自考题库
首页
所有科目
自考历年真题
考试分类
关于本站
游客
账号设置
退出登录
注册
登录
出自:消化内科学高级职称
患者女,24岁,主因恶心、呕吐、便次增多半年,尿频4个月入院。查体:体型消瘦,体重指数14.52kg/m
2
,口腔颊部可见2处口腔溃疡。心、肺(-),腹平坦,全腹无压痛、反跳痛,肝、脾肋下未及,肠鸣音弱,2次/min,移动性浊音(-),双下肢无水肿,四肢关节(-),肛诊(-)。 诊断考虑的疾病是()。(提示:胃黏膜多次活检均未见癌细胞,CA系列正常;补体:C356.5mg/dl;抗ENA:扩散法抗SSA(+)原液、ANA(+)1∶160;自身抗体:AMA(+)1:80;LA、ACL、ANCA、dsDNA(-)。)
A:Mallory-Weiss综合征
B:胃MALT淋巴瘤合并膀胱癌
C:胃腺癌
D:胃泌素瘤
E:系统性红斑狼疮的内脏受累
皮革胃
女性50岁间歇性发作咽下困难5个月,可因情绪波动诱发,食管吞钡X线检查未见异常。
第1题,共4个问题
(单选题)患者在等待检查时突然出现胸骨后剧烈疼痛,并向左肩放射,持续30分钟,为了解病因,此时应立即做()。
A:内镜检查
B:肌注阿托品止痛
C:食管动力测定
D:心电图(ECG)
E:静点硝酸甘油
第2题,共4个问题
(单选题)治疗应首选()。
A:制酸剂
B:促胃动力药+质子泵抑制剂
C:胃黏膜保护剂
D:HA受体拮抗剂
E:抗生素
第3题,共4个问题
(单选题)若食管黏膜活检示:黏膜病变,环周有糜烂但无狭窄,该病属于()。
A:正常
B:A级
C:B级
D:C级
E:D级
第4题,共4个问题
(单选题)诊断首先考虑是()。
A:食管贲门失迟缓症
B:食管癌
C:硬皮病
D:食管裂孔疝
E:反流性食管炎
病毒性肝炎时,肝细胞凋亡的病变是( )
A:肝细胞灶状坏死
B:肝细胞桥接坏死
C:肝细胞大片坏死
D:肝细胞嗜酸性坏死
E:肝细胞碎片状坏死
以下检测幽门螺杆菌的方法中,最简便的方法是()。
A:细菌培养
B:病理组织学检查
C:血清抗体监测
D:快速尿素酶试验
E:PCR
嗜酸细胞的主要炎性递质有()。
A:主要碱性蛋白
B:嗜酸细胞阳离子蛋白
C:嗜酸细胞源神经毒素
D:嗜酸细胞过氧化物酶
E:组胺
病历摘要:患者女性,35岁。反复腹痛、腹泻4年,情绪紧张时加重。体查无异常,多次大便常规和培养正常。肠镜未见异常
第1题,共5个问题
(多选题)下列哪些
不属于
肠易激综合征?()
A:脾区综合征
B:结肠运动障碍
C:痉挛性结肠
D:粘液性腹泻
E:结肠旋转下降异常
F:肠套叠图检查正常
第2题,共5个问题
(多选题)为明确诊断应作哪些检查?()。
A:血常规
B:结肠镜
C:CT
D:全消化道钡餐
E:胸片
第3题,共5个问题
(多选题)在胃肠功能紊乱的发生中,起作用的精神因素有()。
A:过度疲劳
B:情绪紧张
C:家庭纠纷
D:饮食失调
E:生活工作上的困难
第4题,共5个问题
(单选题)此时应采取哪些有效的处理措施?()提示:经使用对症处理效果欠佳
A:针灸、理疗
B:中医治疗
C:加用抗焦虑抑郁药
D:少渣、易消化饮食
E:胃动力药
第5题,共5个问题
(单选题)该患者可能的诊断是()。
A:慢性细菌性痢疾
B:慢性阿米巴痢疾
C:肠易激综合征
D:结肠癌
E:肠淋巴瘤
肝硬化低蛋白血症可表现( )
门脉高压症可表现( )
A:蜘蛛痣
B:脾大
C:黄疸
D:下肢水肿
E:肝大
胆总管结石急性发作和急性胆管炎的典型三联征是( )
A:突起右上腹阵发性绞痛,寒战并触及胆囊
B:突起上腹部呈束腰带状剧痛,轻度黄疸,低血压
C:上腹或右上腹疼痛,畏寒发热,黄疸
D:寒战高热,肝区持续性胀痛和肝大
E:剑突下剧烈绞痛,呕蛔虫,无寒战
男性,56岁,心悸、胸闷2个月,突发胸痛2小时,呈持续性疼痛,伴呼吸困难,服用各种药物不能缓解。查体:心率85次/分,心音低,心律不齐,可未闻及期前收缩。应紧急施行的治疗是()。
A:使用扩血管药物
B:紧急心包穿刺
C:紧急胸穿
D:β-受体阻滞剂
E:强心剂
关于慢性萎缩性胃炎,下列哪项是最正确的( )
A:萎缩性胃窦炎在我国多见
B:胃萎缩指胃容量变小
C:萎缩性胃炎时,胃粘膜不可能变厚
D:大多有明显症状
E:常影响胃酸分泌
在消化期内抑制胃液分泌的因素()。
A:盐酸
B:生长抑素
C:脂肪
D:内因子
E:高张溶液
男性,24岁。腹痛、腹泻1年余。胃肠钡餐造影,见小肠节段性狭窄,手术切除标本见肠粘膜表面呈卵石状,其病理组织学改变是( )
A:粘膜层炎症细胞浸润
B:肌层炎症细胞浸润
C:全壁性炎症、肉芽肿并干酪样变
D:全壁性炎症、非干酪样肉芽肿
E:小肠隐窝脓肿
男性,68岁,乙型肝炎病史8年,近日出现呕血、柏油样便,继之神志恍惚来诊。检查:血压80/50mmHg,巩膜黄染,言语不清,睡眠时间倒错,有扑翼样震颤,移动性浊音阳性,HGB60g/L,血pH7.48,血清钾2.8mmol/L,血清胆红素,36g/L,血清白蛋白29g/L,凝血酶原时间15秒患者应首选的检查是()。
A:X线钡餐
B:内镜
C:上腹部CT
D:选择性动脉造影
E:腹部超声
描述主要症状的特点,
不包括
( )
A:主要症状出现的部位
B:主要症状的性质
C:主要症状缓解与加重的因素
D:主要症状持续时间及程度
E:主要症状的伴随症状
女,30岁,有肺结核病史,常有低热、咳嗽、伴咯血。两个月来出现腹泻和右下腹痛,无脓血便,以下检查有助于肠结核的诊断,但除外( )
A:小肠粘膜活检
B:钡剂灌肠注意回盲部变化
C:胃肠钡餐造影
D:结肠镜回盲部粘膜活检
E:大便结核杆菌培养
男性,50岁,慢性肝炎30年。2个月来恶心、食欲不振、乏力伴肝区疼痛。超声波显示肝右叶有一直径5cm的实性肿物。肝穿刺活检支持肝细胞癌的病理变化是( )
A:假小叶形成
B:肝细胞结节状增生
C:肝细胞嗜酸性变
D:肝细胞异型性明显、形成实性团
E:肝细胞出现双核
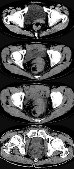
男,56岁,排便形状改变,便不尽感,CT检查如图所示,下列说法正确的是( )
A:肠壁上有蒂状新生物
B:其表面光滑,边界清楚
C:肠腔未见狭窄
D:此为直肠息肉
E:此为直肠癌
肝炎患者如蛋白质代谢功能试验有持久的明显异常表示( )
A:急性肝炎黄疸期
B:急性肝炎恢复期
C:已发展为慢性肝炎
D:已转变为重症肝炎
E:淤胆型肝炎
酒精性肝硬化的病理特征为()。
A:中性粒细胞浸润
B:酒精性透明小体
C:小叶中央静脉周围纤维化
D:肝细胞坏死
E:肝细胞脂肪变性
老年,男性,有冠心病史,长期服用小剂量阿司匹林。近2月上腹痛,无规律性,有反酸、嗳气,门诊胃镜检查,胃溃疡1.5×1.0cm,病理提示:未见瘤细胞。(1)病人溃疡病的病因是什么?(2)如何治疗溃疡?
有关慢性胃窦胃炎,正确的是()。
A:由自身免疫反应引起
B:可导致恶性贫血
C:血清中可测得抗内因子抗体
D:维生素B
12
水平明显低下
E:绝大多数由幽门螺杆菌引起
Crohn病侵犯肠道的深度为( )
A:粘膜层
B:粘膜层和粘膜下层
C:只侵犯粘膜下层
D:只侵犯到肌层
E:可侵犯肠壁全层
下列哪项不支持溃疡性结肠炎的诊断( )
A:粘液脓血便
B:大便镜检有红、白细胞
C:结肠镜检查无器质性病变证据
D:结肠镜检查发现较多的炎性息肉
E:可并发结节性红斑
对重型肝炎的判断下列哪项最重要( )
A:ALT>500U/L
B:总胆红素>171μmol/L
C:PTA<40%
D:电解质紊乱
E:WBC15×10
9
/L
药物的急性毒性多损害( )
A:肝功能
B:肾功能
C:骨髓功能
D:神经系统功能
E:内分泌功能
患者,男性,38岁,肝硬化病史5年,近日出现睡眠时间倒错,语言不清,血钾3.5mmol/L,血钠136mmol/L,血氨90mmol/L,血清pH值为7.48。
第1题,共5个问题
(多选题)下列检查哪项可能异常()。
A:简易智力测验
B:脑电图
C:扑翼样震颤
D:颅脑CT
E:血氨
第2题,共5个问题
(单选题)下列药物中首选哪种()。
A:谷氨酸钠
B:谷氨酸钾
C:精氨酸
D:左旋多巴
E:复方氨基酸
第3题,共5个问题
(多选题)提示:如患者出现意识障碍进一步加重提问:需考虑下列哪些问题()。
A:肝性脑病加重
B:电解质紊乱
C:酸碱平衡失调
D:低血糖昏迷
E:高渗性昏迷
F:脑血管意外
第4题,共5个问题
(单选题)提示:如患者呈昏睡状态,锥体束征(+)。提问:下列诊断哪项最正确()。
A:肝性脑病Ⅰ
B:肝性脑病Ⅱ
C:肝性脑病Ⅲ
D:肝性脑病Ⅳ
E:亚临床肝性脑病
第5题,共5个问题
(单选题)提示:查体发现扑翼样震颤(+)提问:下列诊断哪项最正确()。
A:亚临床肝性脑病
B:肝性脑病Ⅰ
C:肝性脑病Ⅱ
D:肝性脑病Ⅲ
E:肝性脑病Ⅳ
病例摘要:女性,25岁,神志不清2小时入院,既往患1型糖尿病5年,长期皮下注射胰岛素。近3天因腹泻而停用。体检:血压80/50mmHg,皮肤中度失水征,呼吸深大,有烂苹果味,心率110次/分。最可能的诊断是()。
A:高渗性非酮症性糖尿病昏迷
B:糖尿病酮症酸中毒
C:糖尿病乳酸性酸中毒
D:低血糖昏迷
E:感染性休克
女,18岁,发热、右下腹痛半年,有慢性腹泻史,无脓血便。3年前患浸润型肺结核,已治愈。月经正常。 最重要的治疗方法是( )
A:手术
B:肾上腺糖皮质激素
C:柳氮磺胺吡啶
D:抗结核治疗
E:硫唑嘌呤
缓慢发生的肝性脑病其最早出现的症状为()。
A:意识模糊
B:肝臭
C:行为异常,欣快
D:定向力障碍
E:意识模糊
首页
<上一页
114
115
116
117
118
下一页>
尾页