自考题库
首页
所有科目
自考历年真题
考试分类
关于本站
游客
账号设置
退出登录
注册
登录
出自:神经病学高级职称
Lambert-Eaton综合征可伴有下列哪些疾病( )
A:小细胞肺癌
B:胃癌
C:前列腺癌
D:直肠癌
E:系统性红斑狼疮等
头痛的预防措施
不包括
( )
A:避免情绪紧张
B:多饮红酒
C:服用血管扩张剂
D:吃奶酪
E:避免劳累
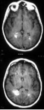
男性,40岁,因感冒半月后出现性情改变如欣快、暴躁和猜疑,以及EEG弥漫性慢波,以脑炎诊断住院20天,经治疗病情明显好转,准备3日后出院。但患者病情反复,MRI如图,应考虑( )
A:球后视神经炎
B:重症肌无力
C:多发性硬化
D:脑干肿瘤
E:脊髓压迫症
medial medullary syndrome
脑棘球蚴病是由________的幼虫引起的颅内感染病,该病主要见于_______地区。
脑性瘫痪的病因分型:_________、_________、_________。
高血钾型周期性瘫痪属于骨骼肌何种通道病( )
A:钾通道病
B:钠通道病
C:钙通道病
D:氯通道病
E:氨基酸通道病
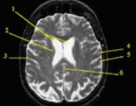
分别标出如图所示1_______________2_______________3_____________4___________5____________6_______________部位。
如图箭头所示为小脑哪个部位( )
A:小脑扁桃体
B:小脑下脚
C:小脑中脚
D:小脑上脚
E:小脑蚓部
有关HIV描述正确的是( )
A:是一种DNA病毒
B:主要破坏CD淋巴细胞
C:一般不直接损害神经组织
D:HIV-2主要引起AIDS
E:以上均是
简述先天性副肌强直症与先天性肌强直的鉴别诊断。
基因诊断主要用于_________遗传病,主要采用_________,_________和_________等。
男,40岁,脑MRI示右侧内囊区小片脑梗死,现在处于疾病的恢复期,上肢屈肌和下肢伸肌张力均增高,左侧肢体能抬起床面,但不能抵抗阻力,左侧巴氏征阳性。
第1题,共2个问题
(单选题)此时患者左侧肌力为几级( )
A:1级
B:2级
C:5级
D:4级
E:3级
第2题,共2个问题
(单选题)患者的肌张力增高为那种类型的肌张力增高( )
A:锥体系病变时的肌张力增高
B:小脑病变时的肌张力增高
C:多发性神经病时的肌张力增高
D:肌源性病变时的肌张力增高
E:脊髓前脚灰质炎时的肌张力增高
上输尿管点
试结合神经系统解剖结构,解释延髓背外侧综合征的临床表现。
多发性硬化急性发作和复发的主要治疗药物是( )
国际MS协会推荐作为MS复发期的首选治疗药物是( )
多发性硬化患者出现疲劳时可服哪种治疗( )
A:皮质类固醇
B:β-干扰素
C:氟西汀
D:巯唑嘌呤
E:免疫球蛋白
遗传性共济失调
什么叫不自主运动?试述临床上有几种多见的不自主运动?
不自主运动有哪些常见的临床类型。
试述髓内、髓外、硬膜内、髓外硬膜外病变的鉴别。
结核性脑膜炎的治疗原则是__________、__________、__________和__________。
肌萎缩性侧索硬化主要发生于哪类人群( )
A:儿童
B:青少年
C:没有年龄分布特征
D:老年女性
E:40岁以上男性
路易体痴呆
急性炎症性脱髓鞘性多发性神经病的诊断要点有哪些?
内囊损害的三偏征包括__________、__________、__________。
运动神经元及其支配肌纤维合称为_________。
脊髓白质
肌原纤维由许多纵向排列的含有_________蛋白和_________蛋白的_________肌丝和_________肌丝组成。
患者,女性,43岁,无原因出现四肢瘫痪1天,无大、小便障碍。查体:四肢肌力Ⅲ级,感觉正常,腱反射消失,Babinski征阴性,血钾4.1mmoL/L,脑脊液蛋白1.Og/L,细胞数5×10/L,首先应想到的诊断是( )
A:全身型重症肌无力
B:Guillain-Barre综合征
C:周期性瘫痪
D:急性脊髓灰质炎
E:急性脊髓炎
病损在面神经的镫骨肌支以上处的表现为( )
病变在面神经膝状神经( )
病损在面神经鼓束神经加入以上处的表现为( )
病损在面神经茎乳孔内的表现为( )
A:Bell面瘫伴耳后疼痛
B:Bell麻痹伴舌前2/3味觉障碍
C:Bell麻痹伴舌前2/3味觉障碍,听觉过敏
D:Bell麻痹伴舌前2/3味觉障碍,听觉过敏,外耳道感觉减退和疱疹
E:Bell麻痹伴面肌抽搐
首页
<上一页
149
150
151
152
153
下一页>
尾页