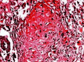
风湿性心肌炎是一种结缔组织的变态反应性疾病,作用于心肌间质。
第1题,共3个问题
(单选题)病变镜下观如图所示,特征性病变为( ) 
A:心肌间质中血管扩张充血
B:纤维结缔组织增生
C:心肌细胞萎缩
D:风湿小体形成
E:淋巴细胞浸润
第2题,共3个问题
(单选题)该细胞免疫组化表达vimentin、Mac387、lysozyme阳性,actin及demin阴性,故实质为( )
A:淋巴细胞
B:组织细胞
C:中性粒细胞
D:嗜酸性粒细胞
E:肥大细胞
第3题,共3个问题
(单选题)箭头所指为何种细胞( )
A:淋巴细胞
B:纤维母细胞
C:巨噬细胞
D:异物巨细胞
E:Aschoff细胞