出自:消化内科学高级职称

女,31岁,低盐、盗汗、腹痛、腹泻3个月,体重减轻3kg。



第1题,共5个问题
(单选题)如果是肠结核其大便形状多是( )
A:水样便
B:糊状便
C:粘液便
D:脓血便
E:陶土样大便

第2题,共5个问题
(单选题)选择最有意义的辅助检查是( )
A:血沉
B:大便常规+培养
C:腹腔镜检查
D:钡剂灌肠
E:胸片

第3题,共5个问题
(单选题)肠结核时腹部最多见的压痛部位( )
A:右上腹压痛
B:右中腹压痛
C:右下腹压痛
D:下腹正中压痛
E:左下腹压痛

第4题,共5个问题
(单选题)对肺结核患者预防并发肠结核最要注意的是( )
A:公筷进餐
B:治疗便秘
C:不要吞咽痰液
D:不吃海鲜类食品
E:注意休息

第5题,共5个问题
(单选题)如果确诊为肠结核,选何种抗结核方案较合适( )
A:异菸肼+利福平,疗程1~1.5年
B:异菸於肼+利福平,疗程6~9个月
C:异菸肼+糖皮质激素,疗程1年
D:异菸肼+链霉素+对氨水杨酸,疗程6~9个月
E:对氨水杨酸+吡嗪酰胺,疗程6~9个月
食管癌早期临床表现为()。
A:锁骨上窝淋巴结转移
B:声音嘶哑
C:持续性背痛
D:吞咽困难
E:食管异物感和哽噎感
目前治疗原发性肝癌首选的方法是( )
A:手术治疗
B:放射治疗
C:中医治疗
D:化学治疗
E:免疫治疗
正常情况下腹腔内起润滑作用的液体量是( )
A:25~50ml
B:50~75ml
C:75~100ml
D:100~150ml
E:150~170ml
消化性溃疡并发上消化道出血最常见于( )
A:胃窦部
B:胃体部
C:十二指肠球后部
D:十二指肠球部
E:幽门管部
]患者,女性,33岁。2年来反复腹痛、腹泻,初为糊状便,每日排便2~3次,严重时排粘液脓血便伴里急后重。经当地医院抗炎治疗无效。近1月来腹痛明显。有疼痛-便意-便后缓解的规律。查体:体温38.6℃,腹平软,下腹压痛,肠鸣音亢进。哪项最有助于鉴别细菌性痢疾和溃疡性结肠炎()。
A:有无里急后重
B:有无脓血便
C:有无便血
D:抗生素治疗是否有效
E:有无发热
F:有无腹痛
男,39岁,无胃病史,近日于午餐时突然呕血300ml,色较鲜红,伴全身冷汗,检:白色苍白,大汗淋漓,心率100次/分,Bp94/70mmHg,肝未触及,脾肋下2cm移动性浊音(+)。 能够降低门静脉压力的药物有以下几种除外( )
A:8肽生长抑素
B:14肽生长抑素
C:垂体后叶素
D:普萘洛尔(心得安)
E:甘露醇
GIST化疗的首选药物是()。
A:吉西他滨
B:卡培他滨
C:甲磺酸伊马替尼
D:依立替康
E:顺铂
除外下列哪项其余均属于结肠激惹综合征( )
A:结肠运动障碍
B:结肠旋转下降异常
C:痉挛性结肠
D:粘液性腹泻
E:脾曲综合征
下面哪项不是肝性脑病时血氨增高的原因()。
A:低血容量与缺氧
B:摄入过多的含氮食物或药物
C:高血糖
D:低钾性碱中毒
E:便秘
关于慢性非萎缩性胃炎下列说法正确的是()。
A:主要病因是幽门螺杆菌感染
B:幽门螺杆菌分布与胃内炎症分布一致
C:胃镜活检组织尿素酶试验阴性可以排除幽门螺杆菌感染
D:只要有幽门螺杆菌感染,均可考虑根除治疗
E:症状与胃镜下所见并无完全关系
患者男,70岁。吞咽困难3个月。食管钡透:中段有3cm的不规则食管充盈缺损。取活体组织病理检查为鳞癌。心电图有ST段下降,T波倒置,肺功能严重障碍,其治疗方法为()。
A:药物疗法
B:根治性手术切除
C:姑息性手术
D:放射治疗
E:胃造瘘术

男,35岁,反复上腹部疼痛6年,多于每年秋季发生,疼痛多出现于餐前,进餐后可缓解,近2日疼痛再发,伴反酸。体检发现剑突下压痛,HB109g/L,粪便隐血+++。



第1题,共4个问题
(单选题)该患首先应考虑的诊断是( )
A:消化性溃疡
B:急性胃粘膜损害
C:食管贲门粘膜撕裂综合征
D:胃癌
E:胃粘膜脱垂

第2题,共4个问题
(单选题)进一步应先作哪项检查( )
A:胃肠钡餐透视
B:胃液分析
C:内镜
D:腹部B超
E:幽门螺杆菌检测

第3题,共4个问题
(单选题)应首先采取哪项治疗( )
A:紧急输血
B:6-氨基己酸静脉滴注
C:质子泵抑制静脉滴注
D:生长抑素静脉滴注
E:血管升压素静脉滴注

第4题,共4个问题
(单选题)假设信息]如幽门螺杆菌阳性应采用哪种治疗( )
A:质子泵抑制剂+克拉霉素
B:阿莫西林+克拉霉素+甲硝唑
C:质子泵抑制剂+阿莫西林+克拉霉素
D:胶体铋+阿莫西林
E:胶体铋+质子泵抑制剂+甲硝唑
可以出现黑粪的原因有()。
A:进食禽畜血制品
B:服用铁剂
C:下消化道出血
D:口腔手术后
E:服用铋剂
结核性腹膜炎
患者男,50岁,腹泻、腹痛3年,加重20d。25年前因左侧睾丸精原细胞瘤行手术切除并放射治疗7周。术后粪便一直不成形,1~2次/d,无黏液、脓血便,无明显腹痛。3年前无诱因出现腹痛、腹泻,腹痛主要位于左下腹和中下腹,呈绞痛,排粪后无缓解,疼痛尚可忍受,不影响正常工作;排粪次数3~4次/d,溏便,有时带黏液。20d前腹痛加剧,呈持续性疼痛,阵发性加剧,难以忍受,影响夜间休息以及日常工作,并感腹胀。

第1题,共3个问题
(多选题)为明确诊断下一步可考虑的诊断措施包括()。(提示:血红蛋白10.5g/L,白细胞和血小板计数均正常。肝、肾功能正常。粪检可见大量红、白细胞,无寄生虫及虫卵,隐血(+)。腹部立位X线平片未见异常。)
A:腹部增强CT
B:结肠镜
C:钡剂灌肠
D:粪培养
E:D-木糖吸收试验

第2题,共3个问题
(多选题)为明确诊断首先应检查的项目包括()。(提示:查体:T36.5℃,P80次/min,R20次/min,Bp120/60mmHg。体型消瘦,巩膜无黄染,腹部平坦,左下腹可见皮肤色素沉着,局部皮肤稍硬,左下腹感压痛,肠鸣音亢进,左侧睾丸缺如。)
A:血常规
B:粪常规、寄生虫卵及隐血
C:腹部立位X线平片
D:腹部CT
E:心电图

第3题,共3个问题
(单选题)最可能的诊断是()。(提示:下消化道造影:乙状结肠见15cm狭窄段,管壁边缘不规则。结肠镜检查:距肛门40cm处肠腔狭窄,黏膜粗糙,有黏膜糜烂、多发斑片状溃疡,触之易出血,活检为黏膜慢性炎。)
A:溃疡性结肠炎
B:克罗恩病
C:放射性肠炎
D:慢性痢疾
E:淋巴瘤
下述有关Crohn病的叙述正确的是()。
A:Crohn病的临床表现多种多样,早期表现不典型,因此早期诊断不容易
B:Crohn病的起病多很急,但起病后多发展缓慢
C:Crohn病虽然可累及全消化道,但是口腔和肛门不受累
D:Crohn病同溃疡性结肠炎的鉴别很困难,但是同肠结核之间的鉴别很容易
E:Crohn病不需维持治疗
女性,40岁。既往十二指肠球部溃疡10余年,近2日素食,排成形黑色便2次,每次量约50g,无恶心、呕吐,无心慌、头晕等症状。宜采取的治疗方案是()。
A:流食、输液、奥美拉唑
B:禁食、输血、口服冰盐水
C:禁食、输液、酚磺乙胺
D:紧急手术
E:流食、输血、酚磺乙胺
男性患者,60岁,因肝硬化食管静脉曲张破裂出血入院。经输血,输液及静脉滴注垂体后叶素(每分钟滴入0.4单位)等治疗后仍有活动性出血。体检:脉搏120次/分,血压12/10kPa(90/75mmHg)此时除继续积极补充血容量外,采取的最佳措施是( )
A:加大垂体后叶素的用量
B:改用H2受体拮抗剂
C:垂体后叶素加H2受体拮抗剂
D:立即手术治疗
E:三腔二囊管压迫止血
关于胃食管反流病所致的食管狭窄的治疗,正确的是( )
A:可用内镜下食管扩张术治疗
B:大部分狭窄经扩张术可达治疗效果
C:大多数严重的瘢痕性狭窄均需手术切除
D:扩张术后应予长疗程PPI维持治疗
E:老年患者可考虑行抗反流手术
女性,40岁。突发性上腹痛,持续性剧痛,向后腰部放射。伴恶心呕吐,腹胀。发热,T:39.5℃,发冷,寒战。查:巩膜黄染,上腹部压痛,无反跳痛及肌紧张。右上腹压痛,墨菲征(+),可触及肿大胆囊。血尿淀粉酶升高,WBC14×10/L,B超:胆总管扩管,结石。(1)诊断?(2)为治疗该病,可选用何种介入治疗,减轻胆道压力。(3)该病人是否用抗生素?为什么?
脑中氨的主要去路是()
A:扩散入血
B:合成尿素
C:合成嘌呤
D:合成氨基酸
E:合成谷氨酰胺
关于肝硬化顽固性腹腔积液的治疗正确的是()。
A:系列的治疗性放腹腔积液与补充清蛋白
B:经颈静脉肝内门体静脉分流术(TIPS)
C:腹腔静脉分流术
D:腹腔积液超滤浓缩回输
E:肝移植
男性,45岁,因“感冒”后出现发热、咳嗽1周,右胸隐痛2天。查体:T38.7℃,右肺呼吸音减弱。最可能的疾病是()。
A:心绞痛
B:胸膜炎
C:肝脓肿
D:带状疱疹
E:胸主动脉瘤
慢性肝炎的病因学分类有()。
A:自身免疫
B:乙醇
C:药物和毒物
D:慢性病毒性感染
E:代谢障碍
治疗消化性溃疡患者上腹部疼痛效果最好的药物是()。
A:黏膜保护剂
B:质子泵抑制剂
C:H2受体阻滞剂
D:抗酸药
E:促动力剂
男,49岁,乙型肝炎病史10年,近1周发热,腹痛,且腹水明显增加。腹水结果:淡黄色,比重1.018,蛋白25g/L,细胞总数0.5×106/L,其中中性粒细胞占0.8(80%),最可能并发哪种病( )
女,28岁,低热3个月伴腹痛、腹胀。查体:神志清,营养略差,巩膜无黄染,颈静脉不怒张,两肺正常,心浊音界正常。腹部饱满,未见腹壁静脉曲张,全腹有轻度压痛,无反跳痛;肝脾触诊欠满意,移动性浊音阳性。腹水蛋白定量30g/L。最可能的诊断是( )
男,34岁,突然上腹部疼痛6小时,呈刀割样疼痛,迅速波及全腹,伴恶心、呕吐,检查:腹肌紧张,呈板样硬,全腹有压痛和反跳痛,肠鸣音消失( )
A:自发性腹膜炎
B:门静脉血栓形成
C:出血坏死型胰腺炎
D:结核性腹膜炎
E:缩窄性心包炎
患者女,18岁,排粪次数减少6年,每周排粪1次,无便意,粪质坚硬,无腹痛,间断使用“通便药”效果不佳。查体:发育正常,腹软,无压痛,未触及包块,肝、脾未及,肛门直肠指检触及坚硬粪便。最可能的诊断是()。
A:出口梗阻型便秘
B:慢传输型便秘
C:传输时间正常型便秘
D:IBS便秘型
E:滥用泻药
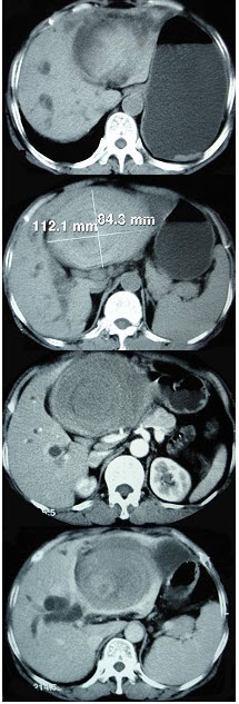
男,52岁,右上腹隐痛1年,巩膜黄染,皮肤不黄,CT检查如图,最可能的诊断为( )
A:原发性肝癌
B:肝腺瘤
C:胆管结石
D:胆管癌
E:胆囊癌
急性胆囊炎的内科治疗,正确的有( )
A:卧床、禁食、伴有呕吐者可置胃管
B:解痉、镇痛
C:广谱抗生素抗感染治疗
D:硫酸镁解痉利胆治疗
E:维持水、电解质酸碱平衡