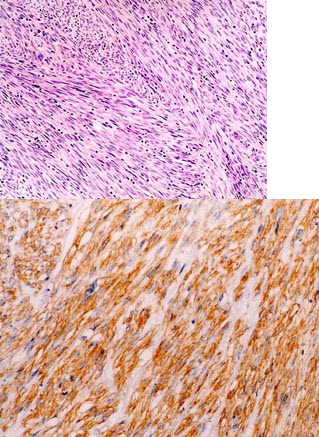
患者,男,40岁。因“胃溃疡”做胃大部分切除术,在胃体处可见一约2cm×1cm×1cm大小灰白色结节,向浆膜面凸起,切面质实,灰白色。
第1题,共3个问题
(单选题)镜下观如图,免疫组化CD117如图,病理诊断应为( ) 
A:慢性胃溃疡
B:胃间质瘤
C:淋巴结反应性增生
D:平滑肌瘤
E:以上均不是
第2题,共3个问题
(单选题)该疾病在胃肠道中最常见的部分是( )
A:直肠
B:结肠
C:食道
D:胃、小肠
E:肛管
第3题,共3个问题
(单选题)关于该疾病的描述,错误的是( )
A:也可发生在网膜和肠系膜
B:通常表现为腹部不适
C:镜下瘤细胞可呈上皮样或梭形
D:肿瘤大者直径可达20cm
E:肿瘤细胞大多数CK为阳性