出自:神经病学高级职称

低颅压头痛与以下哪些疾病有关( )
A:头颈部外伤
B:脑膜炎
C:全身感染
D:低血压
E:脱水
运动系统检查包括___________、________________、_________、_________、__________。
异态睡眠

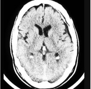
患者,女,65岁,进行性加重的近记忆力减退,缓慢行走,交谈能力减退,付错钱。CT表现如图



第1题,共4个问题
(单选题)最可能的诊断是( )
A:A1zheimer病
B:帕金森病
C:抑郁症
D:轻度认知障碍
E:多发性脑梗死

第2题,共4个问题
(单选题)为进一步排除其他疾病,所做辅助检查的描述错误的是( )
A:CT和MRI检查常显示脑皮质萎缩及侧脑室扩张
B:EUsA检测脑脊液tau蛋白可升高
C:认知功能测试有助于与其他病因痴呆鉴别
D:APP、PS-1或PS-2基因检测不能确诊FAD
E:组织病理学显示老年斑和神经原纤维缠结等

第3题,共4个问题
(单选题)病情逐渐加重,不可能出现的临床表现为( )
A:主动性减少,自言自语,害怕单独留在家里
B:忽略进食或贪食,常见失眠或夜间谵妄
C:尿便失禁、痉挛、Babinski征和轻偏瘫
D:锥体外系肌强直和运动迟缓
E:脑电图反复出现约1次/秒三相尖波

第4题,共4个问题
(单选题)患者肝功能严重异常,则最慎重应用的药物是( )
A:他可林
B:安理申
C:艾斯能
D:加兰他敏
E:维生素E
额颞痴呆实际上包含________、________、________等。
对头痛不敏感的结构是( )
A:头皮组织、骨膜
B:脑实质
C:颅内动脉、静脉、静脉窦
D:神经和神经根
E:脑膜
肌张力增高有哪些类型?各有什么表现?常见于哪些情况?
肌强直(myotonia)
女性,9岁,1月来右眼外展不能,左侧上下肢中枢性瘫痪,病变部位在()。
A:左内囊
B:右内囊
C:右延髓
D:右桥脑
E:右中脑
舌下神经检查不包括( )
A:舌肌肌束颤动
B:舌肌萎缩
C:伸舌偏斜
D:咽反射减弱或消失
E:舌前2/3味觉障碍
皮质感觉区刺激性病灶可引起____________________。
神经系统钩端螺旋体病的中期主要临床表现为( )
A:脑膜炎症状
B:发热、头痛、腓肠肌压痛
C:脑炎症状
D:结膜充血、浅表淋巴结肿大
E:脑动脉炎症状
颈膨大的病变导致双上肢中枢性瘫痪,双下肢周围性瘫痪

男性,18岁。晨起时肌肉酸胀,翻身和起床困难起病,被人背入医院。类似发作3次,均约3d后愈。检查:神清,四肢软瘫,腱反射消失,感觉和大小便正常。心电图示S-T段压低和U波。



第1题,共3个问题
(单选题)最可能的诊断是( )
A:多发性肌炎
B:进行性肌营养不良症
C:周期性瘫痪
D:格林—巴利综合征
E:少年型近端脊肌萎缩症

第2题,共3个问题
(单选题)血生化检查中可能表现为( )
A:肌酸激酶升高
B:抗核抗体阳性
C:血沉增快
D:神经节苷脂GM1抗体阳性
E:血清钾降低

第3题,共3个问题
(单选题)最佳治疗原则为( )
A:10%葡萄糖酸钙静滴
B:10%葡萄糖液加胰岛素静滴
C:乙酰唑胺口服
D:螺内酯(安体舒通)口服
E:10%枸橼酸钾口服
Pick小体
脑包虫病患者血清抗棘球蚴虫抗体阳性率为( )
A:10%~20%
B:20%~30%
C:30%~40%
D:50%~60%
E:60%~90%
重症肌无力肌疲劳试验包括下列哪些内容( )
A:令患者连续睁闭眼观察睑裂大小
B:令患者连续咀嚼动作
C:令患者连续讲话
D:令患者连续蹲、立
E:令患者连续两臂平举
深部感觉的第2级神经元的路径?
神经纤维瘤病的诊断标准是什么?
偏头痛的先兆期一般持续数天,甚至数周。( )
不适合行腰穿检查的是( )
A:颅内压增高并有明显的视乳头水肿者
B:怀疑为后颅凹肿瘤者
C:脊髓压迫症患者的脊髓功能已处于即将丧失的临界状态
D:血小板计数<50×10/L出血倾向者
E:以上均是
关于眼底检查正确的是( )
A:瞳孔太小时可事先散瞳
B:检查时患者背光而坐,眼球正视前方
C:检查时检查者背光而坐,患者眼球正视前方
D:查左眼时,检查者站于患者右侧,右眼观察眼底
E:查右眼时,检查者站于患者右侧,右眼观察眼底
图为小脑下面观,分别标出如图所示1_______________2_______________3_____________4___________5____________6_______________7_______________部位。
试述急性播散性脑脊髓炎的临床表现?
慢性炎症性脱髓鞘性多发性神经病(CIDP)可采用的治疗方法包括( )
A:强的松
B:血浆交换
C:静脉注射免疫球蛋白
D:环磷酰胺冲击治疗
E:其他治疗无效时可使用全淋巴系统照射
何谓瞳孔调节反射?
周围神经病中出现自主神经障碍最常见于( )
A:小纤维受累
B:感觉神经受累
C:粗纤维受累
D:运动神经受累
E:以上全不对
40%~50%癫痫患者在发作间歇期EEG可见___________,正常成年人和健康儿童也可记录到___________。
癫痫的诊断步骤___________、___________、___________。
痛性眼肌麻痹的病因为:________,治疗选用________。