自考题库
首页
所有科目
自考历年真题
考试分类
关于本站
游客
账号设置
退出登录
注册
登录
出自:消化内科学高级职称
急性非结石性胆囊炎是指有明显的急性炎症而胆囊内无结石存在,临床上较多见
急性出血坏死性胰腺炎发生休克的机制中,主要是()。
A:多肽物质
B:胰血管舒缓素
C:脂肪酶与低钙
D:胰蛋白酶
E:磷脂酶A、胰血管舒缓素和弹性硬蛋白酶的作用
患者,女,肝硬化6年,近日尿少,色发黄,食欲差,皮肤黏膜反复出现瘀斑及牙龈出血,化验血小板50×10/L,ALB30g/L,PT18S。患者出血倾向的最主要原因是()。
A:毛细血管脆性增加
B:维生素K缺乏
C:血小板功能不良
D:凝血因子合成障碍
E:内毒素作用
男性,58岁的肝硬化患者,近周来由于大量利尿,发生意识障碍,血钾2.6mmol/L,pH7.5,最宜选哪种药物治疗( )
A:精氨酸+盐水灌肠
B:氯化钾+谷氨酸钠
C:氯化钾+精氨酸
D:谷氨酸钾+盐水灌肠
E:谷氨酸钠+维生素C静脉滴注
不符合门肝功能不全的临床表现是( )
A:皮肤粘膜出血
B:男性乳房发育
C:食管静脉曲张
D:蜘蛛痣
E:肝性脑病
引起肝硬化的肝炎病毒( )
A:只有乙型肝炎病毒
B:甲型和乙型肝炎病毒
C:乙型、丙型肝炎病毒
D:乙型、丙型和丁型肝炎病毒
E:乙型和戊型肝炎病毒
病例摘要:男性,36岁,慢性心房颤动,患者应用洋地黄过程中,心室率突然转为绝对规则,55次/分。
第1题,共2个问题
(单选题)可能发生了()。
A:心房颤动已转变为窦性心律
B:洋地黄中毒
C:为继续使用洋地黄的指征
D:已达洋地黄化
E:已转复为心房扑动伴2:1传导
第2题,共2个问题
(单选题)此患者最有效地治疗措施是()。
A:利多卡因
B:阿托品
C:苯妥英钠
D:心得安
E:速尿
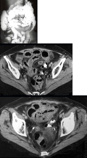
男,55岁,腹部胀痛不适一月余,CT检查如图,最可能的诊断是( )
A:结肠结核
B:结肠淋巴瘤
C:结肠转移瘤
D:假膜性结肠炎
E:横结肠癌
肝细胞中含量最高的酶是()。
A:CHE
B:AST
C:ALP
D:GGT
E:ALT
有关Hp感染与非甾体类抗炎药(NSAID)在胃溃疡发病中的作用,下列哪些说法是正确的()。
A:Hp和NSAID是致胃溃疡的两个独立因素
B:两者均存在时,其有致溃疡的协同作用
C:有Hp感染的NSAID性溃疡抑酸治疗后,胃溃疡的愈合速度较无Hp感染者快
D:根除Hp不能预防NSAID性胃溃疡的发生
E:Hp感染者的抑酸治疗预防NSAID性胃溃疡的疗效高于非Hp感染者
腹穿液最多系血性,且有臭味的是( )
腹穿液最多系稀薄脓性略有臭味的是( )
A:结核性腹膜炎
B:急性化脓性阑尾炎穿孔
C:胃十二指肠溃疡穿孔
D:绞窄性肠梗阻
E:出血性坏死性胰腺炎
消化性溃疡( )
贲门粘膜撕裂( )
肝硬化( )
败血症( )
A:呕血伴周期节律性上腹痛
B:呕血伴黄疸、发热
C:呕血伴皮肤粘膜出血
D:呕血伴脾大
E:剧烈呕吐后呕血
Barrett溃疡
溃疡性结肠炎紧急手术指征
不包括
()。
A:并发结肠癌
B:并发大出血
C:肠穿孔
D:中毒性巨结肠内科治疗无效
E:严重毒血症内科治疗无效
男性患者,47岁,反复上腹痛10余年,近1个月疼痛加重,五肽促胃液素刺激试验示胃酸缺乏,进一步的诊治方案首选( )
A:抗溃疡药物治疗2个月
B:手术治疗
C:X线钡餐检查
D:胃镜检查加活检
E:连续粪便隐血检查
关于球后溃疡正确的是()。
A:指发生于十二指肠球部后壁的溃疡
B:夜间痛较突出
C:发生率很高
D:易发生大出血
E:应尽早手术治疗
慢性腹泻患者,解黏液脓血便伴里急后重,多次粪便常规与培养均未发现致病菌及原虫。 肠镜检查如图,经柳氮磺胺吡啶治疗症状明显改善,本例诊断最应考虑()。
A:溃疡性结肠炎
B:Crohn病
C:结肠癌
D:肠结核
E:慢性细菌性痢疾
男,58岁,腹胀乏力,伴食欲不振3年。查体:巩膜轻度黄染,胸前可见2个蜘蛛痣,腹软,肝肋下未扪及,脾肋下5cm,腹水征阳性。
第1题,共4个问题
(单选题)导致该并发症最可能的诱因是()。
A:低血糖
B:低钾性碱中毒
C:上消化道出血
D:感染
E:缺氧
第2题,共4个问题
(单选题)病人因服用速尿2天后出现睡眠时间倒错,语言不清,不能完成简单计算,该患者最有可能发生了下列哪项并发症()。
A:肝性脑病
B:上消化道出血
C:肝肾综合征
D:腹腔感染
E:电解质紊乱
第3题,共4个问题
(单选题)病人的并发症已属哪一期()。
A:昏迷前期
B:浅昏迷期
C:深昏迷期
D:昏睡期
E:前驱期
第4题,共4个问题
(单选题)该患者的诊断最可能是()。
A:腹膜转移癌
B:胆管结石
C:继发性腹膜炎
D:原发性肝癌
E:肝硬化
女性,60岁。因黄疸持续不退半年伴皮肤瘙痒,肝脾肿大,诊断为原发性胆汁性肝硬化,下列哪项不符合该病的诊断()。
A:患者以女性居多
B:与自身免疫有关
C:肝内胆汁淤滞
D:血清胆固醇升高
E:最早病变为肝小叶中心坏死
男性,38岁,肝硬化病史2年;高蛋白饮食后出现睡眠障碍,计算力障碍,脑电异常,下列治疗措施不合适的是()。
A:限制蛋白饮食
B:弱酸性溶液灌肠
C:弱碱性溶液灌肠
D:乳果糖口服
E:精氨酸静脉滴注
溃疡病活动期患者不宜服用()。
A:布洛芬
B:前列腺素制剂
C:替硝唑
D:硫糖铝
E:胶体铋
男,39岁,上腹胀及不规律隐痛半年,胃镜检查见胃窦粘膜红白相间,以红为主,可见明显胆汁反流。治疗上最好用( )
A:法莫替丁+阿莫西林
B:奥美拉唑+克拉霉素
C:硫糖铝
D:胶体次枸椽酸铋
E:吗丁啉+铝碳酸镁
Courvoisier
血清胃泌素降低( )
血清壁细胞抗体多阳性( )
A:萎缩性胃窦胃炎
B:萎缩性胃体胃炎
C:贲门区胃炎
D:移行区胃炎
E:十二指肠球炎
呼气性呼吸困难见于()。
A:急性喉炎
B:阻塞性肺气肿
C:气管异物
D:老年性肺气肿
E:肺不张
女性患者,40岁。上腹部疼痛5年。餐前痛,伴反酸,近日疼痛加重,且呈持续性向腰背部放射,有时低热。胃肠钡餐提示:十二指肠球部变性,血白细胞略升高,诊断首先考虑为()。
A:慢性胃炎
B:胃溃疡
C:胃癌
D:十二指肠穿透性溃疡
E:胃黏膜脱垂
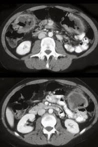
女,54岁,直肠癌放疗后一月,阵发性腹痛腹胀,呕吐应,CT表现如图,应诊断为( )
A:小肠淋巴瘤
B:小肠结核
C:小肠Crohn病
D:放射性小肠炎
E:肠易激综合征
男,45岁,反复上腹疼痛8年,多于秋冬和冬春之交发病,近2周剑下持续疼痛。X线钡餐检查提示胃角部龛影,直径1cm,C-尿素呼气试验提示幽门螺杆菌(+),有效的抗HP治疗1周后疼痛略减轻,进一步处理首选( )
A:继续抗Hp治疗1周
B:继续用抑制胃酸分泌药物2周
C:改变抗Hp治疗方案
D:手术治疗
E:纤维胃镜检查与活检
与慢性胰腺炎无关的因素是()。
A:乙醇
B:老龄化
C:PRSS1突变
D:自身免疫
E:复发性胰腺炎
男,45岁,反复右上腹痛3年,放射至背部,先后3次上消化道出血。查:BAO9mmol/h,PAO30mmol/h;钡餐检查2次,十二指肠球部及胃均未发现溃疡。可能性最大的诊断是( )
A:胃癌
B:十二指肠球后溃疡
C:胃泌素瘤
D:慢性胆囊炎
E:慢性胃炎
首页
<上一页
129
130
131
132
133
下一页>
尾页