出自:内分泌学高级职称

女,35岁,已婚,闭经1年伴溢乳,性欲减退半年,阴道分泌物减少,但无寒战、头痛、腹痛、水肿、视力障碍。既往体健,上环避孕8年。查体:T6℃,P81次/分,R23次/分,BP112/70mmHg,神志清楚,无水肿征,头颅五官无异常,双乳对称,无肿块及压痛,挤压双乳头有白色分泌物流出,量不多,心肺叩听无异常,腹平软,肝脾不大,无压痛,神经系统未引出病理征。辅助检查:三大常规、肝肾功能、电解质、心电图、胸片均无异常,头颅CT正常,垂体MRI见垂体柄向左偏斜,垂体向右侧有一小类圆形的信号灶,血FT7.2mmol/L,FT18.4mmol/L,TSH4.2mIU/L,PRL315μg/L,LH12IU/L,FSH9IU/L,E294pg/L,T29ng/L。请分析:(1)请作出初步诊断并写出诊断依据。(2)应该与哪些疾病做鉴别。(3)尚需完善哪些检查?(4)治疗原则是什么?
下列疾患中,何者血中的ACTH增加( )
A:席汉综合征
B:肾上腺皮质腺瘤引起的库欣综合征
C:原发性醛固酮增多症
D:Addison病
E:肢端肥大症
临床上轻型库欣综合征,MRI检查无明确垂体腺瘤的病人,可先采用的治疗方法是( )
A:口服赛庚啶 
B:双侧肾上腺切除 
C:一侧肾上腺大部分切除,另一侧全部切除 
D:垂体放疗 
E:垂体部分切除
患者,男,16岁,近半年来多尿,多饮,查空腹血糖16mmol/L,酮体(+)。查体:身高1.70m,体重50kg,心、肺、腹检查无明显异常。 全天热卡摄入应为( )
A:1500~1800cal
B:1800~2000cal
C:2100~2500cal
D:2500~2700cal
E:以上都不是
地方性甲状腺肿是碘缺乏病(IDD)的主要表现之一。
产后大出血患者引起垂体功能减退症最早的症状是( )
A:闭经
B:性欲减退
C:无乳
D:性腺萎缩
E:生育能力丧失
下列哪些疾病可引起高血压( )
A:肢端肥大症
B:嗜铬细胞瘤
C:原醛症
D:皮质醇增多症
E:催乳素瘤
正常人口服葡萄糖后多长时间血浆胰岛素达到高峰()。
A:90分钟
B:120分钟
C:150分钟
D:30分钟
E:60分钟

患者,男,50岁。突然发作右足关节肿痛,活动受限。体检发现右足母趾的跖趾关节明显红肿、有压痛。查血尿酸水平明显增高。



第1题,共3个问题
(单选题)诊断考虑( )
A:风湿热
B:老年性关节炎
C:类风湿关节炎
D:痛风
E:化脓性关节炎

第2题,共3个问题
(单选题)该患者目前处于该疾病的哪一个阶段( )
A:无症状期
B:急性关节炎期
C:间歇期
D:慢性关节炎期
E:慢性肾病期

第3题,共3个问题
(单选题)能迅速缓解症状的特效药是( )
A:秋水仙碱
B:抗生素
C:糖皮质激素
D:别嘌醇
E:利尿剂
类固醇激素发挥作用是( )
A:通过与细胞膜受体结合
B:通过蛋白激酶C(PKC)
C:通过C蛋白
D:通过与细胞核受体结合
E:通过脱氧葡萄糖(DG)
甲旁减的治疗下列哪项正确( )
A:宜进高钙、低磷饮食,如多食乳制品、蛋黄和肉类食物 
B:枸橼酸钙不适于高尿钙患者,可增加肾结石发生率 
C:采用活性维生素D和补钙,使血清钙保持在2.1~2.25mmol/L之间 
D:首选葡萄糖酸钙 
E:噻嗪类药物应避免使用 
与甲状旁腺功能减退症相关的原因有( )
A:PTH生成减少 
B:PTH破坏增多 
C:PTH分泌受抑制 
D:PTH作用受阻 
E:维生素D缺乏 
腺垂体功能减退症采用_______治疗能取得满意的效果。
男性,46岁。口渴、多饮、消瘦3个月,突发昏迷2日。血糖41mmol/L,血钠132mmol/L,血钾4.0mmol/L,尿素氮9.8mmol/L,COCP18.3mmol/L,尿糖、尿酮(+++)。 该患者最可能的诊断是( )
A:高渗性昏迷
B:糖尿病酮症酸中毒
C:糖尿病合并脑血管意外
D:糖尿病乳酸性酸中毒
E:应激性高血糖
早期诊断肢端肥大症的最可靠方法是( )
A:测定血浆生长激素水平
B:蝶鞍X线摄片
C:头颅CT扫描
D:胰岛素低血糖试验
E:口服葡萄糖抑制试验
男性,46岁,烦渴、多饮、多尿、消瘦4年,既往6年前因尿常规检查发现镜下血尿,病理诊断为慢性肾小球肾炎,未特殊治疗。无糖尿病家族史,BMI24.6mmol/L。查空腹血糖6.7mmol/L,HbAlc6.6%,肝、肾功能正常。尿常规检查:红细胞20/HP,尿糖>55mmol/L 此例病人OGTT结果为:空腹及口服75g葡萄糖后30分钟、1小时、2小时、3小时的血糖(mmol/L)分别为:6.1,7.9,7.2。尿糖(++),(+++)(++++)(+++)(++),复查HbAlc6.6%。对此例患者诊断最全面的是( )
A:目前OGTT正常
B:目前属空腹血糖受损,需要定期复查
C:目前可以诊断糖尿病
D:目前可以诊断IGT
E:空腹血糖受损并肾糖阈降低
糖尿病的高血糖是由于( )
A:胰岛素分泌缺陷
B:胰岛素作用缺陷
C:糖异生增加
D:可兼有A、B两个因素
E:可兼有A、C两个因素
MODY是指( )
A:线粒体tRNALeu(UUR)基因突变糖尿病
B:青年人中的成年发病型糖尿病
C:妊娠期糖尿病
D:空腹血糖过高
E:葡萄糖耐量减低
不属于MEN1的特征性组分的疾病是()。
A:甲状腺功能亢进症
B:垂体瘤
C:胃泌素瘤
D:甲状旁腺功能亢进症
E:胰岛素瘤
患者女,24岁,因“疲乏伴记忆力减退1年”来诊。1年来患者自觉容易疲乏,活动耐力下降,记忆力较前明显下降,怕冷。3年前患甲状腺功能亢进,经他人介绍服用一杯药水(具体不详)后好转。

第1题,共6个问题
(单选题)对于典型原发性甲状腺功能减退症患者,下列实验室检查结果错误的是()。
A:FT3下降
B:FT4下降
C:TSH下降
D:TSH上升
E:rT3下降

第2题,共6个问题
(单选题)对于甲状腺功能减退患者,实验室检查很少出现的异常是()。
A:低胡萝卜素血症
B:贫血
C:血清三酰甘油升高
D:血清LDL-C升高
E:血清LDH升高

第3题,共6个问题
(单选题)对于甲状腺功能减退患者,很少出现的临床表现是()。
A:表情淡漠
B:皮肤干燥
C:泌乳
D:眉毛浓密
E:食欲减退

第4题,共6个问题
(单选题)甲状腺功能减退症的替代治疗,一般可以考虑选用()。
A:他吧唑
B:丙基硫氧嘧啶
C:L-T3
D:L-T4
E:泼尼松

第5题,共6个问题
(单选题)该患者的诊断目前考虑可能性最大的是()。
A:Sheehan综合征
B:继发性甲状腺功能减退症
C:原发性甲状腺功能亢进症
D:继发性甲状腺功能亢进症
E:原发性甲状腺功能减退症

第6题,共6个问题
(单选题)鉴别甲状腺功能减退症和低T3、T4综合征,最有价值的检查是()。
A:TT3
B:FT3
C:FT4
D:TSH
E:rT3
关于糖尿病的治疗,叙述正确的有()。
A:部分病情较轻者饮食和运动治疗即可平稳控制血糖
B:有并发症者不用饮食治疗,关键是注射胰岛素
C:用药治疗时,可不用饮食治疗
D:饮食和锻炼是控制血糖达标的基础疗法
E:肥胖者宜低糖、高蛋白质饮食
患者男,46岁,因“乏力、食欲减退3个月,检查发现低钠血症1d”来诊。既往体健,无吸烟史。查体:BP135/90mmHg;HR80次/min,律齐,各瓣膜区未闻及杂音;双手示指呈杵状指,双下肢无水肿。目前最可能的诊断包括(提示实验室检查:血钠112mmol/L;尿液渗透压150mmol/L;ACTH和血皮质醇水平升高,且节律消失,不能被大剂量地塞米松抑制试验所抑制。垂体CT:未见明确异常。经支气管镜活检:小细胞肺癌。)()。
A:肺癌
B:伴抗利尿激素分泌不当综合征(SIADH)
C:库欣病
D:间质性肾炎
E:伴异位ACTH分泌综合征
F:肾上腺皮质功能不全
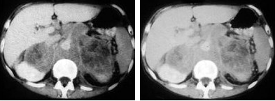
男,76岁,全身浅表淋巴结肿大,请结合下列图片作出诊断( )
A:肾上腺腺瘤
B:肾上腺癌
C:肾上腺嗜铬细胞瘤
D:肾上腺转移瘤
E:肾上腺淋巴瘤
有关糖尿病酮症酸中毒的治疗原则,错误的是()。
A:应用小剂量胰岛素缓缓降低血糖
B:立即补液迅速纠正失水
C:尽早用碱性药迅速纠正酸中毒
D:于治疗开始2~6小时后考虑补钾
E:积极治疗诱因
甲状腺功能减退症的最常见原因是( )
A:自身免疫损伤
B:甲状腺破坏
C:碘缺乏
D:碘过量
E:抗甲状腺药物
治疗甲亢时遇下列何种情况不宜加用甲状腺片()。
A:抗甲状腺药物治疗后甲状腺继续增大
B:浸润性突眼
C:妊娠期甲亢
D:甲亢心脏病
E:哺乳期甲亢
Addison病是指__________。病因主要有_______和_______。最具诊断价值试验为______。
痛风发作时导致过饱和的血尿酸浓度一般超过( )
A:416.2mmol/L
B:416.2μmol/L
C:416.2nmol/L
D:416.2pmol/L
E:416.2mol/L
患者,男,48岁。心慌、纳亢4月余就诊。既往有哮喘史。体检:甲状腺一度肿大,心界向左扩大。HR124次/分,律齐,肝肋下2cm,质中,肝颈回流征(+),双下肢可有凹陷性水肿。FT、FT均升高,TSH0.2U/ml。 下列哪项处理不正确( )
A:抗甲状腺药物加小剂量地高辛
B:抗甲状腺药物加利尿剂
C:可首选丙硫氧嘧啶
D:抗甲状腺药物加地西泮类药物
E:抗甲状腺药物加β一受体阻滞剂
患者,女,28岁,未婚。心慌多汗1月余就诊。曾有哮喘史。体检:甲状腺二度肿大,双上极可闻及血管杂音,HR120次/分,T33.2ng/ml,T4196ng/ml。吸碘率:3h39%、24小时92%。

第1题,共3个问题
(单选题)在抢救甲状腺功能亢进危像时应首选()。
A:甲巯咪唑
B:丙硫氧嘧啶
C:糖皮质激素
D:复方碘液
E:大量普萘洛尔

第2题,共3个问题
(单选题)患者在入院后坐立不安,大汗,高热,HR145次/分,此时最可能的诊断是()。
A:甲亢伴心衰
B:甲亢伴感染
C:甲亢危像
D:甲亢伴躁狂
E:甲亢

第3题,共3个问题
(单选题)治疗方案应该选择()。
A:甲巯咪唑加普萘洛尔
B:丙硫氧嘧啶加普萘洛尔
C:甲巯咪唑加地西泮
D:131I治疗
E:充分手术前准备后手术治疗