自考题库
首页
所有科目
自考历年真题
考试分类
关于本站
游客
账号设置
退出登录
注册
登录
出自:内分泌学高级职称
双胍类降糖药最常见的不良反应为()。
A:乳酸性酸中毒
B:低血糖
C:胃肠道反应
D:过敏性皮疹
E:肝功能异常
男性,76岁,糖尿病患者。近1月来经常出现胸闷、气急,阵发性夜间呼吸困难。家属发现患者昏迷立即送入院。平时患者每日服格列齐特(达美康)3片,苯乙双胍(降糖灵)每日3片,血糖控制尚满意。体检:深昏迷,呼吸深快,BP8/5.3kPa(60/40mmHg),HR124次/min,尿糖(++),尿酮(±),血糖12.4mmol/L,pH6.9,血钾4.9mmol/L,阴离子间隙15,ECG示窦性心动过速。此时最可能的原因是()。
A:心衰合并脑缺氧
B:乳酸性酸中毒
C:糖尿病酮症酸中毒
D:糖尿病非酮症性高渗性昏迷
E:糖尿病合并急性脑血管意外
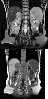
男,31岁,体检时超声发现右肾上腺区病灶,MRI扫描如图所示,下列说法正确的是( )
A:右侧肾上腺区可见一类圆形病灶,与周围组织分界清楚
B:该病灶在T1WI为等信号,在T2WI为稍高信号
C:考虑为右侧肾上腺腺瘤
D:考虑为右侧肾上腺髓样脂肪瘤
E:考虑为右侧肾上腺嗜铬细胞瘤
有关表象性盐皮质激素过多综合征的叙述,错误的是()。
A:此病用地塞米松治疗有效
B:临床表现近似原醛症,包括严重高血压,明显的低血钾性碱中毒
C:此病用螺内酯治疗有效
D:其病因为先天性11β-羟类固醇脱氢酶缺陷
E:此病多见于儿童和青少年
患者,男,60岁。近2年逐渐出现畏寒、乏力、纳差、恶心、性欲减退。体检示:皮肤粘膜有色素沉着,BP80/60mmHg,HR54次/分,空腹血糖3.6mmol/L。垂体MRI未见占位性病变。
第1题,共3个问题
(单选题)该患者的治疗应首先补充()。
A:甲状腺素
B:糖皮质激素
C:性激素替代
D:补液扩容,升高血压
E:服用胃动力药,改善患者食欲
第2题,共3个问题
(单选题)该患者的糖皮质激素替代治疗下列哪一项最合理()。
A:补液,静脉补充大剂量糖皮质激素
B:口服氢化可的松或可的松,从小剂量开始调整,症状缓解后停用
C:需终身替代,从小剂量开始调整到最佳个体化补充量,此后终身剂量不变
D:需终身替代,从小剂量开始调整到最佳个体化补充量,应激时应适当增加替代量
E:口服可的松25mg,每日1次,睡前服用
第3题,共3个问题
(单选题)该患者除考虑存在原发性肾上腺皮质功能减退外,还应进一步明确是否存在下列哪种情况()。
A:垂体前叶功能减退
B:胰岛细胞瘤
C:自身免疫性甲状腺炎
D:垂体瘤
E:淡漠型甲亢
WHO有关肥胖的诊断标准( )
亚太地区肥胖和超重诊断标准专题研讨会上提出的标准( )
A:BMI≥25为超重,≥30为肥胖
B:BMI≥23为超重,≥30为肥胖
C:BMI≥25为超重,≥28为肥胖
D:BMI≥23为超重,≥25为肥胖
E:BMI≥23为超重,≥30为肥胖
患者:男性,40岁,近1年来多饮,多尿,尿量6~12L/日。近1周来睡眠不好,轻度乏力,血压110/80mmHg,测血钾4.1mmol/L,血糖4.8mmol/L。如上述诊断明确,为明确病因可进行()。
A:靶腺激素测定
B:血浆ADH测定
C:蝶鞍X片
D:垂体激素测定
E:骨髓涂片
患者自感四肢麻木,测定随机血糖为12.9mmol/L,此患者应考虑()。
A:诊断为糖尿病
B:做24h尿糖测定
C:检测血胰岛素或C肽水平
D:再次检测血糖或OGTT
E:测定GHbA1c
皮肤干燥是甲状腺功能亢进的临床表现之一
胰岛分布在胰腺的各部,以胰头部最多。
病历摘要:患者,男性,36岁,因“多尿、烦渴,多饮1月”来诊。1月前患者无明显诱因出现多尿,一日尿量约4000ml,伴多饮,日饮水约3000ml,无其它自觉不适,体重无减轻。既往体健,无类似疾病的家族史。对于该患者,目前要考虑以下哪个(或哪些)疾病?()
A:甲状腺功能亢进症
B:糖尿病
C:尿崩症
D:肾病综合征
E:慢性肾功能衰竭
F:精神性烦渴
垂体瘤手术切除标本用免疫细胞化学染色法检测发现,发生率依次为____、无功能瘤、____、GH-PRL瘤、____、Gn瘤、_______。
磺脲类药物继发性失效
病历摘要:患者,女性,37岁,因“发现血压高2年”来诊,2年前患者在体检时发现血压高于正常,其时为145/86mmHg,无自觉不适,自服中药治疗,未监测血压,常有四肢无力,偶有四肢末端麻木感,曾发生过手足抽搐,无头痛、头晕、恶心、呕吐、视力下降,体检:血压150/90mmHg,皮肤未见紫纹,心肺无异常,脐周及双肾区未闻及血管杂音。
第1题,共8个问题
(多选题)下列哪一种(或哪几种)是醛固酮增多症有可能出现临床表现和实验室检查?()
A:服用氢氯噻嗪后,四肢无力
B:手足抽搐,血钾越低,手足抽搐越严重
C:手足抽搐,低钾严重时,手足抽搐反而减轻
D:即便没有糖尿病也可能出现多尿、夜尿增多
E:可能会出现糖耐量减低
F:心电图表现为U波明显
G:心电图表现为U波消失
第2题,共8个问题
(多选题)下列哪一种(或哪几种)药物可以用于治疗醛固酮增多症?()
A:氢氯噻嗪
B:螺内酯
C:呋塞米
D:氨苯蝶啶
E:硝苯吡啶
F:卡托普利
第3题,共8个问题
(多选题)下列哪一项(或哪几项)检查(或试验)可以用于鉴别醛固酮瘤和特发性醛固酮增多症?()
A:小剂量地塞米松抑制试验
B:大剂量地塞米松抑制试验
C:禁水试验
D:禁水-加压试验
E:上午立卧位试验
F:赛庚啶试验
第4题,共8个问题
(多选题)为了协助诊断,该患者目前还应进行下列哪一种(或哪几种)检查?()
A:血糖
B:血钾
C:血渗透压
D:血清二氧化碳结合率
E:血脂
F:血心肌酶
第5题,共8个问题
(多选题)为了鉴别原发性醛固酮增多症和继发性醛固酮增多症,需要检查下列的哪一项(或哪几项)?()
A:血钾
B:血钠
C:尿钾
D:尿钠
E:血肾素
F:血管紧张素Ⅱ
第6题,共8个问题
(多选题)如果结果提示:血钾2.5mmol/L,血清二氧化碳结合率32mmol/L,那么考虑下列哪一种(或哪几种)疾病的可能性较大?()
A:原发性高血压
B:高血压病
C:嗜铬细胞瘤
D:原发性醛固酮增多症
E:继发性醛固酮增多症
F:Cushing综合征
第7题,共8个问题
(多选题)对于醛固酮增多症患者,有关醛固酮检查叙述正确的是哪一项(或哪几项)?()
A:血浆和尿的醛固酮均升高
B:血浆和尿的醛固酮均降低
C:血浆醛固酮升高,尿醛固酮降低
D:血浆醛固酮降低,尿醛固酮升高
E:如果是原发性醛固酮增多症,补钾后醛固酮增高更明显
F:无论在醛固酮增多症患者还是正常人,低钠时,醛固酮升高
第8题,共8个问题
(多选题)对于醛固酮增多症,下列叙述正确的是哪一项(或哪几项)?()
A:尿比重通常高于正常且比较固定
B:尿PH通常为中性或偏酸性
C:尿渗透压通常是减低
D:血钠通常在正常高限或略高于正常
E:尿钠通常较摄入量减少或接近平衡
F:尿钾通常较摄入量减少或接近平衡
患者男,47岁,因“持续性心慌、头痛伴血压升高3个月”来诊。常规降压药物治疗无效,α-受体阻滞剂治疗有效。查体:BP190/100mmHg;无颈项强直;HR112次/min,律齐,未闻及杂音;无双下肢水肿。可以帮助明确诊断的生化检查是()。
A:醛固酮
B:促肾上腺皮质激素
C:儿茶酚胺
D:电解质
E:皮质醇
某男性,30岁,BMI22kg/m,糖尿病史、耳聋2年,对其诊断最有可能的是()。
A:MODY
B:LADA
C:1型糖尿病
D:2型糖尿病
E:特殊类型糖尿病
尿崩症按病因可分为______和_____两大类;按AVP缺乏程度可分为_____和_______;按病变部位可分为______和_______。
下列哪项不是下丘脑综合征的表现之一( )
A:两性畸形
B:肢端肥大症
C:性腺发育不全
D:尿崩症
E:嗅觉减退
男性,60岁。多饮多尿2周,神志不清1天,有脱水表现,测血糖40.3mmol/L,血尿素氮42.9mmol/L,血钠170mmol/L,尿酮体阴性。该患者最可能诊断为()。
A:乳酸性酸中毒
B:尿毒症酸中毒
C:脑梗塞
D:糖尿病酮症酸中毒
E:糖尿病高渗昏迷
诊断早期糖尿病肾病最有意义的检查是( )
A:尿常规检查
B:微量蛋白尿测定
C:肾脏活检
D:肌酐清除率
E:双肾B超
患者女,27岁,因“甲状腺肿大、多汗、心悸、善饥、多食、手颤及甲状腺功能异常1年余”来诊。在县级医院查血TT
3
5.97nmol/L、TT
4
280nmol/L及TSH8.9mU/L,诊为甲状腺功能亢进。口服他巴唑(30mg/d)治疗11个月,甲状腺仍大,症状缓解不显著。查体:甲状腺Ⅱ度弥漫性肿大,质软,无杂音及震颤;HR90次/min,节律规整;无双手细颤;无突眼,各眼征阴性,无胫前黏液性水肿及皮损。实验室检查:FT
3
、FT
4
、TSH均升高,TPOAb、TSAb均正常,24h甲状腺吸
131
I率27.2%(正常)。甲状腺核素显像:甲状腺增大,放射性分布均匀。颅脑及蝶鞍部CT:未见异常。诊断应首先考虑()。
A:全身性甲状腺激素抵抗综合征(GRTH)
B:选择性垂体不敏感型甲状腺激素抵抗综合征(PRTH)
C:选择性周围不敏感型甲状腺激素抵抗综合征(PerRTH)
D:桥本甲状腺炎
E:Graves病
患者女,21岁,因“消瘦、多饮2个月,咽痛、发热3d,意识不清4h”来诊。能最快获得诊断的检查是()。
A:毛细血管血糖测定+尿酮
B:血酮
C:血气分析
D:血浆葡萄糖测定
E:血常规
女性,18岁。1型糖尿病,两天来出现恶心,面潮红,呼吸深快,渐发生神志模糊以至昏迷。
第1题,共2个问题
(多选题)最可能的诊断是()。
A:乳酸性酸中毒
B:尿毒症酸中毒
C:呼吸性酸中毒
D:糖尿病酮症酸中毒
E:糖尿病高渗昏迷
F:低血糖性昏迷
第2题,共2个问题
(多选题)糖尿病酮症酸中毒的诱因
不包括
()。
A:胰岛素使用不当
B:严重感染
C:急性应激状态
D:手术
E:便秘
F:大量饮水
下列哪项为Cushing综合征常见的并发症( )
A:继发性贫血
B:低胆固醇血症
C:类固醇性糖尿病
D:高钾血症
E:高钙血症
简述肢端肥大症的肺部表现。
对于脂肪酶抑制剂的描述正确的是( )
A:选择性地抑制胃肠道脂肪酶
B:同时抑制胰蛋白酶,淀粉酶和磷酸脂酶
C:可以降低食欲
D:不良反应有便秘
E:作用于5-羟色胺通路
患者,女,28岁。1型糖尿病7年,胰岛素治疗,血糖控制满意。现妊娠32周,为了保证血糖稳定,下列哪种做法合理( )
A:为了避免胎儿低血糖,应减少胰岛素用量
B:妊娠期对胰岛素敏感性降低,应适当增加加胰岛素用量
C:可增加运动量,胰岛素剂量保持不变
D:为了避免胎儿过大,应减少糖类摄入同时减少胰岛素用量
E:胎盘激素增加了胰岛素的敏感性,因此减少胰岛素用量
甲减和Cushing综合征,引起的脂代谢异常主要是( )
A:高甘油三酯血症
B:高胆固醇血症
C:高HDL-C血症
D:低HDL-C血症
E:低LDL-C血症
高渗性非酮症糖尿病昏迷突出表现为高血糖.高血钠和高渗透压。
男性,35岁,反复出现突发性四肢无力,活动不能,夜尿增多。体检:BP180/100mmHg,甲状腺二度,心、肺、腹(-)。实验室检查:晨尿Ph为7.5,尿比重为1.012,血钾为3.6mmol/L,血钠为142mmol/L,血氯为100mmol/L。进一步应做的检查是()。
A:Rigitin试验
B:小剂量地塞米松抑制试验
C:甲状腺吸碘率
D:低钠试验
E:高钠试验
首页
<上一页
108
109
110
111
112
下一页>
尾页