自考题库
首页
所有科目
自考历年真题
考试分类
关于本站
游客
账号设置
退出登录
注册
登录
出自:CT医师
腹膜后纤维化最常见累及的器官是()。
A:肾脏
B:肝脏
C:脾脏
D:输尿管
E:膀胱
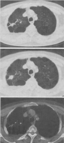
患者男,76岁,气喘数年,胸痛1个月余,结合图像,最可能的诊断是()。
A:右上肺结核球
B:肺间质纤维化
C:右上肺瘢痕癌
D:右上肺错构瘤
E:右上肺肉瘤
根据CT值推测胆系结石成分,从低到高依次为:()
A:胆固醇,胆色素,含钙
B:胆色素,含钙,胆固醇
C:胆色素,胆固醇,含钙
D:胆固醇,含钙,胆色素
E:无一定规律
原发腹膜后恶性肿瘤中应除外()。
A:脂肪肉瘤
B:平滑肌肉瘤
C:恶性畸胎瘤
D:横纹肌肉瘤
E:神经鞘瘤
脑白质、灰质同时受累者,多见于()。
A:白质老化
B:血管源性脑水肿
C:间质性脑水肿
D:细胞毒素水肿
E:以上都不是
膀胱癌的直接CT征象
不包括
:()
A:膀胱壁局限性增厚
B:膀胱腔内肿块
C:膀胱周围脂肪组织中出现软组织密度影
D:膀胱精囊角为软组织充填
E:盆腔内可见1.0cm大小淋巴结
髓外硬膜下肿瘤X线脊髓造影表现,描述哪项正确?()
A:梗阻面呈梳状或锯齿状突然中断
B:多为部分性梗阻
C:脊髓移位不明显
D:阻塞层面呈杯口状压迹
E:部分阻塞时,造影剂呈对称分流
下列关于矩阵的概念,哪一项是错误的()
A:表示一个横竖排列的数字阵列
B:矩阵的大小表示单位面积内像素数目的多少
C:矩阵大,提示像素小,图像分辨率
D:矩阵大,提示像素大,图像分辨率高
E:显示矩阵是指像素以三维图像的排列阵列
患儿,女,2岁。智力正常,发现头围增大,CT示额顶叶蛛网膜下腔间隙增宽,前纵裂池增宽,后纵裂池不宽。可诊断为:()
A:硬膜下积液
B:外部性脑积水
C:蛛网膜囊肿
D:慢性硬膜下血肿
E:脑萎缩
患者男性,50岁,右肺尖发现异常肿块样影,临床表现右眼球内陷,瞳孔缩小,右上肢疼痛,可能性较大的诊断是()。
A:肺上沟瘤
B:肺转移癌
C:胸壁结核
D:肺结核
E:肺结节病
以下哪一种结构
不属于
大脑半球:()
A:嗅脑
B:岛叶
C:苍白球
D:海马
E:丘脑
前臂静脉团注增强扫描,肺动脉的循环时间大约为:()
A:±10s
B:±20s
C:±30s
D:±40s
E:±50s
肺内钙化X线表现为高密度影,肺错构瘤内发生的特征性钙化为:()
A:斑点状钙化
B:块状钙化
C:爆米花样钙化
D:蛋壳样钙化
E:不规则钙化
某男45岁,体检发现左下肺有一直径2.5cm小块影,边缘有毛刺,应考虑为()。
A:矽肺
B:肺结核球
C:错构瘤
D:周围型肺癌
E:球形肺炎
鼻窦黏液囊肿()。
A:是恶性病变
B:由黏液腺分泌阻塞引起
C:由副鼻窦口阻塞引起
D:有骨质破坏,呈气样密度
E:CT增强扫描有明显增强
患者,男性,48岁。头痛,CT示鞍上池前角有一直径0.8cm软组织密度影,增强扫描呈均匀高密度。拟诊断为:()
A:垂体瘤
B:颅咽管瘤
C:前交通动脉瘤
D:后交通动脉瘤
E:大脑中动脉瘤
男,52岁,乏力、胸闷、体重下降3个月。CT检查示左侧胸腔积液,纵隔及肋胸膜弥漫性增厚,厚度达2cm,未见钙化,肺内未见异常病灶。最可能的CT诊断为()。
A:胸膜转移瘤
B:良性胸膜间皮瘤
C:恶性胸膜间皮瘤
D:胸膜结核
E:胸壁肉瘤
易出现脓胸或脓气胸的肺炎是:()
A:大叶性肺炎
B:支原体肺炎
C:支气管肺炎
D:金黄色葡萄球菌肺炎
E:腺病毒肺炎
哪一项不是畸胎瘤的特征性CT表现()。
A:瘤体呈混杂密度
B:可有脂肪密度
C:可有钙化成分
D:边缘清晰
E:多伴有瘤周水肿
列哪项是目前诊断支气管扩张较好的方法()。
A:MRI
B:支气管造影
C:HRCT
D:胸部平片
E:胸部体层摄影
下列检查方法对肾癌诊断具有决定意义的是()。
A:逆行肾盂造影
B:腹部平片
C:选择性肾动脉造影
D:立位透视
E:IVP
关于正常涎腺CT表现,下述哪项错误()。
A:横断面扫描最常用
B:正常腮腺大小,个体差异大
C:正常腮腺平扫CT值:-20~20Hu
D:增强扫描,正常腮腺明显强化
E:正常颌下腺平扫CT值:45Hu左右
与胰腺癌CT常见表现不符的是()
A:胰腺肿块
B:胰周脂肪消失
C:肿瘤侵及血管使其变形与堵塞
D:常合并出血及脓肿形成
E:胰管和胆管扩张(双管征象)
颅脑病变的CT值对定性诊断:()
A:相当可靠
B:无绝对特异性
C:绝对可靠
D:有特异性
E:不可靠
CT平扫心室水平见降主动脉右侧脊柱前软组织块影,内含气体,口服对比剂可见对比剂充盈,腔内可见食管。诊断为:()
A:食管裂孔疝滑动型
B:食管裂孔疝食管旁型
C:食管裂孔疝短食道型
D:Bochdalek孔疝
E:Morgagni孔疝
以下肝海绵状血管瘤的CT表现中,
不正确
的是()
A:平扫为低密度肿块,CT值约30Hu
B:动脉期肿瘤边缘散在斑片、结节状明显强化,但仍低于同层强化的大血管密度
C:静脉期呈向心性强化
D:延迟扫描可呈等密度
E:肿瘤内可出现坏死
关于蛛网膜炎CT检查的描述,
不正确
的是:()
A:CT平扫即可以诊断
B:脊髓常偏于硬膜囊一侧
C:神经根可贴于增厚的蛛网膜上
D:硬膜囊变小不规则
E:蛛网膜下腔阻塞
典型结核结节中心组织构成是由下述:①肉芽组织;②干酪组织;③郎罕氏巨细胞;④淋巴细胞组成的:()
A:①②
B:①③
C:②
D:①
E:②④
下列关于胰腺癌的描述,
不正确
的是()。
A:常形成乳头状息肉突入胆总管内
B:起源于腺管或腺泡细胞
C:胰头癌以“围管浸润”方式侵犯胆总管
D:大多数肿块边缘不清
E:胰腺癌较其他肿瘤转移早
最常见的原发性男性尿道癌是:()
A:腺癌
B:鳞状细胞癌
C:移行细胞癌
D:乳头状癌
E:以上都不是
首页
<上一页
104
105
106
107
108
下一页>
尾页