自考题库
首页
所有科目
自考历年真题
考试分类
关于本站
游客
账号设置
退出登录
注册
登录
出自:骨外科高级职称
患者男,28岁。不慎从高处跌落,1h后急送医院。查体:神清,腹痛,右股部畸形疼痛。若患者的一般情况尚可,进一步的处理应是()
A:行下肢手术
B:密切观察患者腹部情况及全身情况变化
C:行剖腹探查术
D:密切观察病情的同时对右下肢进行简单的外固定
E:探查腘动脉是否损伤,以便修复
男性,30岁。桡骨茎突部狭窄性腱鞘炎松解术后,仍诉持续性疼痛,并不断加重,伴有切口远侧感觉迟钝,叩诊瘢痕较痛。根据患者情况,考虑可能存在的情况是()
A:桡神经感觉支神经瘤
B:拇长伸肌的一个副支仍未松解
C:顽固性腱鞘炎,需进一步固定解决
D:反射性交感神经营养障碍,或上肢营养障碍综合征
E:局部有感染性炎症
40岁女性患者,5年前无明显诱因逐渐出现双手指关节及手腕关节肿胀、疼痛,晨起时活动不灵活,1小时后可缓解,近一年来出现手变形。查体:双侧指间关节肿大,压痛明显,X线检查见指间关节间隙狭窄,软骨下骨囊样变;实验室检查类风湿因子阴性,血沉15mm/h。试述诊断及治疗原则。
胫骨骨折常出现开放性骨折和粉碎性骨折,其主要原因是( )
A:胫骨在解剖上多有变异
B:胫骨的脆性较大
C:暴力间接通过腓骨传导
D:因腓骨细小,缺乏对胫骨的支持
E:暴力多是直接的且局部软组织少
双侧耻骨上、下支骨折,无明显移位,最理想的治疗方法是()
A:蛙式石膏固定
B:卧床休息
C:骨盆悬吊牵引
D:切开复位
E:手法复位骨盆外支架固定
男性,53岁,轮椅推入门诊,主诉无明显诱因出现右手拇指及食指麻木、下肢无力、行走不稳1年,加重3周。查体发现下肢肌张力增高,锥体束征阳性锥体束征
不包括
下列哪项()
A:Hoffman征
B:下肢肌张力增高
C:Oppenheim征
D:Gorden征
E:Kernig征
判断脊柱骨折脱位是否并发脊髓损伤,最重要的检查是()
A:X线检查
B:CT检查
C:MRI检查
D:神经系统检查
E:神经电生理检查
胫腓骨骨折的主要并发症有哪些?
关于化脓性关节炎,下列哪几项是正确的( )
A:本病好发于髋、膝关节
B:本病多见于成人
C:金黄葡萄球菌是最常见的致病菌
D:可以并发纤维性或骨性强直
E:细菌多数是经血液循环进入关节
青年患者,右手拇指指端缺损,并有骨质外露处理应选择()
A:缩短指骨,缝合皮肤
B:皮瓣移植
C:游离植皮
D:清创包扎待生长肉芽后游离植皮
E:指骨短缩后游离植皮
关于颈、腰段的活动范围,下列错误的是()
A:颈椎前屈后伸均为35°
B:颈椎左右侧屈均为30°
C:腰椎前屈45°
D:腰椎后伸35°
E:腰椎左右侧屈均为30°
男性,30岁,从事驾驶员工作5年,近2年反复发作腰痛,放射到右足跟部,腰椎CT提示腰骶椎间盘突出,突向右后方,压迫神经根。以下体征哪项与该诊断不符( )
A:腰骶棘突间压痛,向右下肢放射
B:右下肢直腿抬高试验及加强试验阳性
C:右足外侧外踝部皮肤感觉减退
D:右膝反射明显减弱
E:右趾背伸肌力下降
青枝骨折的体征最主要的是()
A:患肢功能丧失
B:骨擦音
C:反常活动
D:局部肿胀和淤斑
E:局部压缩和间接压缩
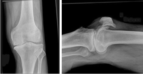
男,76岁,左膝关节长久站立时疼痛,可捫及捏发音,请结合图像,选出最可能的诊断
A:退行性骨关节病
B:畸形性骨炎
C:神经性关节病
D:创伤性关节炎
E:肥大性骨关节病
肱骨髁上骨折向尺侧侧方移位未能矫正时,最常见的后遗症()
A:肘关节后脱位
B:尺神经损伤
C:肘内翻畸形
D:肘关节前脱位
E:前臂缺血性肌挛缩
爪形手畸形提示有()
A:正中神经损伤
B:肌皮神经损伤
C:桡神经损伤
D:尺神经损伤
E:腋神经损伤
患者肱骨中段骨折已6个月,局部有异常活动,X线片对位对线良好,但仍有骨折线,骨痂极少,骨端有硬化现象,采用何种治疗为宜()
A:继续小夹板固定
B:胸肩肱石膏外固定
C:钢板内固定
D:钢板内固定+植骨
E:钢板内固定加植骨加石膏外固定
发育性髋关节脱位的病理改变主要发生在()
A:髋部的肌肉、韧带
B:髋臼、股骨头、股骨颈和关节囊
C:髋部的神经、血管
D:骨盆
E:脊柱
患者,男,55岁,右颈肩痛3年,伴右手麻5个月。查体颈椎生理弧度消失,颈5~6棘突间压痛,右颈肩部肌肉紧张,右手掌桡侧皮肤感觉减退,右肱二头肌反射亢进,霍夫曼征(+),诊断为颈椎病。在颈椎病的诊断中,以下哪一条是可靠的依据()
A:颈肩部疼痛
B:X线片示有骨刺
C:患侧霍夫曼征(+)
D:手指麻木
E:颈部活动受限
泌尿系感染是脊髓损伤的一个严重并发症,有关脊髓损伤后并发泌尿系感染,以下叙述正确的是()
A:尿潴留是膀胱感染的重要原因
B:导尿特别是留置导尿易导致膀胱感染
C:反复的膀胱感染,可发生肾积水与肾功能损害
D:发生膀胱感染后除应用有效抗生素外,须立即改留置导尿为间歇导尿
E:脊髓损伤患者的膀胱感染一般无发热,仅表现为白细胞增多,尿常规的异常
Monteggia骨折( )
Galeazzi骨折( )
A:尺骨上1/3骨折合并桡骨小头脱位
B:尺骨下1/3骨折合并桡骨小头脱位
C:桡骨下1/3骨折合并尺骨小头脱位
D:桡骨上1/3骨折合并尺骨小头脱位
E:尺、桡骨中段骨折
20岁女性,因参加劳动一周后,右肘关节痛。活动用力后加重,右肘外侧压痛,右肘伸肌腱牵拉试验(Mill试验)(+),皮肤无红肿,首选诊断是()
A:肘关节结核
B:肘关节疲劳骨折
C:肱骨外上髁炎
D:右肘外侧副韧带损伤
E:桡神经损伤
试述伸直型和屈曲型肱骨髁上骨折区别。
腓总神经在腓骨小头处位置表浅,易于损伤,关于其叙述下列说法错误的是()
A:上石膏或夹板前,要在腓骨小头处加垫保护,防止压迫损伤
B:同桡神经一样,腓总神经也分成二支,腓浅神经(感觉支)与腓深神经(运动支)
C:损伤后表现为足下垂内翻,走路呈跨阈步态
D:感觉障碍位于小腿外侧与足背
E:对于腓总神经的压迫伤可先观察一段时间,视恢复情况再决定下一步的治疗
28岁男性患者,2天前因车祸致左上肢疼痛,X线检查示左肱骨中下1/3骨折,查体垂腕垂指畸形,应采取哪种治疗( )
A:复位后夹板固定
B:复位后石膏固定
C:手术切开复位,内固定
D:牵引治疗
E:手法复位后,夹板或石膏固定观察2~3个月,伸腕伸指不见恢复,再手术治疗
颈椎病的鉴别诊断中,肩周炎不可能出现()
A:三角肌萎缩
B:斜方肌痉挛
C:肩痛及上臂痛
D:前臂和手疼痛
E:大范围活动时,疼痛加剧
2~3岁儿童,肌性斜颈的治疗可选()
A:局部热敷,按摩
B:手法牵引,头部扳正
C:切断胸锁乳突肌胸骨头和锁骨头
D:重症者可以切除胸锁乳突肌
E:胸锁乳突肌和斜方肌部分切除
患者,男,75岁,前列腺癌术后4个月,腰背部痛1个月,加剧3天,各方面示前列腺癌骨转移,在血液化验中哪一点最支持诊断()
A:血中白细胞计数升高
B:血沉加快
C:尿本周蛋白(+)
D:血中碱性磷酸酶升高
E:血中酸性磷酸酶升高
石膏绷带固定的优点是固定作用确实可靠,可维持较长时间,便于及早进行功能锻炼。( )
脊柱外伤造成脊髓休克,是由于( )
A:因脊髓受血肿等压迫
B:骨折片刺入脊髓
C:脊髓神经细胞遭受震荡,产生暂时性功能抑制,发生传导障碍
D:外伤后脊髓神经细胞遭到破坏
E:脊髓上、下行传导束断裂
首页
<上一页
121
122
123
124
125
下一页>
尾页