自考题库
首页
所有科目
自考历年真题
考试分类
关于本站
游客
账号设置
退出登录
注册
登录
出自:消化内科学高级职称
慢性萎缩性胃体胃炎( )
慢性萎缩性胃窦胃炎( )
慢性浅表性胃炎( )
A:大便隐血持续阳性
B:血清胃泌素增高
C:血清胃泌素正常
D:血清胃泌素减低
E:胃泌酸功能增高
关于出血坏死性胰腺炎哪项是错误的( )
A:起病急骤常伴休克和多种并发症
B:血清淀粉酶必须超过3200单位
C:可并发成人呼吸窘迫综合征
D:血钙低于1.75mmol/L则预后不良
E:血清亚铁血白蛋白(+)
该患者曾反复用过多种助消化药物,均效果一般。 宜改选哪一种药( )
A:Omeprazole(LOSEC)
B:Domperidone(Motilium)
C:Famotidine
D:De-Nol
E:Furazolidone
胆汁性肝硬化( )
胆总管梗阻( )
病毒性肝炎( )
肝硬化失代偿期( )
A:黄疸伴上腹部疼痛
B:黄疸伴肝大
C:黄疸伴胆囊肿大
D:黄疸伴腹水
E:黄疸伴脾大
60岁男性,皮肤黄染2个月,上腹胀痛,厌油食,黄疸曾有减轻后又加重,体温37.6℃,巩膜皮肤呈深黄色,肝于肋下2cm,胆囊可触及,无明显压痛。应首先考虑为( )
A:胆总管结石
B:慢性胆囊炎
C:肝总管癌
D:壶腹部癌
E:胆囊癌
女性,67岁。4个月来出现腰背痛,喜坐位,进食油腻食物时出现上腹部不适和腹泻。查体:上腹轻度压痛,无反跳痛及肌紧张。立位腹平片:第一腰椎左侧可见结石影。血AFP、CEA及CA199正常。还需要与下列哪种疾病鉴别()。
A:胆石症
B:炎症性肠病
C:慢性胆囊炎
D:慢性胰腺炎
E:胰腺癌
消化性溃疡患者需紧急手术治疗的情况是( )
A:伴胃酸减少
B:年龄较大,病程长,疼痛反复发作
C:有反复上消化道出血史,现大便隐血试验又强阳性
D:合并幽门梗阻
E:大出血停止后,1天内又有大量出血
男性患者,42岁。5年来反复上腹部隐痛,伴反酸、烧心,进食后缓解,每年春季和秋季发作,未系统治疗。为明确诊断首选的检查是()。
A:X线钡餐
B:胃镜
C:胃液分析
D:上腹部B超
E:全腹增强CT
急性黄疸性肝炎按病程经过分为__________、___________、_______________三期。
消化性溃疡需手术治疗的是( )
A:并发上消化道大出血者
B:溃疡急性穿孔
C:并发幽门梗阻者
D:胃溃疡疑有癌变者
E:正规内科治疗无效的顽固性溃疡
男性,60岁,因关节痛服消炎痛三片,今晨起上腹不适,随即呕吐咖啡样物,伴鲜血共约500ml,既往有胆石症病史,其呕血最可能的原因是( )
A:胃溃疡并出血
B:胆道出血
C:十二指肠球部溃疡并出血
D:胃癌并出血
E:急性胃粘膜损害
属于婚育史的是( )
属于既往史的是( )
属于个人史的是( )
A:曾有阑尾切除史
B:家庭成员健康与疾病情况
C:妊娠与生育次数
D:配偶健康状况
E:血吸虫疫水接触史
肝硬化患者有明显书写不稳的手震颤,最可能提示存在下列哪种情况( )
A:掌挛缩病
B:肝性脑病
C:酒精性多发性神经病
D:肝炎后肝硬化
E:原发性肝癌
患者,男性,50岁,酒后上腹痛、腹胀8小时。查体:上腹明显压痛,肌紧张反跳痛,血压120/80mmHg,脉搏88次/分。提示:血钙1.25mmol/L提问:对疾病有何提示意义()。
A:提示出血坏死型胰腺炎
B:提示预后不良
C:不提示预后
D:提示水肿型胰腺炎
E:无意义
下述哪一种反流不会产生食管黏膜损害()。
A:胃酸
B:胃蛋白酶
C:非结合胆酸
D:胰酶
E:胃黏液
结核性腹膜炎患者腹胀的常见原因是()。
A:结核毒素血症
B:腹膜炎伴肠功能紊乱
C:腹水
D:肠道菌群失调
E:以上都是
下列哪项
不属于
肝硬化的病理变化()。
A:肝内血循环紊乱,血管床缩小、闭塞或扭曲
B:不规则结节状再生肝细胞团形成
C:假小叶形成
D:广泛肝细胞坏死,肝小叶纤维支架塌陷
E:汇管区因结缔组织增生而显著缩小
急性胰腺炎的并发症有哪些?
患者男性,51岁,因急性心肌梗死入院,住院期间发生阿-斯综合征。心电图如图5-22所示,应诊断为()。
A:二度Ⅰ型房室传导阻滞
B:窦性停搏
C:三度窦房阻滞
D:二度Ⅱ型窦房阻滞
E:高度房室传导阻滞、心室停搏
下列哪项是假性神经传导介质()。
A:5-羟色胺
B:多巴胺
C:β-羟酪胺(鱆胺)
D:α-甲基多巴
E:左旋多巴
肝硬化病人突然感到剧烈腹痛,继之发热、便血、休克,腹水迅速增长,脾脏增大,应想到的并发症是()。
A:原发性肝癌
B:腹腔感染
C:食管静脉曲张破裂出血
D:门静脉血栓形成
E:原发性腹膜炎
认为Crohn病与免疫反应异常有关的理由有哪些?
急性轻症胰腺炎的治疗措施主要有()。
A:胃肠减压
B:止痛药物
C:抗生素
D:手术治疗
E:抑酶治疗
男性,35岁。反复上腹痛伴反酸15年,疼痛于空腹时加重,饭后缓解,近来疼痛加剧,服抗酸药等不能缓解。近7天来上腹痛伴呕吐,呕吐有酸臭味。为明确诊断,该患者需采取的措施是()。
A:腹部B超
B:上消化道气钡双重造影
C:腹部MRI
D:胃肠减压后内镜检查
E:腹部CT
按照病情经过,溃疡性结肠炎分哪几型?
治疗终末期酒精性肝病的惟一方法是()。
A:药物治疗
B:肝细胞移植
C:减少门体分流
D:肝移植
E:人工肝
女性,28岁。近5个月来出现低热、乏力、盗汗等症状,并逐渐出现腹胀,腹部间断隐痛不适。既往史:幼时曾患肺门淋巴结结核。查体:腹膨隆,腹韧,无压痛反跳痛及肌紧张,移动性浊音(+)。最可能的诊断是()。
A:结核性腹膜炎
B:肠伤寒
C:肝硬化
D:自发性腹膜炎
E:结肠癌
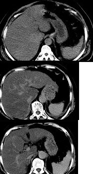
男,32岁,肥胖,常酗酒,肝肋下一横指,肝区轻微压痛,影像表现如图,应诊断为( )
A:肝炎
B:肝硬化
C:脂肪肝
D:肝豆状核变性
E:肝含铁血黄素沉着
关于急性胰腺炎腹痛机制的论述错误的是()。
A:胰腺炎症刺激包膜上的神经末梢
B:炎症渗出物刺激腹膜
C:胰腺受压迫腹部神经丛
D:炎症累及肠道引起肠胀气
E:胰管阻塞
下列哪些是门脉高压症腹水形成的因素( )
A:有效循环血容量过多
B:门静脉毛细血管床的滤过压增加
C:肝内淋巴液回流不畅,自肝表面漏入腹腔
D:肝功能减退,血浆白蛋白合成障碍,致血浆胶体渗透压降低
E:肾上腺皮质的醛固酮和垂体后叶的血管升压素增多,致钠和水的潴留
首页
<上一页
150
151
152
153
154
下一页>
尾页