脂肪层浮在液体上方,可见脂液平面
D:以上各项均是
室间隔缺损的超声表现
不包括
()。
A:室间隔连续中断
B:左室常增大
C:分为肌部缺损和膜部缺损
D:室间隔回声失落
E:二尖瓣舒张期震颤波
超声鉴别副脾与脾门区淋巴结肿大的主要依据是()。
A:二者回声的不同
B:二者大小、形态的区别
C:是否有与脾动、静脉连通的血管
D:二者位置的不同
E:副脾常单发、淋巴结常多发
患者女性,8岁,无明显症状,体检时发现心脏杂音。超声心动图示:右室、右房增大,肺动脉增宽,房间隔中部连续中断2.4cm,房水平可见红色过隔血流。右房内收缩期见源于三尖瓣的蓝色花彩血流束。
第1题,共4个问题
(单选题)房间隔封堵术治疗,其禁忌证
不包括
是()。
A:心房纤颤
B:心腔血栓
C:房间隔缺损术后残余分流
D:存在右向左分流的肺动脉高压
E:房间隔原发孔缺损
第2题,共4个问题
(单选题)若该患采用房间隔封堵术治疗,超声可监测其适应证的错误说法是()。
A:有手术指征的单纯的中央型房间隔缺损
B:卵圆孔未闭
C:缺损最小残端≥3~5mm
D:缺损直径≤30mm
E:房间隔原发孔缺损
第3题,共4个问题
(单选题)该患可诊断为下列哪一项()。
A:先心病,房间隔缺损
B:先心病,部分型房室管畸形
C:先心病,完全型房室管畸形
D:先心病,房间隔卵圆孔未闭
E:先心病,心内膜垫缺损
第4题,共4个问题
(单选题)该患属于以下哪一项()。
A:先心病,房间隔原发孔缺损
B:先心病,部分型房室管畸形
C:先心病,房间隔继发孔缺损
D:先心病,房间隔卵圆孔未闭
E:先心病,心内膜垫缺损
临床资料:男,50岁,自述患乙型肝炎20年,诊断肝硬化门静脉高压8年余。超声综合描述:脾厚6.8cm,脾长径17.9cm,肋下5.1cm,脾静脉1.2cm,脾回声粗糙不均匀。
超声提示()
A:脾动脉增宽
B:脾大脾静脉增宽
C:脾厚
D:食道胃底静脉曲张
正常成人(男性)脾脏厚径超声测量标准()。
A:<4cm
B:<5cm
C:<6cm
D:<7cm
E:<8cm
妊娠几周后卵黄囊消失()。
A:6周
B:7~8周
C:9~10周
D:11~13周
E:16周
急性睾丸疼痛常见疾病声像图有()。①睾丸扭转:睾丸明显增大,位置上移,CDFI:血流减少或没有血流信号②睾丸脱臼:一侧阴囊空虚,同侧股部的皮下组织与肌层间可见正常睾丸回声,伴同侧精索轻度扭转③睾丸梗塞:睾丸形态异常,内见圆形边界清晰的异常低回声区,伴附睾肿大,CDFI:睾丸内极低速血流④急性睾丸炎:睾丸均匀肿大,点、片状低回声,CDFI:血流信号增多,V
max
增快,RI减低
A:①③
B:①③④
C:①②③④
D:②
双胎间输血综合征主要发生在()。
A:双卵双胎
B:单卵双胎
C:A和B均是
D:A和B均不是
E:以上都不是
凸阵探头临床常用于检查的部位是()。
A:颅脑
B:甲状腺
C:乳腺
D:腹部
E:睾丸
心内膜弹力纤维增生症与扩张型心肌病超声鉴别的重点在于()。
A:左心室内径
B:左心室壁搏幅
C:心肌厚度
D:心内膜厚度
E:心瓣膜改变
肾肿瘤CDFI特点有()。
A:丰富血流型
B:星点状血流型
C:抱球血流型
D:少血流型
E:以上均是
淋巴管囊肿是指()。
A:甲状腺恶性囊性肿瘤
B:淋巴系统发育异常
C:脑膜脑膨出
D:卵巢良性肿瘤
E:小脑发育异常
下列关于胸膜、胸膜腔和胸腔的描述错误的是()。
A:脏、壁两层胸膜互相连续
B:胸膜腔为负压,仅有少量浆液
C:胸廓和膈围成胸腔
D:胸腔容积比胸廓范围小
E:左、右肺分别位于左、右胸膜腔内
下列除哪项外,超声声像图上阴道内可见到无回声()。
A:阴道闭锁
B:阴道纵隔
C:阴道内积尿
D:阴道积血
E:阴道积脓
胡桃夹综合征二维声像图特征是()。①左肾静脉狭窄前扩张部位近端内径比狭窄部宽>2倍②右肾静脉狭窄前扩张部位近端内径比狭窄部宽>2倍③脊柱后伸位15~20min后,左肾静脉受压明显,扩张部近端内径比狭窄部宽>4倍④脊柱前伸位15~20min后,右肾静脉受压明显,扩张部近端内径比狭窄部宽>4倍
A:①③
B:②④
C:以上各项均不是
D:以上各项均是
最常与葡萄胎并发的卵巢囊肿是()。
A:滤泡囊肿
B:皮样囊肿
C:卵巢冠囊肿
D:黄素囊肿
E:黄体囊肿
女性,56岁,消瘦、腹部膨隆3月余。妇科检查:盆腔触及包块。超声检查如图,最可能的诊断为()。
A:转移性卵巢癌
B:囊腺癌
C:黄体囊肿
D:黄素囊肿
E:囊腺瘤
关于左心室的描述下列正确的是()。
A:位于右心室的左前方
B:房室口周有三尖瓣
C:室壁厚约为右心室的3倍
D:流出道为动脉圆锥
E:流入与流出道的分界为室上嵴
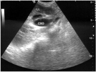
患者女53岁,上腹部疼痛不适半年余,皮肤、巩膜黄染进行性加重。B超检查如图所示,根据超声声像图诊断为()。
A:胆总管下段癌
B:胰头癌
C:胆总管炎性狭窄
D:胆总管结石
E:胆总管蛔虫
主动脉压与肺动脉压的不同点是()。
A:主动脉压稍高于肺动脉压
B:主动脉压明显高于肺动脉压
C:主动脉压与肺动脉压相等
D:主动脉压低于肺动脉压
E:两者压力比较不能确定
首页
<上一页
176
177
178
179
180
下一页>
尾页