自考题库
首页
所有科目
自考历年真题
考试分类
关于本站
游客
账号设置
退出登录
注册
登录
出自:CT医师
患者男,21岁,1个月前触及颈部淋巴结肿大,现有上腔静脉综合征,结合胸片,最可能的诊断()。
A:结节病
B:淋巴结核
C:转移性淋巴结肿大
D:淋巴瘤
E:胸腺瘤
下述哪一种原发肿瘤的肺转移瘤可以出现钙化:()
A:肝癌
B:乳癌
C:黑色素瘤
D:肾癌
E:成骨肉瘤
与叶外型肺隔离症鉴别,属于叶内型肺隔离症特征性表现的是:()
A:隔离肺位于正常胸膜内
B:大多数位于左侧
C:血供来自主动脉
D:静脉回流入下腔静脉
E:常合并其他畸形
属于原发性心肌病的是()。
A:缺血性心肌病
B:心肌炎
C:克山病
D:心肌梗死
E:高血压性心肌病
左上叶肺不张典型征象是()。
A:薄饼征
B:右下三角征
C:平腰征
D:心后三角征
E:左上肺索条影
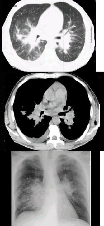
HIV阳性患者近来咳嗽,胸闷,胸片检查发现病变,CT检查如图,最有可能的诊断为()。
A:肺淋巴瘤
B:卡波济肉瘤
C:双肺感染
D:间质性肺炎
E:肺癌
肾上腺区示有含脂肪性肿块,边缘整齐,内有钙化,CT示有轻度增强,应首先诊断为()。
A:髓样脂肪瘤
B:肾上腺腺瘤
C:肾上腺纤维瘤
D:血管平滑肌脂肪瘤
E:脂肪瘤
宫颈癌最重要的CT表现是:()
A:子宫颈增大,形成软组织密度肿块
B:子宫颈管阻塞引起子宫腔积液
C:宫旁向外伸出不规则、三角形或分叶状软组织影
D:盆腔淋巴结增大,直径超过15mm
E:宫颈与邻近脏器之间脂肪层消失
克山病是一种什么病?()
A:心脏肿瘤
B:先天性心脏病
C:高血压心脏病
D:冠状动脉硬化性心脏病
E:累及心肌的地方病
下列属于关节基本病变的是()。
A:炎症
B:关节脱位
C:肿瘤
D:损伤
E:关节毁损
肺癌的倍增时间平均为:()
A:78~88天
B:30天
C:100天以上
D:少于60天
E:2年
脑脓肿的CT表现分为四期,脓肿壁形成晚期是指发病:()
A:7天后
B:14天后
C:21天后
D:28天后
E:60天后
患者,男性,30岁。头颅外伤5小时,CT轴位平扫示左额骨骨折,头皮血肿,额顶部梭形不均匀高密度,中线结构右移。诊断为:()
A:急性硬膜外血肿
B:急性硬膜下血肿
C:急性脑血肿伴硬膜外血肿
D:脑挫裂伤伴硬膜下血肿
E:亚急性硬膜下血肿
外耳道嵴骨质破坏是哪种中耳病变特征性的CT表现()。
A:恶性外耳道炎
B:渗出性中耳炎
C:中耳癌
D:获得性胆脂瘤
E:以上都不是
颅脑CT增强扫描,一般作为判断增强效果好坏的参考标准是:()
A:脉络膜丛显影的好坏
B:大脑镰显影的好坏
C:小脑镰显影的好坏
D:Willi环显影的好坏
E:胼胝体显影的好坏
肝脏伸入到门静脉和下腔静脉之间的乳状突属于:()
A:肝方叶
B:肝尾叶
C:肝右后叶
D:左肝外叶
E:以上都不是
下列哪一项不符合重度对比剂副反应的救治原则:()
A:立即抢救并通知专科或急诊科参加
B:静脉注射肾上腺素、地塞米松
C:开放静脉通道并给升压药
D:给氧、注意保暖
E:喉头水肿者给予喉头喷雾
诊断等密度亚急性硬膜下血肿的可靠CT征象是()
A:同侧侧脑室扩大
B:脑白质推挤征
C:"D"字征
D:中线结构无明显移位
E:脑室系统形态正常
微小听神经瘤的定义为肿瘤直径小于:()
A:0.5cm
B:1.0cm
C:1.5cm
D:2.0cm
E:2.5cm
以下
不属于
CT扫描方法的为:()
A:增强扫描
B:动态扫描
C:多期扫描
D:时间飞跃法扫描
E:灌注扫描
下列哪一项不是肾囊肿的典型CT表现:()
A:圆形或椭圆形,外表光滑
B:与肾实质分界锐利,清楚
C:囊肿壁很薄,不能测出
D:囊内密度均匀,接近水
E:注射对比剂后有增强
肩关节最常见的脱位属于()。
A:锁骨下脱位
B:前脱位
C:肩关节盂下脱位
D:后脱位
E:喙突下脱位
患者女性,50岁,右眼突,CT示视神经肿瘤,内有钙化,视神经孔扩大,骨质增生,增强明显,诊断为()。
A:转移瘤
B:脑膜瘤
C:胶质瘤
D:横纹肌瘤
E:炎性假瘤
小脑
不包括
:()
A:小脑半球
B:上蚓
C:下蚓
D:四叠体
E:扁桃体
患儿男性,19个月。至今不能站立、不会说话。根据CT扫描所见〔见图),应诊断下列哪一种疾病()。
A:灰质异位
B:脑裂畸形
C:多小脑回畸形
D:结节性硬化
E:胼胝体发育不良
尿路梗阻的原因
不包括
()
A:输尿管结石
B:前列腺增生
C:输尿管狭窄
D:输尿管囊肿
E:以上均不是
颈动脉体瘤的增强特点()。
A:早期明显增强,但低于或接近大动脉,停止注射后瘤内造影剂存留时间较动脉长
B:稍有增强
C:明显增强,同血管一致
D:不均匀增强
E:不增强
①骨肉瘤;②软骨肉瘤;③纤维肉瘤;④脊索瘤;⑤Ewing瘤。其中可产生瘤骨的是:()
A:①②④
B:①③⑤
C:①②⑤
D:①③④
E:①②③
肺泡壁破裂融合致含气腔隙大于多少毫米时称为肺大疱?()
A:20mm
B:3mm
C:10mm
D:5mm
E:30mm
在CT上奇静脉食管隐窝正常人的纵隔面常呈内凹或平直,若这一隐窝外凸时,多为:()
A:肿瘤或食管旁淋巴结肿大所致
B:上腔静脉扩张所致
C:奇静脉扩张所致
D:食管囊肿所致
E:食管静脉曲张所致
首页
<上一页
105
106
107
108
109
下一页>
尾页