自考题库
首页
所有科目
自考历年真题
考试分类
关于本站
游客
账号设置
退出登录
注册
登录
出自:呼吸内科学高级职称
女性,21岁,因低热,轻咳少痰,多次痰结核分枝杆菌涂片阴性,其经典的治疗方案是( )
A:2HRZ/HR
B:2HRZ/2HR
C:2HS/4HZ
D:2HVP/4HR
E:3HRZ
肌电图监测有助于判断REM期睡眠的是()。
A:下颌肌肌电图
B:肋间肌肌电图
C:上肢肌肌电图
D:下肢肌肌电图
E:膈肌肌电图
肺纹理增多,模糊。
第1题,共4个问题
(单选题)该患者出现呼吸困难的原因首先考虑为( )
A:肺栓塞
B:血源性肺脓肿
C:急性左心衰
D:急性呼吸窘迫综合征
E:支气管哮喘急性发作
第2题,共4个问题
(单选题)为排除或确诊急性左心衰竭,最有意义的检查为( )
A:
平均肺动脉压
B:心电图
C:肺动脉楔嵌压
D:胸部CT
E:右室舒张末期压力
第3题,共4个问题
(单选题)如患者呼吸困难进行性加重,决定采取人工机械通气,推荐的呼吸模式为( )
A:高频通气
B:CPAP
C:PEEP
D:反比呼吸
E:SImV
第4题,共4个问题
(单选题)该患者进行机械通气时,哪些描述
不正确
( )
A:应用PEEP从低水平开始,逐渐增加至合适水平,避免肺泡和小气道陷闭
B:小潮气量,使气道峰压小于40mmHg
C:注意补充血容量,以代偿回心血量不足
D:吸氧浓度不宜超过60%
E:尽量降低PEEP水平,吸氧浓度可不加限制
男,32岁,自3岁出麻疹后经常咳嗽,咳脓痰,量较多,近2年曾咯鲜血2次。查体:一般情况尚可,两下肺闻湿性啰音,部位较固定。下列哪项诊断最可能( )
A:慢性阻塞性肺疾病
B:肺脓肿
C:肺结核
D:先天性肺囊肿
E:支气管扩张
书写24小时内入院死亡记录,以下哪项观点错误()。
A:入院不足24小时死亡的患者,可以书写此记录
B:诊治经过(抢救经过)、死亡时间、死亡原因、死亡诊断书写要慎重,选择性详写或略写,以防医疗纠纷
C:内容包括:姓名、性别、年龄、婚姻、出生地、民族、职业、工作单位、住址、病史陈述者(注明与患者关系)、入院时间、记录日期
D:需写主诉、入院情况(简要的病史及体检)、入院诊断
E:医师要签全名
出血时间延长常见于下列疾病,但哪项除外()。
A:血小板减少症
B:血栓性疾病
C:DIC
D:血管性血友病
E:遗传性毛细血管扩张症
患者男性,72岁,既往咳嗽、咳痰30年,活动后气短12年,近1年出现双下肢水肿。肺功能显示阻塞性通气功能障碍,FEV
1
1%~50%。慢性阻塞性肺疾病急性发作期治疗,下列不恰当的是()
A:控制感染
B:祛痰、止咳
C:解痉、平喘
D:菌苗注射
E:雾化吸入
患者,男,50岁,咳痰带血,查体:颈部、上肢水肿,胸前部瘀血及静脉曲张,该患者水肿的原因是()。
A:下腔静脉梗阻
B:上腔静脉梗阻
C:胸导管阻塞
D:缩窄性心包炎
E:丝虫病
对卡介苗的解释,哪种是正确的( )
A:无毒牛型结核杆菌死菌,能减少感染后的发病和减轻病情严重性
B:无毒牛型结核杆菌活菌
C:无毒人型结核杆菌活菌,能预防结核杆菌感染
D:无毒牛型结核杆菌活菌,能减少感染后的发病和减轻病情严重性
E:减毒牛型结核杆菌死菌,能预防结核杆菌感染
老年患者,咳嗽及咳痰,气促多年,胸廓呈桶状,双肺呼吸音减弱,未闻及啰音。检查中可出现( )
中年患者,咳嗽、咳粘液脓性痰1~2年,双肺可闻及散在干啰音。检查中可发现( )
青年患者,反复发生阵发性喘息多年,双肺未闻及干、湿性啰音。检查中可发现( )
A:胸部X线下肺野大片密度增高影
B:PaCO和PaO异常
C:胸部X线正常
D:血常规全血细胞减少
E:胸部X线透亮度增加,肺纹理增多
下列药物中哪种可引起假性血尿()
A:磺胺药
B:吲哚美辛
C:利福平
D:环磷酰胺
E:甘露醇
患者女,58岁,右胸痛、咳嗽、消瘦2个月余,无明显发热、盗汗、潮热,无咳痰、咯血。近1个月觉胸闷、气促进行性加重,近1周患者夜间不能平卧。既往史:高血压病史10年,3年前有结肠癌手术史。胸部X线检查示右中下肺野均匀致密阴影,上缘呈弧形,外高内低。该患者最可能的诊断应考虑为()。
A:右侧恶性胸腔积液
B:右侧结核性胸腔积液
C:右侧类肺炎性胸腔积液
D:右侧气胸
E:右侧肺实变
茶硷类能抑制磷酸二酯酶,提高平滑肌细胞内cAMP而松弛支气管平滑肌。
男性患者,50岁,身高167cm,体重98kg,BMI35.1。其父母均肥胖。该患者长期吸烟,饮酒,生活不规律,运动量少,本次因睡眠打鼾入院,入院后查体及检查除血脂高外无其他异常。
第1题,共4个问题
(单选题)患者今后生活中应进行哪些生活方式的干预()。
A:禁烟、限酒
B:低盐低脂饮食
C:适量运动,减轻体重
D:降脂治疗
E:以上选项均正确
第2题,共4个问题
(单选题)结合以上病例,以下哪项说法错误()。
A:睡眠中打鼾是日常生活中较为常见的现象,无须特殊治疗
B:中年男性,血脂偏高,应定期复查
C:患者长期吸烟、饮酒,血脂高,肥胖,应尽快控制体重
D:病情严重者可行激光辅助的腭垂咽成形术
E:睡眠时应采取侧卧位姿势
第3题,共4个问题
(单选题)考虑该患目前为以下哪种肥胖()。
A:单纯性肥胖
B:库欣综合征
C:下丘脑性肥胖
D:甲状腺功能减退症
E:间脑性肥胖
第4题,共4个问题
(单选题)该患目前属于以下哪种情况()。
A:肥胖
B:超重
C:2级肥胖
D:体重正常
E:3级肥胖
关于慢性肺源性心脏的并发症,下列哪一项是错误的( )
A:酸碱平衡失调及电解质紊乱
B:肺性脑病和上消化道出血
C:心律失常和肾衰竭
D:休克与弥散性血管内凝血
E:心力衰竭
女性,35岁。有反复关节红肿病史,因活动后心悸、突发呼吸困难及咳粉红色泡沫痰入院。查体:心尖区舒张期隆隆样杂音,双肺布满水泡音。ECG示心动过速,二尖瓣型P波。最可能的诊断是()。
A:风心病,二尖瓣狭窄,左房代偿期
B:风心病,二尖瓣狭窄,左房失代偿期
C:风心病,二尖瓣狭窄,左心衰竭期
D:风心病,二尖瓣狭窄,右心衰竭期
E:风心病,二尖瓣狭窄,全心衰竭期
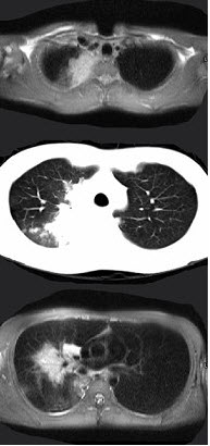
男,28岁,咳嗽,咯血,消瘦盗汗1个月余,影像学检查如图。最可能的诊断为( )
A:类风湿肺炎
B:右上肺周围型肺癌
C:右上肺浸润型肺结核
D:右上肺炎性假瘤
E:右上肺曲真菌感染
中纵隔内有()。
A:主动脉弓及其三大分支
B:心脏及出入心的大血管根部
C:胸腺及结缔组织
D:食管、气管
E:主动脉、肺动脉全程
肺血栓栓塞症最常见的体征为( )
A:血压下降
B:心动过速
C:发热
D:胸腔积液
E:呼吸急促
男性,59岁,确诊肺结核并住院治疗1个月,上厕所解大便后出现胸闷、气憋、口唇和指甲发绀、面色苍白、大汗淋漓。既往无高血压冠心病史
第1题,共5个问题
(单选题)下列措施绝对禁止使用的是()。
A:镇静
B:吸氧
C:畅通呼吸道
D:轻轻拍背
E:尽快挖出或吸出上呼吸道内的血块
第2题,共5个问题
(单选题)如果患者是大咯血窒息,应立刻采取的体位是()。
A:平卧位
B:俯卧位
C:半卧位
D:坐位
E:头低脚高位
第3题,共5个问题
(单选题)经过上述处理,患者呼吸困难不能缓解,下一步最为合理的处置是()。
A:加大吸氧浓度
B:气管插管或者气管切开,以解除呼吸道梗阻
C:鼓励患者咳嗽
D:增加止血药物的使用
E:静脉注射呼吸兴奋剂
第4题,共5个问题
(单选题)该患者出现的新发症状最可能的诊断是()。
A:气胸
B:低血糖反应
C:大咯血窒息
D:心肌梗死
E:高血压脑病
第5题,共5个问题
(单选题)还应该排除的疾病有()。
A:低血糖反应
B:误吸
C:药物反应
D:肺动脉栓塞症
E:急性胰腺炎
患者女,6岁。体检时发现胸骨左缘第二肋间3/6级连续机械样杂音,平时一般体力活动无不适。首选检查是()。
A:X线胸片
B:心电图
C:超声心动图
D:心血流血池显像
E:冠脉CT
患者女,17岁,X线胸片示两侧肺门淋巴结肿大伴右肺浸润,有可能是()。
A:淋巴瘤样肉芽肿
B:肺门淋巴结核并肺结核
C:Ⅱ期肺结节病
D:支气管中心性肉芽肿
E:淋巴瘤
男性,25岁,抽胸液过程中出现头晕、心悸、胸闷、出冷汗、面色苍白。患者出现此种情况首先考虑( )
A:复张后肺水肿
B:低血糖反应
C:胸膜反应
D:低血容量性休克
E:并发气胸
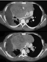
女,34岁,咳嗽,咯血半月余,请结合影像学检查,选出最可能的诊断( )
A:纵隔畸胎瘤
B:淋巴瘤
C:胸腺瘤
D:神经源性肿瘤
E:肺癌
患者男,74岁。20年前起患者出现阵发性头晕头痛,偶测血压最高达170/105mmHg。未服降压药治疗,近3年体力逐渐下降,出现劳累后气促,休息后可缓解,偶有双下肢水肿。半小时前搬重物后突然出现头痛,视力模糊,心悸气短,不能平卧,大汗,自服硝苯地平无缓解来诊。既往否认糖尿病、冠心病病史。查体:P130次/分,BP260/130mmHg,R36次/分。端坐位,皮肤湿冷,口唇发绀,颈静脉无怒张,双肺下野密集水泡音,呼气末可闻及哮鸣音。心界向左下扩大,心律整,心尖部可闻及2/6级收缩期吹风样杂音,可闻及室性奔马律。腹软,双下肢无水肿。辅助检查:头颅CT未见明显异常,尿常规RBC(++),右侧肾血流量较左侧明显减低,右肾大小为5.6cm×8.5cm,左肾大小为10.8cm×7cm。该患者诊断为()。
A:冠心病,心功能不全
B:扩心病,心功能不全
C:高血压病,心功能不全
D:嗜铬细胞瘤,急性左心衰竭
E:肾动脉狭窄,急性左心衰竭
男性,25岁。肺炎链球菌肺炎入院治疗,因以往用青霉素治疗肺炎疗效好,此次仍用青霉素治疗,但5天后发热不退。下列各项中哪项有可能()
A:肺炎链球菌的肺外感染
B:混合其他细菌感染
C:肺炎链球菌耐药菌株感染
D:药物热
E:以上均不是
男性,34岁,因发现右侧直接和间接角膜反射消失入院,病变神经可能是()。
A:左侧面神经
B:右侧面神经
C:左侧三叉神经
D:右侧三叉神经
E:左侧动眼神经
自发性气胸有哪些临床类型?
女性,63岁,有慢性阻塞性肺疾病史20余年,突然气促、呼吸困难加重半天入院。胸片提示右侧肺压缩40%。予插管引流5天后患者自觉症状无明显好转,水封瓶液面仍随呼吸波动。进一步考虑的治疗是( )
A:继续水封瓶引流
B:胸腔镜下手术
C:剖胸手术
D:加用负压吸引装置
E:胸膜固定术
可引起原发性绝对性红细胞增多的是()。
A:肺源性心脏病
B:尿崩症
C:真性红细胞增多症
D:发绀型先天性心脏病
E:肾上腺皮质腺瘤
首页
<上一页
12
13
14
15
16
下一页>
尾页