自考题库
首页
所有科目
自考历年真题
考试分类
关于本站
游客
账号设置
退出登录
注册
登录
出自:消化内科学高级职称
女性,32岁,反复腹泻3个月,近1月呈黏液脓血便,6~8次/天,伴左下腹疼痛,里急后重感。体检:T38.3℃,左下腹压痛;便培养未见致病菌生长。该疾病好发部位是()。
A:回肠
B:回盲部
C:直肠和乙状结肠
D:十二指肠降段
E:小肠
抑制胃蛋白酶、促进胃粘液分泌,促进胃粘膜细胞愈合的是( )
可能引起水钠潴留、低血钾的是( )
A:氢氧化铝凝胶
B:前列腺素E2
C:硫糖铝
D:生胃酮
E:法莫替丁
原发性腹膜炎
男性,47岁,上腹部疼痛5年,餐后半小时疼痛明显至下次餐前可缓解,近1周来节律性疼痛消失呈顽固性疼痛,腹痛放射至背部,下列哪项诊断可能性最大( )
A:幽门管溃疡
B:球后溃疡
C:复合性溃疡
D:癌性溃疡
E:穿透性溃疡
男性,43岁。肝硬化患者,近2个月发热,右肋下疼痛,肝肋下3cm,质硬轻触痛,脾肋下一指,血白细胞6.0×10
9
/L,中性粒细胞百分比60%,先后两次查AFP,分别为200μg/L和600μg/L,最大可能是()。
A:肝硬化并肝癌
B:肝硬化并肝脓肿
C:肝硬化并自发性腹膜炎
D:急性活动性肝炎
E:急性胆囊炎
关于胆道系统的生理功能,下列哪项正确( )
A:胆盐和磷脂相对增加,可形成胆固醇结石
B:肝细胞每日分泌胆汁400ml
C:胆囊的排空,收缩主要受胆囊收缩素的影响
D:胆囊每日分泌40ml粘液性物质
E:肝脏分泌胆汁后在胆囊内被浓缩2倍
关于幽门螺杆菌感染的诊断正确的是()。
A:
13
C或
14
C呼气试验是根除治疗后复查的首选方法
B:近期使用PPI或抗生素可导致血清幽门螺杆菌抗体检测呈阴性
C:使用抑酸药者应在停药至少2周后进行幽门螺杆菌感染相关检查
D:快速尿素酶试验阳性就可以进行幽门螺杆菌根除治疗
E:萎缩性胃炎可能使除血清抗体检测外的幽门螺杆菌检测方法呈现假阴性
消化性溃疡合并上消化道出血最常见于()。
A:胃体部
B:胃窦部
C:幽门管部
D:十二指肠球部
E:十二指肠球后部
患者,女,36岁。4年来上腹部隐痛伴嗳气、反酸,进食后加重。时有恶心、呕吐。服用制酸剂后症状缓解。查体:上腹部压痛。提问:HP检测方法有哪项()。
A:快速尿素酶试验
B:组织学检查
C:HP培养
D:
14
C尿素呼气试验
E:HP抗原检测
F:尿培养+药敏
化学性腹膜炎
病例摘要:女性,44岁。反复发作上腹部疼痛3年。近3日上腹绞痛,伴发热寒战,皮肤巩膜黄染。该病最可能的原因是()。
A:肿瘤
B:结石
C:蛔虫
D:炎性狭窄
E:先天畸形
自身免疫性肝炎开始激素治疗的绝对适应证是()。
A:血清AST>正常上限10倍
B:血清AST>正常上限5倍,伴γ-球蛋白>正常2倍
C:病理学有桥接样坏死或多小叶坏死
D:临床上有乏力、关节痛等症状
E:肝性脑病
妊娠期急性胰腺炎的诊断依据()。
A:腹痛
B:黄疸
C:血淀粉酶、脂肪酶增高1倍以上
D:B型超声示胰腺形态改变
E:排除其他疾病
男性,30岁,排脓血便4个月,每天10次;无发热,胃纳良好,间有腹痛;血Hb为98g/L,ESR36mm/h。查体:全腹软,无压痛、反跳痛;肝脾无肿大,未触及腹部包块。结肠镜检查:直肠、乙状结肠有多发性针尖大小的溃疡,附有脓性分泌物,粘膜弥漫性充血、水肿。最佳治疗方案为( )
A:密切随访,不需药物治疗
B:SASP 1g qid
C:SASP+糖皮质激素治疗
D:糖皮质激素治疗
E:SASP+抗生素治疗
肝脏病实验室检查最常用的是()。
A:酶活性检查
B:蛋白质检查
C:脂类检查
D:胆红素检查
E:胆汁酸检查
诊断Crohn病最有意义的病理改变是()。
A:全壁性炎症
B:裂隙样溃疡
C:非干酪性肉芽肿
D:干酪性肉芽肿
E:瘘管形成
消化性溃疡最主要的症状是()。
A:嗳气、反酸、烧心
B:恶心、呕吐
C:上腹胀
D:节律性上腹痛
E:无规律性下腹痛
急性胰腺炎轻型的基本病理变化是()。
A:胰腺肿大,水肿,分叶模糊,质脆
B:胰腺呈灰褐色,有新鲜出血区,分叶结构消失
C:形成钙皂斑
D:假性囊肿
E:胰腺腺泡萎缩,弥漫纤维化
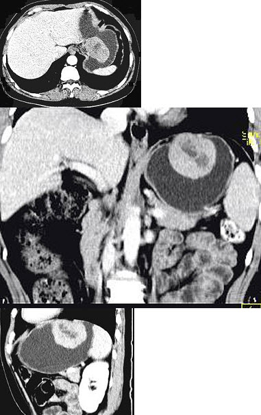
女,51岁,上腹部隐痛不适,CT检查如图,可能的诊断是( )
A:胃癌
B:胃息肉
C:胃腺瘤
D:胃溃疡
E:胃间质瘤
结核性腹膜炎病人的发热特点是( )
A:少数可呈稽留热
B:高热伴明显毒血症者多见于渗出型、干酪型
C:一半有弛张热
D:高热伴明显毒血症者可见于伴干酪样肺炎者
E:高热伴明显毒血症者可见于伴有粟粒型肺结核者
关于急性胆囊炎的临床表现,下列哪项是错误的( )
A:右上腹持续性疼痛
B:常有发热,但一般无寒战
C:多数病人有明显黄疸
D:常能触及肿大有触痛的胆囊
E:Murphy'ssign(+)
下述哪项对诊断门脉高压性腹水最有帮助()。
A:腹水颜色
B:腹水比重
C:腹水蛋白含量
D:血清-腹水白蛋白梯度(SAAG)
E:腹水细胞分类
肝硬化腹水的来源,以下哪组正确()。
A:来自腹腔毛细血管
B:来自肝包膜下淋巴管
C:来自肝门部淋巴管
D:来自肝小叶汇管区毛细血管
E:来自腹膜
下列哪项血清学检查对肝硬化的肝功能损害程度判断最有意义( )
A:谷丙转氨酶
B:谷草转氨酶
C:碱性磷酸酶
D:单氨氧化酶
E:白蛋白/球蛋白比例
女性,56岁,因上腹部不适,腹胀,纳差,反酸,嗳气,行胃镜检查,镜下所见,胃粘膜红白相间,粘膜下毛细血管透见,幽门口可见大量胆汁反流入胃腔,选用以下哪种药物治疗最适宜( )
A:甲氰咪胍
B:胃舒平
C:生胃酮
D:多潘立酮
E:山莨菪碱(654-2)
正常1ES的静息压是( )
A:10~20mmHg
B:20~30mmHg
C:10~30mmHg
D:20~40mmHg
E:10~40mmHg
男性,36岁,12小时前工作中突然出现右上腹痛,继之出现豆油色尿,半小时前出现上腹痛向腰背部放射,俯首弯腰可减轻腹痛,血压120/80mmHg,呼吸18次/分列治疗措施不合适的是()。
A:禁食
B:胃肠减压
C:肌注阿托品止痛
D:及早应用肾上腺糖皮质激素
E:奥美拉唑静脉滴注
患者,男性,60岁,间断腹痛、腹胀20余年,加重3个月,大便4-5次/d,不成形。纳差,体重下降5kg(1个月)。化验便潜血(+)。血Hb104g/L,左侧腹部可扪及包块。若诊断为结肠癌,目前尚无远处转移,最佳的治疗方法为()。
A:化疗
B:放疗
C:对症及支持治疗
D:根治性手术+放疗
E:根治性手术+化疗
F:中医治疗
引起胰性霍乱又称“血管活性肠肽瘤”(Vipoma)的是()。
A:胰羧基肽作用
B:胃泌素分泌过高与胰岛泌素瘤有密切关系
C:胰岛D细胞分泌ViP
D:胰岛嗜银细胞分泌P物质过多
E:胰岛素缺乏,胰高血糖素作用
幽门螺杆菌是十二指肠溃疡发病的一个次要因素
首页
<上一页
124
125
126
127
128
下一页>
尾页