出自:消化内科学高级职称

一急性胰腺炎患者出现手足搐搦,给予静脉注射10%葡萄糖酸钙后仍未能控制,查血钙10mg/dl,应考虑存在下列哪一种情况( )
A:低血钙
B:低血钾
C:低血钠
D:酸中毒
E:低血镁
肝内直接与血浆接触的结构是()。
A:肝细胞血窦面的微绒毛
B:肝细胞通道内表面的微绒毛
C:胆小管内表面的微绒毛
D:肝血窦内皮细胞
E:肝星状细胞

男,62岁,乙型肝炎病史10年,近日出现呕血、柏油样便,继之神志恍惚来诊。检查:Bp80/50mmHg,巩膜黄染,言语不清,定向力丧失,计算能力下降,幻觉出现,睡眠时间倒错,有扑翼震颤,肌张力增高,脑电图异常,HB60g/L,血pH7.48,血清钾2.8mmol/L,血氨升高。



第1题,共4个问题
(单选题)属肝性脑病哪期( )
A:0期
B:一期
C:二期
D:三期
E:四期

第2题,共4个问题
(单选题)首先应采取的治疗为( )
A:紧急输血
B:降氨药物
C:生长抑素
D:酸化肠道
E:补钾

第3题,共4个问题
(单选题)为进一步明确出血原因应首选哪项检查( )
A:X线钡餐
B:内镜
C:选择性动脉造影
D:放射性核素
E:腹部超声

第4题,共4个问题
(单选题)如患者出现狂躁不安可给予( )
A:吗啡
B:水合氯醛
C:哌替啶
D:副醛
E:异丙嗪
女性患者,58岁。乙肝病史30年,低热伴肝区隐痛4个月。查体:肝肋下4cm,剑突下6cm,移动性浊音阴性。彩超示肝右前叶可见4cm×3cm实体性肿物,边缘不清;肝功能:TBIL30μmol/L,Alb32g/L;AFP480g/L;PT14.9秒。

第1题,共3个问题
(单选题)该患者检查肿瘤标志物,明显升高的可能性最大的是()。
A:CA199
B:CA125
C:AFP
D:CEA
E:CA724

第2题,共3个问题
(单选题)该患者目前最可能的诊断是()。
A:肝炎后肝硬化
B:肝囊肿
C:慢性肝炎
D:肝硬化并发继发性肝癌
E:肝硬化并发原发性肝癌

第3题,共3个问题
(单选题)该患者目前首选的治疗方法是()。
A:手术切除
B:TACE
C:放射治疗
D:无水酒精注射疗法
E:全身化疗
男,56岁,下腹疼痛、大便隐血阳性,结合图像应考虑为( )
A:直肠息肉
B:直肠癌
C:直肠腺瘤
D:直肠间质瘤
E:直肠淋巴瘤
女性患者,30岁。腹胀、便秘6个月,低热3个月。查体:腹软,无压痛,肠鸣活跃。X线钡透:回盲部充盈缺损。用抗酸染色法染色后,结核分枝杆菌在光学显微镜下典型形态是()。
A:紫色栅栏状排列的杆菌
B:红色的粗大杆菌
C:紫色的略带弯曲的细长杆菌
D:红色的略带弯曲的细长杆菌
E:红色的竹节状排列的杆菌
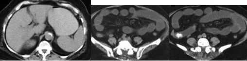
男,30岁,有胆结石病史,近日腹痛,腹胀,CT检查如图,应诊断为
A:胆石症
B:胆石性肠梗阻
C:肠结核
D:小肠克罗恩病
E:小肠淋巴瘤
结核性腹膜炎腹水的特点有( )
A:腹水量以中至大量多见
B:腹水多为草黄色
C:腹水中常可找到结核菌
D:腹水为渗出性
E:腹水结核分枝杆菌培养常有阳性结果
关于胆石症的叙述,下列哪些是正确的( )
A:遗传因素是造成各地胆石症发病率存在差异的主要原因
B:西方国家以发生在胆管的胆色素结石为主
C:胆石症的发病率随年龄增加而上升
D:在同一年龄组,男性发病率高于女性
E:生活方式和饮食因素在胆石症的发病中起作用
早期胃癌包括( )
A:粘膜内癌
B:不超过粘膜下层的癌伴淋巴结转移
C:侵及肌层的癌
D:不超过粘膜下层的癌
E:侵及浆膜层的癌
女性20岁,低热、乏力、腹胀2月,腹部B超发现少至中量腹水,为明确诊断,首选的查是( )
A:腹部CT检查
B:腹腔穿刺抽腹水检查
C:肠镜检查
D:PPD试验
E:X线钡餐检查
青年男性,空腹痛3年,近感加重,并有后背痛。体检有上腹轻压痛,辅助检查尿淀粉酶增高,患者诊断考虑为()。
A:胆囊炎合并胰腺炎
B:穿透性溃疡
C:球后溃疡
D:幽门管溃疡
E:急性胰腺炎
十二指肠溃疡患者壁细胞总数平均约为正常人的()。
A:2倍
B:3倍
C:5倍
D:8倍
E:10倍
男性,35岁。反复上腹痛伴反酸15年,疼痛于空腹时加重,饭后缓解,近来疼痛加剧,服抗酸药等不能缓解。近7天来上腹痛伴呕吐,呕吐有酸臭味。下列哪项不符合该患者实际情况()。
A:可闻及振水音
B:呕吐物中有食物和胆汁
C:可见胃型及蠕动波
D:呕吐物中有宿食
E:可出现低氯低钾性碱中毒
主要作用机制是减少肠蠕动的药物是()。
A:消旋卡多曲
B:蒙脱石
C:鞣酸蛋白
D:氢氧化铝凝胶
E:地芬诺酯
患者,男性,28岁。十二指肠球溃疡史5年,突感上腹剧痛5小时,继之全腹痛,大汗淋漓。查体:全腹压痛及反跳痛,似有溃疡穿孔可能。提示:膈下游离气体提问:考虑出现了()。
A:穿孔
B:幽门梗阻
C:溃疡恶变
D:出血
E:腹膜炎
急性出血型胰腺炎和急性水肿型胰腺炎实验室检查中最主要的鉴别是()。
A:血清淀粉酶升高
B:血清脂肪酶减少
C:血白细胞升高
D:高铁血红蛋白阳性
E:以上都不是
不符合肝癌的描述是( )
A:常合并肝硬化
B:易发生肝内播散
C:可引起腹腔大出血
D:中晚期肝癌预后差
E:不发生淋巴道转移
口服胆囊造影术可( )
经皮肝穿刺胆道造影术可( )
内镜胰胆管造影( )
A:反映胆囊浓缩和收缩功能
B:主要了解肝内毛细胆管病变
C:明确梗阻性黄疸的原因和部位
D:明确肝内病变的范围和性质
E:同时了解胆道和胰管的情况
患者男性,45岁,肝硬化病史3年,查体有少量腹腔积液,患者应用利尿剂,宜首选()。
A:利尿酸钠
B:螺内酯(安体舒通)
C:甘露醇
D:双气克尿噻
E:速尿
慢性胰腺炎依病理变化可分为_________、___________、___________。
消化性溃疡常见的并发症是()。
A:出血
B:胃黏膜脱垂
C:幽门梗阻
D:反流性食管炎
E:胃癌
肝硬化失代偿期病人出现贫血的原因有______________________,______________________,__________________________,____________________________。

男,45岁,左下腹胀痛、脓血便2个月,伴大便变细。查体无异常。



第1题,共3个问题
(单选题)此时首选的检查是( )
A:直肠指诊
B:乙状结肠
C:全结肠镜
D:X线钡灌肠
E:X线全程钡餐

第2题,共3个问题
(单选题)下列诊断可能性最小的是( )
A:急性出血性坏死性小肠炎
B:细菌性痢疾
C:溃疡性结肠炎
D:阿米巴痢疾
E:大肠癌

第3题,共3个问题
(单选题)下列哪项检查有助于确诊( )
A:大便常规
B:X线钡餐
C:B超检查
D:X线钡灌肠
E:结肠镜检查
男性,49岁,3年前诊断为乙型肝炎肝硬化,每半年做一次B超检查,近日发现肝右叶3cm×3cm肿物有光晕,AFP阴性,最可能的诊断为()。
A:结节性肝硬化
B:巨块型肝癌
C:硬化型肝癌
D:肝血管瘤
E:脂肪肝
确诊反流性食管炎最有意义的是X线食管吞钡检查
胃肠道最常见的淋巴瘤病理类型是()。
A:T细胞来源的弥漫大细胞淋巴瘤
B:B细胞来源的弥漫大细胞淋巴瘤
C:滤泡性淋巴瘤
D:套细胞淋巴瘤
E:MALT淋巴瘤

男性,30岁,腹痛2天,初位于脐周,后转移至右下腹,现腹痛加剧,呈持续性,查体:右下腹压痛,伴肌紧张及反跳痛。



第1题,共2个问题
(单选题)该患者腹痛特点提示其病理基础是()。
A:病变局限于阑尾本身
B:病变波及腹膜脏层
C:病变波及腹膜壁层
D:泛发性腹膜炎
E:阑尾内粪石

第2题,共2个问题
(单选题)该患者腹痛的发生属于()。
A:牵涉痛
B:反射性腹痛
C:躯体性腹痛
D:中枢性腹痛
E:内脏性腹痛
食管癌转移的主要方式是()。
A:直接扩散
B:淋巴转移
C:血行转移
D:种植转移
E:少见转移到其他部位
高位小肠梗阻除腹痛外,主要症状是( )
A:腹胀
B:停止排气、排便
C:呕吐频繁
D:血便
E:腹部包块