自考题库
首页
所有科目
自考历年真题
考试分类
关于本站
游客
账号设置
退出登录
注册
登录
出自:心血管内科高级职称
洋地黄中毒引起的严重后果是( )
A:严重胃肠道反应
B:心力衰竭加重
C:过敏反应
D:严重心律失常
E:低血钾
一患者因急性心肌梗死,于入院后第4天突发剧烈胸痛、端坐呼吸,心脏彩超可见明显的二尖瓣反流。
第1题,共3个问题
(单选题)哪一部位心肌梗死该并发症常见()
A:高侧壁心肌梗死
B:下壁心肌梗死
C:右室心梗
D:后壁心肌梗死
E:广泛前壁心肌梗死
第2题,共3个问题
(单选题)病人体检时,最有诊断意义的体征为()
A:心尖区响亮的全收缩期杂音
B:心尖区可闻及心包叩击音
C:心界扩大
D:血压下降、脉压差减小
E:双肺湿啰音及颈静脉扩张
第3题,共3个问题
(单选题)该例患者应诊断为()
A:急性心包压塞
B:急性左心衰竭
C:室间隔穿孔
D:乳头肌断裂
E:左室游离壁室壁瘤
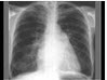
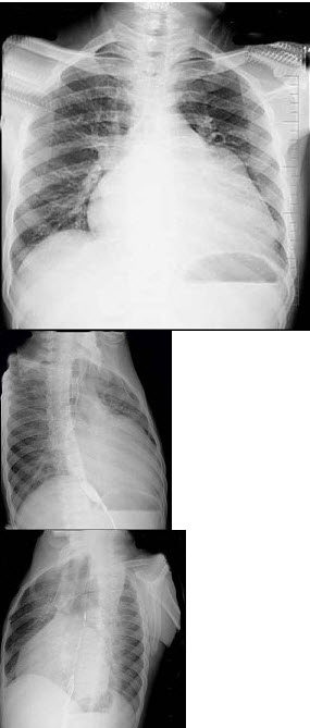
女,21岁,反复关节红肿疼痛5年,活动后心悸气促1天入院。查:梨形心界,心率88次/分,律齐,心尖区舒张期隆隆样杂音,P亢进;Hb88g/L;胸片结果如图所示。
可诊断为()
A:左房粘液瘤
B:贫血
C:风心病、二尖瓣狭窄
D:冠心病
E:Austin-Flint杂音
限制型心肌病噬酸性粒细胞增多
急性心肌炎患者,反复出现阿-斯综合征,心电图示Ⅲ度房室传导阻滞,最恰当的处理是()
A:静滴异丙基肾上腺素
B:静滴硝酸甘油
C:安置临时人工心脏起搏器
D:静滴氢化可的松
E:静滴阿托品
关于二尖瓣下列叙述正确的是()
A:前瓣位于左房室口与肺动脉口之间
B:前瓣是流入道和流出道的分界标志
C:可分为前、外侧两瓣
D:前瓣较小,位于前外侧,后瓣较大,位于后内侧
E:前后瓣分别借腱索连于肉柱上
窦性心动过速的心率范围通常是()
A:100~180次/分
B:80~100次/分
C:60~80次/分
D:180~200次/分
E:200~220次/分
完全性右束支传导阻滞时,心电图主要表现为下列哪一项( )
A:P-R>0.20秒
B:V、V宽R波,R波有切迹,V呈rS型,QRS≥0.12秒
C:V1呈rSR′,R′宽,QRS≥0.12秒,V、VS波宽
D:心电轴左偏
E:心电轴右偏,QRS正常
链球菌感染后急性肾小球肾炎与IgA肾病的根本不同是()
A:链球菌感染史
B:病程长短
C:起病缓急
D:肾脏组织病变
E:发热与否
男,18岁,入学体检时发现血压150/86mmHg,无自觉不适。就诊时测血压左上肢为150/82mmHg,右上肢152/84mmHg。请问下一步检查是()
A:胸部X线透视
B:测量双下肢血压
C:血液电解质
D:心电图
E:超声心动图
心室颤动时脉搏触诊的特点是()
A:快而规则
B:快而不规则
C:不规则,与心率不一致
D:无法测出
E:可测出,不规则
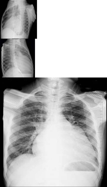
56岁男性患者,劳累后心慌气促10余年,近来自觉症状加重。临床听诊,心尖区有舒张期隆隆样杂音,行胸部X检查,如图所示,你认为下列描述正确的是( )
A:考虑二尖瓣狭窄
B:右前斜位示左心房增大,心后上缘后突压迫冲钡食管
C:左前斜位示心影向后下方突出
D:考虑三尖瓣狭窄
采用刺激迷走神经的方法可以纠正的心律失常是( )
A:心房扑动
B:心房颤动
C:窦性心律不齐
D:阵发性室上性心动过速
E:阵发性室性心动过速
非ST段抬高心肌梗死
心脏病患者在以下哪种情况下最易并发感染性心内膜炎( )
A:心力衰竭时
B:咽喉炎或行口腔手术时
C:心房颤动时
D:严重二尖瓣狭窄时
E:室间隔缺损时
高血压合并的胰岛素抵抗征的患者,不会发生以下何项改变( )
A:高密度脂蛋白升高
B:高糖血症
C:血极低密度脂蛋白与甘油三酯两者均升高
D:血胆固醇升高
E:对胰岛素刺激葡萄糖吸收抵抗
关于阵发性室上性心动过速与窦性心动过速的鉴别,下列中哪项是错误的( )
A:窦性心动过速的心室率常在100~150次/分之间,而阵发性室上性心动过速时心室率在150~240次/分之间
B:阵发性室上性心动过速的QRS时限>0.12s,而窦性心动过速的QRS时限<0.12s
C:窦性心动过速时的心室律可有不齐,而阵发性室上性心动过速的心室律绝对匀齐
D:窦性心动过速的特点是心率逐渐加快、逐渐减慢,而阵发性室上性心动过速的特点是突然发作、突然终止
E:阵发性室上性心动过速的P′波与窦性心动过速时的P波形态不同
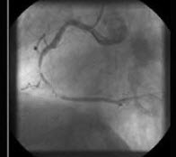
图中冠状动脉造影结果为( )
A:左主干近端95%狭窄
B:右冠远端95%狭窄
C:左冠回旋支95%狭窄
D:右冠中段95%狭窄
E:左冠前降支近端95%狭窄
深静脉血栓形成严重的致死并发症是脑栓塞
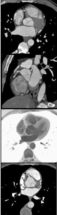
下面一组图像应考虑为( )
A:正常的肺动脉瓣
B:正常的二尖瓣
C:正常的三尖瓣
D:正常的主动脉瓣
E:可见两个瓣膜
男,60岁,原发性高血压患者,目前血压为180/105mmHg,X线和心电图示左室肥大,尿常规示轻度蛋白尿,眼底检查示视网膜动脉狭窄、动脉交叉压迫。治疗高血压伴有劳累性心绞痛,下列何种药物为宜()
A:β-受体阻滞剂
B:利血平
C:甲基多巴
D:硝苯地平
E:可乐定
下列哪种体征不在右心功能不全时出现( )
A:肝大
B:下肢水肿
C:Kussmaul征
D:腹水
E:肝颈静脉回流征
____________________能直接提供心肌病变的证据。
一患者4个月前因急性前间壁心肌梗死,以链激酶作静脉溶栓治疗;此次又因剧烈胸痛4小时诊为前壁急性心肌梗死,并有室性早搏。以下治疗哪项不适当( )
A:静脉滴注硝酸甘油
B:静脉注射利多卡因
C:肌内注射度冷丁
D:嚼服阿司匹林
E:静脉注射链激酶溶栓治疗
56岁男性患者,劳累后心慌气促10余年,近来自觉症状加重。临床听诊,心尖区有舒张期隆隆样杂音,行胸部X检查,如图所示,你认为下列描述正确的是( )
A:后前位示双侧肺血增多,肺动脉段隆起,左心缘出现第3弓
B:右前斜位示左心房增大,心后上缘后突压迫冲钡食管
C:左前斜位示心影向后下方突出
D:考虑三尖瓣狭窄
E:考虑二尖瓣狭窄
男,65岁,诊断为扩张型心肌病,住院期间,患者突然出现意识丧失,四肢抽搐,急描记心电图,如图所示,从图中可以看出,患者发作( )
A:室性心动过速
B:室性纤颤
C:室性扑动
D:尖端扭转型室性心动过速
E:以上均不正确
关于老年人高血压,下列哪项错误( )
A:绝大多数是收缩压和舒张压均增高
B:容易有直立性低血压
C:易发生心力衰竭
D:血管阻力大,而心排出量正常或降低
E:血压波动较大
以下哪项不是二尖瓣球囊成形术的适应证()
A:重度二尖瓣狭窄、心功能Ⅲ级
B:瓣叶中度钙化
C:合并重度肺动脉高压
D:合并心脏内血栓形成
E:合并轻度二尖瓣关闭不全,超声检查:左室内径为50mm
以下哪项最不可能是心绞痛发作( )
A:多无阳性体征,但发作时可以闻及收缩期杂音
B:血压多数升高,也可下降
C:疼痛呈游走性
D:发作时间一般不超过15min
E:可以表现为与活动相关的咽痛
男性,75岁。行走时突然跌倒,不省人事,即送来急诊,呼之不应,呼吸停止,颈动脉搏动消失,心音未能闻及。
第1题,共2个问题
(单选题)一旦确诊心脏骤停应立即采取哪项措施()
A:找上级医师
B:鼻导管给氧
C:安装人工起搏器
D:做心前区捶击
E:开放静脉
第2题,共2个问题
(单选题)可以确定的诊断是()
A:脑卒中
B:心脏骤停
C:癫痫大发作
D:夹层动脉瘤破裂
E:大面积肺栓塞
首页
<上一页
146
147
148
149
150
下一页>
尾页