自考题库
首页
所有科目
自考历年真题
考试分类
关于本站
游客
账号设置
退出登录
注册
登录
出自:消化内科学高级职称
下述哪项是小结节性肝硬化的典型病理改变()。
A:纤维组织增生
B:肝细胞变性坏死
C:不同程度的炎性细胞浸润
D:再生结节及假小叶形成
E:新生细胞排列成胆小管样结构
MRCP的优点包括()。
A:无创
B:无X线照射
C:不需造影剂
D:用于胰胆疾病治疗
E:可获得组织学标本
下列不符合急性水肿型胰腺炎的改变是( )
A:少量腺泡坏死
B:血管出血
C:间质水肿,充血和炎性细胞浸润
D:胰腺肿大,质地结实
E:少量脂肪坏死
药物引起的急性糜烂胃炎的主要机制是( )
A:药物致胃酸分泌增加
B:胃粘膜缺血
C:肾上腺皮质激素分泌增加
D:粘液分泌不足
E:前列腺素合成减少
男性,45岁。患“胃溃疡”10余年,突然全腹剧烈疼痛6小时。体温39℃,脉搏108次/分,血压105/60mmHg,腹式呼吸渐弱,腹肌紧张,全腹压痛及反跳痛,尤以上腹部明显;WBC10×10
6
/L。 病人应取何种体位( )
A:仰卧位
B:平卧位
C:半卧位
D:头高脚低位
E:无特殊要求
关于胃粘膜自身防御-修复因素哪项错误( )
A:前列腺素
B:表皮生长因子
C:粘膜屏障
D:胆盐
E:粘膜血流量
女性,20岁。间断上腹痛3年,加重1周,3小时前出现呕吐暗红色血液,量约1000ml,查体:血压:95/65mmHg,脉搏:102次/分。首选下列哪项治疗()。
A:急诊胃镜检查
B:给予升压药物
C:外科手术治疗
D:血管造影
E:输血、补液、纠正血容量不足
男性,20岁。上腹痛6个月就诊。与饮食无明显关系,吐酸水,常腹泻,曾有黑粪2次,制酸药效果不佳。X线胃肠钡餐造影(GI)发现胃及十二指肠球部、降部均有溃疡,基础排酸量(BAO)25mmol/L,该病例的诊断为()。
A:多发性溃疡
B:复合性溃疡
C:胰腺非B细胞瘤
D:胰腺B细胞腺瘤
E:复合性溃疡恶变
下列不符合二度Ⅱ型窦房阻滞心电图表现的是()。
A:P波规律的出现
B:P-P间期逐渐缩短至P波脱漏
C:长P-P间期等于正常窦性P-P间期的倍数
D:传出阻滞的比例可为2:1,3:2,4:3
E:P波形态一致
下列对色素结石的描述中,正确的是()。
A:原发胆囊棕色素结石相对较软,部分在胆固醇溶剂溶解
B:原发胆管黑色素结石,一般较小、坚硬、不溶解
C:90%的胆管结石是色素结石
D:十二指肠憩室可导致乳头括约肌功能下降,而容易形成胆管结石
E:在胆囊及胆管同时发生结石的患者,结石成分基本不一样
治疗轻至中度溃疡性结肠炎的主要口服药物有( )
A:泼尼松
B:环磷酰胺
C:SASP
D:甲硝唑
E:抗生素
男性,25岁,因发热、食欲减退、恶心3周,皮肤黄染1周来诊。患者3周前无明显诱因发热达38℃,无发冷和寒战,不咳嗽,但感全身不适、乏力、食欲减退、恶心、右上腹部不适,偶尔呕吐,曾按上感和胃病治疗无好转。1周前皮肤出现黄染,尿色较黄,无皮肤瘙痒,大便正常,睡眠稍差,体重无明显变化。既往体健,无肝炎和胆石症史,无药物过敏史,无输血史,无疫区接触史。 查体:T37.5℃,P80次/分,R20次/分,Bp120/75mmHg,皮肤略黄,无出血点,浅表淋巴结末触及,巩膜黄染,咽(-),心肺(-),腹平软,肝肋下2cm,质软,轻压痛和叩击痛,脾侧位刚及,腹水征(-),下肢不肿。化验:血Hb126g/L,WBC5.2×10/L,N65%,L30%,M5%,PLT200×10/L,网织红细胞1.0%,尿蛋白(-),尿胆红素(+),尿胆原(+),大便颜色加深,隐血(-),问最可能的诊断是什么?并请说明诊断依据、鉴别诊断、进一步检查及治疗计划。
促胃液素产生于()。
A:主细胞
B:壁细胞
C:黏液细胞
D:G细胞
E:肥大细胞
正常食管内的pH值是( )
A:2.5~4.0
B:3.5~5.0
C:4.5~6.0
D:5.5~7.0
E:6.5~8.0
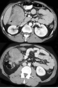
男,42岁,左下腹可触及一长条形肿块,结合图像,最可能的诊断是( )
A:结肠间质瘤
B:结肠转移瘤
C:结肠淋巴瘤
D:假膜性肠炎
E:结肠癌
诊断肠梗阻最主要的根据是______________________________________。
男性,45岁。右上腹疼半个月,伴乏力、消瘦。体检:肝肋下4cm,质硬,表面不平,脾肋下未及。超声:肝内占位病灶7cm,周边有卫星灶。门脉内有栓子,PV=1.7cm。胸片双肺有多个圆形病灶。(1)最可能的诊断?(2)半个月后,出现恶病质,肋骨疼,胸闷,气短,呼吸困难。胸片:右侧胸腔积液。ECT骨扫描:多处骨质破坏。该病人又发生何种情况?(3)1个月后,病人出现全身皮肤重度黄染,嗜睡继之昏迷。该病人又出现了何种情况?
男性,51岁,持续性上腹部隐痛5个月,多次查大便,潜血阳性,明显消瘦,面色苍白,上腹明显压痛,未触及包块,予制酸、止血等治疗2周,大便潜血仍阳性。
第1题,共4个问题
(单选题)为确诊应选何种检查()。
A:X线钡餐检查
B:腹部B超
C:腹部CT
D:腹部平片
E:胃镜+活检
第2题,共4个问题
(单选题)出血原因最大的可能性为()。
A:胆道出血
B:慢性萎缩性胃炎
C:活动性溃疡病
D:胃肿瘤
E:急性胃黏膜病变
第3题,共4个问题
(单选题)可能的诊断是()。
A:复合性溃疡
B:胃息肉
C:胃癌
D:慢性浅表性胃炎
E:胃溃疡
第4题,共4个问题
(单选题)最合适的治疗方案()。
A:化疗
B:手术切除
C:免疫治疗
D:生物治疗
E:放疗
肾上腺皮质激素在消化不良中的应用,描述错误的是()。
A:可增加消化道对氮、脂肪和其他营养素的吸收
B:在增强食欲方面有一种非特异性作用
C:可诱发轻度的欣快舒适感
D:停药后有复发倾向
E:只有乳糜泻患者才作为首选治疗
患者女,28岁,因“乏力、尿黄1周”入院。外院查肝功能提示:血清丙氨酸氨基转移酶922U/L,天门冬氨酸氨基转移酶876U/L,总胆红素122μmol/L。患者否认“肝炎”接触史、输血史,否认嗜酒,家族史无特殊。查体:神清,精神欠佳,面色晦暗,皮肤、巩膜中度黄染,腹软无压痛,肝肋下未及,脾肋下可触及,质韧,无触痛,移动性浊音阴性,双下肢无水肿。 患者应接受的治疗包括()。(提示:该患者入院后第3天行肝穿刺活检,检测肝组织铜含量为680μg/g干重。骨密度检测提示:骨量减少,骨密度降低。)
A:口服青霉胺250~500mg/d
B:口服维生素B
6
25mg/d
C:给予保肝、退黄治疗
D:给予口服利尿剂治疗
E:给予泼尼松治疗
一肠结核病人,出现右下腹阵发性绞痛伴腹胀、肠鸣音亢进,并可见肠蠕动波,该病人不宜作哪项检查()。
A:X线胃肠钡餐
B:X线钡灌肠
C:腹部平片
D:大便常规
E:以上都不是
对乙型肝炎抗病毒治疗的理解
不包括
( )
A:是一个艰难而长期的过程
B:可以联合用药,如干扰素、贺普丁、中药
C:改善临床症状
D:抑制病毒复制
E:完全清除HBV,包括HBsAg
呕血
正常体温24小时波动相差不超过()。
A:0.5℃
B:0.8℃
C:1℃
D:1.2℃
E:1.5℃
早期胃癌目前较有前途的治疗方法是()。
A:开腹手术
B:内镜下氩气刀治疗
C:内镜下EMR治疗
D:内镜下ESD治疗或EMR治疗
E:化疗或放射治疗
女性,32岁,腹胀、腹痛、低热1个月,查腹饱满,全腹轻压痛,移动性浊音(+),为明确诊断立即检查()。
A:肝功能
B:腹腔穿刺检查
C:骨髓检查
D:血沉
E:血常规
下列病人最可能的诊断是
第1题,共1个问题
(配伍题)
男性,48岁。腹胀2月余就诊,酗酒20多年。体检:腹壁静脉曲张,全腹无压痛及反跳痛,肝肋下未及,脾肋下3cm,移动浊音(+),腹水为漏出液( )
男性,38岁。原有慢性乙肝病史10年,1周来低烧,纳差,腹胀。体检:腹部膨隆,全腹柔韧感,轻度压痛及反跳痛,肝脾扪及不满意,移动浊音(+),腹水,腹水:WBC900/μl,N8%,L92%( )
男性,42岁。肝硬化患者,近3天来有发热,体温在38.5℃左右,腹痛伴腹水量增加就诊。腹水检查外观淡黄,比重1.017,蛋白25g/L,细胞总数0.6×10/L,白细胞0.4×10/L(400ml),中性粒细胞0.80(80%)( )
男性,42岁。反复中上腹疼痛3年加重1天。体温39.2℃,全腹部压痛及反跳痛、肌紧张,肝脏浊音界消失( )
螺内酯治疗肝硬化腹水,用法错误的是()。
A:螺内酯最大剂量为400mg/日
B:螺内酯+氨苯蝶啶
C:螺内酯和呋塞米剂量比为100mg∶40mg
D:螺内酯+呋塞米
E:螺内酯单独使用
患者男,55岁。进行性吞咽困难7个月,近20d只能进少量牛奶。查体:明显消瘦,脱水,锁骨上可触及肿大淋巴结,X线食管造影见中下段食管有约8cm狭窄,黏膜不规整,上段食管轻度扩张。
第1题,共2个问题
(单选题)其治疗方法是()。
A:病变食管切除,食管重建
B:食管内置管术
C:放射疗法
D:放疗后手术切除
E:胃造瘘术
第2题,共2个问题
(单选题)其诊断最可能为()。
A:食管憩室
B:食管裂孔疝
C:贲门失弛缓症
D:食管平滑肌瘤
E:食管癌
对食管癌高发区普查能早期诊断的主要方法是( )
A:食管拉网作食管脱落细胞检查
B:食管镜
C:食管X线吞钡检查
D:食管下段pH值测定
E:食管测压检查
首页
<上一页
108
109
110
111
112
下一页>
尾页