自考题库
首页
所有科目
自考历年真题
考试分类
关于本站
游客
账号设置
退出登录
注册
登录
出自:眼科高级职称
角巩膜缘后界位于()
A:角膜前弹力层止端与后弹力层止端的平面
B:巩膜突或虹膜根部所在与眼表的垂直面
C:Schwalbe线所在与眼表的垂直面
D:小梁网所在与眼表的垂直面
E:Schlemm管所在与眼表的垂直面
有关晶状体脱位治疗错误的是()
A:一旦发现晶状体脱位,可马上手术摘除
B:脱位位于前房的透明晶状体,应手术摘除
C:脱入玻璃体腔的晶状体可通过睫状体平坦部切除
D:不全脱位的晶状体可在囊袋内植入张力环后用超声乳化吸除
E:脱入玻璃体腔核较硬的晶状体可考虑应用超声粉碎的方法
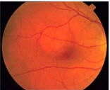
下列不符合中心性浆液性脉络膜视网膜病变(如图)的临床表现为()
A:视物模糊
B:视物变形
C:中央暗影
D:视力突然丧失
E:中央凹反光消失
葡萄膜富含_______抗原,视网膜及晶状体也含有_______的抗原。
不会引起视乳头炎的疾病有()
A:糖尿病
B:多发性硬化
C:麻疹
D:结核病
E:青光眼
Schiotz眼压计测量眼压时,用5.5g砝码,读数小于多少需更换更重的砝码再行检测()
A:1
B:2
C:3
D:4
E:5
下列描述中正确的是()
A:胚胎8个月时,视网膜各层基本形成
B:胚胎7个月时,瞳孔膜开始萎缩形成瞳孔
C:胚胎5个月时,巩膜发育完成
D:前房角至出生时发育完全
E:眼眶发育较眼球缓慢
眼睛通过棱镜看一个物体,将出现()
A:像向棱镜底方向移位
B:像向棱镜尖方向移位
C:像移近棱镜
D:像远离棱镜
E:以上均不是
在判断A、V型斜视时,需检查眼球向上、下各转多少度时的斜视角()
A:20°
B:30°
C:25°
D:15°
E:10°
染色体异常t(15;17)常见于()
A:AML-M
1
B:AML-M
2
C:AML-M
3
D:AML-M
4
E
0
E:AML-M
5
b
急性视网膜坏死综合征()
A:由疱疹病毒感染
B:后期出现视网膜脱离
C:玻璃体混浊
D:是一种视网膜坏死、视网膜动脉炎
E:多为双眼受累
患者,男性,54岁,右眼红痛、视力下降10天。10天前被玉米叶划伤右眼,后出现右眼畏光、流泪、眼红、眼痛,视力进行性下降。眼科检查见:Vod0.05,结膜混合充血(++),角膜中央浸润灶呈牙膏样外观,可见卫星灶,前房积脓约1mm。
第1题,共6个问题
(单选题)关于真菌性角膜溃疡,错误的是()
A:常有植物外伤史
B:可发生于其他角膜上皮缺损后
C:有上呼吸道感染病史
D:气候温热潮湿地区多发
E:可发生于全身长期大量运用抗生素后
第2题,共6个问题
(单选题)关于该病人的手术治疗,错误的是()
A:清创术
B:前房冲洗术
C:穿透性角膜移植术
D:板层角膜移植术
E:结膜瓣遮盖术
第3题,共6个问题
(单选题)关于该病人的药物治疗,错误的是()
A:抗真菌眼水频繁滴眼
B:酌情使用全身抗真菌药
C:酌情局部使用糖皮质激素
D:酌情局部使用非甾体类抗炎药
E:酌情使用扩瞳药
第4题,共6个问题
(单选题)角膜卫星灶还可见于()
A:细菌性角膜炎
B:病毒性角膜炎
C:棘阿米巴性角膜炎
D:神经麻痹性角膜炎
E:蚕蚀性角膜溃疡
第5题,共6个问题
(单选题)该病人可能的诊断为()
A:细菌性角膜溃疡
B:病毒性角膜溃疡
C:真菌性角膜溃疡
D:棘阿米巴性角膜炎
E:神经麻痹性角膜炎
第6题,共6个问题
(单选题)该病人首先应进行何种检查()
A:角膜刮片革兰染色
B:10%氢氧化钾溶液湿片法查菌丝
C:真菌培养
D:角膜活检
E:共焦显微镜
眼眶炎症分________和________。
患者,女性,38岁,发现左眼视野缺损就诊。检查左眼视力1.0,角膜透明,周边前房偏浅,瞳孔对光反应有,眼底检查,眼压40mmHg。 必须要做的检查是( )
A:A超
B:B超
C:房角镜
D:荧光造影
E:暗室试验
结膜结核主要的临床表现有()
A:结核瘤
B:结膜寻常狼疮
C:泡性角膜炎
D:疱疹性结膜炎
E:结膜结石
外伤性前房角后退是睫状肌()
A:环形纤维与纵行纤维的分离
B:环形纤维与放射状纤维的分离
C:纵行纤维与放射状纤维的分离
D:环形、纵行与放射状三种纤维间的分离
E:任何一种类型肌纤维的撕裂
计算患病率的分子是()
A:观察期间某病的新发病例数
B:观察期间某病的现患病例数
C:观察期间之前某病的患病人数
D:观察期间某病的暴露人口
E:以上均不是
试述中心性浆液性脉络膜视网膜病变的临床表现。
表现为双眼同侧偏盲有以下哪些疾病( )
A:视束病变
B:外侧膝状体病变
C:视交叉病变
D:枕叶病变
E:视放射病变
AC/C
皮质性白内障按其发展过程分哪几期( )
A:进展期
B:初发期
C:成熟期
D:过熟期
E:膨胀期
不属于
近用助视器的是()
A:Galieo望远镜
B:眼镜式助视器
C:立式放大镜
D:双合透镜放大镜
E:手持式放大镜
1851年德国的Helmholtz发明了()
A:裂隙灯
B:检眼镜
C:眼底荧光素造影
D:眼压计
E:电生理诊断仪
男性,54岁,乙肝病史10年,1个月来乏力腹胀,双下肢水肿,1周来自觉低热、乏力、腹胀日益加重,腹痛。查体:移动性浊音(+)。腹水检查:李凡它试验(+),细胞数0.8×10
9
/L,WBC0.6×10
9
/L,中性90%。 其尿失禁的原因可能为()
A:尿路感染
B:急性精神错乱
C:膀胱膨出
D:药物反应
E:心理性忧郁症
占角膜病致盲原因首位的是()
A:单纯疱疹病毒性角膜炎
B:细菌性角膜炎
C:真菌性角膜炎
D:棘阿米巴性角膜炎
E:衣原体性角膜炎
妊娠高血压综合征所致的浆液性视网膜脱离在分娩后可自行复位。
患者,男,21岁。突然右眼眼前黑影及视野缺损1天。既往患高度近视。检查:矫正视力:OD0.3,OS0.9。双眼前节正常。眼底检查:右眼玻璃体液化,轻度浑浊,可见个别色素颗粒,颞上方视网膜青灰色,血管爬行其上,未涉及黄斑。左眼底检查,除豹纹状眼底外,未见明显异常。
第1题,共4个问题
(多选题)提示:检查发现在10点钟位赤道部后马蹄形裂孔,裂孔直径<1个视乳头直径,视网膜脱离范围约3个钟点范围。对该患者常规治疗的选择是()
A:保守治疗
B:巩膜外加压联合视网膜裂孔冷凝
C:玻璃体切除术+C3F8气体填充术
D:巩膜外加压联合视网膜下液引流及视网膜裂孔冷凝
E:视网膜裂孔激光光凝术
F:高渗剂治疗
G:玻璃体切除联合眼内硅油填充
H:单纯玻璃体腔注气术
第2题,共4个问题
(单选题)该患者右眼最可能的诊断为()
A:孔源性视网膜脱离
B:牵拉性视网膜脱离
C:渗出性视网膜脱离
D:视网膜血管瘤
E:脉络膜血管瘤
F:视网膜劈裂症
G:脉络膜黑色素瘤
第3题,共4个问题
(多选题)对查找视网膜裂孔价值较大的方法有()
A:三面镜检查
B:眼部B超检查
C:间接检眼镜联合巩膜外加压检查
D:自动视野检查
E:视网膜电图
F:OCT
G:UBM
第4题,共4个问题
(多选题)该患者裂孔可能在眼底的位置是()
A:下方
B:鼻侧
C:颞侧
D:上方
E:鼻上方
F:颞上方
G:黄斑
Rb肿瘤生长方式包括()
A:内生性
B:外生性
C:多灶性
D:弥漫浸润性
E:以上均是
痉挛性瞳孔缩小时,错误的是()
A:应用可卡因后,瞳孔增大
B:应用毒扁豆碱后瞳孔大小不变
C:应用可卡因后瞳孔无变化
D:应用阿托品后瞳孔开大
E:正常情况下瞳孔极小
视力预后不良的因素有()
A:外伤性低眼压
B:PVRC级
C:伤后视力HM/20cm,光定位不准确
D:巩膜裂伤15mm
E:化脓性眼内炎
首页
<上一页
149
150
151
152
153
下一页>
尾页