出自:内分泌学高级职称

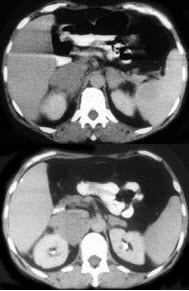
男,65岁,腋下触及肿大包块,全身浅表淋巴结肿大,请结合所提供图像,选择最佳答案( )
A:双侧肾上腺腺瘤
B:双侧肾上腺增生
C:双侧肾上腺淋巴瘤
D:双侧肾上腺转移瘤
E:肾上腺癌
下列哪一项不是原发性肾上腺皮质功能减退的临床特点( )
A:虚弱乏力
B:厌食
C:恶心、腹泻
D:直立性低血压
E:肤色苍白
患者,女,56岁。近2d出现口周麻木、手足抽搐如助产士手,曾有一过性的神志丧失。 该患者的实验室检查不会出现下列何种情况( )
A:Chevostek征与Trousseau征阳性
B:肾功能正常
C:血钙低、血磷高、尿钙排出增加、尿磷排出减少
D:头颅CT示转移性钙化
E:心电图可见QT间期延长,T波低平,传导阻滞
对磺脲类降糖药疗效不佳者应选择的治疗方案不包括()。
A:与胰岛素联合治疗
B:与二甲双胍联合治疗
C:两种磺脲类药物联合治疗
D:与胰岛素增敏剂联合治疗
E:与葡萄糖苷酶抑制剂联合治疗
T1DM有何临床特点( )
A:多发生于青少年,起病较急,病情较重 
B:血浆胰岛素水平低下甚至无 
C:易发生DKA 
D:必须使用胰岛素以维持生命 
E:相关免疫学检查无异常 
下列脂蛋白中能够抗动脉粥样硬化的是( )
A:乳糜微粒
B:极低密度脂蛋白
C:低密度脂蛋白
D:高密度脂蛋白
E:脂蛋白(a)
对垂体催乳素瘤的治疗大多采用药物治疗,溴隐停属于哪一类( )
A:多巴胺受体激动剂
B:多巴胺受体拮抗剂
C:5-羟色胺再摄取抑制剂
D:5-羟色胺能受体拮抗剂
E:H-受体拮抗剂
催乳素瘤最常用的药物( )
ACTH瘤最常用的药物( )
垂体性侏儒症最佳选用( )
席汉综合征最常选用的药物( )
GH瘤可选用( )
A:溴隐亭
B:噻庚啶
C:奥曲肽
D:生长激素
E:醋酸可的松
各型Cushing综合征患者血皮质醇分泌增多,但能被小剂量地塞米松抑制。
多囊卵巢综合征的治疗药物不包括()。
A:二氢睾酮
B:地塞米松
C:二甲双胍
D:阿卡波糖
E:氯米芬

女性,40岁,发现高血压3年,血压经常维持在180/100mmHg,伴口干、多尿,以夜尿增多为主,化验血钾为3.0mmol/L,时常出现四肢麻木和手足搐搦



第1题,共2个问题
(单选题)病因诊断可能为( )
A:原发性高血压
B:肾脏疾病
C:嗜铬细胞瘤
D:原醛
E:脑血管栓塞

第2题,共2个问题
(单选题)出现四肢麻木和手足搐搦的原因除了( )
A:细胞内钾离子丢失
B:细胞内钠氢离子增加
C:细胞内pH上升
D:碱中毒时,细胞外液游离钙减少
E:尿镁排出增多
垂体前叶激素包括____、____、____、____、____和_____六种。
醛固酮瘤最常见,约占原醛症的60%~85%。

患者,女,50岁,15年前生育后闭经、食欲不振,平时感冒、腹泻需加用糖皮质激素才能较快恢复。查体:神志清楚,心、肺、腹未见明显异常。



第1题,共5个问题
(单选题)以下检查中最有意义的是( )
A:ACTH
B:ACTH兴奋试验
C:尿游离皮质醇
D:血糖
E:血压

第2题,共5个问题
(单选题)预计这种异常最可能的疾病是( )
A:Addison病
B:继发闭经
C:神经性厌食
D:Sheehan综合征
E:以上都不是

第3题,共5个问题
(单选题)最有效的治疗为( )
A:输葡萄糖盐水加胰岛素
B:输葡萄糖盐水加抗生素
C:静脉滴注ACTH
D:输葡萄糖盐水加氢化可的松
E:输葡萄糖盐水加地塞米松

第4题,共5个问题
(单选题)Addison病最有诊断价值的检查是( )
A:ACTH兴奋试验
B:血皮质醇
C:尿17-羟和尿17-酮
D:24小时尿游离皮质醇
E:大、小剂量地塞米松抑制试验

第5题,共5个问题
(单选题)库欣病和肾上腺皮质腺瘤的激素分泌的区别,下列哪项说法正确?( )
A:前者分泌的皮质醇较多
B:前者分泌的醛固酮较多
C:前者分泌的性激素较后者多
D:前者分泌的性激素、醛固酮较后者多
E:两者分泌的激素无区别
糖尿病治疗原则是( )
A:早期,长期,饮食疗法,防治并发症
B:长期,综合,药物治疗,改善患者生活质量
C:早期,综合,血糖监测,糖尿病教育
D:早期,长期,综合,治疗措施个体化
E:长期治疗,消除糖尿病症状,治疗措施个体化,饮食控制
甲状腺髓样癌
肥胖与肥胖病的关系是什么?
轻度SIADH患者,摄入量每天限制在________症状可好转;严重患者输注3%氯化钠溶液,滴速为______,血钠升高速度不超过_______,血钠升至_____即停止输注高渗盐水。血清钠上升过速,可引起________.
下列哪项关于甲减病变部位的确定不正确( )
A:原发性者TSH↑,继发性者TSH↓
B:TSH↑,TRH刺激后更高为原发性
C:TRH兴奋试验TSH↑为垂体性甲减
D:T3、T4↑,TSH↓而无甲亢表现为TH不敏感型
E:TRH刺激后TSH延迟↑为下丘脑性
MEN-2A的临床特点包括_________、_________、________。
不符合弥漫性甲状腺肿伴甲亢诊断的实验检查结果是()。
A:TSAB阳性
B:TSH降低
C:T3增高
D:T4增高
E:T3抑制试验抑制率>50%
患者男,65岁,因“左脚第1跖趾关节疼痛2h”来诊。有糖尿病和高血压病史,1周前有胃溃疡出血病史。双足无外伤史。查体:T38℃,P90次/min,R19次/min,BP160/95mmHg;BMI28kg/m2;左脚第1跖趾关节红肿,皮温较高,触痛明显,余四肢关节未见异常,双侧足背动脉搏动有力。目前还应排除的疾病是(提示血常规:WBC12×10/L,尿酸600μmol/L。)()。
A:化脓性关节炎
B:假性痛风性关节炎
C:风湿性关节炎
D:骨性关节炎
E:银屑病性关节炎
F:血管性疾病
Graves症中,最明显的体液免疫特征是在病人血清中可检出()。
A:TSH受体抗体(TRAB.
B:甲状腺刺激性抗体(TSAB.
C:TSH结合抑制免疫球蛋白(TBⅡ)
D:FT3、FT4升高
E:以上都不对
患者女,31岁,孕3个月,因“自觉消瘦、易饥、心悸、多汗2个月”来诊。查体:轻度突眼;甲状腺Ⅱ度肿大,质软,无震颤,未闻及血管杂音;心、肺、腹未见明显异常。

第1题,共3个问题
(单选题)如经检查确诊为甲状腺功能亢进,以下处理正确的是()。
A:积极使用他巴唑控制甲状腺功能亢进,分娩结束后再考虑其他治疗
B:因甲状腺功能亢进对胎儿影响大应即刻采用放射性碘治疗,以迅速控制甲状腺功能亢进
C:先用PTU治疗,症状减轻,FT3、FT4正常后如患者要求手术,可于妊娠中期采用手术治疗
D:先用他巴唑至症状控制,心率<80次/min,FT3、FT4正常,于妊娠4~6个月手术
E:用抗甲状腺药物、碘剂及β-受体阻断剂联合治疗

第2题,共3个问题
(单选题)有助于确诊的最有价值的辅助检查是()。
A:FT3、FT4
B:TT3、TT4
C:眼眶CT
D:甲状腺血流测定
E:甲状腺131I摄取率

第3题,共3个问题
(单选题)该患者的治疗应注意()。
A:抗甲状腺药物治疗,将甲状腺功能维持在稍高于正常水平即可
B:抗甲状腺药物治疗,必须将甲状腺功能维持在正常或正常偏低水平
C:抗甲状腺药物剂量及甲状腺功能与正常人相似,可应用普萘洛尔类药物
D:应用大剂量抗甲状腺药物迅速控制甲状腺功能亢进症状,然后停药观察
E:抗甲状腺药物剂量稍大,并补充碘剂
有关甲亢的单纯性突眼,下列说法正确的是()。
A:病因与甲状腺毒症所致的交感神经兴奋性增高有关
B:表现为眼球突出显著,突眼度超过18mm
C:以上都对
D:可表现为Mobius征:瞬目减少,炯炯发光
E:病因与眶后组织的自身免疫炎症有关
在原发性醛固酮增多症的病因中,最多见的是()。
A:迷走的分泌醛固酮组织
B:糖皮质激素可治性醛固酮增多症
C:以上都不对
D:醛固酮癌
E:醛固酮瘤

患者,女,28岁,未婚。心慌多汗1月余就诊。曾有哮喘史。体检:甲状腺二度肿大,双上极可闻及血管杂音,HR120次/分,T3.2ng/ml,T196ng/ml。吸碘率:3h39%、24小时92%。



第1题,共3个问题
(单选题)治疗方案应该选择( )
A:甲巯咪唑加普萘洛尔
B:丙硫氧嘧啶加普萘洛尔
C:甲巯咪唑加地西泮
D:I治疗
E:充分手术前准备后手术治疗

第2题,共3个问题
(单选题)患者在入院后坐立不安,大汗,高热,HR145次/分,此时最可能的诊断是( )
A:甲亢伴心衰
B:甲亢伴感染
C:甲亢危像
D:甲亢伴躁狂
E:甲亢

第3题,共3个问题
(单选题)在抢救甲状腺功能亢进危像时应首选( )
A:甲巯咪唑
B:丙硫氧嘧啶
C:糖皮质激素
D:复方碘液
E:大量普萘洛尔
垂体危像发生时可有以下临床表现,其中哪一组临床表现是不可能同时出现的( )
A:低血糖、高热或低温、水中毒、恶心、呕吐 
B:循环衰竭、高热或低温,谵妄 
C:高血糖、恶心呕吐、循环衰竭 
D:低血压、低血糖、电解质紊乱 
E:精神症状、昏迷、水中毒 
有关甲亢性周期性瘫痪,下列叙述错误的是()。
A:有高钾血症
B:剧烈运动可诱发
C:20~40岁亚洲男性好发
D:病变主要累及下肢
E:高碳水化合物饮食可诱发
原发性甲减最早的表现为( )
A:T3降低
B:T4降低
C:TSH升高
D:TSH降低
E:rT3降低