自考题库
首页
所有科目
自考历年真题
考试分类
关于本站
游客
账号设置
退出登录
注册
登录
出自:眼科高级职称
关于急性泪囊炎治疗方法叙述错误的是()
A:滴抗生素眼水
B:全身应用抗生素
C:泪道冲洗
D:早期热敷理疗
E:脓肿出现波动感即切开排脓
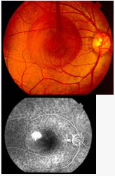
某高度近视患者半个月前左眼出现视物模糊,视力进行性下降,眼前闪光感,既往无其他眼疾,检查,左眼矫正视力0.02,眼底如图,你首先考虑()
A:左眼玻璃体积血
B:左眼玻璃体混浊
C:左眼视网膜脱离
D:左眼近视加重
E:以上都不对
眼睑常见的恶性肿瘤有________、________、________。
哪种结膜炎不常出现耳前淋巴结肿大和压痛()
A:春季结膜炎
B:流行性角结膜炎
C:流行性结膜炎
D:衣原体性结膜炎
E:淋球菌性结膜炎
裂孔性视网膜脱离与下列哪些因素有关( )
A:格子状变性
B:玻璃体液化、后脱离
C:视网膜萎缩
D:外伤
E:高度近视
复杂性眼外伤()
A:常有多种眼内结构损伤
B:伤口大,不规则
C:虹膜损伤、虹膜嵌顿伴晶状体混浊
D:无明显眼痛、流泪和视力下降
E:眼后段损伤
患者,女性,30岁,左眼胀痛伴视物模糊4天。检查左眼视力1.0,内眼检查无异常。左眼轻度睫状充血,角膜上皮轻度水肿,角膜后见数个大小不等的灰白色沉着物,大的呈羊脂状,房水闪辉弱阳性,虹膜未见后粘连,玻璃体未见混浊,视网膜无渗出,视乳头杯盘比为0.3,以往无类似病史。 如果眼压为60mmHg,则以下哪一项治疗是不需要的( )
A:皮质类固醇
B:乙酰唑胺
C:噻吗洛尔
D:阿托品
E:甘露醇
下列对视网膜大动脉瘤描述错误的是( )
A:是一种获得性的视网膜血管异常
B:多为单眼,少数为双眼发病
C:一经发现,需尽早激光治疗
D:动脉瘤大者,可占据视网膜全层
E:可并发毛细血管扩张症
视网膜中央静脉阻塞非缺血型的特点错误的是()
A:视盘水肿轻微或无明显水肿
B:各分支静脉扩张、迂曲较轻
C:荧光造影视网膜循环时间延长,但少有无灌注区
D:视网膜出血及水肿较轻,视力下降不显著
E:易出现新生血管性青光眼
患者,女性,60岁,双眼视力下降2年,检查双眼视力0.3,矫正不能提高,角膜透明,前房轴深4CT,瞳孔圆,直径3mm左右,晶状体皮质轻度混浊,眼底清晰可见,视盘边界清,C/D=0.2,视网膜平伏,未见出血渗出,黄斑区见黄白色小圆点病灶,色素紊乱,中心凹反光未见。血压160/95mmHg。血糖正常。
第1题,共3个问题
(多选题)下列哪些检查可以鉴别AMD为于性或湿性()
A:B超
B:OCT
C:FFA
D:VEP
E:激光视网膜视力
第2题,共3个问题
(多选题)如果FFA早期表现为中心凹外200μm有一个强荧光区,晚期表现为神经上皮下染料的积聚,治疗可选择()
A:观察随访,暂无特殊治疗
B:立即手术治疗
C:激光治疗
D:光动力疗法
E:抗新生血管治疗
第3题,共3个问题
(多选题)根据上述病史,考虑诊断为()
A:原发性高血压
B:年龄相关性黄斑病变(AMD.
C:老年性白内障(初期)
D:中心性浆液性脉络膜视网膜病变
E:黄斑囊样病变
泪腺多形腺瘤好发于()
A:少年儿童
B:中年男性
C:中年女性
D:老年女性
E:老年男性
患者女,25岁,右眼视力下降3天,检查右眼视力1.0,眼前段(-),眼底检查如图,
不属于
该病临床特征的是()
A:视物变暗
B:视力下降,但常不低于0.5
C:视物变形
D:黄斑水肿
E:眼部隐痛
假性内斜视有()
A:瞳距过大
B:宽扁鼻梁伴明显内眦赘皮
C:阳性Kappa角过大
D:阴性Kappa角过大
E:瞳距过小
玻璃体积血时,最常见的并发症为()
A:新生血管性青光眼
B:并发性白内障
C:视神经萎缩
D:增殖性玻璃体视网膜病变
E:视网膜脱离
以下哪项为儿童最常见的原发性眼内恶性肿瘤( )
A:神经鞘瘤
B:横纹肌肉瘤
C:脉络膜黑色素瘤
D:视网膜母细胞瘤
E:脑膜瘤
眼睑睑板中可分泌的抗菌物质包括()
A:IgG
B:IgM
C:IgA
D:溶菌酶
E:补体
青光眼降眼压作用最有效的药物是( )
A:缩瞳药
B:碳酸酐酶抑制药
C:高渗剂
D:镇静药
E:口受体阻滞药
前葡萄膜炎急性发作时的临床表现是( )
A:结膜充血、无KP、虹膜纹理清、瞳孔无变化
B:睫状充血、色素性KP、虹膜节段性萎缩、瞳孔开大
C:睫状充血、尘状KP、虹膜纹理不清、瞳孔缩小
D:睫状充血、羊脂状KP、虹膜纹理可见、瞳孔正常
E:混合充血、角膜无KP、虹膜破孔、瞳孔异位
青年男性患者,无明显外伤史,出现视力下降,伴明显玻璃体积血,应考虑哪种疾病()
A:糖尿病视网膜病变
B:中央静脉阻塞
C:视网膜静脉周围炎
D:视网膜脱离
E:视盘血管炎
一患者因乳腺癌行乳房切除术后1年来复查,见视盘颞侧有大量的深灰色隆起,诊断考虑是( )
A:脉络膜血管瘤
B:视网膜血管瘤
C:恶性黑色素瘤
D:脉络膜转移瘤
E:黑色素细胞瘤
患者,男性,7岁,发现双眼视力差1个月。Vod 0.3,Tod 33mmHg,Vos 0.4,Tos 27mmHg,双眼无充血,角膜透明,前房轴深2.5C.T.,房水清,虹膜基质薄,瞳孔异位,右眼1点周边部虹膜有裂孔,周边虹膜不规则前粘连,晶状体透明。正确的诊断应该是()
A:原发性婴幼儿型青光眼
B:虹膜角膜内皮综合征
C:Axenfeld-Rieger综合征
D:葡萄膜炎继发青光眼
E:Peter异常
遮盖去遮盖试验的目的()
A:发现显斜
B:鉴别隐斜与显斜
C:发现假性斜视
D:鉴别弱视
E:发现屈光不正
有关完全调节性内斜视,错误的是()
A:常有中度远视
B:看远看近斜视角相等
C:AC/A增大
D:当远视全矫正后眼位可呈正位
E:一般不须手术治疗
准分子激光角膜切削术并发症的叙述以下哪一项是错误的( )
A:角膜上皮下浅表混浊
B:双眼复视
C:过矫
D:欠矫
E:屈光度数可回退
角膜挫伤可造成以下情况,但
不包括
( )
A:眼痛,畏光
B:视力减退
C:后弹力层破裂
D:角膜全层破裂
E:角膜内皮损伤
济状况不同,采用的盲和视力损伤的标准也有不同。目前一些国家采用的标准是什么?
关于老年性动脉硬化下列说法
不正确
的是()
A:主要病理改变是血管中层纤维样变和玻璃样变,致使弹力层和肌层受损,血管弹性和舒张性降低
B:老年性动脉硬化的改变比较普遍地分布全身血管,与血压关系不大
C:管壁退行性变,管腔内血流量降低,使全身和脑血供减少,但很少造成严重组织损害
D:有明显的动静脉交叉处改变
E:视网膜动脉普遍变细,血管透明度减低,颜色变淡,反光带变暗,血管走行平直,分支成锐角
关于肾功能检测的叙述,下列哪项是正确的()
A:氯化铵试验检测远端肾单位浓缩功能
B:尿β
2
-MG是检测近端肾小管受损的灵敏指标
C:血清pH可准确反映肾小管酸碱平衡功能
D:对氨马尿酸盐清除试验反映近端肾小管的排泄功能
E:尿比重比尿渗量更能反映肾浓缩功能
放射线可造成以下眼部损伤,但
不包括
()
A:视网膜微血管瘤
B:视网膜毛细血管扩张
C:视网膜神经纤维层梗塞
D:急性视神经病变
E:脉络膜黑色素瘤
患者,男,8岁,发现右眼睑长一肿块4年。无外伤史。检查:视力:右1.0左1.0,右眼眶外上方可扪及一半圆形肿物,边界清楚,略有波动感,无压痛,与皮肤无粘连,右眼向前下方突出。最有可能的诊断是()
A:眼眶寄生虫囊肿
B:黏液囊肿
C:皮样囊肿
D:畸胎瘤
E:胆脂瘤
首页
<上一页
129
130
131
132
133
下一页>
尾页