出自:骨外科高级职称

正中神经挤压所致闭合性损伤应立即手术探察。( )
拇指对掌肌( )
拇长展肌腱( )
拇长伸肌腱( )
A:鼻烟窝外侧的肌腱为
B:属于鱼际肌的是
C:属于尺神经支配的是
D:鼻烟窝内侧的肌腱是
E:属于正中神经支配的是
形成急性血源性骨髓炎大块死骨的原因主要为( )
A:骨膜血管断裂
B:病理骨折
C:脓肿直接破坏骨组织
D:骨的滋养血管栓塞
E:身体抵抗力差
女性,40岁。外伤致内外髁骨折,关节面不平,相差0.8cm。经过治疗,但骨折移位未见改变。根据患者情况,最可能发生的晚期并发症是()
A:骨化性肌炎
B:骨愈合不良
C:膝关节创伤性关节炎
D:膝关节僵硬
E:膝关节外翻畸形
患儿,8岁,男性,入院前三天因淋雨后突然高热,持续不退,并出现右髋部疼痛,检查:体温39.5度,脉搏124次每分,一般情况尚好,右髋及臀部稍肿,髋屈曲,压痛明显,无波动感,血白细胞计数20×10/L,中性多核89%,右髋关节X线片未见异常,此时该患儿首选治疗应该是:()
A:切开引流
B:中草药应用
C:局部固定
D:选用有效抗菌素
E:输血
男性,41岁。骑车跌倒,右手撑地,随后腕部肿痛,活动障碍。检查后初步诊断为腕舟状骨骨折。医师主要是依据哪一项体征初步确立诊断的()
A:纵向叩击第3掌骨头,腕部疼痛
B:腕关节桡侧偏受限
C:腕屈伸受限
D:桡侧腕部肿胀
E:鼻烟窝部有明显压痛
40岁男性,2h前右上臂中1/3闭合性损伤,查体:右腕关节不能伸展,拇指的掌指关节不能主动伸直,其原因()
A:拇长伸肌损伤
B:桡侧腕长伸肌损伤
C:尺神经损伤
D:桡神经损伤
E:指总神肌损伤
下列哪项不是脊髓灰质炎后遗症的临床表现( )
A:皮肤感觉正常
B:行走时呈“剪刀式”步态
C:走路不稳,影响功能
D:X线片骨骼变细,下肢不等长
E:肌肉呈不同程度的弛缓性瘫痪
影响骨折正常愈合过程的因素有()
A:反复多次的手法复位
B:复位不满意,对线差
C:固定不确实
D:过早的和不恰当的功能锻炼
E:开放骨折感染
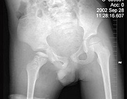
7岁男孩,发现跛行半年伴疼痛,来科行双髋节正位片,如图所示,最佳的诊断是()
A:右髋关节结核
B:右股骨头骨软骨炎
C:右侧扁平髋
D:克丁病
E:右髋关节肿瘤
男性,14岁,8个月前开始左上肾肿胀、疼痛,入院诊断为左肱骨上端骨肉瘤,优选的治疗方案是()
A:左肩关节高位离断术
B:肿瘤刮除术
C:术前化疗-根治性切除,术后化疗
D:化疗
E:化疗加放疗
男性,7岁。突发右大腿下方剧痛伴寒战,高热,烦躁不安3天。查体:体温39.8℃。右大腿远端压痛,拒按,膝关节呈半屈曲状。

第1题,共4个问题
(单选题)关于早期确诊的主要依据是()
A:高热、肢体肿痛
B:X线摄片
C:CT检查
D:白细胞总数及中性粒细胞计数增高
E:局部分层穿刺抽出脓液

第2题,共4个问题
(单选题)关于最关键的治疗措施是()
A:局部引流
B:多次抽脓并注入抗生素
C:脓液细菌培养+药敏试验,依结果调整用药
D:局部固定防止病理性骨折
E:联合使用大剂量抗生素

第3题,共4个问题
(单选题)以下选择项最可能的诊断是()
A:风湿性膝关节炎
B:化脓性膝关节炎
C:股骨下端化脓性骨髓炎
D:创伤性膝关节炎
E:结核性膝关节炎

第4题,共4个问题
(单选题)该病最常见的致病菌是()
A:乙型链球菌
B:金黄色葡萄球菌
C:大肠杆菌
D:链球菌
E:无细菌生长
关于局限性骨脓肿,下列哪些说法是正确的()
A:又名Brodie脓肿
B:通常发生于短骨骨干,多见于指趾骨
C:患者通常有急性血源性骨髓炎病史
D:X线可以看到多量骨密质增生,表现为大片浓白阴影
E:发生的主要原因往往是致病菌毒力不强或病员的抵抗力较高
女性,50岁。左手桡侧3个手指感觉过敏,大鱼际肌萎缩,拇指对掌无力,腕部正中神经Tinel征阳性,屈腕试验(Phalen征)阳性。根据患者症状、体征,最可能的诊断是()
A:神经根型颈椎病
B:腕部腱鞘炎
C:腕骨结核
D:腕管综合征
E:月骨无菌性坏死
男性,28岁。右髋部疼痛,伴午后低热、盗汗、食欲缺乏及体重减轻1年。查体:右髋关节呈屈曲畸形,外观无明显肿胀,屈伸活动受限,Thomas征(+)。ESR56mm/h。X线检查:右髋关节间隙变窄,关节面有虫蚀样骨质破坏,右髋臼有2.5cm大小空洞,内见死骨形成。 入院治疗期间,患者体温39℃,右髋大转子处出现一8cm×6cm大小包块,表面皮肤红热,有波动感。为了解经抗结核治疗4周,患者精神及食欲改善,ESR20mm/h。此时的治疗宜采取()
A:关节置换手术
B:髋"人"字形石膏固定
C:患肢持续皮肤牵引
D:病灶清除术
E:关节穿刺抽脓,注入抗结核药物
Thoms症临床用来检查哪一种畸型()
A:髋内翻
B:髋外翻
C:髋外展外翻
D:髋内收内旋
E:髋关节屈曲
L45椎间盘突出,最常受累的神经根是()
A:L2
B:L3
C:L4
D:L5
E:S1
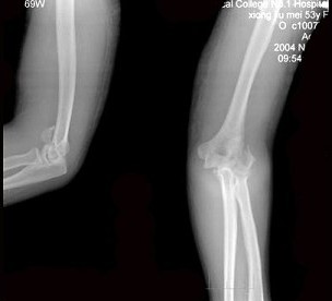
53岁女性患者,因摔倒时手掌着地,感右肘关节肿痛、畸形,X线摄片如图所示,下列正确的诊断是()
A:右肱骨外髁骨折
B:右肱骨内上髁骨折
C:右肱骨外上髁骨折
D:右肱骨小头骨骺分离
E:右肱骨内髁骨折
慢性骨髓炎的手术适应证和禁忌证是什么?
男,50岁,骨肿瘤患者,血清总蛋升高,A/G倒置,蛋白电泳显示βγ球蛋白升高,这时最可能是:()
A:骨肉瘤
B:前列腺癌骨转移
C:尤文肉瘤
D:骨巨细胞瘤
E:骨髓瘤

十三岁男性,右下肢打软腿11年,时有跪倒,查体:右下肢肌肉萎缩,肌力下降,但感觉正常,智力及左下肢正常。



第1题,共4个问题
(单选题)最可能的诊断是( )
A:大脑瘫后遗症
B:脊髓炎后遗症
C:小儿麻痹后遗症
D:末梢神经炎
E:椎管内肿瘤

第2题,共4个问题
(单选题)如患者膝关节屈曲约20°,不能被动伸直,屈肌力量为Ⅳ级,最合适的治疗是( )
A:观察随访
B:屈肌移位代股四头肌
C:屈肌松解术
D:股骨髁上截骨+屈肌代股四头肌
E:股骨髁上截骨术

第3题,共4个问题
(单选题)如果膝关节被动伸屈功能好,这时最合适的治疗是( )
A:加强股四头肌康复治疗
B:使用护膝器
C:屈肌代股四头肌
D:随访观察
E:针灸+中西药物治疗

第4题,共4个问题
(单选题)如果该患者胫骨前、后肌,长伸肌和趾长伸肌以及腓骨长、短肌肌力均为Ⅱ级,最合适的治疗是( )
A:三关节融合术
B:石膏固定术
C:长期穿用矫形鞋
D:截肢+假肢
E:全距关节融合术
肱骨中下1/3骨折合并垂腕垂指畸形2天,最适合的治疗方案是()
A:牵引治疗
B:闭合复位,小夹板固定
C:闭合复位,石膏固定
D:手术切开复位内固定
E:手法复位后石膏固定,观察2~3个月,伸腕伸指不见恢复,再手术探查
女性病人,55岁,右拇指掌指关节疼痛及弹响4个月余。检查:右拇指掌指关节掌侧可扪及一小结节,压痛。活动时有弹响。诊断最有可能的是( )
A:神经瘤
B:滑囊炎
C:狭窄性腱鞘炎
D:腱鞘囊肿
E:陈旧性掌指关节脱位
试述骨肉瘤的临床表现
有关外伤性关节脱位的知识,正确的是()
A:均有明确的外伤史
B:肘关节发病率最高
C:受伤关节疼痛、肿胀、功能障碍
D:肩关节脱位合并骨折较少见
E:X线片对观察是否合并骨折有重要作用

患儿男,9岁,摔伤致右前臂疼痛、肿胀、活动障碍3小时,查体:右前臂肿胀明显,局部压痛,可见瘀斑,可触及骨擦感。

 



第1题,共6个问题
(单选题)该患者X线片检查结果如下 :该部位骨折,最有可能合并()
A:臂丛神经损伤
B:腋神经损伤
C:肌皮神经损伤
D:桡骨小头脱位
E:正中神经损伤
F:尺神经损伤

第2题,共6个问题
(单选题)该患者应该首先接受的检查是()
A:X线检查
B:心电图检查
C:B超检查
D:肌电图检查
E:神经传导电位检查
F:CT检查

第3题,共6个问题
(单选题)该患者应该首先考虑的诊断是()
A:右锁骨骨折
B:右肱骨骨折
C:右尺桡骨骨折
D:右肩胛骨骨折
E:右臂丛神经损伤
F:右尺骨鹰嘴骨折

第4题,共6个问题
(单选题)该患者最可能出现的远期并发症是()
A:"爪形手"畸形
B:前臂旋转功能障碍
C:垂腕畸形
D:拇指背伸不能
E:分指功能受限
F:餐叉样畸形

第5题,共6个问题
(单选题)该患者的首选的治疗方案是()
A:保守治疗,石膏外固定
B:手法复位,反复复位待骨折对位对线满意后,石膏外固定
C:尺桡骨骨折切开复位钢板螺丝钉内固定术+桡骨小头脱位复位环状韧带修复术
D:右尺桡骨骨折切开复位克氏针内固定术+桡骨小头脱位复位环状韧带修复术
E:手法复位,夹板外固定
F:以上均可

第6题,共6个问题
(单选题)随访2个月,肘关节屈伸活动度30~110度,则应()
A:右肘关节切开松解术
B:麻醉下右肘关节闭合松解术
C:建议目前功能锻炼
D:建议在康复医师的指导下行功能锻炼
E:继续观察
F:给予石膏外固定
患者,男性,70岁,平素身体健康,在跑步时不慎摔伤右髋部。X线提示:右侧股骨颈骨折,GardenⅢ型。首选的治疗方法是()
A:卧床,皮牵引
B:骨牵引
C:多根空心钉内固定
D:股骨头置换术
E:全髋关节置换术
直腿抬高试验阳性表明()
A:Schmorl结节
B:马尾神经损伤
C:慢性腰肌劳损
D:腰3~4椎间盘膨出
E:腰4~5或腰5~骶1椎间盘突出症
青年男性外伤致右肱骨干骨折,折端外露,查体有垂腕,垂指畸形,虎口局感觉障碍。该患的正确诊断是()
A:右肱骨干开放性骨折
B:右肱骨干开放性骨折伴桡神经损伤
C:右肱骨干骨折伴桡神经损伤
D:右肱骨干闭合性骨折
E:右肱骨干闭合性骨折伴桡神经损伤
在骨折的急救中,下列哪一项是不恰当的( )
A:妥善固定患肢
B:迅速运往医院
C:凡有骨折可疑的病人,均应按骨折处理
D:创口包扎,止血
E:复位已戳出创口的骨折断端