出自:肿瘤学高级职称

子宫肌瘤保守治疗需定期复查,一般情况下每月检查一次。
直肠癌浸润肠壁一圈约需( )
A:3个月左右
B:6个月左右
C:6个月~1年
D:1~2年
E:2~3年
食管癌切除术后并发乳糜胸是术中损伤了( )
A:奇静脉
B:胸导管
C:迷走神经
D:支气管
E:心包
结肠癌Duke'sC期根治术后( )
A:术后放化疗
B:先化疗/放疗后手术
C:不能手术的病人先化疗或放疗后手术
D:放化疗同时进行
E:化疗如5-FU~CF
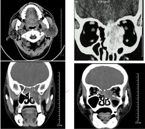
男性50岁,涕中带血半年,体检发现右侧颈部多个硬结,CT扫描如图所示,请选择正确的描述和结论()
A:右侧筛窦内见软组织块影,边缘不规则 
B:软组织影累及对侧筛窦、右侧上颌窦 
C:右侧眶内壁、上颌窦壁及颅底骨质破坏 
D:考虑为右侧筛窦黏液性囊肿 
E:考虑为右侧筛窦癌
下列哪些表现不属于肝癌的伴癌综合征( )
A:低血糖
B:红细胞增多
C:高血钙
D:黄疸
E:类癌
食管壁组织结构由_______、__________、__________和________组成。
teracoma( )
A:错构瘤 
B:迷离瘤 
C:假瘤 
D:结核瘤 
E:畸胎瘤 
通常所说的放射增敏比(SER)的正确描述是()。
A:单纯照射达到特定生物效应所需照射剂量与照射合并增敏剂达到同样生物学效应所需剂量的比值
B:照射合并增敏剂达到特定生物效应所需照射剂量与单纯照射达到同样生物学效应所需剂量的比值
C:单纯照射达到特定生物效应所需照射剂量与照射合并增敏剂达到同样生物学效应所需剂量的差值
D:单纯照射达到特定生物效应所需照射剂量与照射合并增敏剂达到同样生物学效应所需剂量差值再与单纯照射达到特定生物效应所需照射剂量的比值
E:以上都不对
采用固定源皮距给角照射,是因为( )
A:钴-60治疗机的机架转角指示不准 
B:等中心精度不够 
C:体位要求不严 
D:没有模拟定位机,不能确定等中心位置 
E:摆位方便 
恶性黑色素瘤的好发部位有哪些?
利用维甲酸治疗肿瘤是的机制是( )
A:直接细胞毒作用 
B:调动免疫效应细胞 
C:细胞诱导分化 
D:促进凋亡 
E:抗血管生成 
女性,32岁,接触性阴道流血半年,GOPO妇查:外阴、阴道未见异常,宫颈:中缘状、触血(+),宫体:常大、中位,宫旁:双侧软,宫颈细胞学涂片:见到时可疑癌细胞。为了确诊,以下哪项检查最合适( )
A:盆腔CT
B:再次行细胞学涂片
C:阴道镜下活检送病理检查
D:静脉肾盂造影
E:膀胱镜检
癌基因产物包括( )
A:生长因子 
B:生长因子受体 
C:信号转导蛋白 
D:核调节蛋白 
E:线粒体蛋白 
小脑髓母细胞瘤的5年生存率为________,影响其预后的主要因素_________和_________。
食管穿孔是食管癌放射治疗的常见并发症,不需中断放疗。
以下哪项不是常见的胰腺癌影像学表现( )
A:胰腺外形的变化
B:胰腺内肿块
C:伴发胰、胆管扩张
D:周围脏器受侵、淋巴结和远处转移
E:门静脉瘤栓
放射治疗过程中放射治疗医师应亲自( )
A:每周检查病人一次 
B:每月检查病人一次 
C:病人来找即检查 
D:治疗结束时检查 
E:请其他临床科室代为检查 
睾丸接受放疗剂量大于()后会出现永久性的精子缺乏()。
A:0.5Gy
B:2Gy
C:6Gy
D:10Gy
E:20Gy
目前幽门螺杆菌(Hp)诱发胃癌的证据包括()。
A:Hp可引起慢性浅表性胃炎
B:Hp感染增加胃癌风险
C:抗生素治疗可降低胃癌风险
D:Hp可诱发沙土鼠全胃炎
E:Hp感染十分普遍
对于以下关于食管癌的放射治疗过程中发生穿孔说法不正确的是()。
A:食管癌放射治疗中穿孔机制是肿瘤消退速度与正常组织修复速度不均衡所致
B:食管癌放射治疗中最严重的并发症之一
C:应经常行X线透视以便动态观察食管癌放射治疗过程中病变变化
D:对放射治疗前X线片即显示有穿孔前征象的患者拒绝给予放射治疗
E:放射治疗中和放射治疗后发生穿孔时可以行食管被覆支架介入治疗
在抗肿瘤药物中抑制DNA多聚酶的药物是( )
A:Ara-C 
B:MTX 
C:5-FU 
D:6-MP 
E:HU 

女,53岁,有乙型肝炎后肝硬化病史10年,近1个月来腹胀明显加重,并出现右上腹部隐痛、低热、尿少、下肢浮肿。体检:前胸壁数枚蜘蛛痣,巩膜无黄疸;蛙腹,全腹部无压痛;肝未触及;脾脏肋下3cm;移动性浊音阳性;下肢凹陷性浮肿。



第1题,共3个问题
(单选题)如果动态观察AFP阴性,影像学检查未发现占位性病灶;腹腔穿刺提示:血性腹水、AFP阴性、腹水ADA>50u/L;腹膜活检发现干酪样结节。宜考虑哪项治疗措施()。
A:腹腔内注射抗癌药物
B:手术治疗
C:肝动脉插管介入治疗
D:抗结核治疗
E:肝脏移植

第2题,共3个问题
(单选题)如果要进一步了解肝脏情况,选择哪项检查比较合理()。
A:CT或MRI
B:动态观察ALT和AFP变化
C:肝脏穿刺
D:肝动脉造影
E:腹腔穿刺

第3题,共3个问题
(单选题)血WBC4.2×109/L,中性粒细胞68%。血清总胆红素32umol/L、白蛋白33g/L、ALT43u/L、AFP760ug/L。可能的诊断是()。
A:肝炎后肝硬化,失代偿期
B:肝硬化并肝肾综合征
C:肝硬化并发原发性肝癌
D:肝硬化并自发性腹膜炎
E:肝硬化并结核性腹膜炎
所有中枢神经系统肿瘤均应行术后常规放疗。
中枢神经系统肿瘤的放疗应以安全、有效为其原则,放疗剂量过大会引起脑组织不可逆性损伤,________________是中枢神经系统肿瘤放疗首先需要考虑。
以下列出的组织中,()对辐射最不敏感。
A:卵巢
B:四肢
C:脊髓
D:眼晶状体
E:脑干
一个成功的治疗应是既冶愈病人,又保存病人机体的功能。
女,49岁,间歇性无痛肉眼血尿3年余。行膀胱镜检查发现膀胱右侧壁有一约2.0cm×1.5cm×1.5cm带蒂的乳头状瘤。下列哪项治疗是不恰当的( )
A:经尿道膀胱肿瘤电切术
B:膀胱部分切除术
C:膀胱全切术
D:术后膀胱内灌注化疗
E:术后加免疫治疗
男性,62岁,近三个月逐渐出现上腹部不适,进食后饱胀,嗳气,纤维胃镜发现大弯侧胃壁上1cm大小块状肿物,与周围组织界限不清,病理回报恶性。如行根治手术,可以保留的淋巴结为( )
A:沿胃小弯淋巴结
B:肝总动脉周围淋巴结
C:幽门下区淋巴结
D:腹主动脉旁淋巴结
E:贲门左区淋巴结
鼻咽癌放射治疗失败后原发灶挽救手术的指征包括()。
A:颅底骨质无明显破坏
B:脑神经未受累
C:无远处转移
D:无全麻手术禁忌证
E:颈动脉未明显受累