出自:病理学高级职称

下列哪项不是黏液性水肿的特点()
A:可出现声音嘶哑
B:便秘
C:基础代谢率增强,TSH降低
D:皮肤苍白、发凉、粗糙
E:皮肤非凹陷性水肿
一期愈合(primary healing)
伴有NF1的多灶性幼年性黄色肉芽肿需注意患儿是否会伴有()
A:霍奇金淋巴瘤
B:视网膜母细胞瘤
C:肾母细胞瘤
D:幼年性髓单核细胞白血病
E:神经母细胞瘤
硬皮病的发生与哪一项因素无关( )
A:免疫系统的激活
B:血管的损伤
C:PDGF的释放
D:细菌的感染
E:成纤维细胞的活化
良性淋巴上皮病变是()
A:HIV感染相关疾病
B:Mikulicz病
C:
D:淋巴瘤
E:癌前病变
侵袭性葡萄胎
粥样硬化病变易累及的动脉有()
A:冠状动脉左前降支
B:大脑中动脉
C:腹主动脉
D:肾动脉开口处
E:下肢动脉

病史摘要:患者男性,60岁。剧烈运动时,突然感到左侧胸前区胀痛不适,身出冷汗,面色苍白。被送往医院途中疼痛进行性加重。入院后,心电图检查示心肌有损伤性改变。两天后病情恶化,因呼吸、心跳突然停止而死亡。
尸检所见:心脏:体积增大,心包充盈,内有血凝块约300毫升。左心室前壁、心尖部及室间隔前下方有不规则状出血、坏死,暗红色。坏死灶内有一纵行不规则裂口,长约1.5厘米。左冠状动脉前降支内见有一血栓阻塞管腔,长约1.0厘米。镜下所见:病变区的心肌细胞变性坏死。心肌间质水肿、出血,有大量中性白细胞浸润。冠状动脉管腔一侧增厚,管壁内有胆固醇沉积及纤维组织增生。管腔狭窄并伴有新鲜血栓。
主动脉:内膜有多处散在黄白色隆起的斑块。镜下所见:病变的血管壁内有大量胆固醇结晶的沉积和纤维组织的增生。脑:大脑后动脉及右侧大脑中动脉发生硬化。镜下所见:病变与主动脉相同。肾:体积缩小,形状不规则。镜下见部分肾小球发生玻璃样变。



第1题,共1个问题
(简答题)根据本例脏器的改变作出病理诊断,本例的死亡原因是什么?
炎性息肉增生的成分为________,________,________。
胚胎性横纹肌肉瘤相对最为好发的部位包括()。
A:头颈部
B:呼吸道
C:消化道
D:四肢
E:泌尿生殖道
肿瘤的生长速度主要取决于()。
A:机体的营养状态
B:瘤细胞分化程度
C:肿瘤组织有无出血
D:肿瘤组织有无感染
E:肿瘤的间质多少
电镜主要有哪些用途?
Weigert-Pal髓鞘染色法可把髓鞘染成( )
A:蓝黑色
B:黄色
C:红色
D:绿色
E:紫色
简述P53基因和Rb基因各自的抑癌机制。
肝星状细胞
毒血症(toxemia)
Krukenberg瘤常是指()。
A:卵巢囊腺瘤有恶变
B:来自胃的卵巢转移性癌
C:胃弥漫性浸润性黏液癌
D:卵巢腺癌伴广泛转移
E:卵巢恶性畸胎瘤累及盆腔

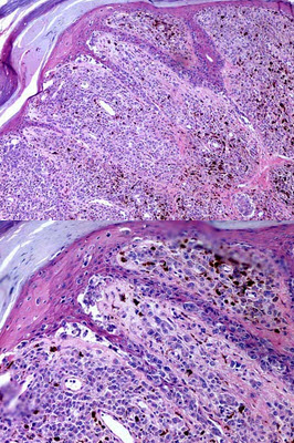
患者,36岁,男,右足底黑痣迅速增大,表面溃烂1个月。手术切除送检。



第1题,共2个问题
(单选题)镜下如图所示,真皮浅层肿瘤细胞呈巢状或片状排列,部分区侵入表皮生长,细胞核大,核仁明显,易见核分裂像。最可能的诊断是( )
A:皮肤慢性溃疡
B:皮内痣
C:皮肤交界痣
D:恶性黑色素瘤
E:以上均不是

第2题,共2个问题
(单选题)关于该病变说法不正确的是( )
A:来源于上皮组织
B:以足底部和外阴、肛门周围皮肤好发
C:来源于神经外胚叶组织
D:可由交界痣恶变而来
E:大多预后很差
非毒性甲状腺肿发生发展过程病变特点分为增生期,结节期。
下列哪种不符合毛细血管瘤的特性( )
A:儿童常见的良性肿瘤
B:多为先天性发生
C:多位于皮肤
D:成年后停止发展,甚至自行消退
E:包膜形成
组成结核性空洞洞壁的主要成分有( )
A:增生的纤维组织
B:干酪样坏死物质
C:大量结核杆菌
D:瘢痕组织
E:结核性肉芽组织
下列哪种病理过程不属于动脉粥样硬化( )
A:血栓形成
B:纤维素性坏死
C:玻璃样变
D:出血
E:钙化
一般情况下病理报告发出的时间应为()。
A:1个工作日内
B:3个工作日内
C:5个工作日内
D:7个工作日内
E:10个工作日内
简述膀胱癌的病理变化和扩散途径。
听神经瘤组织形态具有________及________两种结构。
快速进行性肾小球肾炎的发病机制部分属于_______;部分属于______;另有部分病例______。

患者,6个月,持续高热,咳嗽,呼吸困难至呼吸衰竭而死亡。尸检见肺组织散在多个小实变区,小支气管上皮坏死脱落,小支气管周围肺泡腔内有炎性渗出物。



第1题,共3个问题
(单选题)大体及镜检如图所示,病理诊断为( )
A:大叶性肺炎
B:小叶性肺炎
C:支原体肺炎
D:间质性肺炎
E:病毒性肺炎

第2题,共3个问题
(单选题)下列哪项不是上述疾病的并发症( )
A:脓胸
B:肺脓肿
C:脓毒败血症
D:肺肉质变
E:心力衰竭

第3题,共3个问题
(单选题)下列病菌均可引起上述疾病,但除外( )
A:肺炎球菌
B:葡萄球菌
C:嗜血流感杆菌
D:大肠杆菌
E:结核杆菌
在机化的血栓中形成与原血管腔相沟通的毛细血管,使部分血流得以恢复,这种现象称为( )
A:血栓脱落
B:侧支循环形成
C:血栓机化
D:血栓硬化
E:再通
动脉粥样硬化可引起()
A:原发性颗粒性固缩肾
B:瘢痕性固缩肾
C:大红肾
D:脓肿肾
E:大白肾
重型肝炎间质内炎细胞主要为( )
A:中性粒细胞
B:淋巴细胞
C:浆细胞
D:巨噬细胞
E:嗜酸性粒细胞