出自:病理学高级职称

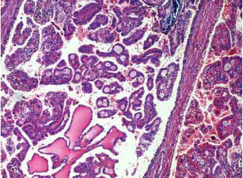
患者男性,18岁,因颅内肿瘤手术,术中见肿瘤位于蝶鞍上部,球形,有包膜,直径3cm。



第1题,共2个问题
(单选题)术后巨检肿块囊实性,囊内充满淡黄色液体,实性区灰白色,质硬,镜检如图,最可能的诊断是( )
A:垂体腺癌
B:垂体腺瘤
C:颅咽管瘤
D:垂体转移癌
E:室管膜瘤

第2题,共2个问题
(单选题)下列关于该肿瘤的描述中错误的是( )
A:囊壁内衬复层鳞状上皮
B:实性区为团块及条索状排列的鳞状上皮
C:部分区可见造釉细胞瘤结构
D:相当于WHOⅢ级
E:肿瘤来源于颅咽管剩件的鳞状上皮
原位PCR
病毒性肝炎为( )
皮肤Ⅱ度烧伤出现的水泡为( )
白喉和细菌性痢疾常为( )
溶血性链球菌感染时常为( )
A:变质性炎
B:蜂窝织炎
C:纤维素性炎
D:卡他性炎
E:浆液性炎
交界性早搏的心电图表现是()。
A:有窦性P′波
B:QRS>0.12s
C:代偿间期常完全
D:偶联间期常固定
E:提前出现的QRS波群,逆行P′波可有可无

男性,60岁。排尿困难,尿频2年,加重20天。CT平扫示病灶位于左肾外侧,病灶圆形,密度均匀,增强扫描各期病灶呈轻度强化,考虑为肾癌。



第1题,共2个问题
(单选题)该患者行左肾切除后送病理检验,镜检如图所示,请作出镜下诊断( )
A:左肾乳头状腺癌
B:左肾透明细胞癌
C:左肾透明细胞癌+颗粒细胞癌
D:左肾颗粒细胞癌
E:左肾梭形细胞癌

第2题,共2个问题
(单选题)肾癌的细胞类型哪项是错误的( )
A:透明细胞癌
B:颗粒细胞癌
C:梭形细胞癌
D:鳞状细胞癌
E:乳头状癌
患者女,51岁,因“自感胸部疼痛,咳嗽1个月”入院。CT:纵隔内可见不规则肿块。切除送检肿物的体积为6.0cm×4.0cm×3.5cm,切面灰白色,质硬,可见灶状坏死。光镜:大多角形细胞呈巢状排列,细胞异型性明显,染色质粗,深染,可见核分裂。小区细胞巢中可见细胞角化,纤维间质透明变性。该诊断最可靠的免疫组织化学表型是()。
A:AE1/AE3(+)
B:CK5/6(+)
C:CD5(+)
D:CD20(+)
E:EMA(+)
患者男,62岁,因“声音嘶哑,咳嗽痰中带血”来诊。初诊为慢性咽喉炎,治疗3个月后,声音依然嘶哑不见好转,发音也越来越困难,病情明显加重,再次入上级医院诊治。患者吸烟40年。喉镜:左侧声带前有一菜花状肿物,质脆,触之易出血。

第1题,共5个问题
(单选题)最有可能的诊断为()。(提示若显微镜下见分化良好的鳞状上皮呈乳头状生长,基底部呈杵状深入间质,细胞无明显异型性,核分裂少见。)
A:鳞状细胞癌
B:疣状癌
C:小细胞癌
D:基底细胞样鳞状细胞癌
E:淋巴上皮癌
F:肉瘤样癌
G:腺癌

第2题,共5个问题
(单选题)最有可能的诊断为()。(提示若显微镜下见在原位癌或浸润癌的背景下,出现一些细胞密集的浸润性小细胞岛,细胞岛周边的癌细胞呈栅栏状排列,似基底细胞样。)
A:鳞状细胞癌
B:疣状癌
C:小细胞癌
D:基底细胞样鳞状细胞癌
E:淋巴上皮癌
F:肉瘤样癌
G:腺癌

第3题,共5个问题
(单选题)最有可能的诊断为()。(提示若显微镜下见多为高分化癌,胞质丰富,嗜酸性,癌巢大,角化珠明显。)
A:鳞状细胞癌
B:疣状癌
C:小细胞癌
D:基底细胞样鳞状细胞癌
E:淋巴上皮癌
F:肉瘤样癌
G:腺癌

第4题,共5个问题
(单选题)最有可能的诊断为()。(提示若显微镜下见癌巢内有小腺管样结构,细胞呈柱状围成小腔,形成所谓“真性菊形团”。)
A:鳞状细胞癌
B:疣状癌
C:小细胞癌
D:基底细胞样鳞状细胞癌
E:淋巴上皮癌
F:肉瘤样癌
G:腺癌

第5题,共5个问题
(单选题)根据上述初步检查结果,本例主要考虑为()。
A:喉角化病
B:喉癌
C:喉血管瘤
D:喉脂肪瘤
E:喉结核
F:喉结节
霍奇金病主要发生于浅表淋巴结,以________和_______最常见。
图片显示的子宫颈病变最可能是()
A:子宫颈浸润性鳞状细胞癌
B:子宫颈腺体鳞状上皮化生
C:子宫颈息肉
D:慢性子宫颈炎
E:子宫颈鳞状细胞原位癌累及腺体
自身免疫性疾病引起组织损伤的机制是( )
A:致敏T淋巴细胞对自身组织的损伤
B:自身抗体刺激或阻断细胞表面受体功能
C:自身抗体以FaB与细胞膜结合,再以Fc段与效应细胞结合而杀伤靶细胞
D:自身抗体与血液循环中的抗原结合形成循环免疫复合物
E:自身抗体与细胞膜表面直接结合,激活补体引起细胞损伤
以下哪类肿瘤不发生转移( )
A:高分化癌
B:原位癌
C:早期浸润癌
D:微小癌
E:霍奇金病
血栓(thrombus)
目前已知与人类肿瘤发生有关的肿瘤病毒有()。
A:乳头状瘤病毒
B:EB病毒
C:乙型肝炎病毒
D:腺病毒
E:人类T细胞白血病病毒
化学性因素致病的特点有()。
A:致病作用与其浓度有关
B:致病作用与其毒性有关
C:致病作用与其持续时间有关
D:对组织损伤有一定的选择性毒性作用
E:病愈后都会留下后遗症
儿童肺结核特点是( )
A:初次感染,缺乏免疫力
B:症状明显
C:易于通过支气管、淋巴道播散
D:易通过支气管、血道播散
E:病变开始以渗出性改变为主
硬皮病的特征性病变为( )
A:全身多个器官间质纤维化
B:全身细小动脉玻璃样变、硬化
C:全身皮肤小血管硬化
D:全身性皮肤变硬,胶原纤维增生
E:全身皮肤多发性肉芽肿形成并纤维化
最常发生于膝关节的病变是()。
A:腱鞘巨细胞瘤
B:滑膜血管瘤
C:色素性绒毛结节性滑膜炎
D:滑膜软骨瘤病
E:恶性腱鞘巨细胞瘤
有一病人年轻时患过风湿性关节炎,后又患肾炎数年,而且反复发作加重病情,近来出现头晕、头痛、多尿以及夜尿等症状,查体呈慢性病容,皮肤有尿素霜,心前区听到心包摩擦音,尿蛋白(+),NPN增高。本患者的心包摩擦音产生原因可能是()。
A:风湿性心外膜炎
B:尿毒症性心外膜炎
C:结核性心外膜炎
D:感染性心外膜炎
E:毛霉菌性心外膜炎
什么是病理学?
下列哪种情况下发生以增生为主的结核病变()
A:变态反应强
B:免疫力弱
C:结核杆菌量多
D:机体抵抗力比较强
E:结核杆菌毒力强
肿瘤性增生的特征有()。
A:生长旺盛
B:相对的无止境生长
C:与机体不协调
D:不同程度地丧失分化成熟的能力
E:致瘤因子不存在时,肿瘤仍能继续生长
肾小球呈现线形免疫荧光的肾小球肾炎可能量()。
A:弥漫性膜性肾小球肾炎
B:弥漫性膜性增生性肾小球肾炎
C:弥漫性新月体性肾小球肾炎
D:弥漫性系膜增生性肾小球肾炎
E:弥漫性毛细血管内增生性肾小球肾炎
下列哪一项不是2型糖尿病的特点()。
A:发病年龄多在40岁以上
B:早期血中胰岛素明显下降
C:胰岛数目正常或轻度减少
D:无抗胰岛细胞抗体及其他自身免疫反应表现
E:发病与胰岛素相对不足及组织对胰岛不敏感有关
在骨髓活检中,为了证明结缔组织不同纤维病变程度,选用改进Gomori银和胶原复染法,能够显示网状纤维呈黑色。而胶原纤维呈红色的染色剂是()。
A:碱性复红
B:丽春红S
C:派洛宁
D:嘧啶红
E:焰红
胃溃疡( )
溃疡型胃癌( )
十二指肠溃疡( )
肠结核( )
肠阿米巴病( )
A:溃疡直径多在2.5cm以内,溃疡边缘整齐,周围黏膜皱襞向溃疡集中
B:溃疡一般较小而浅,直径多在1cm以内,但易发生穿孔
C:溃疡大且不规则,常呈火山口状,周围皱襞中断,呈结节状肥厚
D:溃疡呈口小底大的烧瓶状
E:溃疡呈环状与肠的长轴垂直
骨化性纤维瘤与骨纤维结构不良的病理鉴别诊断要点是()
A:纤维组织和与骨组织含量比例不同
B:有无骨样组织
C:有无新生骨
D:病变内骨小梁表面有无骨母细胞围绕
E:有无坏死
慢性肝淤血时,会出现下列哪些病变( )
A:纤维组织增生
B:假小叶形成
C:脂肪变
D:气球样变
E:肝细胞萎缩
患者女,59岁,因“发热”来诊。胸部X线:左侧胸腔积液,肺上叶表面肿物并向肺内生长。穿刺活检,镜下:在大量致密的胶原纤维中,不典型细胞排列成席纹状或“无构型”形式,如图所示。 最可能的诊断为()。(提示免疫组织化学染色:CR(+)、CK5/6(+)、CK(+)、vimentin(+)、TTF-1(-)、CD30(-)、CD34(-)、SMA(-)。)
A:机化性胸膜炎
B:肺腺癌
C:恶性间皮瘤
D:孤立性纤维性肿瘤
E:炎性肌成纤维细胞瘤
F:胸膜的原发性渗出性淋巴瘤
患者女,26岁,因“月经过多1年余”来诊。临床诊断:子宫黏膜下平滑肌瘤。宫腔镜检查见宫腔内赘生物3cm×2cm×2cm。行宫腔镜下“肌瘤”电切割术。肿瘤切面条纹欠清,质地中等,稍感细腻。 免疫组织化学染色actin、CK结果如图所示,诊断为()
A:子宫内膜息肉
B:子宫不典型息肉状腺肌瘤
C:子宫内膜复杂性增生
D:子宫内膜复杂性不典型增生
E:子宫内膜癌肌层浸润
消化性溃疡最好发生哪一部位()。
A:胃小弯近贲门部处
B:胃小弯近幽门部
C:胃大弯及胃底
D:十二指肠球部
E:十二指肠降部