出自:内分泌学高级职称

Cushing综合征可出现酸中毒
女,40岁,1个月来体重下降5kg,伴口渴,心悸。食量正常,自测脉搏92次/分,其父患糖尿病,OGTT示:空腹、60分钟、120分钟血糖:5.59、14.8、8.82mmol/L。糖化血红蛋白HbAlc5.5%。可能的诊断包括( )
A:甲状腺炎
B:IGT
C:甲亢
D:糖尿病
E:自主神经功能紊乱
鞍区主要指以蝶鞍为中心的解剖范围,主要包括()。
A:鞍下方的蝶窦,鞍上方的视交叉、下丘脑
B:鞍旁(两侧)的海绵窦,鞍后方的斜坡上段骨质,鞍前方的眶尖
C:垂体柄通过鞍隔孔将下丘脑正中隆起与垂体相连,下丘脑位于垂体上方
D:垂体位于鞍内,下丘脑前方为视交叉,后方为乳头体,下底部为灰结节
E:筛窦和上鼻甲
患者,男性,38岁,因进行性消瘦伴体位性头晕,饭前经常心悸、手抖就诊,既往结核病史(-)。

第1题,共3个问题
(单选题)为进一步鉴别原发性或继发性肾上腺皮质功能减退,下述哪种检查最有意义()。
A:测血浆肾素、醛固酮
B:测24小时尿17-羟类固醇
C:测24小时尿游离皮质醇
D:测24小时尿17-酮类固醇
E:ACTH刺激试验

第2题,共3个问题
(单选题)提示:查体消瘦,皮肤无色素沉着,BP:78/50mmHg,血糖:3.0mmol/L,抗肾上腺抗体(-),皮质醇72mmol/L(正常165~441mmol/L)提问:本例最可能的诊断是()。
A:Addison病
B:特发性慢性肾上腺皮质功能减退
C:继发性肾上腺皮质功能减退
D:低血糖症
E:库欣综合征

第3题,共3个问题
(多选题)根据上述资料,考虑什么疾病()。
A:甲状腺功能亢进
B:甲状腺功能减退
C:Addison病
D:继发性肾上腺皮质功能减退
E:低血糖症
原发性醛固酮增多症患者由于高血钾可出现神经肌肉功能障碍。
男性,46岁。口渴、多饮、消瘦3个月,突发昏迷2日。血糖41mmol/L,血钠132mmol/L,血钾4.0mmol/L,尿素氮9.8mmol/L,COCP18.3mmol/L,尿糖、尿酮(+++)。 静滴胰岛素、碳酸氢钠约2小时,血糖降至16.7mmol/L,酸中毒改善,一度清醒后又陷入昏迷。此现像可能为( )
A:并发脑水肿
B:并发脑血管意外
C:并发低血糖
D:并发尿毒症
E:并发乳酸性酸中毒
男性,46岁,Graves病患者PTU治疗症状控制,甲状腺缩小,维持治疗25mg/d已超过1年半,考虑停药,宜选用哪项指标( )
A:甲状腺摄I率
B:T抑制试验
C:TSAb测定
D:放射性核素扫描
E:基础代谢率测定
患者女,27岁,因“全身疼痛2年余”来诊。近2年出现腰痛、足跟痛、肩背痛等,逐渐加重,伴下肢无力,活动受限,身高降低3cm。病程中有多饮、多尿,间断反酸、胃灼热。无肉眼血尿。查体:P90次/min,BP100/70mmHg;步入病房,皮肤干燥,甲状腺不大;胸廓挤压痛(+);心、肺、腹(-);脊柱四肢无畸形,骨盆压痛(+);双下肢无水肿。

第1题,共3个问题
(多选题)下一步处理为(提示:甲状旁腺B超:双侧甲状旁腺区实性占位。99mTc甲氧基异丁基异腈甲状旁腺扫描:相当于甲状腺右叶中下极及左叶下极水平异常放射性增高区,考虑功能亢进的甲状旁腺组织可能性大。)()。
A:即刻补充维生素D制剂及钙剂
B:联系外科行甲状旁腺手术
C:行颈部CT或MRI检查进一步明确定位
D:监测血钙水平,对症处理
E:骨活检
F:警惕术后出现严重低钙血症,及时补充钙剂及维生素D制剂

第2题,共3个问题
(多选题)患者入院后应常规检查()。
A:血常规
B:红细胞沉降率
C:血生化(电解质,肝、肾功能)
D:骨X线片
E:动脉血气分析
F:尿钙、磷

第3题,共3个问题
(多选题)此时应考虑的诊断有(提示:血ALP1239U/L,钙2.90~3.13mmol/L,磷0.55mmol/L,PTH778pg/ml(正常值12~65pg/ml);血常规、ESR正常;动脉血气:pH7.34,BE-5.4mmol/L。骨X线片:骨小梁稀疏,头颅沙粒样改变,指骨骨膜下吸收,右第2掌骨可疑囊性变,耻骨联合软骨下骨吸收,骨盆呈三角形,双耻骨坐骨支假骨折,椎体双凹变。)()。
A:代谢性酸中毒
B:原发性甲状旁腺功能亢进症
C:继发性甲状旁腺功能亢进症
D:散发性甲状旁腺功能亢进症
E:骨软化症
F:肿瘤骨转移
完整的内分泌疾病的诊断应包括___________、__________和_________。
患者,女,50岁,怕热、心悸1年余,进行性加重,未就诊;3天前发热,体温波动在38℃,伴咳嗽、咳痰,症状加重1天,体温持续39℃以上,并出现恶心、呕吐、腹泻,意识模糊,烦躁不安。查体:T40℃,P130次/分,R35次/分;消瘦,巩膜轻度黄染,甲状腺一度肿大,可闻及血管杂音。双肺可闻及干湿性啰音。

第1题,共3个问题
(单选题)若T3、T4增高,该患者选用放射性碘治疗,其长、短期并发症最可能分别是()。
A:甲状腺功能减退症、甲亢危像
B:甲亢复发、放射性甲状腺炎
C:甲状腺功能减退症、放射性甲状腺炎
D:甲亢性心脏病、甲亢危像
E:以上都不是

第2题,共3个问题
(单选题)若T3、T4增高,需进行以下治疗()。
A:他巴唑+碘剂+小剂量糖皮质激素+β肾上腺受体阻滞剂
B:他巴唑+碘剂+大剂量糖皮质激素+β肾上腺受体阻滞剂
C:PTU+碘剂+大剂量糖皮质激素+利血平
D:MTU+碘剂+小剂量糖皮质激素+β肾上腺受体阻滞剂
E:PTU+碘剂+小剂量糖皮质激素+β肾上腺受体阻滞剂

第3题,共3个问题
(单选题)该患者应尽快做以下检查()。
A:痰培养
B:T3、T4
C:血培养
D:粪培养
E:rT3
女性,53岁。体形胖,平素食欲佳,近1个月饮水量逐渐增多,每日约1500ml,尿量多,空腹血糖6.7mmol/L,尿糖(+)。糖尿病综合治疗原则不包括()。
A:早期
B:长期
C:综合
D:个体化
E:大量
F:短期
患者,女,40岁。诊断为Graves病,合并妊娠2个月。治疗目标为()。
A:控制甲状腺激素水平在正常范围
B:控制甲状腺激素水平在略高于正常的范围
C:症状改善
D:体重增加
E:甲状腺肿大好转
Graves病有哪些治疗方法及其优缺点?
患者女性,34岁,既往无特殊病史,营养状况良好,无特殊服药史,近1个月常于空腹时出现心悸、出汗、手抖,进食后好转,院外查FT3、FT4、TSH正常。最可能的诊断是()。
A:心律失常
B:低血糖症
C:神经官能症
D:糖尿病
E:嗜铬细胞瘤
患者,男,48岁。心慌、纳亢4月余就诊。既往有哮喘史。体检:甲状腺一度肿大,心界向左扩大。HR124次/分,律齐,肝肋下2cm,质中,肝颈回流征(+),双下肢可有凹陷性水肿。FT3、FT4均升高,TSH0.2U/ml。

第1题,共2个问题
(单选题)下列哪项处理不正确()。
A:抗甲状腺药物加小剂量地高辛
B:抗甲状腺药物加利尿剂
C:可首选丙硫氧嘧啶
D:抗甲状腺药物加地西泮类药物
E:抗甲状腺药物加β一受体阻滞剂

第2题,共2个问题
(单选题)最完整的诊断是()。
A:甲亢
B:甲亢伴心衰
C:心衰
D:甲亢伴肺心病
E:甲亢伴哮喘
有关甲亢性心脏病的治疗下列说法正确的是()。
A:不用治疗,多观察
B:只需对症处理
C:以上都不对
D:经抗甲状腺治疗后可明显缓解
E:与一般心脏病治疗原则相同
肾上腺意外瘤
静脉点滴5%碳酸氢钠用于治疗( )
静脉点滴氯化钾用于治疗( )
A:代偿性呼吸性酸中毒
B:失代偿性呼吸性酸中毒
C:代谢性酸中毒
D:呼吸性酸中毒并代谢性酸中毒
E:利尿剂引起的代谢性酸中毒
女性,36岁,因乏力、腹胀伴四肢软瘫半月来诊。体检:神清,面红,全身皮肤较黑,多座疮,口周小须,毳毛增生。胸腹部脂肪肥厚,下腹部宽大紫纹。

第1题,共3个问题
(多选题)下列检查结果中,哪些可能出现()。
A:小剂量地塞米松抑制试验能被抑制
B:大剂量地塞米松抑制试验不能被抑制
C:血浆皮质醇分泌节律呈早高晚低变化
D:血浆ACTH浓度降低
E:ACTH兴奋试验无反应
F:CRH兴奋试验无反应

第2题,共3个问题
(多选题)可进行下列哪些检查以帮助明确诊断()。
A:小剂量地塞米松抑制试验
B:大剂量地塞米松抑制
C:血浆皮质醇分泌节律测定
D:ACTH分泌节律测定
E:ACTH兴奋试验
F:CRH兴奋试验

第3题,共3个问题
(多选题)该疾病可能存在下列哪些代谢紊乱()。
A:糖代谢异常
B:高血压
C:低钾血症
D:骨质疏松
E:代谢性碱中毒
F:肾素-血管紧张素浓度降低
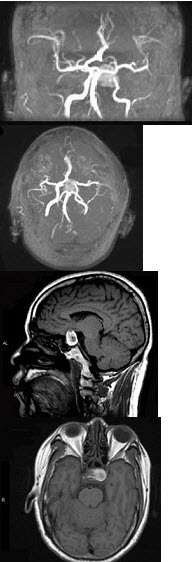
男性,55岁,头痛一年余,两个小时前突然出现剧烈头痛,MRI检查如图所示,最可能的诊断为( )
A:垂体瘤
B:脑膜瘤
C:颅咽管瘤
D:垂体瘤并卒中
E:动脉瘤
痛风就是高尿酸血症。
患者女,43岁,因“垂体瘤术后6年,双肾上腺全切术后4年,皮肤、黏膜变黑2年”来诊。患者于9年前出现头痛、视物模糊、闭经等症状,查血ACTH升高,颅脑CT示垂体瘤,行垂体瘤切除术。术后3个月后再次出现上述症状,伴血皮质醇(Cor)升高,肾上腺CT示双肾上腺增生,行“双肾上腺次全切术”。4年前再次复发行“双肾上腺全切”。之后嘱应用糖皮质激素替代治疗,但未能坚持服药。2年前出现皮肤、黏膜逐渐变黑,乳头、齿龈、甲床、瘢痕等处明显,伴反复发作的恶心、食欲减退、体重减轻、头痛等症状。查体:T35℃,P76次/min,BP100/70mmHg;齿龈、甲床、乳头及腹部手术瘢痕部位可见色素沉着。

第1题,共4个问题
(多选题)为明确诊断应进行的检查项目包括()。
A:腺垂体及肾上腺功能检查
B:垂体MRI
C:胸部X线片
D:血电解质、血糖
E:血气分析
F:腹部B超

第2题,共4个问题
(多选题)患者目前可能的诊断有()。
A:消化系统疾病
B:原发性肾上腺皮质功能减退
C:异位ACTH综合征
D:感染性脑病
E:瑞尔黑变病
F:多发性斑状色素沉着症

第3题,共4个问题
(单选题)目前此患者的最佳治疗是(提示实验室检查:ACTH250pg/ml,Cor80.04nmol/L,24h尿Cor40μg;血钠130mmol/L,钾4.2mmol/L,氯98mmol/L;空腹血糖3.6mmol/L。胸部X线片、腹部B超未见明显异常。MRI:蝶鞍形态正常。)()。
A:静脉注射氢化可的松1000mg
B:氢化可的松100mg加入10%葡萄糖氯化钠溶液静脉滴注
C:适当补充氯化钾
D:口服氢化可的松
E:严格控制食盐摄入量
F:口服葡萄糖溶液

第4题,共4个问题
(多选题)第2天病情明显好转,下一步处理包括()。
A:高碳水化合物、高蛋白质饮食
B:坚持终身皮质激素替代治疗
C:如有大汗、腹泻等情况应酌情增加食盐摄入量
D:应激时应增加皮质激素剂量
E:需做外科手术时应检查评估肾上腺皮质功能
F:病情好转后,逐渐减少用药量,直至停药

女性,35岁,近1年来反复出现清晨不易唤醒,饮糖水后可缓解,且发作逐渐频繁。



第1题,共2个问题
(单选题)其最可能的诊断为( )
A:肝癌晚期
B:胰岛素瘤
C:糖原累积病
D:腺垂体功能减退症
E:肝硬化

第2题,共2个问题
(单选题)如果血气分析报告pH值7.30,首先应检查的是( )
A:甲状旁腺素
B:尿液酸化功能
C:肝功能
D:甲状腺功能
E:免疫功能
以下情况可考虑胰岛素瘤的有()。
A:胰岛素释放指数>0.4
B:胰岛素释放指数>0.8
C:胰岛素释放修正指数>80mU/mg
D:血胰岛素原/总胰岛素>15%
E:注射胰高血糖素5min后血清胰岛素升高(160mU/L以上)
糖尿病的中医分类()、()、阴阳两虚型、血瘀兼证型、阴阳欲绝型。
患者女,16岁,因“颈部增粗1个月”来诊。无怕热、多汗、心悸、消瘦等,无呼吸困难,食欲可。查体:T36.4℃,P70次/min,R16次/min,BP120/80mmHg;甲状腺Ⅱ度肿大,边界清楚,表面光滑,质软,无压痛,未闻及血管杂音;HR70次/min,律齐,各瓣膜听诊区未闻及病理性杂音;双手平伸未见细震颤。

第1题,共3个问题
(多选题)目前可进行的检查项目包括()。
A:甲状腺功能及TPOAb、TgAb测定
B:甲状腺彩超
C:尿碘测定
D:甲状腺细针穿刺细胞学检查
E:甲状腺131I摄取率
F:TRAb的检测

第2题,共3个问题
(单选题)诊断考虑为(提示:甲状腺功能:FT33.1pg/ml(正常值2.3~4.2pg/ml),FT41.20ng/dl(正常值0.89~1.80ng/dl),sTSH2.30mU/L(正常值0.35~5.50mU/L),TPOAb、TgAb正常。)()。
A:Graves病
B:结节性甲状腺肿
C:单纯性甲状腺肿
D:慢性淋巴细胞性甲状腺炎
E:甲状腺功能减退症
F:亚急性甲状腺炎

第3题,共3个问题
(多选题)该患者的治疗原则为()。
A:可适当补碘
B:可试用优甲乐治疗
C:监测FT3、FT4、TSH水平
D:行甲状腺大部切除术
E:应用免疫调节剂
F:甲状腺131I治疗
下列哪项不是继发性骨质疏松的病因( )
A:Cushing综合征
B:嗜铬细胞瘤
C:甲亢
D:糖尿病
E:催乳素瘤和高泌乳素血症
女性,30岁,主因流涕、咽痛、咳嗽、发热10天,昏迷2小时急诊,患者既往有Addison病史,查体:心率114次/分,律齐,呼吸23次/分,血压75/55mmHg,双肺听诊:呼吸音粗,右下肺可闻及少许湿啰音。

第1题,共4个问题
(单选题)抢救患者最需要的治疗是()。
A:补充鲜血以升压
B:激素减量、加大抗生素用量
C:补充葡萄糖
D:补充糖皮质激素
E:补充盐水及糖皮质激素

第2题,共4个问题
(单选题)抢救成功后应告诉患者今后应注意()。
A:发热时糖皮质激素加量
B:发热时大量饮水
C:低糖饮食
D:经常应用抗生素预防感染
E:低钠饮食

第3题,共4个问题
(单选题)该患者急需的化验检查是()。
A:胸片
B:心电图
C:电解质及血糖
D:血常规
E:头颅CT

第4题,共4个问题
(单选题)该患者最可能的昏迷原因是()。
A:低血糖昏迷
B:低血压昏迷
C:肺性脑病
D:肾上腺皮质功能不全危象
E:感染性脑病
患者,女,56岁。近2d出现口周麻木、手足抽搐如助产士手,曾有一过性的神志丧失。 若血PTH减低,最可能的诊断是( )
A:甲旁减
B:原发性甲旁亢
C:氟骨症
D:肾性骨病
E:骨软化症

女性,18岁,身高160cm,体重90kg,月经明显减少。腹部可见淡红色条纹,高血压,尿糖阳性



第1题,共4个问题
(单选题)对于这个病人首先应该进行的检查是( )
A:血浆皮质醇
B:尿游离皮质醇
C:血浆皮质醇节律
D:血脂
E:OGTT

第2题,共4个问题
(单选题)患者血皮质醇增高,为了鉴别单纯性肥胖和皮质醇增多症,应进行( )
A:血浆皮质醇
B:尿游离皮质醇
C:小剂量地塞米松抑制试验
D:大剂量地塞米松抑制试验
E:尿常规

第3题,共4个问题
(单选题)如果患者小剂量地塞米松抑制试验能被抑制,诊断最大的可能为( )
A:垂体性Cushing病
B:肾上腺皮质腺瘤
C:肾上腺皮质腺癌
D:异位ACTH综合征
E:单纯性肥胖

第4题,共4个问题
(单选题)治疗应该首先进行( )
A:减肥
B:口服降糖药物
C:降血压
D:激素替代疗法
E:手术治疗