自考题库
首页
所有科目
自考历年真题
考试分类
关于本站
游客
账号设置
退出登录
注册
登录
出自:肿瘤学高级职称
女,54岁,直肠癌放疗后1月,阵发性腹痛腹胀,呕吐,CT表现如图,应诊断为
A:小肠淋巴瘤
B:小肠结核
C:小肠Crohn病
D:放射性小肠炎
E:肠易激综合征
砷可以引起哪些肿瘤( )
A:皮肤癌
B:肺癌
C:肝癌
D:肉瘤
E:宫颈癌
乳癌根治术后做辅助性术后放疗,可使局部复发率降低( )
A:1/2
B:1/5
C:2/3
D:2/5
E:1/4
患者女性,18岁,右大腿下段肿痛2约余,X线片见股骨下段境界不清的骨质破坏区,骨膜增生及放射状阴影,两端可见骨膜三角,最有可能的诊断是()。
A:骨髓炎
B:骨结核
C:骨转移癌
D:骨巨细胞瘤
E:骨肉瘤
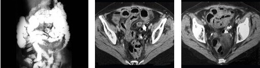
女,43岁,发现盆腔包块3年,排尿困难6日,影像检查如图,最可能的诊断是( )
A:腹腔脂肪肉瘤
B:腹腔恶性间质瘤
C:腹腔畸胎瘤
D:腹腔畸胎瘤伴卵巢内胚窦瘤
E:卵巢内胚窦瘤
女,65岁,肝区疼痛1月余,CT检查如图,最可能的诊断是( )
A:原发性肝癌
B:类癌转移至肝
C:肝腺瘤
D:肝血管瘤
E:肝错构瘤
女,56岁,绝经5年阴道不规则流血1月。妇查:宫颈光滑,子宫稍大,质软,双附件区无异常发现。进一步检查应首选()。
A:宫颈管搔刮送病理检查
B:阴道镜检下宫颈组织活检
C:宫颈涂片
D:分段诊刮
E:腹腔镜检
患者女,45岁,因“发现左侧乳房肿物15d”来诊。查体:肿物位于左乳外上象限,质硬,无压痛,直径2cm,表面不光滑,活动尚可。
第1题,共2个问题
(单选题)为明确诊断,最有价值的辅助检查为()。
A:超声检查
B:乳腺钼靶X线片
C:细针穿刺活检
D:核芯针穿刺活检
E:切取活检
第2题,共2个问题
(单选题)首先考虑的诊断为()。
A:急性乳腺炎
B:乳腺增生
C:乳腺纤维腺瘤
D:乳腺叶状肿瘤
E:乳腺癌
胰腺癌同步放化疗的放疗剂量推荐为DT()。
A:60Gy/30F/6W
B:50Gy/25F/5W
C:40Gy/20F/4W
D:66Gy/33F/7W
E:44Gy/22F/5W
胶质瘤术后放射治疗的剂量是()。
A:30~40Gy
B:40~50Gy
C:50~60Gy
D:60~70Gy
E:70~72Gy
钴-60γ线与200KV-400KV-X线相比,其优点为( )
A:穿透力强,皮肤剂量低,骨和软组织吸收相同,旁向散射大
B:穿透力强,皮肤剂量低,骨和软组织吸收相同,旁向散射小
C:穿透力强,皮肤剂量高,骨和软组织吸收相同,旁向散射小
D:穿透力强,皮肤剂量高,骨和软组织吸收相同,旁向散射大
E:穿透力强,皮肤剂量低,骨和软组织吸收不相同,旁向散射小
关于鼻咽癌的流行病学特点,叙述正确的有()。
A:美国阿拉斯加州的爱斯基摩人鼻咽癌发病率高达20/10万
B:2004~2005年全国死因调查显示,鼻咽癌不是男性十大恶性肿瘤之一
C:鼻咽癌患者中,有鼻咽癌家族史的占35%
D:2008年中国新发鼻咽癌病例数约占全球新病例数的40%
E:新加坡、中国香港及台湾地区鼻咽癌发病率逐渐下降
治疗癌症疼痛的辅助药物不包含()。
A:皮质激素
B:肾上腺素
C:抗惊厥药
D:抗抑郁药
E:镇静安定药物
下列哪些肿瘤是局部为主要死因( )
A:肝癌
B:胃癌
C:肺癌
D:卵巢癌
E:淋巴瘤
伴重症肌无力的胸腺瘤治疗,首选为( )
A:手术治疗
B:放射治疗
C:放射治疗+抗胆碱酯酶药
D:手术治疗+抗胆碱酯酶药或同时加激素
E:放疗+抗胆碱酯酶药或同时加激素
鼻咽癌高分化鳞癌约占总数的( )
A:小于10%
B:30%~45%
C:50%~65%
D:70%~80%
E:85%~90%
直肠癌盆腔放疗期间,最常见的急性并发症是尿路刺激征。
在我国,头颈部恶性肿瘤发病人数占全身恶性肿瘤的百分比大约是()。
A:1%~5%
B:5%~10%
C:10%~15%
D:15%~20%
E:20%以上
右侧大肠癌的常见肉眼类型是( )
A:隆起型
B:溃疡型
C:浸润型
D:胶样型
E:早期癌
在临床上,为了保证正常组织受量,下面指标主要作为正常组织的耐受剂量的是()。
A:TD5/5
B:TD5/10
C:TD50/5
D:TD90/5
E:以上都不对
16岁少女,无意间扪及左下腹部有一肿块。今晨排便后突然发生左下腹剧烈疼痛伴恶心呕吐,体温37.6℃。检查左下腹部有一压痛明显肿块,其下极压痛更甚。
第1题,共3个问题
(单选题)一经确诊,最恰当的处理应是()。
A:大剂量广谱抗生素
B:抗结核和抗感染治疗
C:立即手术治疗
D:先抗炎待病情稳定行手术治疗
E:阴道后穹隆切开,放置引流条
第2题,共3个问题
(单选题)最有价值的辅助检查方法是()。
A:查白细胞总数及分类
B:查痰中抗酸杆菌
C:检查血中C反应蛋白
D:腹部X线摄片
E:B型超声检查盆腹腔
第3题,共3个问题
(单选题)该患者最可能的诊断应是()。
A:子宫浆膜下肌瘤扭转
B:盆腔炎症性包块
C:结核性腹膜炎
D:卵巢肿瘤合并感染
E:卵巢肿瘤蒂扭转
脊髓在放射治疗中发生梗死、坏死的TD5/5()。
A:30Gy
B:35Gy
C:40Gy
D:45Gy
E:50Gy
上颌窦癌中较少见的肿瘤是( )
A:鳞癌
B:腺癌
C:低分化癌
D:囊性腺样上皮癌
E:未分化癌
胃癌最多见的部位是( )
A:胃小弯
B:贲门
C:胃大弯
D:胃前壁
E:胃后壁
肿瘤病人病程中需做放射治疗者约占( )
A:20%
B:30%
C:70%
D:50%
E:100%
颅咽管瘤是颅内的一种________,好发年龄段为________和________。多发生在________部位。
肺癌多发又是淋巴结转移最常见的部位是( )
A:支气管
B:纵隔
C:肺叶
D:肺门
E:胸腔
在肿瘤免疫当中重要的效应细胞是( )
A:中性粒细胞
B:浆细胞
C:巨噬细胞
D:嗜酸粒细胞
E:B细胞
男性,40岁,近半年出现间断性排便次数增加,常于进食后立即排便,大便不成形,但无脓血及黏液便等。夜间常有较严重的盗汗,并伴有37.5°C左右的低热。服用消炎药症状可缓解。B超检查发现,乙状结肠有3cm肠壁轻度增厚。正确的处理意见为( )
A:直肠指诊
B:CT检查
C:乙状结肠镜检查
D:服用消炎药加中药,保留灌肠,控制炎症
E:诊断性抗结核治疗
当前对Ⅰ、Ⅱ期小细胞肺癌(SCLC)治疗原则是( )
A:手术+术后化疗
B:化疗+放疗+化疗
C:化疗
D:单纯放疗+脑预防照射
E:单纯手术+脑预防照射
首页
<上一页
130
131
132
133
134
下一页>
尾页