出自:消化内科学高级职称

九岁男孩,近1周前出现食欲不振、恶心、呕吐,活动减少,伴有发热,体温在37~38℃之间。近2天出现尿黄来医院就诊。出生时注射过乙型肝炎疫苗。检查:巩膜黄染,肝肋下1.5cm,脾未触及,化验ALT980U/L,TBil:116.5μmol/L,anti-HBs阳性。



第1题,共3个问题
(单选题)最可能的诊断为( )
A:食物中毒
B:急性胃肠炎
C:急性乙型肝炎
D:急性甲型肝炎
E:药物性肝炎

第2题,共3个问题
(单选题)应进一步做哪项检查,以确诊病原( )
A:anti-HAVIgC
B:乙肝五项
C:anti-HAVIgM
D:腹部CT
E:胸部平片

第3题,共3个问题
(单选题)下列治疗哪项不合适( )
A:肝泰乐(葡醛内酯)
B:复合维生素B
C:甘利欣
D:拉米夫丁
E:胸腺素
关于PTC检查,下列哪项是错误的( )
A:不受黄疸及黄疸程度的影响
B:术前应检查凝血酶原时间
C:能清楚显示胰管
D:胆管扩张时成功率高
E:适用于轻度黄疸鉴别
女性,50岁,上腹胀痛5年,近1个月来进食后饱胀,有时嗳气,食欲减退就诊。近2个月大便隐血(+),胃镜检查:幽门部可见血管网,最可能的诊断是()。
A:浅表性胃炎
B:萎缩性胃炎
C:早期胃癌
D:急性胃粘膜病变
E:胃粘膜脱垂症
胆囊结石最常见的并发症是( )
最易引起休克的胆道疾病是( )
A:胆道蛔虫病
B:化脓性梗阻性胆管炎
C:肝脓肿
D:急性水肿性胰腺炎
E:急性化脓性胆囊炎
肝硬化肝功能失代偿期最突出的临床表现是( )
A:食管和胃底静脉曲张
B:脾脏显著肿大伴脾功能亢进
C:肝掌、蜘蛛痣
D:腹水
E:牙龈出血
目前预防Barreett食管癌变的方法是______________________________。
十二指肠球部溃疡可出现( )
幽门管溃疡可出现( )
胃溃疡可出现( )
球后溃疡可出现( )
穿透性溃疡可出现( )
A:多为上腹正中或偏右节律性疼痛
B:多为剑突下正中或偏左节律性疼痛
C:上腹疼痛无典型节律性,呕吐多见
D:上腹持续性较剧疼痛,放射至背后
E:右上腹节律性疼痛,夜间痛和背部疼痛多见且突出
下列哪项是原发性胆汁性肝硬化的主要病理改变( )
A:广泛的肝细胞变性坏死
B:汇管区纤维结缔组织增生
C:肝内细小胆管慢性非化脓性破坏性炎症
D:肝内血循环紊乱、血管床缩小、闭塞和扭曲
E:汇管区可见程度不等的炎性细胞浸润
食管癌恶性程度最高的是髓质型
治疗慢性胃炎时为杀灭幽门螺杆菌下列药物中哪一种为最佳( )
A:硫糖铝
B:法莫替丁
C:胶体铋
D:螺旋霉素
E:青霉素
谈谈Hp的根除性治疗及消化性溃疡治疗策略。
病例摘要:患者,男性,29岁,右下腹痛、腹泻2年,无黏液脓血便。结肠镜检查发现右半结肠呈节段性炎症改变,可能的疾病是()。
A:肠结核
B:溃疡性结肠炎
C:非特异性炎症
D:克罗恩病
E:阿米巴痢疾
患者女性,36岁,确诊溃疡性结肠炎3年,曾经使用激素治疗,病情平稳后以SASP治疗并逐渐减量至2g/d。3周前患者自行就诊于某中医诊所后开始服用中药并自行停用SASP。1周前进食海鲜后腹泻、便血复发,大便10~15次/日,带鲜血,血与大便相混,伴里急后重,每次排血量约5~10ml。伴腹胀、发热,最高体温38.9℃。查体:体温38.6℃,贫血貌,心率116次/分,心肺查体无其他异常发现。腹软,略膨隆,全腹压痛,左下腹反跳痛,肠鸣音弱,0~1次/分。下列哪项说法不正确()。
A:患者腹胀,肠鸣音减弱,做结肠镜检查时应警惕中毒性巨结肠的发生
B:患者发热,考虑为进食海鲜后肠道感染导致,应用抗生素并将SASP加量至4g/d,不能使用激素,以免感染播散
C:虽然患者腹泻严重,但是目前应慎用地芬诺酯(苯乙哌啶)等止泻药。
D:患者本次复发病情偏重,应禁食并给予静脉营养以控制病情
E:应警惕低血钾的发生
28岁男性,因胃溃疡而行胃切除,术后半年上腹部疼痛明显,经常有腹泻,经用制酸药物和氟哌酸治疗效果不佳,腹泻腹痛加重,最可能的诊断为( )
A:胃空肠吻合口溃疡
B:功能性消化不良
C:慢性胰腺炎
D:促胃液素瘤
E:癌性溃疡
男,28岁,突起上腹剧痛4小时,既往体健,无发热,腹泻。查体:血压:12.O/8.0kPa(90/60mmHg),心肺听诊正常,腹平软,脐周轻压痛,余无异常。化验血清淀粉酶560u(Somogyi法)。不需立即采用哪项措施( )
A:禁食和胃肠减压
B:输液
C:止痛解痉
D:H2受体拮抗剂
E:肾上腺糖皮质激素
在ERCP时不能获得良好诊断的病变部位是( )
A:十二指肠乳头
B:胆总管
C:胰管
D:左右肝管及肝总管
E:肝内胆管
应激造成的急性胃炎病变多位于胃体胃底部
患者女,45岁,因腹泻伴乏力、消瘦2个月就诊。患者发病前曾在委内瑞拉工作2年,近期出现腹泻,每日排成形软便10余次,量大伴酸臭味,同时伴有舌炎,乏力和消瘦明显,近2个月体重下降7kg。不伴有食欲减退、血便、发热、腹痛等症状。血常规检查提示:大细胞性贫血,天冬氨酸转移酶187U/L,碱性磷酸酶289U/L。血清叶酸2.8ng/ml(正常>4ng/ml),维生素B1296ng/L(正常>170ng/L),血清铁蛋白和铁含量正常。粪脂含量增高,隐血试验阴性。 患者在治疗1个月后自行停药,腹泻症状再发。此时在补充叶酸治疗基础上可以联合使用抗生素,首选()。
A:红霉素
B:多西环素
C:氯霉素
D:青霉素
E:克拉霉素
肝性脑病的少见病因是( )
A:病毒性肝硬化
B:酒精性肝硬化
C:原发性肝癌
D:严重的胆道感染
E:妊娠期急性脂肪肝
黄疸是下列哪项的突出症状()。
A:弥漫性胰腺癌
B:胰管癌
C:胰头癌
D:胰尾癌
E:以上均不是
26岁已婚女性,因腹痛、发热、呕吐20小时急诊入院急性胰腺炎治疗原则错误的是()。
A:早期手术治疗
B:维持水电酸碱平衡
C:抑酶治疗
D:抑酸治疗
E:禁食、早期胃肠减压
首先考虑为门脉性肝硬化的是( )
首先考虑为肝癌的是( )
A:血性腹水
B:腹水为渗出液
C:腹水为漏出液
D:腹水为脓性
E:腹水介于漏出液与渗出液之间
男性患者,51岁。乙肝病史19年,大量饮酒史30年,1年来出现乏力、腹胀、尿量减少,偶有牙出血和鼻出血。1天前,劳累后突然出现恶心,呕新鲜血,含有血块,共约1000ml。查体:BP85/40mmHg,P130次/分,神志淡漠。目前对于该患者最应选择的诊疗措施是()。
A:胃镜检查
B:补充血容量抗休克治疗
C:上消化道造影
D:急诊手术
E:腹部增强CT
急性糜烂性胃炎伴低血压时首选( )
慢性胃炎胃粘膜活检示肠上皮化生时( )
胆汁反流性胃炎主要治疗措旋是( )
A:补充血容量
B:药物治疗
C:消除病因
D:手术
E:随访
下面用于诊断Hp感染的方法中,最简便的方法是()。
A:病理组织学
B:血清抗体检测
C:快速尿素酶试验
D:D.Hp抗原(HpS酶免疫学试验
E:PCR
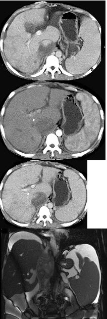
女性,26岁,腹胀不适7月,腹软,肝右肋缘下1cm,影像检查如图,可能的诊断为( )
A:肝血管瘤
B:原发性肝癌
C:肝硬化腹水
D:巴-希综合征
E:脂肪肝
酒精性肝病的临床分型不包括()。
A:轻症酒精性肝病
B:酒精性脂肪肝
C:酒精性肝炎
D:重症酒精性肝炎
E:酒精性肝硬化
大肠癌的化疗适应证有
A:早期大肠癌
B:术前或术中
C:DukesB期结肠癌
D:晚期不能切除或有远处转移
E:DukesC期结肠癌和DukesB期直肠癌(不易根除者)
关于急性胰腺炎的发病,下列哪些是正确的()。
A:胰腺分泌减少
B:胰液中胰酶含量增多
C:胰液排泄障碍
D:磷脂酶A2导致胰腺出血,并发生休克
E:炎性介质和血管活性物质参与胰腺损伤
肝硬化并发自发性腹膜炎,腹腔积液的性质为()。
A:血性
B:乳糜性
C:渗出液
D:漏出液
E:介于渗出液与漏出液之间