自考题库
首页
所有科目
自考历年真题
考试分类
关于本站
游客
账号设置
退出登录
注册
登录
出自:消化内科学高级职称
男性患者,36岁。间断黏液血便8年,加重2个月。每天大便次数为5~6次,为明显血便,粪质少。辅助检查:Hb126g/L;ESR20mm/h;肠镜示直肠至肝曲黏膜明显充血、水肿,散在针尖样溃疡,黏膜质脆,触之易出血。大便潜血(++)。可用于本病治疗的是()。
A:美沙拉嗪
B:糖皮质激素
C:异烟肼
D:硫唑嘌呤
E:利福平
F:环孢素
肝硬化合并上消化道大出血,经治疗止血后,还经常可能出现()。
A:癌变
B:腹水
C:黄疸
D:昏迷
E:创口感染
Murphy征
胃癌的临床表现有哪些?
病例摘要:男性,60岁,冠心病8年。6小时前胸骨后为压榨性剧痛,并向左臂放射。先后含硝酸甘油4次,疼痛稍减轻,烦躁不安,出汗。查体:急性痛苦面容,体温36.5℃,血压为13.3/9.3kPa(100/70mmHg),脉率110次/分;心界不大,律齐,心音低,未闻奔马律及杂音;双肺少许湿性啰音;肝脾未触及。该例患者诊断应为()。
A:急性心脏压塞
B:室间隔破裂
C:急性左心衰竭
D:乳头肌断裂
E:室壁瘤破裂
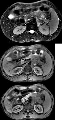
男45岁、腹部胀痛不适、胃纳减退、体重减轻、中腹部可触肿块,影像检查如图,应诊断为( )
A:急性胰腺炎
B:慢性胰腺炎
C:胰腺体尾部癌
D:胰岛细胞瘤
E:腹膜后淋巴结结核
慢性放射性胃肠道损伤指()。
A:症状持续1个月或以上
B:症状持续2个月或以上
C:症状持续3个月或以上
D:症状持续6个月或以上
E:症状持续12个月或以上
胆绞痛
2岁以下儿童肠梗阻常见的病因是( )
A:嵌顿性斜疝
B:先天性肠道闭锁或无肛
C:先天性肠旋转不良
D:急性肠套叠
E:胎粪性腹膜炎
急性胰腺炎时预后不良的征兆出现在下列哪项( )
A:血钙<1.75mmol/L
B:血甘油三酯增高
C:动脉血氧分压<10.6kPa(80mmHg)
D:AKP增高
E:血清白蛋白<40g/L
下列哪项最能提示为出血坏死型胰腺炎( )
A:休克
B:黄疸
C:高热
D:上腹压痛及反跳痛
E:两侧腹部出现皮下出血
消化道大量出血是指数小时内出血量为( )
A:>1250ml
B:>750ml
C:>1000ml
D:>1500ml
E:>500ml
女性患者38岁,近5年多次于情绪激动或生气后出现四肢抽搐,伴颈后仰,两眼紧闭,过度换气,每次抽搐发作持续数分钟至数小时不等。患者无头外伤史,抽搐发作时未出现过舌咬伤和大小便失禁。神经系统检查无异常,头颅CT及脑电图正常。该患者最可能的诊断为()。
A:癫痫大发作
B:晕厥
C:癔症
D:癫痫小发作
E:短暂性脑缺血发作
患者,男性,45岁。嗜酒,因呕血与黑便10h来院急诊。否认胃病与肝炎史。体检:腹壁静脉显露,腹部无压痛。有少量腹水,肝脾未满意扪及,血压16/10.4kPa(120/78mmHg)。
第1题,共10个问题
(单选题)提示:假如患者住院后经常有鼻衄与牙龈出血,近日来皮肤有大片瘀斑,在注射部位更多。提问:应考虑有下列哪种情况可能()。
A:弥散性血管内凝血
B:维生素K缺乏
C:凝血因子合成障碍
D:毛细血管脆性增加
E:肝脏解毒功能不良而致毒性反应
F:食管静脉破裂出血
第2题,共10个问题
(多选题)提示:患者精神恍惚,查体:扑翼样震颤阳性。考虑有肝性脑病。化验血氨增高。提问:血氨增高的原因()。是
A:肝硬化继发性醛固酮增多症
B:糖尿病2型
C:高蛋白饮食
D:上消化道出血
E:便秘
F:抗利尿激素分泌增多
第3题,共10个问题
(多选题)提问:下列有关肝肾综合征的叙述正确的是()。
A:肾动脉造影示肾血管收缩,肾脏病理无明显异常
B:肝移植治疗有效
C:其肾脏可移植给慢性肾功能衰竭的患者
D:预后好
E:持续扩容治疗效果好
F:24小时尿量明显增多
第4题,共10个问题
(单选题)提问:下述哪项对诊断门脉高压性腹水最有帮助()。
A:腹水颜色
B:腹水比重
C:腹水蛋白含量
D:血清一腹水白蛋白梯度(SAAG)
E:腹水细胞分类
F:C反应蛋白
第5题,共10个问题
(单选题)提问:下述哪项是肝硬化的典型病理改变()。
A:纤维组织增生
B:肝细胞变性坏死
C:不同程度的炎性细胞浸润
D:再生结节及假小叶形成
E:呈小管样结构的新生细胞
F:肝细胞气球样变
第6题,共10个问题
(单选题)提问:此时首先应作何处理()。
A:静脉滴注西咪替丁
B:静脉滴注生长抑素
C:急诊内镜检查
D:紧急上消化道钡餐检查
E:紧急剖腹探查
F:立位腹平片
第7题,共10个问题
(多选题)提问:肝硬化食道静脉曲张破裂大出血后可能发生的变化为()。
A:血尿素氮升高
B:脾缩小
C:腹水减少
D:诱发肝性脑病
E:出现肝肾综合征
F:高热、寒战
第8题,共10个问题
(单选题)提问:肝肾综合征患者肾脏病理改变是()。
A:肾单位纤维化
B:肾皮质坏死
C:肾髓质坏死
D:功能性的损害
E:胆红素对肾脏的毒性作用
F:结节性肉芽肿形成
第9题,共10个问题
(单选题)提问:肝肾综合征患者血液动力学特征哪项是正确的()。
A:有效循环血容量减少,动脉血压下降,肾小球滤过率减少
B:有效循环血容量增加,动脉血压下降,肾小球滤过率增加
C:有效循环血容量增加,动脉血压升高,肾小球滤过率增加
D:有效循环血容量增加,动脉血压升高,肾小球滤过率减少
E:有效循环血容量减少,动脉血压升高,肾小球滤过率增加
F:有效循环血容量减少,动脉血压下降,肾小球滤过率增加
第10题,共10个问题
(多选题)提问:肝肾综合征的治疗可以应用()。
A:大量利尿剂
B:右旋糖酐
C:八肽加压素
D:多巴胺
E:浓缩腹水回输
F:大量放腹水
女性,50岁,因便血2个月来诊。直肠镜检查发现距肛缘4cm直肠前壁有2cm×2cm肿块,取活检病理检查为直肠乳头状腺癌,最佳的手术方式是()。
A:经肛局部切除术
B:骶后径路局部切除术
C:腹会阴联合直肠癌根治术
D:经腹直肠癌切除、骶前吻合术
E:经腹直肠癌切除、近端造口、远端封闭手术
回盲部易患肠结核是因为( )
A:回盲部粘膜抵抗力差
B:肠内容物在回盲部停留时问较长
C:回盲部有丰富的淋巴组织
D:回盲部靠近盆腔,易直接蔓延
E:结核杆菌易侵犯淋巴组织
女性,30岁。腹部胀大2年,加剧1个月就诊。体检:腹部饱满,腹壁静脉无曲张,无压痛,肝部未满意扪及,腹中部叩诊浊音,两侧鼓音,浊音不随体位改变,最可能的诊断为()。
A:肝硬化腹水
B:巨大卵巢囊肿
C:结核性腹膜炎
D:原发性肝癌
E:肝硬化腹水合并自发性腹膜炎
下列疾病的转移最常见部位是以上哪种?
第1题,共1个问题
(配伍题)
肝癌肝外血行转移( )
肝癌最常见肝内血行转移( )
肝癌淋巴转移( )
对自身免疫性胃炎合并恶性贫血的诊断具有最大的特异性的实验室检查项目是()。
A:血清壁细胞抗体阳性
B:血清内因子抗体阳性
C:胃酸分泌功能减退
D:胃镜示胃窦部黏膜正常,胃体部黏膜萎缩
E:血清胃泌素浓度增高
女性,65岁,劳动后突然出现左侧胸部绞痛伴咯血、呼吸困难,自含服“硝酸甘油”后未能缓解而急诊入院。查体:BP110/70mmHg,口唇发绀,双肺未闻及明显干、湿啰音。最可能的疾病是()。
A:肺梗死
B:食管炎
C:心绞痛
D:肺部肿瘤
E:自发性气胸
DU的游离穿孔多发生于( )
GU的游离穿孔多发生于( )
A:大弯
B:小弯
C:前壁
D:后壁
E:十二指肠乳头的近端
男,40岁,肝硬化患者,1周前钡餐检查仅发现球部龛影。今上午突起呕吐咖啡色液,解柏油样便,发病前无服药史及酗酒史。最可能引起其上消化道出血的原因是( )
A:急性糜烂性胃炎
B:胃溃疡
C:球部溃疡
D:食管静脉曲张破裂
E:食管贲门粘膜撕裂征
患者男,19岁。以低热、腹痛2个月入院。患者于入院前2个月无明显诱因发热,体温37.4~38.0℃,以午后为著,同时伴有阵发性腹痛,以脐周痛明显,伴有食欲减退、乏力。无咳嗽、呕吐,排便次数增多,3~4次/d,黄色糊状。无与结核患者密切接触史,无服中药史。曾在当地医院给予抗感染治疗(不详),症状无缓解。患儿来自经济条件较差的农村。
第1题,共4个问题
(多选题)对患者有明确诊断意义的是()。
A:粪培养
B:肠镜检查
C:酶免疫法检测粪便寄生虫抗原
D:腹部CT检查
E:血淀粉酶检测
第2题,共4个问题
(单选题)有效治疗是()。(提示:留取患者新鲜粪便,酶免疫法检测粪便兰伯贾第鞭毛虫抗原为阳性。患者诊为兰伯贾第鞭毛虫病。)
A:口服柳氮磺胺吡啶
B:口服埃索美拉唑
C:口服甲硝唑
D:口服左氧氟沙星
E:口服小檗碱
第3题,共4个问题
(多选题)要考虑的诊断包括()。(提示:查体:T37.7℃,神清,咽部无充血,双肺、心无明显异常,腹平软,肝、脾未触及,脐周轻压痛,肠鸣音正常。)
A:慢性胰腺炎
B:胃溃疡
C:克罗恩病
D:肠结核
E:肠道寄生虫感染
第4题,共4个问题
(单选题)该患者最可能的诊断是()。(提示:辅助检查:血、尿、粪常规正常,肝功能、心肌酶正常。胸部正侧位X线片示:肺部未见异常。心电图正常。腹部B型超声未见异常。C-反应蛋白正常,血沉:10mm/h,支原体抗体、抗链“O”、类风湿因子及PPD试验均阴性。)
A:慢性胰腺炎
B:胃溃疡
C:克罗恩病
D:肠结核
E:肠道寄生虫感染
慢性乙型病毒性肝炎抗病毒治疗的用药为()。
A:拉米夫定
B:泛音洛韦
C:阿地福韦
D:干扰素
E:白介素
我国胰腺炎最常见的原因为()。
A:酒精中毒
B:胆道疾病
C:噻嗪类药物应用
D:高脂血症
E:Oddi括约肌痉挛
患者,男性,25岁,以饮酒后左上腹疼痛伴恶心、呕吐8小时就诊。该患者腹痛呈持续性刀割样疼痛,并向左腰背部放射,呕吐后疼痛不缓解。查体:急性痛苦面容,大汗淋漓,左上腹压痛明显。化验血淀粉酶明显高于正常。提问:引起淀粉酶升高的疾病是()。
A:胆石症
B:肠梗阻
C:急性心肌梗死
D:急性胰腺炎
E:胃肠道穿孔
F:慢性胃炎
下列哪项检查有助于区分早期胃癌和进展期胃癌()。
A:胃镜
B:超声胃镜
C:X线钡餐
D:上腹部CT平扫
E:剖腹探察
肝硬化患者出现腹水,特别是血性腹水,首先应考虑可能合并()。
A:原发性腹膜炎
B:结核性腹膜炎
C:肝硬化癌变
D:功能性肾衰竭(肝肾综合征)
E:门静脉血栓形成
引起十二指肠溃疡胃酸分泌过高的因素中下列
不正确
的是()。
A:壁细胞总数增多
B:Hp感染
C:壁细胞对胃泌素敏感性增高
D:D细胞数量增加,生长抑素增多
E:胃酸反馈性抑制机制失灵
男性42岁,肝硬化病史8年,大量放腹腔积液后出现睡眠障碍,扑翼样震颤,脑电异常,最可能的诊断是()。
A:肝性脑病Ⅰ期
B:肝性脑病Ⅱ期
C:肝性脑病Ⅲ期
D:肝性脑病Ⅳ期
E:亚临床肝性脑病
首页
<上一页
166
167
168
169
170
下一页>
尾页