出自:神经外科学高级职称

腰椎管狭窄的常见病因有()
A:发育性腰椎管狭窄
B:退变性腰椎管狭窄
C:脊柱滑脱性腰椎管狭窄
D:外伤性椎管狭窄
E:血管性椎管狭窄

八岁男孩,以头痛为首发症状,伴有呕吐、头晕及强迫头位。进而出现平衡障碍、步态不稳和共济失调等症状。



第1题,共1个问题
(单选题)患者进一步行MRI检查,并行手术治疗,术后病理提示为室管膜瘤。关于该病不正确的是( )
A:室管膜瘤起源于室管膜
B:位于第四脑室内肿瘤因易阻塞脑脊液循环,产生颅内高压症状较早
C:肿瘤增大累及小脑蚓部或半球时,可出现平衡障碍、步态不稳和共济失调等症状
D:当肿瘤压迫脑干或脑神经时,可出现相应的脑神经障碍
E:不会出现肿瘤细胞种植转移
颅内压增高时颅内压的调节主要通过以下的()。
A:脑血管的自动调节
B:脑血流量减少
C:颅腔内脑脊液量的减少
D:脑组织移位
E:颅腔容积扩大
颅内压增高患者,腰椎穿刺术释放脑脊液后,突然呼吸停止,其原因是()
A:颅内压过低
B:颞叶海马钩回疝
C:脑室系统出血
D:小脑扁桃体疝
E:脑血管意外
男,64岁,3个月前不慎滑倒,头部碰撞门槛,当时无明显不适。1周前出现头痛、头昏伴记忆力减退,视力下降。近日症状加重,说话含糊不清,且出现右侧肢体麻木乏力而卧床。既往有高血压、动脉硬化史多年。疑诊脑出血或脑梗死入院治疗。查体:神清,嗜睡,血压24/13kPa(180/98mmHg),呼吸18次/分,脉搏60次/分,双瞳孔等大,语言吐词不清,双眼底视乳头边界模糊,A:V为1:3,右侧下肢锥体束征阳性。

第1题,共3个问题
(单选题)最可能的诊断是()。
A:出血性或缺血性脑血管病
B:亚急性硬膜下血肿
C:颅内肿瘤
D:迟发性脑内血肿
E:慢性硬脑膜下血肿

第2题,共3个问题
(单选题)正确的处理措施是()。
A:颅骨锥孔穿刺抽吸
B:颅骨钻孔穿刺抽吸
C:颅骨钻孔冲洗引流
D:开颅探查清除积血
E:大剂量高渗性利尿脱水剂治疗

第3题,共3个问题
(单选题)首选的检查是()。
A:脑血管造影
B:脑电图
C:脑室造影
D:头颅X线平片
E:MRI或CT
属于锥体外系的结构有( )
A:胶状质
B:动眼神经核
C:海马
D:纹状体
E:上丘脑
头皮裂伤的特点是()
A:伤口常呈哆开
B:出血较剧烈
C:部分裂伤反较全层裂伤出血多
D:抗感染能力强
E:以上均不对
对脑动脉瘤的预后主要根据为()。
A:意识障碍程度
B:脑压上升程度
C:脑动脉瘤的大小
D:有无偏瘫
E:脑动脉瘤的多少
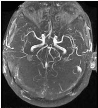
男,35岁,头痛半年加重1周,左侧肢体无力,影像检查如图所示,最可能的诊断为()
A:脑血管畸形
B:脑梗死
C:脑出血
D:脑炎
E:脑静脉性血栓
关于小脑扁桃体的描述,正确的是( )
A:为淋巴组织
B:位于小脑幕切迹处
C:颅内压增高时可能形成小脑幕切迹疝
D:属前庭小脑
E:邻近枕骨大孔处
脑囊虫病的感染途径()。
A:内在自身感染
B:外在自身感染
C:外来感染
D:呼吸感染
E:内在自身感染,外在自身感染及外来感染
颅内允许增加的临界容积一般约为()
A:1%
B:3%
C:5%
D:8%
E:10%
患者女性,55岁。3个月前出现头晕,尚能耐受,无视物旋转,无耳鸣及听力下降,头晕与体位变化无关,症状呈进行性加重。既往身体健康,无高血压、糖尿病病史。查体未见明显神经系统阳性体征。颅脑CT:左侧CPA区占位性病变,病变外形不规则,沿脑池“塑形”生长,病变呈水样,密度不均。 下一步应首先建议进行的检查是()
A:腰椎穿刺
B:脑血管造影
C:听觉诱发电位
D:颅脑MRI
E:脑电图
脊柱裂并发脊髓栓系综合征是,MRI检查可见脊髓圆锥下移,终丝变粗,横径在1mm以上。( )
以下属于颅内压增高时形成脑疝的主要原因的是()。
A:脑脊液循环通路受阻
B:颅腔内压力梯度明显改变
C:脑细胞水肿
D:脑组织体积增大
E:脑干受压
男性,49岁,"左侧肢体无力、头晕2个月"入院。入院时意识清,行颅脑MRI检查提示右颞顶占位,中线移位不显著。患者住院完善各项检查及术前准备中,突发头痛加重,颈强(+),左侧肢体肌力0级,意识障碍。第一步处置最重要的是()。
A:急诊行肿瘤切除
B:急诊头颅CT检查
C:增加甘露醇剂量
D:检查有无其他合并症
E:择期手术
下列关于狭颅症头颅畸形叙述不正确的是( )
A:如所有颅缝过早闭合,则形成尖头畸形
B:如矢状缝过早闭合,则形成舟状头畸形
C:如两侧冠状缝过早闭合,则形成短头畸形
D:如一侧冠状缝过早闭合,则形成斜头畸形
E:如人字缝过早闭合,则形成塔状头畸形
患者男性,35岁。因“车祸致头外伤后2小时”来诊。伤后患者双鼻有血性不凝液体流出,后变为无色清亮液体,双眼眶周围广泛淤血并伴有广泛球结膜出血。既往体健。查体:意识清、语利、精神差,一般生命体征平稳,自主睁眼,对答切题,活动从嘱,格拉斯哥昏迷指数(GCS)评分15分,双瞳孔等大正圆,光反射正常,颈软无抵抗,四肢肌力5级,双侧巴宾斯基征未引出。 为进一步明确诊断,最有效的诊断措施是()
A:颅脑X线片
B:颅底薄扫+三维重建
C:颅脑MRI
D:腰椎穿刺
E:脑池造影
对冲伤最常造成()
A:脑干损伤
B:弥漫性轴索损伤
C:硬膜下血肿
D:颞、额叶挫裂伤
E:枕叶损伤
大脑后动脉( )
A:是基底动脉发出的最后一个幕下分支
B:起始段在环池内绕中脑走行,分为大脑脚段、环池段和四叠体段
C:大脑后动脉主要分支:丘脑后穿支、脉络膜后内侧动脉、脉络膜后外侧动脉,后胼周动脉及皮层支
D:主要为枕叶供血
E:梗死后可以导致同向偏盲
临床常用的放射治疗技术有()
A:常规分次放射治疗
B:立体定向放射外科
C:分次立体定向放射治疗
D:近距离治疗
E:粒子治疗

患者女性,50岁。晨起大便时突然出现剧烈头痛、恶心、呕吐、低热及畏光症状,2小时后右侧眼睑下垂,意识蒙眬,急诊来院。



第1题,共3个问题
(单选题)采集病史时应特别注意询问()
A:头痛的部位
B:家人有无类似发作史
C:有无高血压、动脉硬化史
D:有无慢性颅内压增高,如头痛、呕吐及视力减退史
E:有无全身慢性感染病灶

第2题,共3个问题
(单选题)体检重点应是()
A:眼底
B:感觉神经系统
C:运动神经系统
D:脑膜刺激征
E:自主神经功能

第3题,共3个问题
(单选题)确诊最有价值、最安全、快捷的辅助检查是()
A:颅脑X线平片
B:颅脑B超
C:腰椎穿刺
D:颅脑CT扫描
E:TCD
男性,28岁,半年前左侧头部外伤,当时神清,左颞部头皮裂伤,经清创缝合术并用抗生素治疗,但术后伤口化脓,虽取出粉碎骨片,感染伤口一直流脓不愈至今,近1周嗜睡。感头痛不适,呕吐。该患者脑脓肿系由头皮伤口感染化脓后发生颅骨骨髓炎并播散至颅内所致,目前对于脑脓肿的正确处理措施是()。
A:继续应用大剂量广谱抗生素
B:脱水利尿降低颅内压
C:颅骨骨髓炎病灶清除术
D:病灶切除及脑脓肿切除术
E:颅骨钻孔行脑脓肿穿刺抽脓术
患者,男性,30岁,双眼视力下降伴轻度眼球转动痛5天。双眼矫正视力0.2,角膜透明,前房深浅正常,房水清,瞳孔直径约4mm,直接对光反射略迟钝,晶状体透明。眼压正常。既往病史无特殊,否认眼部、颜面部及头颅外伤史,否认高血压、糖尿病、血液病等全身病史。眼底检查:视盘边界清,颜色正常,C/D=0.2,视网膜平伏,黄斑中心凹反光可见。该患者视野检查结果可能为()
A:中心暗点
B:视野正常
C:与生理盲点相连的扇形缺损
D:生理盲点扩大
E:哑铃状暗点
关于头皮裂伤,现场急救首选措施中错误的有()
A:抗休克
B:止痛
C:安慰
D:压迫止血、包扎
E:抗感染
颅脑CT检查不利于观察()
A:早期脑梗死
B:颅内血肿
C:颅内肿瘤
D:颅骨骨折
E:颅内积气
出血性脑卒中脑出血多位于________,出血后形成的血肿可以压迫邻近脑组织,甚至导致________,危重的Ⅲ级病人主要的治疗手段是________。
当颅内压急剧增高时,病人可出现( )
A:血压升高,脉搏减慢
B:血压升高,脉搏加快
C:血压下降,脉搏减慢
D:血压下降,脉搏加快
E:血压、脉搏无变化
自发性蛛网膜下隙出血伴一侧动眼神经麻痹提示( )
A:小脑幕切迹疝
B:后交通动脉瘤
C:前交通动脉瘤
D:颈动脉海绵窦瘘
E:枕骨大孔疝
原发性颅内肿瘤