自考题库
首页
所有科目
自考历年真题
考试分类
关于本站
游客
账号设置
退出登录
注册
登录
出自:肾内科学高级职称
单侧肾动脉狭窄致慢性肾衰高血压呈高肾素患者,降压治疗不宜应用( )
A:钙通道阻滞剂
B:α受体阻滞剂
C:β受体阻滞剂
D:利尿剂
E:血管扩张剂
男,45岁,水肿1年,BP22.0/11.0kPa,清蛋白/球蛋白1.7/L,尿蛋白分析非选择性,尿蛋白+++/HP,尿红细胞++/HP,诊断( )
A:急进性肾炎
B:慢性肾炎
C:急性肾炎
D:慢性肾盂肾炎
E:肾病综合征
患者女性,26岁,突发双侧腰痛1周,寒战、高热1天,查体:体温39.6℃,呼吸24次/分,脉搏123次/分,血压90/60mmHg,双肾区叩痛(+)。尿常规白细胞(++),红细胞10~15个/HP,可见白细胞管型,尿蛋白(+)最可能的诊断是()。
A:急性膀胱炎
B:急性肾盂肾炎
C:急性肾小球肾炎
D:急性间质性肾炎
E:急性尿道炎
患者女性,61岁,患高血压14年,突发腰痛10天,加重伴寒战、发热1天。查体:血压170/106mmHg,双肾区叩痛明显。尿常规蛋白(+),白细胞(+++),红细胞10~18个/HP,可见白细胞管型
第1题,共7个问题
(单选题)B超及静脉肾盂造影结果示双肾结石,为进一步除外慢性肾盂肾炎急性发作,有意义的检查是()。
A:尿浓缩稀释试验
B:晨尿渗透压测定
C:肾小管酸化功能测定
D:以上均不是
E:A、B、C均是
第2题,共7个问题
(单选题)临床诊为高血压并急性肾盂肾炎,进一步确诊最有价值的检查是()。
A:肾小球滤过率测定
B:尿浓缩稀释试验
C:UPCO试验
D:清洁中段尿培养
E:静脉肾盂造影
第3题,共7个问题
(单选题)已收集清洁中段尿,此时应选用针对下列哪种细菌有效的抗菌素()。
A:金黄色葡萄球菌
B:变形杆菌
C:铜绿假单胞菌
D:粪链球菌
E:分枝杆菌
第4题,共7个问题
(单选题)患者经治疗2周后症状消失,复查尿常规(-),进一步的处理是()。
A:停用抗生素1周及1个月后复查尿常规及尿培养
B:继续使用至4周后停用
C:改用另一敏感抗生素继续治疗2周,如此交替,共2个月后停用
D:联用另一敏感抗生素继续治疗2周后停用
E:改用低剂量抗菌药物抑制疗法
第5题,共7个问题
(单选题)最可能的诊断是()。
A:高血压并高血压性肾损害
B:高血压并急性膀胱炎
C:高血压并急性肾盂肾炎
D:高血压并急性尿道炎
E:高血压并慢性肾盂肾炎急性发作
第6题,共7个问题
(单选题)清洁中段尿培养阳性,对常用抗生素均敏感,肾功结果显示Cr219μmol/L,不宜选用的抗生素是()。
A:头孢菌素类
B:氨基糖苷类
C:半合成青霉素类
D:大环内酯类
E:以上均不是
第7题,共7个问题
(单选题)最可能的诊断是()
A:高血压并高血压性肾损害
B:高血压并急性膀胱炎
C:高血压并急性肾盂肾炎
D:高血压并急性尿道炎
E:高血压并慢性肾盂肾炎急性发作
下列哪一项不是术后必需紧急施行透析的指征( )
A:因容量负荷过重而引起的心力衰竭
B:未能纠正的严重酸中毒
C:经治疗无效的高钾血症
D:经治疗无效的低钠血症致脑水肿
E:血肌酐达440μmol/L
ARF肾小管上皮细胞代谢障碍的表现是( )
A:ATP含量明显下降
B:细胞内Na、C1浓度下降,K浓度上升
C:胞浆内Ca浓度上升
D:细胞内酸中毒
E:Ca-ATP酶活力下降
患者,女性,25岁,受凉劳累后突发寒战高热、肾区疼痛,尿频、尿急、尿痛1天来院就诊。2个月前有类似发作史,当时中段尿培养为大肠杆菌生长,服药3天后症状消失停药。提示:此次患者中段尿培养仍为大肠杆菌生长提问:此时适宜的治疗方案是()。
A:选用对革兰阳性球菌有效的抗生素
B:选用对革兰阴性菌有效的抗生素
C:使用药物酸化尿液
D:对症处理,选用氟康唑治疗
E:以上都不是
抗双链DNA抗体是诊断系统性红斑狼疮的回顾性指标.
关于急性肾小球肾炎的病理,下列哪项
不正确
()。
A:肾体积可较正常增大
B:急性期可伴有单核细胞和淋巴细胞浸润
C:肾小管病变多不明显
D:光镜下通常为弥漫性肾小球病变
E:病变类型为毛细血管内增生性肾小球肾炎
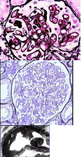
阅读下述三张狼疮性肾炎病理图片后,其病理诊断为( )
A:Ⅲ型LN
B:Ⅰ型LN
C:Ⅳ型LN
D:Ⅴ型LN
E:Ⅱ型LN
男,62岁,主因颜面浮肿、腰痛、头晕3个月,加重并尿少2周急诊入院。病程中时有低热、关节痛、腰骶部疼痛。查体:重度贫血貌,肝、脾大。化验血钙高,贫血,腰椎X线片示第2腰椎压缩性骨折。该患者最可能的诊断是()。
A:肾性骨病
B:骨髓瘤肾病
C:原发性肾小球疾病
D:慢性肾衰竭
E:急性肾小球肾炎
肾小球肾炎( )
肾盂肾炎( )
体位性蛋白尿( )
A:肾小管对蛋白质重吸收能力降低
B:肾小管受药物刺激后产生的蛋白尿
C:肾小球基底膜通透性增高
D:血循环中异常蛋白质的增加
E:肾小管代谢所产生的蛋白质渗入尿液
原发性肾病综合征预后最好的病理类型是()
A:膜性肾病
B:膜增生性肾小球肾炎
C:微小病变
D:局灶节段性肾小球硬化
E:系膜增生性肾小球肾炎
对低血钾型远端肾小管RTA诊断最有帮助的检查是()。
A:硫酸钠试验
B:中性磷酸盐试验
C:氯化铵负荷试验
D:碳酸氢盐重吸收试验
E:尿与血二氧化碳分压比值测定
临床上常用血__和血____浓度作为判定氮质血症的指标。
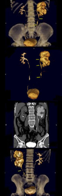
男,58岁,尿频,尿痛伴低热乏力2月,CT如图所示,下列说法正确的是( )
A:左侧肾盂肾盏扩张,其边缘不整
B:左侧输尿管多发性狭窄
C:左侧肾结核
D:左侧输尿管结核
E:左侧输尿管癌
急性肾衰竭少尿期一般为()。
A:6天
B:7~14天
C:4周
D:4~6周
E:3天
患者女性,36岁,心悸、胸闷1年,有甲状腺功能亢进病史。心电图如图5-26所示,应诊断为()。
A:频发房性期前收缩
B:多源房性心动过速
C:心房颤动
D:心房颤动合并三度房室传导阻滞
E:心房扑动伴不同房室传导比例
女性,26岁。反复口腔溃疡、关节痛2年,伴光敏感,2周前出现双下肢水肿。化验:尿Rt:Pro(+++),RBC10~20/HP,血ANA(+)。肾穿刺病理:系膜细胞及基质轻度增生,内皮细胞增生,内皮下及上皮下嗜复红蛋白沉积,部分新月体形成。免疫荧光检查:IgA(++),IgG(+++),IgM(+++),C1(++),C3(++),FRA(++),沿毛细血管壁及系膜区呈颗粒样及团块样沉积( )
女性,52岁。关节痛及双下肢水肿2年,加重3周。化验:血Rt:WBC3.0×10/L,Hb78g/LPLT6×10/L;尿Rt:PRO(+++),RBC8~10/HP,血ANA(+)。肾穿刺病理:系膜细胞及基质轻度增生,基膜不均质增厚,上皮下.基膜内及内皮下嗜复红蛋白沉积。免疫荧光检查:IgA(++),IgG(++),IgM(++),C1(++),C3(++),FRA(++),沿毛细血管壁及系膜区呈颗粒样及团块样沉积( )
女性,40岁。双下肢水肿1年,加重2周,伴双膝关节痛1周。化验:尿Pro(+++),RBC1~3/HP;血Rt:WBC4.0×10/L,Hb100g/L;HBsAb(+)。肾穿刺:基膜弥漫增厚,钉突形成,上皮下嗜伊红蛋白沉积。免疫荧光检查检查:IgA(-),IgG(++),IgM(+),C1(-),C3(++),FRA(-),沿毛细血管壁呈颗粒样沉积( )
A:狼疮性肾炎(Ⅲ型)
B:狼疮性肾炎(Ⅳ型)
C:狼疮性肾炎(Ⅴ型)
D:乙型肝炎病毒相关性肾炎
E:特发性膜性肾病
女性,45岁,皮疹半年,加重伴高热1周,伴活动后轻度的呼吸困难,辅助检查提示:尿蛋白1.0g/L,超声心动检查提示肺动脉高压,患者1日前无明显诱因突发抽搐,10分钟后自行缓解,头颅CT检查未见异常表现。
第1题,共3个问题
(单选题)为进一步明确诊断,首选的化验是()。
A:脑脊液及血清中自身抗体检测
B:胸片
C:冠状动脉造影
D:血常规检查
E:心肌显像
第2题,共3个问题
(单选题)患者最可能的诊断是()。
A:中枢神经系统感染
B:结核性脑膜脑炎
C:系统性红斑狼疮伴中枢神经受累
D:肥厚型心肌病伴心功能不全
E:原发性血管炎
第3题,共3个问题
(单选题)最佳的治疗方案是()。
A:大剂量糖皮质激素口服治疗
B:甲泼尼松龙静脉冲击加鞘内MTX注射治疗
C:抗结核药物治疗
D:大剂量抗生素治疗
E:抗病毒治疗
IgA肾病起病前常见的感染为()。
A:肺部感染
B:上呼吸道感染
C:消化道感染
D:泌尿道感染
E:皮肤感染
能在正常人尿中大量发现的是( )
A:免疫球蛋白
B:透明管型
C:红细胞
D:白细胞
E:尿素
男性,45岁,因慢性肾衰竭行维持性血液透析治疗已有3个月,尿毒症症状明显减轻,但血红蛋白70g/L。本例贫血的主要原因是()。
A:尿毒症毒素抑制骨髓
B:透析失血及缺铁
C:叶酸及维生素B
12
缺乏
D:红细胞寿命缩短
E:促红细胞生成素减少
尿潴留24小时的病人,导出尿液1500ml,测血肌酐为2mg/dl,尿肌酐为80mg/dl,内生肌酐清除率的数值大约为( )
A:10ml/min
B:20ml/min
C:30ml/min
D:60ml/min
E:100ml/min
慢性肾衰时透析不能改善的症状是()。
A:皮肤瘙痒
B:食欲不振、恶心、呕吐
C:皮肤瘀斑
D:心律失常
E:呼吸深而长
尿路感染急性期不宜作()。
A:X线静脉肾盂造影
B:尿沉渣镜检细菌
C:尿细菌定量培养
D:B超检查
E:硝酸盐试验
尿中出现少量透明管型说明( )
A:有肾小球的损害
B:肾炎在活动
C:肾小管功能损害
D:肾盂肾炎
E:不一定有肾实质损害
常用于检测抗核抗体(ANA)的实验方法为( )
A:酶联免疫吸附法(E1ISA)
B:间接免疫荧光法(IIF)
C:胶体金标记和快速膜渗滤技术
D:乳胶颗粒凝集实验
E:WesternBlot法检测
肾静脉血栓形成最有价值的诊断是()。
A:肾穿刺
B:肾静脉造影
C:双肾CT检查
D:肾脏B超
E:静脉肾盂造影
慢性肾衰竭控制高血压首选()。
A:钙拮抗药
B:ACEI
C:β-受体阻滞剂
D:α-受体阻滞剂
E:利尿药
首页
<上一页
9
10
11
12
13
下一页>
尾页