自考题库
首页
所有科目
自考历年真题
考试分类
关于本站
游客
账号设置
退出登录
注册
登录
出自:眼科高级职称
引起视交叉最常见的病变为________,其次为________、________、________
女,32岁,反复尿频、尿急、尿痛半年,经抗生素治疗无好转,伴右侧腰部胀痛及午后潮热。
第1题,共2个问题
(单选题)为了解患者肾脏形态改变,最有价值的检查是()
A:肾脏B超
B:静脉尿路造影
C:腹部平片检查
D:CT
E:MRI
第2题,共2个问题
(单选题)应该采取的合理治疗措施是()
A:积极对症治疗
B:服碱性药,减轻尿路刺激症状
C:用抗真菌药
D:联合应用抗生素,作局部处理
E:抗结核治疗
对常见的治疗葡萄膜炎的药物叙述
不正确
的是()
A:环孢素滴眼治疗葡萄膜炎
B:糖皮质激素滴眼治疗急性期全葡萄膜炎
C:前葡萄膜炎首先考虑局部应用滴眼液
D:糖皮质激素结膜下注射与局部点眼效果相同
E:应用免疫抑制剂要注意观察副作用
男患,60岁,近5年来感尿频,排尿时需等半分钟方能排出,尿流细,夜尿增多,排尿不尽,经常有尿溢,近1周出现排尿困难。
第1题,共1个问题
(单选题)根据现有病史,该患者最可能的诊断是()
A:前列腺增生
B:前列腺癌
C:前列腺炎
D:尿路感染
E:前列腺结核
眼科流行病学的描述性研究有()
A:病例报道
B:观察性研究
C:描述性横断面研究
D:社区普查
E:疾病发生的流行病学描述
双鼻侧偏盲一般不会见于()
A:视交叉外侧蛛网膜炎
B:双眼青光眼
C:颈内动脉硬化
D:癔病
E:脑垂体瘤的压迫
慢性进行性视野缩小常见于()
A:中心性浆液性视网膜脉络膜病变
B:球后视神经炎
C:视盘炎
D:视网膜脱离
E:原发性视网膜色素变性
青光眼是我国主要致盲原因之一( )
A:视功能的损伤是不可逆的
B:青光眼的发生是不能预防的
C:需早期发现、合理治疗,绝大多数患者可终生保持有用的视功能
D:在人群中筛查青光眼患者,是早期发现青光眼切实可行的重要手段
E:应积极开展视神经保护的研究
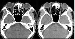
男,36岁,双眼球突出5月余,CT如图所示,应诊断为( )
A:眼型Graves病
B:肌炎型炎性假瘤
C:未见异常
D:眶内脑膜瘤
E:眶内淋巴瘤
颅高压所致的视盘水肿应注意与以下哪项疾病鉴别( )
A:视盘玻璃疣
B:视神经炎
C:缺血性视神经病变
D:Leber视神经病变
E:远视眼
眶蜂窝织炎发病的主要诱因是( )
A:眼眶手术
B:面部疖肿
C:眼眶外伤
D:眼眶骨膜炎
E:鼻窦牙齿感染
单疱病毒性睑皮炎可发生于以下情况()
A:局部应用抗生素溶液
B:口服磺胺药物
C:高热
D:上呼吸道感染
E:紧张和劳累
小梁网通道
对可疑病人确诊而行暗室激发试验最有意义的是( )
A:急性闭角型青光眼
B:慢性闭角型青光眼
C:慢性开角型青光眼
D:先天性青光眼
E:恶性青光眼
小孩在玩一次性注射针头时不慎刺伤右眼,2天后检查发现结膜充血,有前房积脓,玻璃体大量黄白色混浊 对该患者最有效的治疗方法是什么?
虹膜睫状体炎继发青光眼的治疗
不正确
的是()
A:激素
B:散瞳孔
C:抑制房水生成
D:缩瞳剂
E:β-受体阻滞剂
对增生性玻璃体视网膜病变正确的是()
A:需要采用玻璃体手术治疗
B:手术成功率在45%~80%
C:术后以0.02行走视力作统计
D:药物治疗效果不明显
E:以上都正确
原发性急性闭角性青光眼发病的解剖因素
不包括
()
A:前房较浅
B:角膜相对较小
C:晶状体相对较大较厚
D:眼轴较短
E:小梁组织局部的病变
玻璃体液化和后脱离占飞蚊症的( )
永存原始玻璃体增生症单眼发病占( )
星状玻璃体变性通常发生于( )
视网膜脱离复位术后失败手术后增生性玻璃体视网膜病变发生率( )
A:40岁以上
B:50岁以上
C:70%左右
D:90%左右
E:10%
视网膜色素变性的诊断依据包括()
A:进行性夜盲
B:双眼视网膜典型色素改变
C:向心性视野缩小
D:ERG呈熄灭型
E:以上均是
简述视盘水肿的分期和鉴别诊断。
患者,女性,41岁,因右眼剧烈眼痛、畏光、流泪及视力下降2个月来诊。此前曾在当地给予抗生素、糖皮质激素和抗病毒眼液滴眼治疗,症状无改善,且有加重趋势。眼部检查:右眼视力0.5,矫正无提高。结膜混合充血,上方、鼻侧及颞侧角膜缘溃疡形成,约占3/4象限(8点钟至5点钟),最宽处位于角膜11点钟约5mm,溃疡与角膜缘之间无透明角膜间隔,其朝向角膜中央方向有一个潜掘状的浸润进行缘。前房深度正常,房水闪辉(±),未见积脓。左眼视力1.0,检查未见异常。患者既往身体健康,否认风湿、类风湿等免疫性疾病,入院后全血细胞计数和分类值正常、全身类风湿因子(RF)、抗核抗体(ANA)、抗中性粒细胞胞浆抗体均为阴性。最合适的治疗方案是()
A:局部清创联合抗真菌药物治疗
B:局部病灶切除联合抗阿米巴药物治疗
C:施行新月形带角膜缘板层角膜移植
D:施行D字形带角膜缘板层角膜移植
E:角膜缘移植
以下为缺血型视网膜中央静脉阻塞及虹膜新生血管的危险因素是( )
A:广泛的视网膜内出血
B:毛细血管无灌注
C:静脉显著扩张
D:视力差
E:ERG降低
继发性青光眼
结膜上皮细胞来源于( )
A:角膜缘干细胞
B:穹窿部结膜干细胞和睑缘皮肤粘膜结合处的上皮细胞
C:角膜基质层
D:角膜前弹力层
E:结膜下的筋膜组织
关于上直肌说法正确的是( )
A:与视轴成51°
B:协同肌为下斜肌
C:主要作用为内旋
D:次要作用有外转
E:主要作用为内转
组织学上角膜缘结构与角膜相比,下列说法错误的是()
A:前弹力层增厚
B:可见Vogt栅
C:基质层逐渐失去透明
D:富有毛细血管和淋巴管
E:存在角膜缘干细胞
用弧形视野计检查时,应用蓝、红、绿色视标检测的正常周边视野范围较白色视标依次递减()
A:5°
B:10°
C:15°
D:20°
E:25°
翼状胬肉
在我国,前葡萄膜炎在葡萄膜炎中的发病率为( )
A:70%~80%
B:80%~90%
C:50%~60%
D:40%~50%
E:30%~40%
首页
<上一页
144
145
146
147
148
下一页>
尾页