出自:呼吸内科学高级职称

血氨升高常见于()。
A:尿毒症
B:上消化道出血
C:肝性脑病
D:贫血
E:低蛋白饮食
女性,72岁,有冠心病病史多年,本次因右下肺炎入院。凌晨突然出现烦躁、呼吸困难、发绀,尤以卧位时明显,HR130次/分,两肺湿啰音,PaO258mmHg,PaCO231mmHg,胸片示两肺渗出样改变,右下肺斑片状影。目前最可能出现哪一种并发症()。
A:急性呼吸窘迫综合征
B:支气管哮喘
C:急性左心衰
D:肺梗死
E:气胸
男性,52岁,吸烟20年,每天13~20支。近2个月来咳嗽,痰中带血丝,盗汗,X线胸片:左上肺大片阴影,密度不均,其内可见一薄壁空洞,痰结核菌涂片阳性。最有可能的诊断是()。
A:空洞型肺结核
B:纤维空洞型肺结核
C:左上肺癌性空洞形成
D:左上肺炎
E:左上肺脓肿
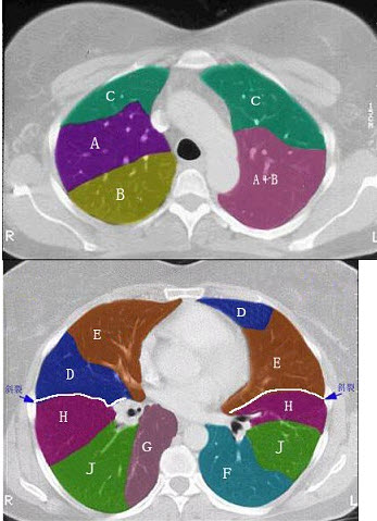
结合肺段模式(见图),选出右肺下叶的组成( )
A:F
B:F+G
C:F+G+H
D:F+G+H+I
E:F+G+H+I+J
女,28岁,哮喘急性发作2天,患者及家属十分紧张,但根据动脉血气分析结果医生认为病情尚不严重,血气分析除低氧血症外,可能是以下哪种情况()。
A:PaCO2降低,pH轻度偏碱
B:PaCO2正常,pH在正常范围
C:PaCO2升高,pH明显降低
D:PaCO2升高,pH正常
E:以上都不是
女性,65岁有刺激性咳嗽,偶有胸闷,午后低热37.5℃左右,伴盗汗,乏力等,查体:无明显异常,胸片示纵隔明显增宽,血常规检查正常。血沉60mm/h,结核菌素试验弱阳性。淋巴瘤在纵隔中最常见的部位是()。
A:上纵隔
B:中纵隔
C:下纵隔
D:前纵隔
E:后纵隔
男性,43岁。有支气管扩张病史20年。平时痰多,脓性。但近半月来痰少,频频咳嗽,并反复咯血。X线胸片显示右下肺有一空洞,内有团球影,其可能的诊断是( )
A:肺脓肿
B:Wegener肉芽肿
C:曲霉肿
D:侵袭性曲霉病
E:球形肺炎
女性,30岁。5天前淋雨后发冷发热胸痛,咳嗽,气短。既往有结核病史。查体:左肺下部叩诊浊音,可闻水泡音,痰结核菌集菌阴性,白细胞为32×109/L,胸片示左肺下叶大片状致密阴影,考虑诊断为()。
A:浸润型肺结核
B:阻塞性肺炎
C:肺脓肿
D:肺炎球菌肺炎
E:病毒性肺炎
肠内容物在肠道通过受到障碍时称为肠梗阻,下列哪一种原因不属于机械性肠梗阻()。
A:手术后肠粘连
B:肠扭转、肠套叠
C:绞窄性疝
D:腹部大手术后
E:蛔虫团或粪块堵塞肠腔
睡眠呼吸暂停综合症治疗中、重度阻塞型患者的首选方法是()。
A:口腔矫治器
B:呼吸兴奋药物
C:氧疗
D:手术治疗
E:辅助通气治疗
男性,53岁。反复咳嗽并有吸烟史10年,冬春季咳嗽加重。查体:双肺呼吸音稍减低,右下肺可闻少量湿性啰音。胸片示肺纹理增多。肺功能检查残气量占肺总量的25%,1秒率55%。最可能的诊断是( )
A:肺间质纤维化
B:慢性阻塞性肺疾病并肺部感染
C:阻塞性肺气肿
D:肺不张
E:肺泡细胞癌 
仅对细胞外结核菌有杀菌作用的药物是()。
A:异烟肼
B:乙胺丁醇
C:吡嗪酰胺
D:链霉素
E:利福平
关于肺炎球菌肺炎的致病菌,下列哪项是正确的( )
A:非上呼吸道正常菌群
B:为革兰阳性球菌
C:感染该菌易发生感染性休克
D:该菌在干燥痰中存活时间仅几小时
E:儿童和成人属同一致病亚型
男性,43岁。因气喘、呼吸困难6个月,加重1个月入院。1个月前在外院诊断为哮喘,经抗炎、解痉、平喘治疗,效果不明显。体检:双肺可闻及吸气相喘鸣音。根据病史、体征,应警惕以下哪一种疾病( )
A:肺炎
B:肺结核
C:心源性哮喘
D:支气管哮喘
E:大气道阻塞性疾病
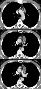
21岁,女,颈部淋巴结肿大,无压痛,请结合CT检查,选出最可能的诊断( )
A:淋巴瘤
B:淋巴结核
C:结节病
D:转移性淋巴结肿大
E:间皮囊肿
男性,30岁,头痛、复视1个月余,伴发热,体温38.5℃,无恶心呕吐,伴乏力、盗汗。查体:颈强直,克氏征(+),布氏征(+)。胸片双肺未见明确病变,脑脊液无色透明,压力280mmHO,白细胞数0.12×10/L,葡萄糖0.8mmol/L,蛋白110mg/dl。氯化物95mmol/L,PPD(++),脑脊液抗结核抗体(+)。 患者在抗结核治疗的同时口服泼尼松30mg,每日1次(清晨顿服)。长期使用激素的不良反应不包括下列哪项( )
A:肥胖
B:血糖升高
C:低血压
D:骨质疏松
E:诱发感染
尿17-OHCS水平可以反映()。
A:肾上腺皮质功能
B:肾上腺髓质功能
C:甲状腺素水平
D:雄激素水平
E:雌激素水平
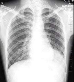
男性患者,19岁,咳嗽、发热1周,X线检查如图,最可能的诊断是( )
A:左下肺不张
B:左侧胸膜肥厚
C:左下肺炎症
D:左侧胸腔积液
E:左下支气管扩张
慢性肾功能不全的贫血,下列哪种治疗方法是最根本、最有效的方法()。
A:补充促红细胞生成素
B:输血
C:充分透析
D:肾移植
E:补充造血原料
ITP的诊断标准应符合下列条件,但哪项除外()。
A:多次检查血小板计数减少
B:脾不肿大或轻度肿大
C:骨髓检查巨核细胞数增多或正常,有成熟障碍
D:PAIg增多
E:对糖皮质激素治疗无效
正常上睑的位置遮盖角膜的()。
A:9~3点
B:10~2点
C:12点
D:11~1点
E:角膜上方2mm
医院获得性肺炎的危险因素包括?
女,42岁,咳嗽,咳大量脓痰伴发热1个月余,间有痰中带血。X线胸片示左上肺有一空洞伴液平面。为明确诊断,指导治疗最重要的检查是( )
A:白细胞计数
B:胸部体层照片
C:支气管镜检查
D:血沉
E:痰细胞学及病理细胞学检查
67岁,男,胸痛、咯血、体重下降,请结合CT,检查选出最可能的诊( )
A:肺结核
B:肺上沟瘤
C:错构瘤
D:胸膜间皮瘤
E:神经鞘瘤
关于各项记录,不正确的是()。
A:应注明年、月、日
B:急诊病历书写就诊时间应具体到分钟
C:表格式病历各栏内必须按项填写
D:表格栏无内容者可画"/"或"一"
E:表格式病历无内容者可空白
用于饮水消毒的方法有()。
A:氯气
B:漂白粉
C:生石灰
D:高锰酸钾
E:煮沸

老年男性,反复咳嗽咳痰4~5年,近2个月来病情加重,痰量多,青、链霉素治疗效果欠佳。查体:背部双下肺野可闻及细湿啰音;WBC8.6×10/L,N0.76。



第1题,共8个问题
(单选题)该病人诊断应为( )
A:支气管肺癌并感染
B:慢性支气管炎,阻塞性肺气肿
C:慢性支气管炎急性发作期
D:慢性支气管炎慢性迁延期
E:肺脓肿

第2题,共8个问题
(单选题)为指导治疗,下列哪项检查最有意义( )
A:胸部X线检查
B:痰培养
C:CT
D:支气管镜
E:血培养

第3题,共8个问题
(单选题)患者疗效欠佳的主要原因是( )
A:未使用广谱抗生素
B:病毒细菌感染
C:未进行痰液引流
D:营养欠佳
E:未进行护理治疗

第4题,共8个问题
(单选题)关于沙丁胺醇(舒喘灵)的平喘作用原理,下列哪项是错误的( )
A:主要刺激β肾上腺素能受体
B:激活腺苷环化酶
C:阻止cAMP衍变成5-AMP
D:与氨茶碱合用有协同作用
E:提高肥大细胞内的cAMP浓度

第5题,共8个问题
(单选题)沙丁胺醇(舒喘灵)等β受体激动剂是由下列哪种药物发展而来( )
A:黄芪
B:洋金花
C:甘草
D:麻黄碱(麻黄素)
E:冬虫夏草

第6题,共8个问题
(单选题)茶碱的平喘作用原理是( )
A:激活腺苷环化酶,使cAMP形成增加
B:抑制鸟苷环化酶,使cGMP形成减少
C:抑制磷酸二酯酶,阻止cAMP衍变成5-AMP
D:抑制a-肾上腺素能受体,防止ATP分解为ADP
E:抑制免疫过程中多个阶段,减少抗体生成

第7题,共8个问题
(单选题)病人在使用茶碱类药物应注意减量的是( )
A:有癫痫病史
B:发热的病人
C:合并使用西米替丁时
D:合并使用大环内酯类抗生素时
E:以上说法均是

第8题,共8个问题
(单选题)对该患者糖皮质激素的使用,下列哪项正确( )
A:静脉使用糖皮质激素
B:口服糖皮质激素
C:吸入糖皮质激素即可
D:吸入色苷酸钠
E:吸入异丙托品
女性,57岁,有系统性红斑狼疮史2年,一直服用泼尼松治疗。近1个月来,高热,咳嗽、咳痰伴有呼吸困难,胸片示双肺粟粒性阴影,大小密度分布均匀。 需采取的治疗是( )
A:激素治疗的同时抗结核治疗
B:抗感染治疗
C:激素治疗
D:抗结核治疗
E:免疫治疗
病毒性肝炎患者血清增高的乳酸脱氢酶的同工酶为()。
A:LD1
B:LD2
C:LD3
D:LD4
E:LD5
男性,45岁。反复发生夜间呼吸困难1个月,加重一天就诊,体格检查:血压180/110mmHg,呼吸急促,双肺散在哮鸣音,双肺底细湿啰音,心率130次/分。

第1题,共3个问题
(单选题)在没有确诊情况下,不宜应用的药物()。
A:氨溴索
B:氨茶碱
C:速尿
D:吗啡
E:糖皮质激素

第2题,共3个问题
(单选题)如无法在短期内做出鉴别又急需尽快缓解呼吸困难可选用()。
A:吗啡
B:氨茶碱
C:强的松
D:痰液稀释剂
E:止咳糖浆

第3题,共3个问题
(单选题)此患者最需鉴别的是()。
A:慢性支气管炎还是急性支气管炎
B:肺心病还是冠心病
C:支气管哮喘还是心源性哮喘
D:双肺炎症还是肺间质纤维化
E:左心衰竭还是ARDS