出自:消化内科学高级职称

症状重的反流性食管炎首选H受体阻滞剂治疗
男,46岁,慢性肝病史5年,半年前出现腹水及黄疸,一天前开始胡言乱语,随地大小便,不认识家人及地点,扑翼样震颤(+)。临床诊断为肝性脑病属于()。
A:一期
B:二期
C:三期
D:四期
E:间隙期
胰腺癌多数以___________为首发症状.
男性,45岁,上腹痛6小时,腹胀,呕吐,血压80/50mmHg,脉搏120次/分,血清淀粉酶250Som-ogyi单位,下列判定不合适的是()。
A:急性肠梗阻
B:急性重症胰腺炎
C:消化性溃疡急性穿孔
D:急性心肌梗死
E:可排除急性胰腺炎
上消化道出血与下消化道出血的准确鉴别手段是()。
A:纤维内镜检查
B:有无黑粪
C:有无呕血
D:大便颜色是暗红色还是鲜红色
E:吞棉线试验
KAI1/CD82对细胞运动、转移和生长的影响与下列机制有关的是()。
A:影响细胞增殖
B:调节细胞的黏附
C:抑制细胞凋亡
D:调节信号转导通路
E:激活原癌基因
对病后就诊较晚的急性胰腺炎有诊断价值的是()。
A:血清淀粉酶测定
B:血清正铁血白蛋白测定
C:血清钙测定
D:血清脂肪酶测定
E:淀粉酶、内生肌酐清除率比值测定
小肠细菌过度生长的特点不包括()。
A:脂肪泻
B:体重减轻
C:维生素B12吸收不良
D:叶酸缺乏引起巨幼细胞性贫血
E:小肠液细菌培养检出多种细菌
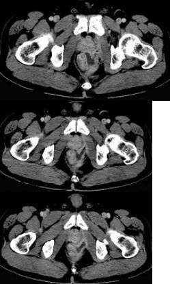
男,28岁,高热,肛门坠胀,频有便意,直肠指诊时触及直肠粘膜下饱满,柔软,压痛的肿块,CT检查如图,诊断为( )
A:直肠癌
B:直肠炎性息肉
C:直肠粘膜下脓肿
D:直肠绒毛状腺瘤
E:直肠粘膜下瘘
女性患者,35岁,身高168cm,体重50kg。因食欲减退2年,伴有恶心、呕吐入院。既往:曾有产后出血、闭经。查体:体温36.5℃,脱发,血压108/55mmHg,心率78次/分,乳房萎缩。该患者消瘦考虑与以下哪种情况有关()。
A:体质性消瘦
B:消化系统疾病
C:内分泌疾病
D:感染性疾病
E:神经精神疾病
男性,43岁,腹痛、腹泻1年,消瘦、乏力、低热2个月入院。即往曾患肺结核,大便为黄色糊状便,每日2~4次,排便后腹痛可以缓解。查体:体温38℃,中度贫血貌,消瘦,腹软,右下腹回盲部似乎可扪及约3厘米大小的圆形包块,质地中等偏软,有压痛,无肌紧张及反跳痛。其可能的诊断是什么?请简要说明理由。要明确诊断还需哪些检查?
下列哪项不是原发性肝癌的伴癌综合征的表现( )
A:类癌
B:发热
C:高血脂症
D:红细胞增多症
E:低血糖症
如何诊断有反流症状而胃镜检查阴性的GERD患者。
急性肝炎治疗中饮食应为( )
A:高蛋白饮食
B:高热量高脂肪
C:高热量低脂肪
D:高碳水化合物
E:易消化的清淡饮食
女,18岁。昨日起持续性上腹剧痛,伴腹胀、呕吐。吐出蛔虫一条。体检:体温38.8℃,血压90/50mmHg,脉搏120次/分,巩膜轻度黄染。上腹有压痛及反跳痛,尿中胆红素(++),血钙1.3mmol/L。

第1题,共3个问题
(单选题)下列哪项检查对本例诊断最有帮助()。
A:腹部X线平片
B:胆囊造影检查
C:血淀粉酶测定
D:B型超声检查
E:肝功能检查

第2题,共3个问题
(单选题)最可能的诊断是()。
A:胆道蛔虫症
B:胆石症合并胆囊炎
C:急性水肿型胰腺炎
D:急性出血坏死型胰腺炎
E:急性黄疸性肝炎

第3题,共3个问题
(单选题)首先考虑的治疗措施应是()。
A:隔离
B:静脉滴注抗生素
C:禁食、输液、止痛
D:剖腹探查
E:给予驱虫药物
关于肝硬化食管静脉破裂出血内科治疗,不正确的是( )
A:心得安口服或硝酸甘油舌下含服
B:吗啡镇静
C:垂体后叶素
D:输新鲜血
E:内镜下注射硬化剂
上消化道出血是指()。
A:贲门以上出血
B:幽门以上出血
C:Treitz韧带以上出血
D:空回肠交界处以上出血
E:回盲部以上出血
依据新悉尼系统的分类方法,慢性胃炎分为_________、_________和_________。

女,18岁。昨日起持续性上腹剧痛,伴腹胀、呕吐。吐出蛔虫一条。体检:体温38.8℃,血压90/50mmHg,脉搏120次/分,巩膜轻度黄染。上腹有压痛及反跳痛,尿中胆红素(++),血钙1.3mmol/L。



第1题,共3个问题
(单选题)最可能的诊断是( )
A:胆道蛔虫症
B:胆石症合并胆囊炎
C:急性水肿型胰腺炎
D:急性出血坏死型胰腺炎
E:急性黄疸性肝炎

第2题,共3个问题
(单选题)下列哪项检查对本例诊断最有帮助( )
A:腹部X线平片
B:胆囊造影检查
C:血淀粉酶测定
D:B型超声检查
E:肝功能检查

第3题,共3个问题
(单选题)首先考虑的治疗措施应是( )
A:隔离
B:静脉滴注抗生素
C:禁食、输液、止痛
D:剖腹探查
E:给予驱虫药物
女性,50岁。长期乏力、食欲不振5年,皮肤瘙痒半年伴皮肤黄染,粗糙。查:巩黄(+),双眼睑内眦黄色扁平斑块;肝大肋下5cm,质硬,脾大肋下5cm;化验:总胆红素升高,以直接胆红素升高为主。本例中与诊断无关的是()。
A:长期乏力、食欲不振
B:皮肤瘙痒
C:皮肤黄染
D:黄斑瘤
E:中年女性
胃食管反流病多有食管下段括约肌功能减弱
在肝性脑病时支链氨基酸与芳香氨基酸的克分子比值减少到()。
A:5以下
B:4以下
C:3以下
D:2以下
E:1以下
胃食管反流病患者抗反流手术指征是( )
A:内科治疗无效
B:内科治疗虽有效,但患者不能忍受长期服药
C:由反流引起的食管狭窄
D:经反复扩张治疗后仍反复发作的食管狭窄
E:确证由反流引起严重呼吸道疾病
因为抑制胃酸分泌可提高胃内pH值而具有止血作用,所以临床对消化性或应激性溃疡引起的出血多选用()。
A:法莫替丁
B:西咪替丁
C:盖胃平
D:奥美拉唑
E:雷尼替丁
以下哪项提法是正确的()。
A:只有血、尿淀粉酶增高才能诊断急性胰腺炎
B:血清淀粉酶在8小时达峰值
C:血清淀粉酶超过正常2倍可确诊急性胰腺炎
D:淀粉酶的高低并不一定反映病情的严重程度
E:尿淀粉酶增高可持续2~4周
下列哪项不能依靠B超判断( )
A:胆管结石的大小
B:梗阻部位的确定
C:胆管扩张的程度
D:胆管狭窄的程度
E:胆管壁的厚度
关于一过性1ES松弛的描述正确的是( )
A:指非吞咽时1ES的自发松弛
B:松弛时间长于吞咽时的1ES松弛时间
C:指正常吞咽时,1ES松弛,食物得以进入胃内
D:是正常人生理性胃食管反流的主要原因
E:是1ES压正常的胃食管反流的主要发病机制
胆道病变中B超显示较差的部位是( )
A:肝内胆管
B:肝总管
C:胆囊
D:胆总管上段
E:胆总管下段
正常人每24小时随粪便排出体外的水分不超过( )
A:500ml
B:1000ml
C:800ml
D:200ml
E:900ml
肝硬化腹水患者治疗应遵循以下原则,除外( )
A:留钾利尿剂与排钠利尿剂合用
B:限制钠水摄入
C:尽多尽速利尿消退腹水有利于肝功能恢复
D:必要时检测尿钠与尿钾的比例
E:腹水消退后须限制钠的摄入