自考题库
首页
所有科目
自考历年真题
考试分类
关于本站
游客
账号设置
退出登录
注册
登录
出自:口腔主治医师
关于获得性免疫缺陷综合征患者眼部表现,下列说法
不正确
的是()。
A:Kaposi肉瘤常位于眼眶和泪腺
B:可发生巨细胞病毒性视网膜炎
C:可出现视网膜、球结膜微血管异常
D:出现缺血性黄斑病变
E:可合并眼球运动神经麻痹、视网膜出血、视乳头炎、视网膜静脉周围炎
一患者,
缺失3个月,
残冠,已做根管充填。 如果
近中倾斜采用固定桥修复的难点是()
A:获得共同就位道
B:基牙支持
C:恢复咬合关系
D:桥体设计
E:固定桥的强度
下列有关颞间隙感染错误的是()
A:可因化脓性中耳炎或乳突炎等扩散导致
B:因有坚厚的颞肌阻隔,一般不易导致颞骨骨髓炎
C:因有坚厚的颞肌被盖,深部间隙不易触及波动感
D:颞深间隙感染一旦成脓,应及时切开,充分引流
E:颞间隙感染可向下扩散至颞下间隙和翼下颌间隙
角化层过度增厚,角化层细胞核未消失,粒层不明显,该病变为()
A:过度正角化
B:角化不良
C:过度不全角化
D:错角化
E:异常角化
修复体边缘相对最长的修复体是()
A:双面嵌体
B:3/4冠
C:铸造金属全冠
D:锤造金属全冠
E:塑料全冠
牙源性上皮和间充质性肿瘤,伴或不伴牙齿硬组织形成()
A:牙源性腺样瘤属于
B:Pindborg瘤属于
C:巨大牙骨质瘤属于
D:良性成牙骨质细胞瘤属于
E:牙骨质-骨化纤维瘤属于
支配上颌中切牙牙髓及唇侧牙龈、黏膜、骨膜的为()
A:腭前神经
B:上牙槽前神经
C:上牙槽中神经
D:上牙槽后神经
E:鼻腭神经
在人类听觉范围内,耳内肌对大部分频率都可引起反应,但最有效频率是()
A:4000Hz以上
B:3000~4000Hz
C:2000~3000Hz
D:1000~2000Hz
E:250~1000Hz
患者男,50岁,
缺失,
近中舌侧倾斜,以
为基牙,
应用的卡环是()
A:三臂卡环
B:联合卡环
C:延伸卡环
D:对半卡环
E:圈形卡环
下列桩核冠根管预备中
不正确
的操作是()
A:先看牙片
B:确定桩长度
C:用圆钻去除根充物
D:用裂钻去根充物和修整管壁1次完成
E:钻进时随时校正钻入方向
平行皮肤天然皱纹的切口()
A:可避免粗大瘢痕,是由于切断了所有皮肤弹力纤维
B:可避免粗大瘢痕,是由于较少切断皮肤弹力纤维
C:可能造成粗大瘢痕,是由于切断了所有皮肤弹力纤维
D:可能造成粗大瘢痕,是由于较少切断皮肤弹力纤维
E:可避免粗大瘢痕,是由于较少切断与其平行的神经和血管
患者,男,37岁,身高175cm,体重70kg,入睡打鼾近5年,无呼吸暂停及憋气,白天无嗜睡,既往无高血压及糖尿病史。门诊专科检查:鼻腔基本正常,咽腔稍窄,腭咽弓稍宽,软腭稍低垂扁桃体不大,舌体不肥厚。多导睡眠监测(PSG):AHI:7.8次/小时(以低通气为主),平均血氧95%,最低血氧90%。
第1题,共3个问题
(单选题)如果PSG诊断为OSAHS,准确的分级应该是()
A:中度OSAHS合并轻度低氧血症
B:中度OSAHS合并中度低氧血症
C:轻度OSAHS合并轻度低氧血症
D:轻度OSAHS合并中度低氧血症
E:以上都不是
第2题,共3个问题
(单选题)如果PSG诊断为OSAHS,最佳的治疗方法是()
A:药物治疗
B:口腔矫治器
C:持续正压通气(CPAP)治疗
D:等离子辅助下的腭咽成形术(CAUP)
E:以上都不是
第3题,共3个问题
(单选题)患者的体重指数应该是()
A:21.2
B:26.8
C:25.7
D:23.5
E:22.9
下列情况中,不适合进行牙再植术的是()
A:外伤脱位,仍位于口腔内的牙
B:扭转牙,不愿正畸治疗但要求矫正位置者
C:错误拔除的健康牙
D:外伤脱位,离体6小时,牙体清洁干燥
E:外伤脱位,离体半小时,有尘土污染,保存于牛奶者
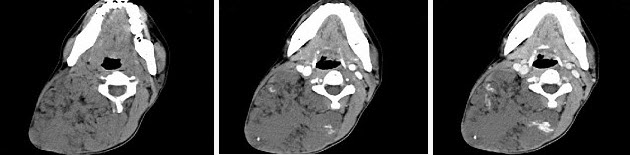
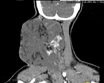
女,32岁,颈部包块8年余,包块逐渐长大,CT如图所示,最可能的诊断为()。
A:颈部神经纤维瘤
B:颈部横纹肌肉瘤
C:颈部巨大血管瘤
D:颈部神经鞘瘤
E:颈部异位甲状腺
在机体的生长发育过程,下列描述错误的是()
A:机体的生长发育是不均等的过程
B:不同的组织器官依据自身的规律生长发育
C:机体生长,一般而言,在幼儿时期较旺盛
D:生长发育在不同的年龄段,表现出快速生长或缓慢生长的情况
E:机体组织器官生长曲线图是一致的
打磨牙釉质表面可以()
A:提高表面能
B:使釉面粗糙
C:增加粘接面积
D:以上都是
E:2分钟
Angle分类法体现的是()
A:前牙关系
B:磨牙关系
C:骨骼类型
D:牙
功能状态
E:软组织表现
下列哪项因素最有可能导致创伤性溃疡()
A:残根残冠刺激
B:贴敷蜂胶
C:寒冷刺激
D:红外线照射
E:服用退热剂
牙髓中的主要细胞为()。
A:成纤维细胞
B:成牙本质细胞
C:组织细胞
D:未分化间充质细胞
E:以上均是
可摘局部义齿的恢复组织缺损部分是()
A:固位体
B:基托
C:人工牙
D:大连接体
E:小连接体
患者,男性,50岁,经初步诊断患有舌淀粉样变性。以下哪些病理染色结果不符合初诊印象()
A:Masson染色呈蓝色
B:苯酚刚果红染色呈红色
C:PAS甲基紫染色呈红色
D:硫黄素-T染色呈黄绿色荧光
E:HE染色呈蓝色均质状
长期使用糖皮质激素的患者,以下哪项为不适宜的辅助措施()
A:给予鱼肝油丸、钙片预防骨质疏松
B:给予抗酸和胃黏膜保护剂
C:给予碱性液漱口,防止念珠菌感染
D:注意多补充甜食,防止低血糖
E:适当补钾
患者女,37岁,鼻塞、流脓涕10天,眼睑水肿2天。检查见眼睑肿胀,眼球活动正常,视力无下降,鼻内镜检查见鼻腔有较多脓性分泌物。正确的治疗方案是()
A:足量抗生素,改善鼻窦通气引流,必要时上颌窦穿刺冲洗
B:急诊行功能性鼻内镜鼻窦手术
C:足量抗生素,脓肿切开引流术
D:及时施行鼻窦手术,广泛切开眶骨膜以利充分引流
E:蝶窦和筛窦开放术,术后不填塞纱条以利引流
下列哪项为影响PFM修复体成功的关键()
A:生物学性能
B:金瓷结合
C:色泽
D:以上说法全都正确
E:以上说法全都不正确
上皮浅层破坏,而未侵犯上皮全层叫作()
A:糜烂
B:溃疡
C:白斑
D:红斑
E:斑
鼻硬结病具有轻度传染性,其传染途径是()。
A:接触传染
B:呼吸道飞沫传染
C:消化道传染
D:蚊虫叮咬传染
E:传染途径不明
下列牙体组织是由外胚层发育形成的是()
A:釉质
B:牙本质
C:牙骨质
D:牙髓
E:牙周膜
下颌全口义齿后界封闭区为()
A:下颌颊系带
B:磨牙后垫
C:远中颊角区
D:下颌舌骨嵴
E:舌侧翼缘区
牙本质过敏症的主要表现是()
A:自发痛
B:咬合痛
C:刺激痛
D:叩诊痛
E:放射痛
属于固定义齿冠内固位体的是()
A:嵌体
B:甲冠
C:套筒冠
D:铸造全冠
E:桩冠
首页
<上一页
172
173
174
175
176
下一页>
尾页