自考题库
首页
所有科目
自考历年真题
考试分类
关于本站
游客
账号设置
退出登录
注册
登录
出自:眼科高级职称
女性,76岁,左眼昨天行超声乳化及人工晶状体植入术,今检查人工晶状体夹持,最先考虑的治疗方法是()
A:扩瞳
B:降眼压治疗
C:立即手术复位
D:扩瞳、平躺、降眼压治疗
E:抗炎、激素治疗
斜视手术过程中牵拉肌肉时出现心率减慢应考虑()
A:眼胃反射
B:眼心反射
C:麻醉剂的毒性反应
D:病人紧张
E:呼吸抑制
简述颗粒状角膜营养不良的病理改变。
准分子激光角膜切削术的缺点是()
A:远视治疗的预测性差
B:手术难度大
C:高度近视回退较大
D:角膜瓣的并发症
E:高度近视的疗效比中低度差
眼睑闭合不全的最常见原因是()
A:甲状腺相关眼病
B:瘢痕性睑外翻
C:全身麻醉时
D:面神经瘫痪
E:眼眶肿瘤
何为难治性青光眼?形成机制如何?如何较有效地治疗?
睫状肌挫伤调节麻痹( )
虹膜根部离断并伴有单眼复视( )
瞳孔缘或基质裂口( )
外伤性瞳孔极度扩大( )
A:无特殊处理
B:虹膜根部缝合术
C:配戴有色眼镜
D:配眼镜矫正近视力
E:瞳孔缘括约肌断裂缝合术
全世界最重要的致盲性眼病( )
A:沙眼
B:白内障
C:河盲
D:儿童盲
E:角膜病
视锥细胞功能
不包括
()
A:昼视觉
B:中心视觉
C:精细视觉
D:周围视觉
E:色视觉
眼球钝性伤可造成以下情况,除外( )
A:房角后退
B:玻璃体积血
C:脉络膜破裂
D:黄斑裂孔
E:玻璃体闪辉样变性
与眼眶外壁相邻( )
与眼眶上壁相邻( )
与眼眶下壁相邻( )
与眼眶壁内上方相邻( )
与眼眶内壁相邻( )
A:筛窦
B:上颌窦
C:额窦
D:颅前窝
E:以上都不是
关于视网膜中央静脉阻塞,以下说法错误的是()
A:缺血型视盘出血水肿,视网膜大量浅层出血
B:非缺血型较缺血型预后好
C:20%~30%非缺血型患者3~6个月后变为缺血型
D:视网膜光凝可预防复发性出血
E:新生血管性青光眼多在1年后发生
诊断眼眶肿瘤最可靠的方法是( )
A:诊断性活体组织检查
B:治疗性切除后病理检查
C:MRI
D:CT
E:B超
急性细菌性结膜炎应立即包扎患眼。
角膜组织学上分5层,其中损伤后可再生的组织有()
A:前弹力层、基质层
B:上皮细胞层、后弹力层
C:基质层、内皮细胞层
D:后弹力层、内皮细胞层
E:前弹力层、上皮细胞层
女,25岁,右眼外伤1天。检查右眼视力0.06,结膜混合性充血,角膜水肿,晶状体混浊,前房浅,眼底不清,眼压38mmHg,该患者最有可能诊断是( )
A:急性闭角型青光眼
B:恶性青光眼
C:外伤性晶状体脱位
D:先天性白内障
E:以上都不是
泪腺为_________分泌腺,在受到外界刺激或_________时分泌量大为增加,起到_________和_________刺激物的作用。
在高血压性视网膜病变中,当静脉隐匿并因受压出现回流障碍时,称为________征。
圆锥角膜早期有效的诊断方法是( )
A:裂隙灯检查
B:眼底检查
C:角膜地形图分析
D:角膜曲率检查
E:验光
眼外伤检查前要全面询问病史,包括( )
A:何时、怎样受伤以及致伤力大小
B:是否有眼内异物的可能
C:受伤前眼部的状态
D:经何急诊处理(TAT注射、抗生素等)
E:以上各项均是
视网膜劈裂症说法正确的是()
A:遗传性视网膜劈裂病变位于外核层
B:获得性视网膜劈裂病变位于神经纤维层
C:遗传性视网膜劈裂病变为常染色体显性遗传病
D:眼底视网膜纱膜样改变最多见于颞下象限
E:获得性视网膜劈裂常见黄斑区受累
以下关于视网膜母细胞瘤(如图)描述错误的是()
A:双眼发病约占30%~35%
B:可出现钙化灶
C:是儿童最常见的原发性眼内恶性肿瘤
D:90%发生于3岁以前
E:男性多于女性
儿童最常见的原发性眼内恶性肿瘤是()
A:脉络膜骨瘤
B:脉络膜转移癌
C:视网膜母细胞瘤
D:恶性黑色素细胞瘤
E:以上都不是
前部缺血性视神经病变的视野检查特点为( )
A:与生理盲点相连的弓形或扇形暗点
B:旁中心暗点
C:中心暗点或视野向心性缩小
D:鼻侧阶梯
E:管视
提示隐匿性眼球破裂伤的体征有()
A:眼压低
B:球结膜下广泛积血
C:玻璃体腔大量积血
D:角膜变形皱褶
E:以上都是
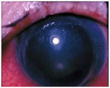
女,25岁,右眼外伤1天。检查右眼视力0.06,结膜混合性充血,角膜水肿,晶状体混浊(如图),前房浅,眼底不清,眼压38mmHg,该患者最有可能诊断是()
A:急性闭角型青光眼
B:恶性青光眼
C:外伤性晶状体脱位
D:先天性白内障
E:以上都不是
准分子激光角膜切削术治疗近视时,受术者年龄应大于几岁( )
A:16
B:18
C:20
D:22
E:24
玻璃体动脉残留
患者,男性,25岁,左眼被拳头击伤后视力下降、眼球胀痛2小时。检查:左眼视力眼前手动,眼压54mmHg,角膜水肿,前房深,前房有油滴状外观,瞳孔散大,眼底模糊。最恰当的处理()
A:小梁切除术
B:虹膜周边切除术
C:晶状体摘除术
D:不手术,随访
E:小梁切开术
视盘玻璃膜疣的视野检查可见生理盲点扩大。
首页
<上一页
164
165
166
167
168
下一页>
尾页