自考题库
首页
所有科目
自考历年真题
考试分类
关于本站
游客
账号设置
退出登录
注册
登录
出自:消化内科学高级职称
男,38岁,肝区痛,腹胀2个月,无发热,无颈静脉怒张,心肺(-),腹软,肝肋下5cm,质硬,脾未及,移动性浊音(+),腹腔穿刺液抽出淡红色腹水,本例最可能的诊断是( )
A:肝硬化自发性腹膜炎
B:肝硬化合并门静脉血栓形成
C:缩窄性心包炎
D:原发性肝癌
E:血吸虫性肝硬化
对肝硬化门脉高压的诊断最有价值的是( )
A:食管下段静脉曲张
B:腹壁静脉曲张
C:脾大,脾功能亢进
D:顽固性腹水
E:脾大腹水
病例摘要:患者,女性,30岁。早饱、腹胀不适1年,伴恶心,无呕吐、发热、消瘦、黑便等。血尿粪常规、肝肾功能、血糖均正常,体检无阳性体征。胃电图提示餐前胃电节律正常,餐后胃电节律偏缓,5小时胃排空10%。
第1题,共3个问题
(单选题)为进一步明确诊断,首选下列哪项检查()。
A:胃镜
B:核素胃排空试验
C:钡餐X线检查
D:血清CEA
E:血沉
第2题,共3个问题
(单选题)如胃镜检查阴性,应选择下列哪项治疗()。
A:奥美拉唑
B:替普瑞酮
C:莫沙比利或多潘立酮
D:瑞巴派特
E:胃电起搏
第3题,共3个问题
(单选题)最可能的诊断是()。
A:肠易激综合征
B:功能性消化不良
C:功能性腹胀
D:消化性溃疡
E:早期糖尿病
急性腹膜炎早期出现恶心、呕吐的原因是( )
A:胃肠痉挛
B:反射性呕吐
C:神经性呕吐
D:肠麻痹
E:膈肌痉挛
有关胆囊结石,哪项是正确的( )
A:男性常见
B:可以出现梗阻性黄疸
C:静止性结石都不需手术治疗
D:口服法胆囊造影为首选检查
E:诊断主要依靠病人和阳性体征
与胃酸分泌无关的因素是( )
A:组胺
B:乙酰胆碱
C:胃泌素
D:生长抑素
E:胃蛋白酶
Stier1in sign
直肠癌转移到肝是( )
胃癌转移到卵巢是( )
A:血行转移
B:直接蔓延
C:淋巴转移
D:种植转移
E:胃肠道管腔内转移
行放射性同位素闪烁照相法测定胃排空的指征()。
A:持续早饱,上消化道内镜未见异常
B:糖尿病患者反复呕吐,药物治疗无效
C:功能性消化不良
D:了解促胃动力药的疗效
E:进行胃的生理及病理学研究
胰腺内分泌肿瘤的临床症状主要因为()。
A:病理性分泌的大量胃肠多肽
B:压迫十二指肠
C:转移症状
D:血糖升高
E:生长迅速
下列有关球后溃疡的描述
不正确
的是()。
A:症状较球部溃疡严重而持续
B:易出血
C:内科疗效差
D:X线易漏诊,需应用十二指肠低张造影
E:常发生于十二指肠乳头近端的前壁
女性,42岁,肝硬化病人发生昏迷入院。查血钾2.4mmol/L,血钠135mmol/L,氯化物100mmol/L,血氨146μmol/L,血pH7.3,宜选用下列哪种药物治疗()。
A:盐酸精氨酸
B:γ-氨酪酸
C:复方氨基酸
D:谷氨酸钾
E:谷氨酸钠
正常人每24小时进入小肠的液体量:
第1题,共1个问题
(配伍题)
总量达( )
来自食物的量约占( )
来自唾液腺、胃肠、肝胰分泌的量约占( )
有关急性水肿型胰腺炎的治疗,下列何种治疗方法最恰当()。
A:内科保守治疗
B:胰酶
C:生长抑素
D:Oddi括约肌切开术
E:手术
编码转录调节因子的抑癌基因是()。
A:p15
B:p16
C:Rb
D:p21
E:PTEN
该病人经输液扩容及运用血管活性药物后情况无好转。 下列治疗措施中哪项最重要( )
A:大剂量升压药
B:大剂量补钾
C:大剂量抗生素
D:纠正酸中毒
E:纠正碱中毒
慢性肝炎指肝发生炎症及肝细胞坏死持续()。
A:6个月以上
B:9个月以上
C:3个月以上
D:12个月以上
E:1个月以上
患者女,28岁,因“乏力、尿黄1周”入院。外院查肝功能提示:血清丙氨酸氨基转移酶922U/L,天门冬氨酸氨基转移酶876U/L,总胆红素122μmol/L。患者否认“肝炎”接触史、输血史,否认嗜酒,家族史无特殊。查体:神清,精神欠佳,面色晦暗,皮肤、巩膜中度黄染,腹软无压痛,肝肋下未及,脾肋下可触及,质韧,无触痛,移动性浊音阴性,双下肢无水肿。
第1题,共3个问题
(单选题)应做的进一步处理是()。(提示:患者规律口服青霉胺治疗已2年,并坚持定期复查,病情一直平稳。2周前患者自觉体重增加,并出现双下肢可凹性水肿,查尿常规提示:尿蛋白(++++)。)
A:维持青霉胺治疗,监测血糖并行胰岛功能试验检查
B:停止青霉胺治疗,待症状缓解后再继续青霉胺治疗
C:继续青霉胺治疗,并加用口服利尿剂治疗
D:停止青霉胺治疗,换用曲恩汀治疗
E:将青霉胺减量后继续治疗
第2题,共3个问题
(多选题)患者应接受的治疗包括()。(提示:该患者入院后第3天行肝穿刺活检,检测肝组织铜含量为680μg/g干重。骨密度检测提示:骨量减少,骨密度降低。)
A:口服青霉胺250~500mg/d
B:口服维生素B
6
25mg/d
C:给予保肝、退黄治疗
D:给予口服利尿剂治疗
E:给予泼尼松治疗
第3题,共3个问题
(单选题)目前患者的诊断考虑()。(提示:入院后进一步检查结果如下:尿蛋白(+++),自身抗体及病毒性肝炎标志物均阴性,铜蓝蛋白6.5mg/dl,双眼Kayser-Fleischer环阳性,颅脑MRI提示:双侧苍白球、壳核异常信号。)
A:原发性胆汁性肝硬化
B:原发性硬化性胆管炎
C:Wilson病
D:肾病综合征
E:先天性铜蓝蛋白缺乏症
下列哪项不是肝功能减退的临床表现()。
A:浮肿
B:鼻出血、齿龈出血
C:睾丸萎缩
D:脾大
E:黄疸
关于腹泻的描述正确的是()。
A:腹泻超过4周,即为慢性腹泻
B:排便次数增多,>3次/13
C:粪质稀薄,含水量>85%
D:粪质呈糊状,含水量>80%
E:粪便量增多,>200g/日
X线钡餐检查不能诊断()。
A:胃窦胃炎
B:胃溃疡
C:胃体胃炎
D:胃癌
E:十二指肠球后溃疡
结肠癌可引起( )
弥漫性腹膜炎可引起( )
A:机械性肠梗阻
B:痉挛性肠梗阻
C:绞窄性肠梗阻
D:麻痹性肠梗阻
E:闭袢性肠梗阻
肠结核腹泻的特点是( )
A:常常每日排便10余次
B:不伴里急后重
C:一般不含粘液或脓血
D:便血少
E:以水样便为主
NSAID抑制环氧化酶活性,阻碍前列腺素的合成
男性,35岁。反复上腹痛伴反酸15年,疼痛于空腹时加重,饭后缓解,近来疼痛加剧,服抗酸药等不能缓解。近7天来上腹痛伴呕吐,呕吐有酸臭味。
第1题,共5个问题
(单选题)上述病例最可能的诊断是()。
A:幽门管溃疡
B:胃窦癌伴幽门梗阻
C:胃溃疡
D:胆汁反流性胃炎
E:十二指肠溃疡伴幽门梗阻
第2题,共5个问题
(单选题)下列哪项不符合该患者实际情况()。
A:可闻及振水音
B:呕吐物中有食物和胆汁
C:可见胃型及蠕动波
D:呕吐物中有宿食
E:可出现低氯低钾性碱中毒
第3题,共5个问题
(单选题)为明确诊断,该患者需采取的措施是()。
A:腹部B超
B:上消化道气钡双重造影
C:腹部MRI
D:胃肠减压后内镜检查
E:腹部CT
第4题,共5个问题
(单选题)以下哪项治疗是错误的()。
A:山莨菪碱
B:西咪替丁
C:硫糖铝
D:胶体次枸橼酸铋
E:奥美拉唑
第5题,共5个问题
(单选题)以下治疗错误的是()
A:山莨菪碱
B:西咪替丁
C:硫糖铝
D:胶体次枸橼酸铋
E:奥美拉唑
食管贲门黏膜撕裂综合征患者出血可自行停止的比例()。
A:20%~30%
B:30%~40%
C:40%~50%
D:60%~70%
E:75%~90%
诊断大肠及回肠末端病变的首选检查方法是__________。
患者女性,15岁,先天性心脏病史。心电图如图5-12所示,应诊断为()。
A:完全性右束支阻滞
B:右心室肥厚,继发性ST-T改变
C:前间壁心肌梗死
D:预激综合征
E:左后分支阻滞
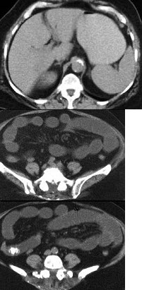
男,30岁,有胆结石病史,近日腹痛、腹胀,CT检查如图,应诊断为( )
A:胆石症
B:胆石性肠梗阻
C:肠结核
D:小肠克罗恩病
E:小肠淋巴瘤
肝硬化腹水在尿钠与尿钾比值小于1时,螺内酯类利尿剂(安体舒通等)效果较好
首页
<上一页
128
129
130
131
132
下一页>
尾页