自考题库
首页
所有科目
自考历年真题
考试分类
关于本站
游客
账号设置
退出登录
注册
登录
出自:眼科高级职称
男性,9岁,3岁发现内斜视,第一眼位:33cm:裸眼:+55
△
,戴镜:+30
△
,5m:裸眼:+50
△
,戴镜:+25
△
,验光后配戴中度远视眼镜。 该病例剩余的内斜度应()
A:配戴过矫眼镜
B:手术矫正
C:缩瞳剂点眼
D:散瞳剂点眼
E:门诊观察
角结膜皮样瘤来源于( )
A:胚胎粘膜细胞
B:结膜杯状细胞
C:角膜上皮细胞
D:胚胎性皮肤
E:结膜上皮细胞
主要潜伏在三叉神经节感觉神经细胞内,主要引起生殖器以外的皮肤及黏膜感染的病毒是()
A:单纯疱疹病毒Ⅰ型(HS1-Ⅰ型)
B:单纯疱疹病毒Ⅱ型(HS1-Ⅱ型)
C:巨细胞病毒
D:腺病毒
E:柯萨奇病毒A24
调节性内斜视的病理机制如何?
某中学生,15岁。经骨髓穿刺检查诊断为"急性淋巴细胞白血病",给以常规治疗,症状无缓解。医生告诉家长,此病目前尚无理想的治疗方法,医院正在尝试使用一种疗效不肯定、有一定风险的药物。其家长表示愿意做这种试验性治疗。但没有履行书面承诺手续。治疗二天后,病人病重,抢救无效,死亡。此后,家属否认曾同意这种治疗方案,称是"拿病人做试验",要追究医生责任,于是造成医疗纠纷。
第1题,共2个问题
(单选题)就本案分析,医生做出选择的伦理依据是()
A:研究目的是正确的
B:符合知情同意的原则
C:符合受试者利益的原则
D:治疗期间,医生是积极负责的
E:以上各点都符合临床医学研究原则,没有错误
第2题,共2个问题
(单选题)病人家属称本案是“拿病人作试验”并告上法庭,理由如下,但其真实的思想是()
A:家长没有书面承诺,说明对该方案有保留意见
B:抢救不够及时,拖延了时间
C:家长没签字,医生必须承担患儿死亡的责任
D:要求减免住院费用
E:医生所做的试验缺乏临床数据积累
总是严格分布在眼球的水平径线上的动脉是()
A:睫状后短动脉
B:睫状后长动脉
C:睫状前动脉
D:睫状前短动脉
E:肌动脉
外伤性眼内炎
出现青光眼术后浅前房的情况是( )
A:患眼原本前房就解剖性浅
B:晶状体水肿
C:滤过过强或脉络膜脱离
D:闭角型青光眼术后瞳孔阻滞未解除
E:睫状环阻滞
患儿女,12岁,双眼反复红痛、关节疼痛3年,右眼视力下降2年。眼科检查:Vod0.08,Vos0.7,右眼结膜轻度充血,睑裂区角膜边缘部在前强性层出现细点状灰白色钙质沉着,该病在儿童最常见的病因为()
A:甲状旁腺亢进症
B:维生素D中毒
C:慢性葡萄膜炎
D:角膜基质炎
E:先天性青光眼
慢性滤泡性结膜炎病变主要位于()
A:上穹隆
B:上睑结膜
C:下穹隆
D:下睑结膜
E:上下睑结膜弥漫病变
病例对照研究中,调查对象应当是()
A:病例组选择怀疑患某种疾病的人,对照组选择未患该种疾病的人
B:病例组为确定患某种疾病的人,对照组为怀疑患该种疾病的人
C:病例组和对照组均未确定患某种疾病
D:病例组和对照组均是患某种疾病的人
E:病例组应是确定患某种疾病的人,对照组是不患该种疾病的人
Dalen-Fuchs结节一般不出现在()
A:交感性眼炎
B:脉络膜血管瘤
C:Vogt-小柳-原田综合征
D:Behcet病
E:Fuchs综合征
虹膜根部离断,最常见的原因是( )
A:虹膜睫状体挫伤
B:睫状体剥离术后
C:房角后退
D:虹膜周边切除术后
E:先天虹膜缺损
角膜是怎样维持透明性的( )
A:角膜的“脱水状态”
B:基质层胶原纤维束的规则排列
C:角膜的无血管
D:基质层松疏
E:修复后不留瘢痕
患眼视力降至眼前手动,眼底不能窥入,为下列哪种白内障的临床表现()
A:皮质性白内障的初发期
B:皮质性白内障的膨胀期
C:核性白内障
D:皮质性白内障的成熟期
E:皮质性白内障的过熟期
继发性前房积血的特点是()
A:出血量较大
B:伤后3~5天出现
C:伤后1~2周出现
D:对视力预后影响较大
E:凝血块分解凝缩致血管再破裂而形成
渐变多焦点镜片用于矫正什么屈光状态最好( )
A:散光
B:近视
C:远视
D:老视
E:正视
视神经胶质瘤和视神经脑膜瘤的鉴别,正确的是()
A:视神经胶质瘤多见于儿童,视神经脑膜瘤多见于中年女性
B:视神经胶质瘤起源于视神经胶质细胞,视神经脑膜瘤起源于硬脑膜中的蛛网膜纤维母细胞或内皮细胞
C:视神经胶质瘤多先出现眼球突出,视神经脑膜瘤多先出现视力下降
D:视神经胶质瘤不易向颅内蔓延
E:MRI视神经胶质瘤T1、T2加权均呈高信号,视神经脑膜瘤T1、T2加权均呈低信号
结核病不会累及眼部哪个组织( )
A:视网膜
B:晶状体
C:泪器
D:巩膜
E:眼睑
睑腺炎的治疗包括()
A:早期可热敷
B:不可随意挤压患部
C:切开排脓时外睑腺炎的切口与睑缘垂直
D:眼睑局部和结膜囊涂抗生素眼膏
E:脓肿未形成可切开排脓
鳄鱼泪多见于()
A:Bell’s麻痹面神经不全修复
B:Riley-Day综合征
C:急性泪腺炎
D:头孢类药物
E:慢性泪囊炎
患者女性,60岁,糖尿病史。心电图如图5-27所示,应考虑为()
A:窦性停搏,交界性逸搏心律
B:急性心肌梗死(超急性期)
C:高血钾,窦室传导
D:急性心内膜下心肌缺血
E:三度房室传导阻滞,交界性逸搏心律
视网膜上视觉最敏锐的部位是()
A:黄斑中心凹
B:视盘
C:锯齿缘
D:色素上皮
E:以上均是
角膜异物剔除后1天,患者有畏光、流泪、视力下降,结膜混合性充血,角膜表面有黄白色病灶,前房积脓。
第1题,共2个问题
(单选题)最可能的诊断是( )
A:匍行性角膜溃疡
B:蚕食性角膜溃疡
C:铜绿假单胞菌(绿脓杆菌)性角膜溃疡
D:真菌性角膜溃疡
E:病毒性角膜溃疡
第2题,共2个问题
(单选题)其最佳治疗药物为( )
A:氧氟沙星(泰利必妥)滴眼液
B:两性霉素滴眼液
C:利巴韦林(病毒唑)滴眼液
D:硼酸滴眼液
E:地塞米松滴眼液
角巩膜缘的解剖特点()
A:是角膜和巩膜的移行区
B:在眼球表面和组织学上没有一条明确的分界线
C:是许多内眼手术切口的标志部位
D:是前房角及房水引流系统的所在部位
E:以上全错
沙眼导致睑内翻及倒睫,哪种说法
不正确
()
A:睫毛根部瘢痕形成
B:睑结膜瘢痕收缩
C:睑板肥厚变形
D:Muller肌作用减弱
E:最常见的合并症
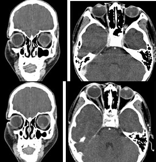
女性,46岁,自述左眼视物不清约三个月,CT扫描如图所示,请选择正确的描述或答案( )
A:双侧眼球未见病变
B:左侧玻璃体内偏后方见絮状高密度影
C:双侧眼环形态密度正常
D:考虑视网膜脱离
E:考虑玻璃体内出血
泡性结膜炎是( )
A:变态反应性疾病
B:传染性眼病
C:只发生于春季的
D:感染性眼病
E:无自限性眼病
间接光反射
人工晶状体植入术后早期常见的并发症包括()
A:角膜水肿
B:眼球萎缩
C:前房变浅或消失
D:继发性青光眼
E:色素膜炎
首页
<上一页
123
124
125
126
127
下一页>
尾页